Chapter 106
Ultrasound Biomicroscopy of the Anterior Ocular Segment
ZELIA M. CORREA and JAMES J. AUGSBURGER
Main Menu   Table Of Contents

Search

ULTRASOUND BIOMICROSCOPIC IMAGES OF NORMAL EYES
SPECIAL FEATURES
CLINICAL USES OF ULTRASOUND BIOMICROSCOPY
CONTRAINDICATIONS TO ULTRASOUND BIOMICROSCOPY
CONCLUSIONS
REFERENCES

Ultrasound biomicroscopy (UBM) is a high-frequency ultrasound technology that allows imaging of structural details of the anterior ocular segment at near microscopic resolution in living patients.1–3 UBM provides exceptionally detailed two-dimensional gray-scale images of the epibulbar conjunctiva, cornea and anterior sclera, aqueous chambers, anterior chamber angle structures, uveal and ectodermal components of the ciliary body, anterior layers of the lens, zonule, and anterior vitreous.

There are several important differences between UBM and conventional diagnostic ocular ultrasonography. First, UBM uses a scan transducer having a much higher frequency. The transducer frequency of conventional diagnostic ultrasound instruments is in the range of 7.5 to 10 MHz. In contrast, the transducer frequency of the UBM instrument is approximately 50 MHz. Second, UBM provides much higher image resolution (approximately 50 μm of axial resolution) than does conventional B-scan ocular ultrasonography. The improved imaged resolution is attributable to the higher transducer frequency of the UBM. Third, UBM is not able to image as deeply into the eye as is conventional B-scan. This is because improved image resolution comes at the expense of reduced depth of penetration of the ultrasonic beam (limited to approximately 5 mm for a 50-MHz UBM instrument). The limited depth of penetration is also associated with a smaller angular field.

The commercially available Humphrey Ultrasound Biomicroscope Model 840 (Humphrey Instruments, Inc., San Leandro, CA) that has been used at Wills Eye Hospital (Fig. 1) consists of (1) a computer with a floppy disc drive and hard drive, (2) a video monitor, (3) input devices (a light pen for alphanumeric entry, a control device with trackball, thumbwheel, and three buttons, and a dual-function foot pedal), (4) an articulated counterbalanced arm, (5) the scanning probe attached to the arm, (6) a printer, and (7) a portable cabinet that holds the equipment. Clinical UBM examination requires the insertion of a ring-shaped eyelid speculum (Fig. 2), which, when in position, has the shape of a bowl. To perform the examination, this bowl must be filled with a viscous fluid (e.g., Celluvisc).

Fig. 1. Humphrey Ultrasound Biomicroscope Model 840 being used to evaluate a patient in the operating room.

Fig. 2. Bowl-shaped eyelid speculum filled with viscous fluid for UBM imaging of an eye with a conjunctival mass.

A complete UBM examination consists of the following steps: First, identifying patient information is input into the computer with the light pen. The patient is asked to lie in a supine position on an examination table, and topical anesthetic drops are administered to both eyes. The lid speculum is inserted and filled with viscous fluid, and the probe is brought into position and oriented over the eye. Then the tip of the probe is submerged in the fluid, taking care to avoid trauma to the cornea. Scanning begins with images through the central cornea and pupil. It continues with radially oriented slices through the limbal region for 360° beginning at the 12 o'clock meridian and concludes with additional slices in various planes or regions of interest. When the examination is finished, the lid speculum is removed and the residual viscous fluid is rinsed from the eye with a sterile irrigating solution. An individual study takes approximately 10 minutes per eye.

Back to Top
ULTRASOUND BIOMICROSCOPIC IMAGES OF NORMAL EYES
Ultrasound biomicroscopic slices through the mid-cornea and pupil (Fig. 3) show (1) the cornea, (2) the anterior chamber, (3) the lens, and (4) the pupillary zone of the iris. The cornea appears to have four well-differentiated layers. The epithelium is a thin, relatively bright (sonoreflective) layer. Just below that is Bowman's membrane, which appears as a highly reflective, very bright line. The stroma is the thickest layer and shows relatively homogeneous low-amplitude reflectivity. The endothelium and Descemet's membrane cannot be differentiated; together they form a single, highly reflective line at the posterior corneal surface. The aqueous in the normal anterior chamber appears completely sonolucent. The pupillary zone of the iris appears as two fingerlike structures consisting of a relatively sonolucent stroma and a bright posterior pigment epithelium. The anterior lens capsule appears as a bright retropupillary line. The normal anterior lens cortex appears nearly sonolucent.1–3

Fig. 3. UBM slice through mid-cornea and pupil of normal eye.

Radially oriented slices through the corneoscleral limbus (Fig. 4) show (1) the transition from cornea to sclera, (2) the anterior chamber angle structures, (3) the intermediate and peripheral zones of the iris, (4) the anterior ciliary body, (5) the equator of the lens, and, in some eyes, (6) the zonule. The corneoscleral junction is seen as an abrupt transition between the more sonolucent corneal stroma and the more sonoreflective sclera. The scleral spur can usually be identified as the most anterior extension of the deep sclera fibers at the limbus. The iris appears to consist of a relatively sonolucent stroma and a highly reflective pigment epithelium. The plane of curvature of the normal iris is smoothly bowed anteriorly. The insertion site of the iris relative to the scleral spur and anterior face of the ciliary body can be assessed. The pars plicata appears as fingerlike projections with acoustic features similar to those of the iris stroma. The ciliary sulcus is imaged between the peripheral iris and ciliary processes. The lens equator appears as a sonoreflective line (capsule) and underlying sonolucent stroma. Zonular filaments can be seen extending from the ciliary processes to the equatorial region of the lens in some eyes.

Fig. 4. Radial UBM slice through corneoscleral limbus of normal eye.

Radial, cross-sectional slices through the posterior ciliary body (Fig. 5) show the sclera as a highly reflective structure that can be easily differentiated from the underlying uveal and neuroepithelial layers of the pars plana. In most patients, UBM is not able to image the ora serrata, peripheral choroid, and peripheral retina.

Fig. 5. Radial UBM slice through pars plana of normal eye.

Additional slices through regions of interest can be obtained to evaluate specific features. For example, slices can be made through the pars plicata with the scanning plane concentric to the corneoscleral limbus (i.e., perpendicular to the previously made radial slices) (Fig. 6). Such images show the ciliary processes as a series of fingerlike projections.

Fig. 6. Transverse UBM slice through pars plicata of normal eye.

Back to Top
SPECIAL FEATURES
The Humphrey Ultrasound Biomicroscope includes software that allows direct measurement of linear distances (e.g., corneal thickness, anterior chamber depth [Fig. 7], and iris thickness). The measuring cursor is set at one point on the image, and then the trackball is used to drag a line to the second point. The length of the line appears on the screen. Direct angular measurement of the anterior chamber angle in degrees (Fig. 8) is also possible with this instrument, and it contains various brightness and contrast modes, controlled by the trackball and thumbwheel, that can be used to enhance the structural details of the images.

Fig. 7. Measurement of the anterior chamber depth by UBM. The circular cursor is positioned at the inner surface of the central cornea, and the plus sign cursor is dragged to the inner surface of the lens in mid-pupil. The distance between cursors in millimeters appears on the video screen below the image.

Fig. 8. Measurement of angular size of anterior chamber angle by UBM. The circular cursor is placed at the inner surface of the cornea, and the plus sign cursor is dragged to the iris insertion and then to the iris surface. The angular distance in degrees appears on the video screen below the image.

Back to Top
CLINICAL USES OF ULTRASOUND BIOMICROSCOPY
Ultrasound biomicroscopy can be used to image various structural abnormalities and lesions of the anterior segment.2–4 It has been used most extensively in glaucoma but has also contributed greatly to our current understanding of the various disorders and lesions of the cornea, iris, lens, and ciliary body.

GLAUCOMA

Ultrasound biomicroscopy is usually able to determine the mechanism of elevated intraocular pressure (angle closure versus open angle) by showing the relationship between the peripheral iris and the trabecular meshwork.2–4 A strong correlation between gonioscopic and UBM estimates of angle configuration has been established.5 In addition, imaging of the anterior segment structures is possible even in eyes with profound corneal edema that precludes gonioscopic assessment of the angle.

In open-angle glaucoma, UBM can be used to measure the anterior chamber angle in degrees, to assess the configuration of the peripheral iris, and to evaluate the trabecular meshwork (Fig. 9).2,4 The angle configuration can be graded and compared with gonioscopic findings. In certain patients with open-angle glaucoma, UBM can provide information that may be of some diagnostic value (Fig. 10). For example, in pigment dispersion syndrome (see Fig. 10A),6 UBM typically reveals posterior bowing of the peripheral iris (“q” configuration of peripheral iris by Spaeth classification5). In plateau iris syndrome (see Fig. 10B),7 UBM usually reveals abnormally steep anterior angulation of the peripheral iris (“s”configuration of peripheral iris by Spaeth classification5), insertion of the iris from the anterior ciliary body, and retroiridic projection of the ciliary processes. In eyes with peripheral anterior synechiae (see Fig. 10C and D), UBM can reveal the extent of iridocorneal adhesion even if the cornea is hazy or opaque.

Fig. 9. Angle configuration in eyes with open-angle glaucoma. A. Wide open angle with flat iris plane (D40r configuration by Spaeth gonioscopic grading system). B. Moderately wide angle with anteriorly bowed iris plane (C30r by Spaeth gonioscopic grading system).

Fig. 10. UBM features of special glaucoma cases. A. Pigment dispersion syndrome with posterior bowing of peripheral iris (“q” configuration by Spaeth gonioscopic grading system). B. Plateau iris syndrome with origin of iris from anterior surface of ciliary processes behind peripheral iris, slitlike narrowing of peripheral angle, and abrupt transition from steep peripheral iris to flat iris midzone. C. Broad peripheral anterior synechia with posterior bowing of nonadherent iris. D. Peripheral anterior synechia with aqueous-filled slit between site of iridocorneal adhesion and iris root after cataract extraction with implantation of posterior-chamber IOL.

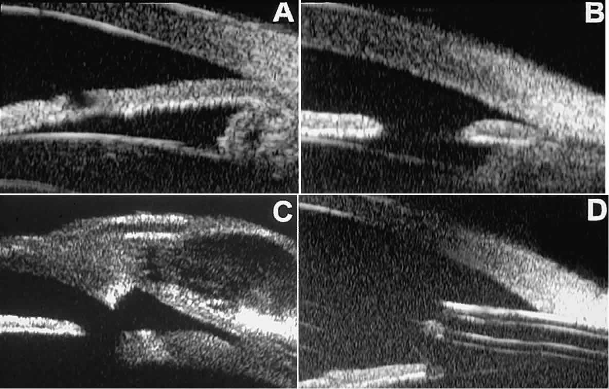
In eyes with a narrow angle, UBM shows the extent of angle closure, reveals the depth of the anterior and posterior chambers, and identifies pathologic processes pushing the lens and iris forward (Fig. 11).2–4,8 UBM has been able to differentiate between primary angle closure (i.e., cases of angle closure without additional pathology responsible for the anterior lens-iris displacement [see Fig. 11A] and secondary angle closure due to processes such as lens swelling and dislocation (see Fig. 11B), massive hemorrhagic retinal detachment pushing the lens and iris anteriorly (see Fig. 11C), and multiple neuroepithelial cysts of the iridociliary sulcus (see Fig. 11D).

Fig. 11. Angle configuration in eyes with angle-closure glaucoma. A. Primary angle-closure glaucoma with anterior displacement of lens and iris. B. Angle closure secondary to swollen, cataractous lens (phakomorphic angle closure). C. Angle closure secondary to massive hemorrhagic retinal detachment; the subretinal blood is evident in the lower right corner of the photograph. D. Angle closure secondary to multiple peripheral iris cysts.

Postoperative UBM imaging of the anatomic changes caused by glaucoma surgery often helps to explain mechanisms of success and failure of the various surgical procedures (Fig. 12).3,4 After laser iridotomy, UBM can show whether the iridotomy is partial thickness (see Fig. 12A) or full thickness (see Fig. 12B) and whether the plane of curvature of the peripheral iris has changed compared with the pretreatment findings. After trabeculectomy (see Fig. 12C), UBM can show whether the scleral aperture is patent or blocked internally, whether the peripheral iridectomy is open or blocked, and whether the filtering bleb is flat, shallow, or deep.9 After tube shunt surgery (see Fig. 12D), UBM can show the position of the tip of the tube and whether its orifice is open or plugged.

Fig. 12. UBM features in glaucomatous eyes after treatment or filtering surgery. A. Incomplete peripheral iridectomy created by laser. B. Full-thickness peripheral iridectomy created by laser. C. Postoperative features of trabeculectomy including peripheral iridectomy, inner scleral defect, thin residual scleral flap, and overlying conjunctival filtering bleb. D. Tube shunt projecting radially into anterior chamber; note that the tube “shadows” deeper structures.

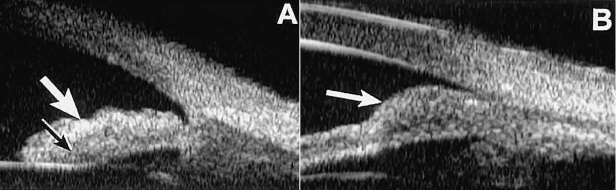
After any type of glaucoma filtering surgery,10 UBM can be used to detect and evaluate the extent of postoperative complications such as ciliochoroidal effusion and cyclodialysis.3,4 In ciliochoroidal effusion (Fig. 13A), UBM shows the ciliary body to be edematous and separated from the sclera by a sonolucent collection of supraciliary fluid. Many ciliochoroidal effusions that are too limited in extent to be detectable by indirect ophthalmoscopy and slit lamp biomicroscopy can be imaged by UBM. In cyclodialysis (see Fig. 13B), UBM shows a well-defined separation between the uveal tissue and the sclera in the region of the scleral spur. The width of the cleft is usually assessed best by means of limbus-concentric images through the region of interest.

Fig. 13. Complications of intraocular surgery. A. Postoperative ciliochoroidal effusion appears as slitlike spaces filled with serous fluid posterior to scleral spur. B. Postoperative cyclodialysis appears as complete separation of iris and ciliary body from sclera in region of scleral spur.

Ultrasound biomicroscopy has been used to evaluate the angle architecture in some infants and children with congenital glaucoma.3,4 Such eyes often appear to have a thin iris and elongated ciliary processes, but the angle is usually open and does not have any demonstrable membrane.

CORNEAL AND ANTERIOR SEGMENT DISORDERS

In most patients, the anterior segment can be evaluated thoroughly by slit lamp biomicroscopy unless the cornea is cloudy or opaque. In eyes with a cloudy or opaque cornea, UBM can be used to evaluate the cornea and to define the nature of underlying abnormalities in the angle, iris, ciliary body, lens, and anterior vitreous.4 For example, in eyes with severe congenital malformations of the anterior segment associated with a cloudy or opaque cornea (e.g., Peter's anomaly) (Fig. 14), UBM can be used to define the full extent of the abnormalities and thereby aid the clinician in deciding whether or not to consider any surgical intervention. UBM can also be used to study the extent of some clinically evident corneal abnormalities, such as corneal edema, bullous keratopathy, and band keratopathy (Fig. 15). In eyes with corneal edema (see Fig. 15A), UBM shows the epithelium to be thicker than normal and the stroma to have increased reflectivity. In bullous keratopathy (see Fig. 15B), UBM shows epithelial blisters of the cornea. In band keratopathy (see Fig. 15C), UBM shows superficial calcific deposits that are strongly reflective with shadowing of the underlying structures. In postinflammatory corneal scarring (see Fig. 15D), UBM can show the nonuniform cross-sectional corneal thickness and the presence or absence of a well-defined Descemet's membrane and endothelium layer.

Fig. 14. UBM features of eyes with Peter's anomaly. A. Mild posterior central corneal excavation, absence of Descemet's membrane and endothelium centrally, iridocorneal adhesions to margins of corneal defect, and diffuse hyper-reflectivity of corneal stroma. B. Different patient showing detail of posterior central corneal excavation and diffuse hyper-reflectivity of corneal stroma.

Fig. 15. UBM features of miscellaneous corneal disorders. A. Corneal edema appears as thickening of superficial layer of cornea; corneal stroma is thinner than normal and abnormally bright. B. Bullous keratopathy appears as localized separation of corneal epithelium from Bowman's membrane filled with clear serous fluid. C. Band keratopathy appears as dense, brightly reflective subepithelial plaque in peripheral cornea. D. Postinflammatory corneal scarring after keratitis; note nonuniform corneal thickness and abnormal reflectivity of corneal stroma.

Ultrasound biomicroscopy can be used after corneal surgery to evaluate the anterior segment status. After corneal transplantation, UBM can be used to evaluate the apposition of the donor button and host tissue and to assess the presence or absence of vitreous or iris incarceration in the incision.

Ultrasound biomicroscopy has also been used to evaluate several anterior scleral disorders,11 including nodular anterior scleritis and scleral hyaline plaques (Fig. 16). On UBM, nodular anterior scleritis (see Fig. 16A) appears as a localized thickening and altered reflectivity of the inflamed sclera. In diffuse non-necrotizing anterior scleritis (see Fig. 16B), UBM shows generalized pronounced thickening of the sclera in the region of involvement. In contrast, after a bout of necrotizing anterior scleritis, UBM can show thinning of the damaged sclera (see Fig. 16C). In eyes with one or more scleral hyaline plaques (see Fig. 16D), UBM shows the lesion to be a highly sonoreflective plate located just anterior to the insertion of the medial or lateral rectus muscle; the lesion has well-defined margins and is so sonoreflective that it shadows the underlying layers of the eye wall.

Fig. 16. UBM features of anterior scleral disorders. A. Nodular anterior scleritis appears as fusiform thickening of limbal sclera. Note apparent lamellae of heterogeneous reflectivity within region of thickening. B. Diffuse anterior scleritis appears as nonfocal scleral thickening in region of inflammation. C. Scleral thinning subsequent to necrotizing anterior scleritis. Note underlying vitreous cells. D. Scleral hyaline plaque appears as dense, hyper-reflective plate several millimeters from horizontal limbus; dense lesion “shadows” deeper tissues.

CATARACT AND INTRAOCULAR LENS

The role of UBM in the preoperative assessment of eyes with cataract is as yet unknown. In certain eyes, however, UBM may reveal features or abnormalities that could alter the ophthalmologist's surgical approach. Postoperatively, UBM can show the size and location of an intraocular lens (IOL) and the positioning of the haptics. A posterior chamber IOL appears on UBM as a highly reflective plate (corresponding to the lens optic) in the retropupillary plane with reverberation artifacts behind it (Fig. 17A). In contrast, an anterior chamber IOL appears on UBM as a sonoreflective plate located anterior to the pupillary plane (see Fig. 17B). In most eyes with a posterior chamber IOL, UBM can show whether the haptics are in the capsular bag (Fig. 18A), in the ciliary sulcus (see Fig. 18B), or in some other anatomic location12 (e.g., resting on the peripheral iris or secured with sutures to the sclera). The haptics are easier to locate if they are made of polymethyl-methacrylate than if they are made of proline because the former has a stronger reflectance.

Fig. 17. Composite UBM images of intraocular lenses. A. Posterior chamber IOL. B. Anterior chamber IOL.

Fig. 18 . Localization of posterior chamber IOL haptics by UBM. A. Haptic in capsular bag (arrow). B. Haptic (bright object just behind peripheral iris) in iridociliary sulcus.

Ultrasound biomicroscopy appears to be helpful postoperatively in determining the extent of postoperative complications of cataract surgery such as serous choroidal detachment (see Fig. 13A), iridocapsular adhesion (Fig. 19A), postoperative hyphema (see Fig. 19B), stripping of Descemet's membrane (see Fig. 19C), and wound gaping (see Fig. 19D).

Fig. 19. Complications of cataract surgery revealed by UBM. A. Capsular adhesion to midzone of iris. B. Postoperative hyphema. Clot appears denser than aqueous with suspended blood cells. C. Stripping of Descemet's membrane. D. Wound gape.

UVEITIS

In eyes with iritis or iridocyclitis, UBM can demonstrate many inflammatory features in detail (Fig. 20).4 Inflammatory cells in the aqueous (see Fig. 20A) can be visualized by UBM as sonoreflective particles floating in the sonolucent aqueous. Keratic precipitates appear on UBM (see Fig. 20B) as sonoreflective cellular clumps adherent to the endothelial surface of the cornea. In hypopyon uveitis (see Fig. 20C), UBM shows the collection of white blood cells to be a dependent sonoreflective mass in the anterior chamber with adherence to the peripheral iris. Inflammatory nodules of the iris (see Fig. 20D) appear as relatively ill-defined, moderately sonoreflective lesions expanding the normal iris stroma or lying superficially on it.

Fig. 20. UBM features of uveitis. A. Inflammatory cells suspended in anterior chamber aqueous. B. Keratic precipitates appear as small sonoreflective bumps on peripheral corneal endothelium. C. Hypopyon. Mass of inflammatory cells fills inferior anterior chamber angle, and dispersed cells are suspended in central anterior chamber aqueous. D. Inflammatory mass of pupillary zone of iris. Mass disappeared after corticosteroid therapy.

TRAUMA

After blunt ocular trauma, UBM can be used to evaluate iris-angle abnormalities associated with and possibly obscured by hyphema, including angle recession and cyclodialysis, and to illustrate the presence and extent of blood clots.4 Angle recession is characterized on UBM (Fig. 21A) by posterior displacement of the point of attachment of the iris to the sclera. In the acute stage, the post-traumatic recess is usually filled with blood. Cyclodialysis (described and illustrated earlier) appears on radial UBM slices through the limbal region (see Fig. 13B) as a fluid-filled cleft between the sclera and ciliary body.13 This abnormality is by definition associated with at least a localized ciliochoroidal effusion.

Fig. 21. UBM features of ocular trauma. A. Angle recession with traumatic hyphema after blunt injury. B. Intracorneal foreign body (rose thorn fragment). Note inflammatory cells in adjacent aqueous. C. Intraocular foreign body (glass fragment in inferior angle).

After ocular perforations, lacerations, and intraocular surgery, UBM can show abnormalities such as retained foreign bodies too small to be imaged by other technologies.3,4 Foreign bodies appear on UBM (Fig. 22A and B) as highly reflective focal lesions that are frequently associated with inflammatory features.

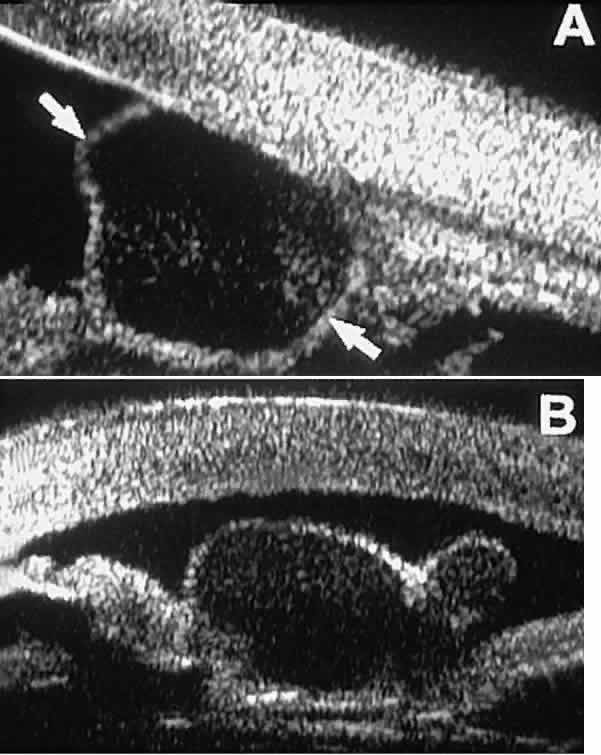
Fig. 22. UBM features of primary neuroepithelial cysts of iris and ciliary body. A. Primary neuroepithelial cyst of iris midzone. B. Primary neuroepithelial cyst of iridociliary sulcus. C. Multiple neuroepithelial cysts of peripheral iris and ciliary body. D. Neuroepithelial cysts of pars plana of ciliary body shown in circumferential slice.

OCULAR ONCOLOGY

Cysts and solid tumors of the anterior segment can be imaged in great detail with UBM.14,15 This technology can be used to determine the internal character of a lesion (solid or cystic), to ascertain whether the lesion involves the anterior ciliary body or is restricted to the iris, and to measure the full extent of the lesion. Relatively small cysts and tumors of the anterior segment can be imaged in their entirety by UBM. Larger lesions, however, may not be fully imaged by UBM because of its limited depth of penetration and relatively narrow field width.

Cystic lesions of the iris and ciliary body can be of four types: primary neuroepithelial cysts, stratified squamous epithelial cysts, neuroepithelial cysts associated with solid tumors, and intratumoral cavities.15 Primary neuroepithelial cysts (see Fig. 22) are very distinct on UBM imaging. These lesions consist of a central sonolucent cavity surrounded by a thin wall of highly reflective neuroepithelial cells. They arise from the posterior surface of the iris (see Fig. 22A), in the iridociliary sulcus (see Fig. 22B and C), or from the inner aspect of the ciliary body (see Fig. 22D). They are often multifocal (see Fig. 22C and D) and bilateral.15 The largest lesions of this type typically occur in or near the horizontal meridians.

Stratified squamous epithelial cysts (Fig. 23) are almost exclusively unilateral and unifocal,15 have substantially thicker walls than do primary neuroepithelial cysts, and usually contain prominent intracavitary particles (desquamated epithelial cells). Almost all such cysts involve the peripheral iris and angle region. Such cysts are usually secondary to prior ocular surgery or laceration in which conjunctival epithelial cells were implanted into the iris stroma.

Fig. 23. UBM features of stratified squamous epithelial cysts of iris. A. Thick-walled implantation cyst of stratified squamous epithelium replacing normal iris. Note intracavitary particles. B. Bilobed stratified squamous epithelial inclusion cyst of iris with prominent intracavitary particles.

Secondary neuroepithelial cysts occur rather frequently in association with solid tumors of the iris or ciliary body.15 On UBM (Fig. 24), such cysts appear quite similar to the primary neuroepithelial cysts described above; however, they are associated with a solid mass arising within the iris or ciliary body.

Fig. 24. UBM appearance of neuroepithelial cysts associated with solid tumors of the iris and ciliary body. A. Single neuroepithelial cyst associated with iris melanoma. B. Multiple neuroepithelial cysts associated with iridociliary melanoma.

Intratumoral cavitation is a relatively uncommon cystic feature of some solid tumors. An intratumoral cavity appears on UBM as a well-defined sonolucent space within the stroma of the solid tumor (Fig. 25).15 The lack of pulsation during the UBM examination of such lesions and the diameter of the cavity enable the clinician to differentiate the cavitation from a large blood vessel.

Fig. 25. Cavitation within iridociliary melanoma revealed by UBM. The cavity is entirely sonolucent, and the tumor tissue adjacent to the cavity appears similar in reflectivity to that in other areas of the tumor.

Solid iridociliary tumors present variable internal reflectivity depending on tumor type.14 Most solid lesions that occur on the iris are nevi. Benign nevi of the iris and ciliary body usually appear on UBM as relatively small hyporeflective lesions replacing a part or all of the underlying uveal stroma locally (Fig. 26). Such lesions usually do not destroy the underlying neuroepithelium of the iris or ciliary body, extend intrasclerally, or have prominent intralesional blood vessels.

Fig. 26. UBM features of iris nevi. A. Superficial nevus appears as hyper-reflective layer of iris (white arrow). Normal iris stroma (dark arrow) is more sonolucent. B. Fusiform nevus of peripheral iris occupying full thickness of iris stroma (arrow). Note intact iris pigment epithelium underlying lesion.

In contrast, malignant melanomas of the iris and ciliary body are much less common. On UBM, such tumors are usually larger than benign nevi, and they are more likely to have caused focal or extensive disruption of the adjacent neuroepithelial layers, to have invaded the sclera, and to be associated with prominent intralesional blood vessels (Fig. 27). Some malignant melanomas of the ciliary body and most ciliochoroidal melanomas are too large in basal diameter to be fully revealed in a single UBM image, and many of these lesions are also too thick to be measured by this technology. In the case of a melanocytic tumor of the iris or ciliary body that is not clearly either a benign nevus or a malignant melanoma, serial UBM evaluations may prove useful for assessing the tumor's growth and other changes that might warrant either biopsy or complete excision of the mass.

Fig. 27. UBM features of malignant melanoma of iris. (A) Iridociliary melanoma replacing peripheral iris and ciliary body and filling anterior chamber angle. Mass is slightly sonolucent compared with normal iris stroma. (B) Larger iridociliary melanoma. Iris appears to arise from side of mass.

UBM has been used to evaluate various solid epibulbar masses, including limbal dermoids, squamous cell carcinomas of the conjunctiva, conjunctival cysts, and episcleral extensions of ciliary bodyneoplasms (Fig. 28).3 A limbal dermoid appears on UBM as an intensely sonoreflective mass involving and replacing the corneal and scleral stroma at the limbus (see Fig. 28A). The UBM images can reveal whether the lesion involves only partial thickness or full thickness of the stroma and can thereby aid in surgical planning. An acquired epibulbar neoplasm, such as squamous cell carcinoma of the conjunctiva and its variants, typically appears on UBM as an irregular, abnormally sonoreflective epibulbar mass adjacent to normal conjunctiva (see Fig. 28B and C). UBM allows measurement of the lesion's thickness and determination of the presence or absence or intraocular invasion (see Fig. 28D). Extrascleral extension of a ciliary body melanoma can simulate a conjunctival melanoma in some cases. UBM of such eyes confirms the presence, character, and extent of the underlying ciliary body tumor and often reveals the route of access of the tumor to the surface by way of a scleral emissary canal (see Fig. 28D).14

Fig. 28. UBM features of epibulbar mass lesions. (A) Composite UBM image of limbal dermoid. Lesion is sonoreflective and appears to replace full-thickness limbal cornea and sclera. (B) Squamous cell carcinoma of conjunctiva without intraocular invasion. Mass appears as fusiform thickening of limbal conjunctiva. (C) Squamous cell carcinoma of conjunctiva with scleral invasion. Invaded sclera appears abnormally sonolucent and nonuniform in thickness. (D) Extrascleral extension of ciliary body melanoma by way of scleral vascular or neural foramen.

Back to Top
CONTRAINDICATIONS TO ULTRASOUND BIOMICROSCOPY
Ultrasound biomicroscopy is generally contraindicated in eyes with (1) confirmed or suspected recent globe laceration or perforation or (2) recent intraocular surgery (e.g., within 2 or 3 days).4 In these situations, the water-bath technique required by UBM could facilitate avoidable intraocular infection.
Back to Top
CONCLUSIONS
Ultrasound biomicroscopy is able to image the anterior ocular segment in ways impossible with any other currently available technology. This method of ocular evaluation should be considered for most eyes with a malformed anterior segment, an opaque cornea, complicated glaucoma, or one or more suspected cysts or tumors of the anterior segment. It should also be considered for eyes with either spontaneous or postoperative shallowing or flattening of the anterior chamber and for eyes with persistent postoperative or post-traumatic hypotony. Practicing ophthalmologists should know that this diagnostic technology is available and should be aware of the information it can provide in patients with anterior segment disorders.
Back to Top
REFERENCES

1. Pavlin CJ, Shehar MD, Foster FS: Surface ultrasound microscopic imaging of the intact eye. Ophthalmology 97:244, 1990

2. Pavlin CJ, Harasiewicz K, Foster FS: Ultrasound biomicroscopy of anterior segment structures in normal and glaucomatous eyes. Am J Ophthalmol 113:381, 1992

3. Pavlin CJ, Foster FS: Ultrasound Biomicroscopy of the Eye. New York, Springer-Verlag, 1995

4. Augsburger JJ, Affel LL, Benarosh DA: Ultrasound biomicroscopy in the evaluation of anterior segment pathology (poster abstract). Program, Wills Eye Hospital Annual Conference, Philadelphia, PA, March 16–18, 1995, p 47

5. Spaeth GL, Araujo SA, Azuara A: Comparison of the configuration of the human anterior chamber angle, as determined by the Spaeth gonioscopic grading system and ultrasound biomicroscopy. Trans Am Ophthalmol Soc 93:337, 1995

6. Sokol J, Stegman Z, Liebmann JM, Ritch R: Location of the iris insertion in pigment dispersion syndrome. Ophthalmology 103:289, 1996

7. Pavlin CJ, Ritch R, Foster FS: Ultrasound biomicroscopy in plateau iris syndrome. Am J Ophthalmol 113:390, 1992

8. Trope GE, Pavlin CJ, Bau A et al: Malignant glaucoma. Clinical and ultrasound biomicroscopic features. Ophthalmology 101:1030, 1994

9. Yamamoto T, Sukuma T, Kitazawa Y: Ultrasound biomicroscopic study of filtering blebs after mitomycin-C trabeculectomy. Ophthalmology 102:1770, 1995

10. Crichton ACS, McWhae JA, Reimer J: Ultrasound biomicroscopy for the assessment of Molteno tube position. Ophthalmic Surg 25:633, 1994

11. Pavlin CJ, Easterbrook M, Hurwitz JJ et al: Ultrasound biomicroscopy in the assessment of anterior scleral disease. Am J Ophthalmol 116:628, 1993

12. Pavlin CJ, Rootman D, Arshinoff S et al: Determination of haptic position of transsclerally fixated posterior chamber intraocular lenses by ultrasound biomicroscopy. J Cataract Refract Surg 19:573, 1993

13. Gentile RC, Pavlin CJ, Liebmann JM et al: Diagnosis of traumatic cyclodialysis by ultrasound biomicroscopy. Ophthalmic Surg Lasers 27:97, 1996

14. Augsburger JJ, Affel LL, Benarosh DA: Clinical experience with ultrasound biomicroscopy (UBM) in solid tumors and cysts of the iris and ciliary body (poster abstract). Ophthalmology 102(final program suppl):137, 1995

15. Augsburger JJ, Affel LL, Benarosh DA: Ultrasound biomicroscopy of cystic lesions of the iris and ciliary body. Trans Am Ophthalmol Soc 94:259, 1996

Back to Top