AccessLangeGeneral Ophthalmology
Vaughan, Asbury, Riordan-Eva :
AccessMedicine.com
HomeAboutAccount ServicesBuy BooksSite MapHelpLogoutAccessMedicine HomeAccessMedicine Publications
Full TOC

Related Sites
Forum

Chapter 24:

Lasers in Ophthamology

Author: James Berry Wise

Ophthalmology was the first medical specialty to utilize laser energy in patient treatment, and it still accounts for more laser operations than any other specialty. The transparency of the optical media allows laser light to be focused upon the intraocular structures without the need for endoscopy. Laser therapy has made the treatment of a number of serious ocular diseases much safer and more effective. Lasers are also used to alter the refractive state of the eye and to perform cosmetic surgery upon the eyelids. Low-energy scanning laser systems are useful for diagnostic imaging of ocular structures and for measuring blood flow by interferometry. Because laser surgery irreversibly changes tissue, ocular laser surgery should be performed only by ophthalmologists with laser experience.

OCULAR LASER SYSTEMS

A laser consists of a transparent crystal rod (solid-state laser) or a gas- or liquid-filled cavity (gas or fluid laser) constructed with a fully reflective mirror at one end and a partially reflective mirror at the other. Surrounding the rod or cavity is an optical or electrical source of energy that will raise the energy level of the atoms within the rod or cavity to a high and unstable level, a process known as population inversion. When the excited atoms spontaneously decay back to a lower energy level, their excess energy is released in the form of light. This light can be emitted in any direction. In a laser cavity, however, light emitted in the long axis of the cavity can bounce back and forth between the mirrors, setting up a standing wave that stimulates the remaining excited atoms to release their energy into the standing wave, producing an intense beam of light that exits the cavity through the partially reflective mirror. The light beam produced is all of the same wavelength (monochromatic), with all of the light waves in phase with each other (coherent). The light waves follow closely parallel courses with almost no tendency to spread out. These unique properties of laser light allow the beam to be focused down to extremely small spots with very high energy densities. The laser light energy can be emitted continuously or in pulses, which may have pulse durations of nanoseconds or less.

MECHANISMS OF LASER EFFECTS

Photocoagulation

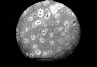
The principal lasers used in ophthalmic therapy are the thermal lasers, in which tissue pigments absorb the light and convert it into heat, thus raising the target tissue temperature high enough to coagulate and denature the cellular components. These lasers are used for retinal photocoagulation, for treatment of diabetic retinopathy (Figure 24-1) and sealing of retinal holes, and for photocoagulation of the trabecular meshwork, iris, and ciliary body in the treatment of glaucoma. They can be used at higher energy levels to evaporate tissue, as in laser iridotomy. These laser photocoagulators operate in continuous mode or very rapidly pulsed (thermal) mode. The (blue)-green argon laser is the workhorse of this class. Others include the krypton red laser; the solid-state diode laser, producing a near infrared wavelength; the tunable dye laser, producing wavelengths from green to red; the frequency-doubled Nd:YAG laser, producing green light; and the thermal mode Nd:YAG laser, producing infrared light. Because laser light is monochromatic, selective absorption into specific tissues by specific wavelengths is possible, while adjacent tissues are spared. An example is the yellow wavelength of the tunable dye laser, which can be used to treat neovascularization near the macula because the yellow light is absorbed by hemoglobin but not by the yellow xanthophyll pigment of the macula. Absorption of laser light by specific tissues can be enhanced by intravenous injection of absorbing dyes such as fluorescein or indocyanine green.


Figure 24-1

Figure 24-1: Argon laser burn scars in retina after panretinal photocoagulation for diabetic retinopathy.

Photodisruption

Photodisruption lasers release a giant pulse of energy with a pulse duration of a few nanoseconds. When this pulse is focused to a 15-25 0x0003bcm spot, so that the nearly instantaneous light pulse exceeds a critical level of energy density, "optical breakdown" occurs in which the temperature rises so high (about 10,000 °K) that electrons are stripped from atoms, resulting in a physical state known as a plasma. This plasma expands with momentary pressures as high as 10 kilobars (150,000 psi), producing a cutting effect upon the ocular tissues. Because the initial plasma size is so small, it has little total energy and produces little effect away from the point of focus. Though a significant shock wave is produced, studies on polyethylene membranes indicate that direct contact with the plasma is required for cutting tissue. Photodisruptors are used principally for perforating cloudy posterior capsules after cataract extraction and for performing laser iridotomy. The principal laser of this class is the Q-switched neodymium:YAG laser.

Photo-evaporation

The prototype of this class is the carbon dioxide laser, which produces a long-wavelength infrared heat beam. The beam is absorbed by water and therefore will not enter the interior of the eye. This laser can evaporate away surface lesions such as lid tumors and can be used for bloodless incisions in skin or sclera. The carbon dioxide laser beam can also be delivered through probes for contact photo-incision and photocoagulation within the eye. Used in a rapidly pulsed mode, this laser produces a controlled superficial skin burn that can tighten the eyelid skin for cosmetic improvement. The erbium and holmium lasers produce similar effects.

Photodecomposition

Photodecomposition lasers produce very short wavelength ultraviolet light that interacts with the chemical bonds of biologic materials, breaking the bonds and converting biologic polymers into small molecules that diffuse away. These lasers collectively are called excimer ("excited dimer") lasers because the cavity contains two gases, such as argon and fluorine, that react into unstable molecules which then emit the laser light. They can precisely recontour the corneal surface by computer-controlled ablation of successive thin layers of the cornea, correcting refractive errors such as myopia, hyperopia, and astigmatism. Photodecomposition lasers can also remove shallow corneal opacities resulting from injuries or dystrophies.

 
NEXT
 
 
Page: 1 | 2 | 3 | 4
 
 

10.1036/1535-8860.ch24

Copyright ©2002-2003 The McGraw-Hill Companies. All rights reserved.
Any use is subject to the Terms of Use and Notice. Additional credits and copyright information. For further information about this site contact tech_support@accessmedicine.com.
Last modified: October 17, 2002 .
McGraw-HillEducation
The McGraw-Hill Companies
Top