| Chapter 32 Embryology and Anatomy of the Orbit and Lacrimal System JURIJ R. BILYK and FREDERICK A. JAKOBIEC Table Of Contents |
|
EMBRYOLOGY ANATOMY REFERENCES |
| EMBRYOLOGY |
| The optic cup and subsequent optic vesicle determine the formation of the
surrounding orbital soft tissue contents and the bony orbital walls. A
major discovery of experimental embryologists was the extensive contributions
of the cranial neural crest to the connective tissues of the
head and neck region,1–3 which are due to the local absence of paraxial somites. These connective
tissue contributions of the neural crest are collectively referred
to as mesectoderm or ectomesenchyme (Fig. 1). In the orbit, the fibrous and fibroadipose tissue, the meninges of the
optic nerve, the sclera and episclera, the vascular pericytes and striated
extraocular muscle satellite cells, the peripheral nerve cellular
elements, and the osteocytes and cartilaginous elements are distinctive
in being progeny of the neural crest anlage. Conversely, endothelial cells forming the inner lining of orbital vessels are believed to be an ingrowth into the orbital region of true mesoderm; whether the striated extraocular muscle cells are ingrowths from the preotic somites4 or whether they represent in situ differentiations of true mesectodermal rather than mesodermal cells is debatable. The latter possibility is more plausible if one remembers that neural tumors are well known to be able to produce heterologous striated muscle differentiations (e.g., in intraocular medulloepitheliomas and in peripheral nerve sheath malignancies [so-called triton tumors]).5–9 Further, certain smooth muscle tumors of the ciliary body and orbit may show unusual neural characteristics in their growth patterns; these have been referred to as mesectodermal tumors.10–12 Extremely unusual dysontogenetic tumor masses may occur around the orbit and can combine connective tissue and neural elements (ectomesenchymomas).13 The scaffolding of the orbital bones is laid down within the first 2 months of embryogenesis.4 Migration of the neural crest cells proceeds over the face along two routes, which meet in the area of the orbit.14 The maxillary wave of neural crest cells curves around the developing eye from below, while a frontonasal anlage migrates over the procencephalon and approaches the optic stalk from above (Fig. 2). Thus, the floor and lateral wall of the orbit are contributed by the maxillary process, whereas the lacrimal and ethmoidal bones are contributed by the frontonasal process. The significance of this migratory pattern cannot be overemphasized and is paramount for understanding the location of congenital orbital, eyelid, and lacrimal anomalies (Fig. 3). A failure of fusion between the neural crest waves results in clefting syndromes, at least 30 of which involve the orbit.15 Also, the typical location of dermoid cysts at the frontozygomatic and frontoethmoidal suture lines is the result of a sequestration of surface ectoderm in areas of neural crest cell fusion. Finally, it appears that the superficial spread and deep invasion of basal cell carcinoma on the midface may be at least partially due to the location of the embryonic fusion planes.16 The lesser wing of the sphenoid bone is initially cartilaginous, but the greater wing and the rest of the orbital bones are membranous in nature and ossify and fuse between the 6th and 7th months of gestation. As the orbital bones develop, the eyes converge from an initial 180° relation to their final position of 68°, achieved in infancy. However, the orbital axis remains somewhat divergent at birth (115° between the lateral orbital wall and the skull axis) when compared with that of adults (45°) (Fig. 4).15 The ethmoidal sinuses can be observed to begin to take shape between the 6th and 8th weeks of gestation and are fully developed at birth. The remaining paranasal sinuses develop much later, with the sphenoid and frontal sinuses continuing to pneumatize into adolescence or early adulthood (Fig. 5). This accounts for the high incidence of orbital cellulitis from adjacent ethmoiditis in children. The lamina papyracea separating the orbit from the ethmoidal air cells is thin and perforate in children, providing easy access for microbial spread. Because the remainder of the sinuses are rudimentary in children, they are rarely the source of orbital infectious processes. Most of the orbital bones are formed during the 3rd month, although their ossification ensues over the next several months. At term, the orbit is nearly hemispheric, and the bony perimeters closely hug the globe.17 The eye reaches adult size by about age 3 years, but the adult dimensions of the orbit (a volume of 30 ml, a lid skin to orbital apex depth of 5 cm, and an overall quadrangular pear shape sweeping toward the medially situated apex) sometimes may not be attained until as late as age 16 years. As the midface develops in puberty, the vertical dimensions of the orbit increase, achieving an adult configuration. The orbit will fail to reach its normal volume if the globe is micro-ophthalmic or if radiotherapy in large doses (as for retinoblastoma or rhabdomyosarcoma) is administered. Conformers of increasingly greater diameter and soft tissue expanders can be inserted into the conjunctival cul-de-sacs of pediatric patients with anophthalmic orbits to promote orbital enlargement.18–20 The extraocular muscles (EOMs, ultimately destined to be four rectus muscles and two oblique muscles) appear as three separate masses of mesenchyme at about 4 weeks' gestation. The oculomotor and abducens nerves grow into the muscle masses at about 31 to 33 days' gestation. The ciliary ganglion is identifiable at about 6 to 7 weeks' gestation. At 5 weeks' gestation, the muscle cone is apparent around the optic nerve, and thereafter the muscle mass grows posteriorly to insert onto the cartilaginous skeleton of the sphenoid bone. The shared apical tendinous origins of the rectus muscles ultimately become the annulus of Zinn surrounding the optic foramen and superior orbital fissure. Anteriorly, the muscles fuse at the end of the 3rd month through tendinous differentiations with the sclera in the vicinity of the equator of the globe. Condensation of periocular tissue, analogous to Tenon's fascia bulbi, is identifiable at 10 weeks' gestation. Myofibrils are identifiable in the anterior portions of the muscle masses during the 6th week of gestation. Sevel21 has demonstrated that EOM differentiation goes through the phases of indifferent mesenchymal cell, early myoblast cell, fused myoblast cells, myotube cells, and finally mature muscle cells. A fibrous trochlea, which later becomes cartilaginous, is initially seen just behind the superonasal orbital rim at the 37- to 40-mm stage of gestation; through it will run the tendon of the superior oblique muscle. The trochlea may rarely become idiopathically inflamed (“trochleitis”)22 and may spawn rare chondromas.23,24 The entire lacrimal drainage apparatus is of ectodermal origin, surrounded by muscles of mesodermal source.21 In utero, a solid cord of epithelium forms in the region of the medial lower eyelid, eventually sending projections temporally to form the canaliculi and inferiorly to form the nasolacrimal duct (Fig. 6). Thus, the puncta and the valve of Hasner are considered “embryologically distal”structures, explaining why most congenital abnormalities of tear drainage are found at these sites (Table 1).22 Canalization of the solid cord begins at 4 months of gestation and may continue after birth. Indeed, the most inferior portion of the nasolacrimal duct is imperforate at birth in 50% to 70% of individuals.23
TABLE ONE. Congenital Anomalies of Tear Drainage Dacryostenosis
The main lacrimal gland forms from solid epithelial cords of conjunctiva superolaterally.21 The lacrimal gland develops at the 25-mm stage as epithelial buds evaginating from the basal cells of the conjunctiva in the superotemporal portion of the embryonic fornix. Initially solid cords are formed, but by 3 months' gestation the central cells begin to vacuolate and lumina appear. The lateral horn of the aponeurosis of the levator palpebrae superioris muscle divides the lacrimal gland into a superficial palpebral and a deeper orbital lobe at the 5th month of gestation. Full differentiation of the lacrimal gland is achieved only during the 3rd and 4th years postnatally. Note that lacrimal gland tissue is composed of two embryologic anlagen; the ectodermal glandular units are surrounded by mesodermal muscular (myoepithelial) and fibrous tissue. An abnormal growth of both glandular and mesenchymal portions forms a pleomorphic adenoma (benign mixed tumor). Development of the lacrimal gland differs from that of the salivary glands in that the former, as already mentioned, is derived from surface ectoderm whereas the latter are embryologically related to stomodeal epithelium. This may at least in part account for the different incidence of specific tumor types in the lacrimal gland and the salivary glands, despite their similar histologic appearance.25 |
| ANATOMY | |||||||||||||||||||||||||||||||||||||||||||||||||||||||||||||||||||||||||||||||||||||||||||||||||||||||||||||||||||||||||||||||||||||||||||||||
| This section will review the anatomy of the orbit and its surrounding structures: the
cavernous sinus (CS), the paranasal sinuses, and the pterygopalatine
fossa. Particular attention will be paid to the orbital
apex (the superior and inferior orbital fissures, optic canal), the CS, and
the pterygopalatine fossa because these areas are often difficult
to understand but remain important in diagnosing orbital and neuro-ophthalmic
disease as well as in interpreting radiologic studies (CT and
MRI). Although anatomically the lacrimal drainage apparatus is preseptal (eyelid
structure) whereas the main secretory unit (lacrimal gland) is
partially postseptal (orbital structure), the entire lacrimal system
is combined in this section to unify its discussion. OSTEOLOGY The orbit may be considered a pear-shaped, conical space with a volume of about 30 ml (Fig. 7A).1,2 Its maximum diameter occurs approximately 1 cm behind the arcus marginalis, an important consideration during surgical dissection around the orbital rim (Fig. 7B). Other essential measurements are summarized in Table 2. The orbit is composed of seven bones: the frontal, sphenoid, ethmoid, palatine, and lacrimal, as well as the zygoma and maxilla, with each wall containing different bones (Table 3). One mnemonic for remembering the number of bones contained within each wall is to begin medially and travel around the orbit counterclockwise, arriving at the sequence 4-3-2-2. Note that the orbital rim is not a continuous ovoid, but rather a spiral that is discontinuous medially to form the lacrimal sac fossa (see Fig. 7A). Other important facts regarding each orbital wall are noted in Table 4.
TABLE TWO. Orbital Measurements
TABLE THREE. Bones Forming the Orbital Walls
TABLE FOUR. Anatomic Findings of Each Orbital Wall Floor Trochlea, 4 mm behind the orbital rim Medial Medial walls parallel, 25 mm apart “Paper thin”(lamina papyracea) Lacrimal sac fossa (preseptal) Lateral Lateral walls are perpendicular to one another Strongest wall, but offers least protection to globe (only 50% of globe covered) Contains lateral orbital tubercle (of Whitnall)
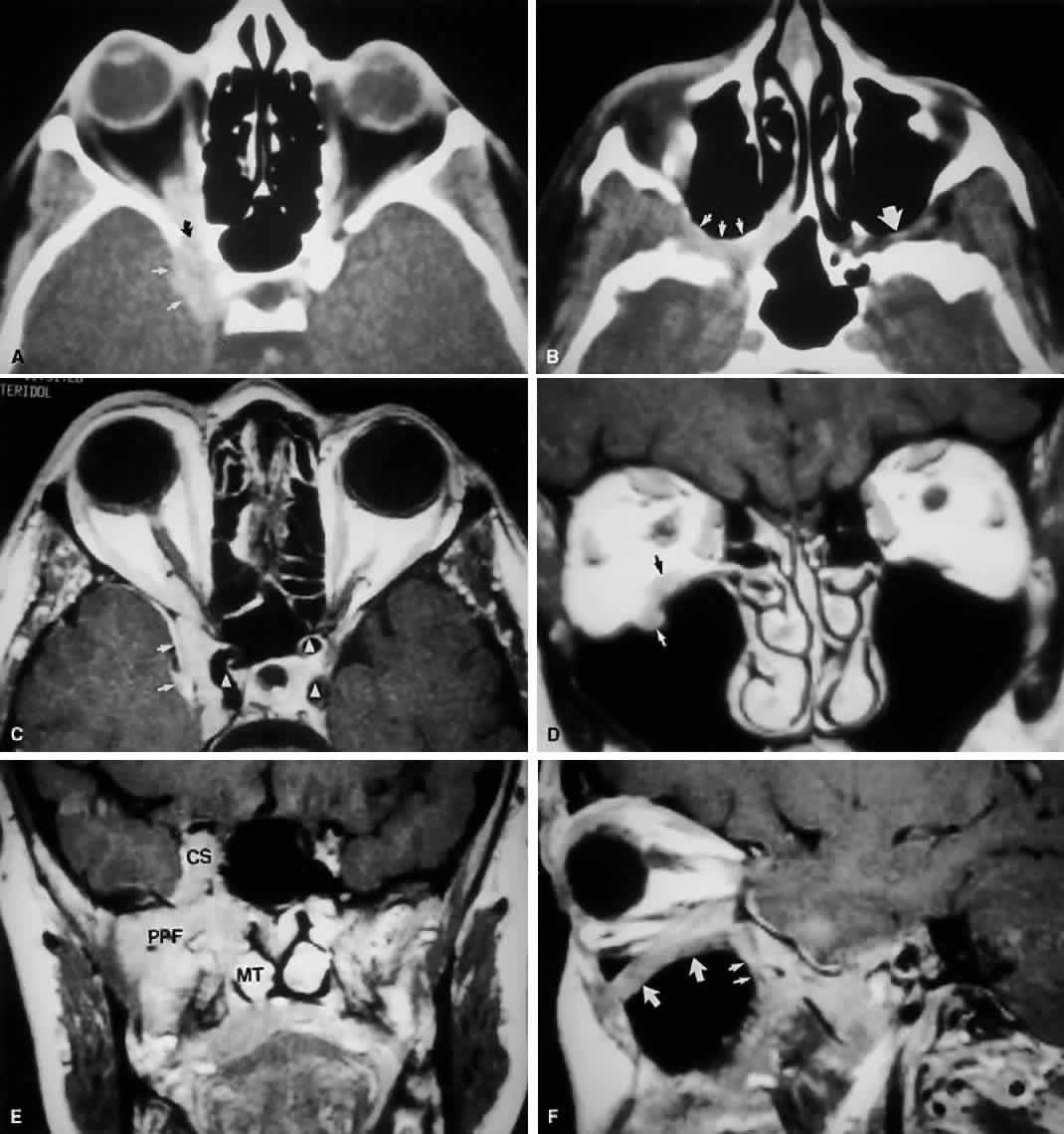
A clear understanding of the relation of the bony orbit to the skull and the midface allows for a logical interpretation of the clinical and radiographic patterns of orbital disease. The bones of the face may be considered to hang from the skull, with attachments at the frontozygomatic and frontoethmoidal sutures, as well as the sphenoid bone. Craniofacial dysjunction occurs in these areas in Le Forte III fractures, and the sites of craniofacial articulation are also the basis for the Le Forte III osteotomies used for facial reconstruction in patients with craniofacial synostoses. The complex shape of the sphenoid wing provides for an intimate communication between the CS, the orbital apex, and the pterygopalatine fossa. Radiographically, the spaces and foramina of the orbital apex may be considered to lie in three tiers (Fig. 8). The CS is found on the same level as the orbital apex, connecting directly with it via the superior orbital fissure (SOF) to form the middle tier. The inferior tier is formed by the inferior orbital fissure (IOF), which provides direct communication between the orbital apex and the pterygopalatine fossa, a vertically oriented space directly behind the maxillary sinus. Finally, the optic canal has no direct communication with any of the aforementioned spaces and should be considered to lie above the SOF and CS, exiting the orbit in a superomedial course through the body of the sphenoid as the superior tier.26 Orbital apical lesions can therefore gain ready access to the CS and pterygopalatine fossa (Fig. 9). Spread into the cranial vault through the optic canal is usually limited to lesions of the optic nerve (glioma) or nerve sheath (meningioma). PARANASAL SINUSES The orbit is surrounded on three sides by the paranasal sinuses (see Fig. 5). The ethmoid sinus runs along the medial orbital wall and is divided into anterior, middle, and posterior air cells by a highly variable system of septa. It is the only sinus to be fully pneumatized at birth. The thin lamina papyracea of the medial orbital wall and the vascular foramina for the anterior and posterior ethmoidal arteries provide scant resistance to the extension of infections and tumors from the ethmoidal sinus to the orbit, even in the adult (Fig. 10). The maxillary sinus borders the orbital floor and is fully pneumatized by 2 to 4 years of age. Unlike the ethmoid sinus, it contains no supporting septa. Although the lamina papyracea is the thinnest of the orbital walls, the network of septations within the ethmoid air cells acts as a supporting scaffolding to the medial orbital wall, much the same way that corrugations strengthen cardboard. Thus, the orbital floor, although not the thinnest wall, is the most frequently fractured, having no underlying support within the maxillary sinus. The posterior wall of the maxillary sinus forms the anterior wall of the pterygopalatine fossa. Frontal sinus pneumatization is highly variable and may continue into the teenage years. Because it drains into the anterior ethmoid air cells, the frontal sinus is often concurrently involved in ethmoid sinus pathology. Supraorbital sinuses are defined as lateral extensions of the ethmoid sinus and span the orbital roof for variable lengths. On occasion, pneumatization to the level of the frontozygomatic suture may occur. Finally, the sphenoid sinus abuts the orbital apex and is the last to pneumatize. Because of the proximity of the optic canal and CS (see Fig. 8), any sphenoid sinus pathology may manifest as a parasellar syndrome (discussed later). Pneumatization of the sphenoid sinus may extend into the anterior clinoid process, a variation of normal anatomy often encountered in orbital imaging studies. FORAMINA AT THE ORBITAL APEX The orbit is generally found to contain nine openings (Table 5). Only the optic foramen, SOF, and IOF will be discussed in detail (see Fig. 8). The optic foramen is located in the medial wall of the orbit in the body and lesser wing of the sphenoid bone. The optic canal is 4 to 10 mm long and 6.5 mm wide. On imaging studies, a 1-mm difference between canal diameters is considered clinically significant. The optic canal transmits the optic nerve, the ophthalmic artery, and the sympathetic innervation to the orbit. Note that sympathetic nerves also travel with the nasociliary nerve via the SOF.
TABLE FIVE. The Nine Canals and Fissures of the Orbit*
*The tenth opening, the frontosphenoid foramen, is not present in all cases.
The optic nerve is tethered on both ends of the canal by the annulus of Zinn intraorbitally and by a dural fold intracranially. The dura of the optic nerve also has strong attachments to the periosteum within the canal.26 Because the canal flares in diameter toward the cranial end, the tightest attachments of dura to the optic canal are at the proximal end (annulus of Zinn). The location of the optic canal and the tethering of the optic nerve within it may explain the etiology of posterior indirect traumatic optic neuropathy. Cadaver studies have shown that stress on the frontal bone is transferred in a reproducible pattern to the body of the sphenoid and the optic canal, potentially resulting in optic canal fracture.27 Further, the tethering of the optic nerve at the annulus of Zinn may cause an acute “stretch injury”at this site during deceleration: as the rigid facial skeleton simply stops on hitting any rigid structure (e.g., the steering wheel in a motor vehicle accident), the soft tissue of the orbit continues to moves forward until stopped by the tethered optic nerve. Both of these mechanisms may then result in edema of the optic nerve within the closed space of its bony canal, leading to traumatic optic neuropathy. The SOF is 22 mm long and separates the greater and lesser wings of the sphenoid bone. Note in Figure 8 that it lies lateral and slightly below the optic foramen in radiographic studies. Also note that the (SOF, and not the optic foramen, is located at the apex of the orbit (Fig. 11). The SOF is split into two compartments by the lateral rectus muscle. The medial compartment contains the oculomotor (superior and inferior divisions) nerve, nasociliary nerve, abducens nerve, sympathetic and parasympathetic fibers, and superior ophthalmic vein. The lateral compartment transmits the lacrimal, frontal, and trochlear nerves. This extraconal location of the trochlear nerve is appreciated clinically after retrobulbar anesthesia. Although the anesthetic block effectively causes akinesia of the EOMs, the patient often can still intort the globe because of the intact innervation to the superior oblique muscle. The IOF separates the lateral and inferior orbital walls. It transmits the maxillary nerve (V-2), zygomatic nerve, and inferior ophthalmic vein (as well as the pterygopalatine nerve and the pterygopalatine ganglion nerve) and directly communicates with the pterygopalatine fossa, a vertically oriented space behind the maxillary sinus. The IOF varies in its distance from the orbital rim but may approach it quite closely (10 mm) before becoming the infraorbital canal. The location of the IOF and the slope of the orbital floor are two important points to keep in mind during surgical repair of an orbital floor fracture (see Fig. 7B). The tightly adherent periorbita at the IOF may be misinterpreted as entrapped orbital tissue. Aggressive dissection will result in severe bleeding from the infraorbital artery. The 15° to 20° upward slope of the orbital floor from anterior to posterior (see Fig. 7B) causes the bone to travel out of view as more posterior dissection is performed with the surgeon at the head of the operating table. If this slope is not recreated during reconstruction, posttraumatic enophthalmos may result because of an enlarged orbital space from a “flat”orbital floor. ANNULUS OF ZINN The annulus of Zinn represents a complex, dense, fibrous band of connective tissue with firm attachments to the periosteum of the orbital apex (Fig. 12). Medially, it is fused to the optic nerve sheath, which may account for the pain during eye movements experienced by patients with optic neuritis. All four rectus muscles arise directly from the annulus. Conversely, the levator and superior oblique muscles are not attached to the annulus, arising instead above the superior rectus muscle and the lesser wing/body of the sphenoid, respectively (Table 6). The final EOM, the inferior oblique, begins lateral to the nasolacrimal duct ostium in the anterior orbit.
TABLE SIX. Extraocular Muscle Pearls Levator Palpebrae Superioris
CAVERNOUS SINUS The relation between the CS (Fig. 13) and the orbit is often misunderstood. Briefly, the CS is a venous space located directly behind the SOF and serves as a conduit for most of the motor, sensory, and autonomic nerves that supply the orbit. It is also the major venous drainage for the orbit.3,4 The CS contains the carotid siphon (the S-shaped portion of the internal carotid artery [ICA]), sympathetic fibers closely associated with the carotid artery, cranial nerves III (oculomotor), IV (trochlear), V-1 (ophthalmic division of trigeminal), and VI (abducens), and, as already noted, a venous plexus. The venous plexus communicates with the contralateral CS through an ostium. Parasympathetic fibers also travel through the CS from the Edinger-Westphal nucleus as part of the oculomotor nerve. Remember that a second set of parasympathetics enters the orbit via the sphenopalatine ganglion (see below). In most cases, the maxillary division of the trigeminal nerve (V-2) is closely related to, but not quite within, the posterior and inferior portion of the CS.3,5 SYMPATHETIC AND PARASYMPATHETIC INNERVATION, CILIARY GANGLION Ciliary Ganglion The ciliary ganglion is a flattened, quadrangular structure located deep in the orbit, temporal to the optic nerve and 1 cm anterior to the orbital apex (Fig. 14).28 True ganglion cells and sustentacular or satellite spindle cells, along with the axons of the entering and emerging nerve fibers, form the substance of the ganglion. Rare chemodectomas and primary orbital carcinoids possibly may arise from ciliary ganglion.29–32 Degeneration, trauma, inflammation, or viral infection of the ganglion can cause an efferent (Adie's tonic) pupil; the dissection of the short posterior ciliary nerves necessary to perform optic nerve sheath fenestration often results in a temporary sectoral tonic pupil.33 The ciliary ganglion contains three roots, only one of which actually synapses within the ganglion:
SYMPATHETIC INNERVATION OF THE ORBIT The sympathetic chain travels into the calvarium as a plexus surrounding the ICA.6 Within the CS, nerve fibers leave the carotid siphon to enter the orbit through two routes (see Fig. 14B):
Damage to any portion of the sympathetic chain results in Horner's syndrome (i.e., miosis and ptosis, possibly with anhydrosis depending on the location of the lesion). In general, a lesion of the sympathetics in the CS will at most result in anhydrosis of the forehead (the cheek and remainder of the face are supplied by a different sympathetic route). PARASYMPATHETIC INNERVATION OF THE ORBIT Parasympathetic fibers supply different structures in the orbit by two separate routes (see Fig. 14A):
Thus, parasympathetic supply to the lacrimal gland is distinct from that of the globe and is more closely related to the innervation of the parotid and accessory salivary glands. Short-circuiting or misdirected innervation results in the gustolacrimal reflex (“crocodile tears”).34 The complex parasympathetic innervation of the orbit is summarized in Table 7.
TABLE SEVEN. Parasympathetic Pearls Parasympathetic fibers to the globe travel with CN III
CLINICAL PRESENTATIONS AT THE ORBITAL APEX Before neuroimaging by CT and MRI, several clinical syndromes were used to describe lesions at specific sites of the cranio-orbital junction. Because of the widespread availability of neuroimaging today, these various clinical subtleties are less important. However, a clear understanding of cranio-orbital anatomy requires a knowledge of possible clinical manifestations. In general, cranio-orbital syndromes may be described as superior orbital fissure syndrome, orbital apex syndrome, and cavernous sinus syndrome (Fig. 15).7,8 The distinction between these presentations depends on the involvement of CN V-2, the sympathetic nerves, and the optic nerve (Table 8). It is much easier simply to call the constellation of signs of cranio-orbital disease the parasellar or sphenocavernous syndrome, rather than attempting to be too specific in an area where the clinical presentations are seldom as distinct as described in Table 8.
TABLE EIGHT. Parasellar Syndromes Superior Orbital Fissure Syndrome: Involvement of CN V-2 indicates posterior cavernous sinus location because
of the proximity of V-2 to the posterior portion of the CS.
The differential diagnosis for parasellar syndrome is listed in Table 9, but two points are worth stressing. First, the most common neoplasias by far of this region are meningiomas and pituitary adenomas. Second, the diagnosis of Tolosa-Hunt syndrome is often misused. This specific entity is rigorously defined as granulomatous inflammation around the carotid siphon (resulting in the clinical findings of a painful parasellar syndrome).9,10 In general, Tolosa-Hunt syndrome is responsive to corticosteroid therapy11,12 but is not equivalent to orbital apical pseudotumor (nongranulomatous inflammation). Further, Tolosa-Hunt syndrome is a diagnosis of exclusion and should never be applied liberally.13 Remember that other entities, including meningiomas, aneurysms, and even infection, have been reported to respond to corticosteroids (i.e., misdiagnosed as Tolosa-Hunt syndrome).
TABLE NINE. Differential Diagnosis of Cranio-orbital Lesions Inflammatory, Noninfectious Adjacent sinusitis Viral Herpes zoster (rarely, simplex) Fungal Mucor Vascular Carotid/ophthalmic artery aneurysms Arteriovenous malformations Carotid—cavernous fistulas Dural—sinus fistulas Aseptic cavernous sinus thrombosis Vasculitic Temporal arteritis Wegener's granulomatosis Neoplasia Meningioma Pituitary adenoma Lymphoma Craniopharyngioma Nasopharyngeal carcinoma Neurolemmoma Glioma Chordoma Chondroma/chondrosarcoma Multiple myeloma/leukemia Metastatic disease Carcinomatous meningitis Trauma Fractures Hematoma Tolosa-Hunt syndrome Miscellaneous/Systemic Fibrous dysplasia Diabetes/hypertension Rheumatoid arthritis/SLE Dermoid Mucocele
MOTOR AND SENSORY NERVES Tables 10 and 11 summarize the important features of each of the cranial nerves supplying the orbit (Fig. 16, see Fig. 12). Several points are worth mentioning. First, the optic nerve assumes an S-shaped course within the orbit. Because the intraorbital nerve is about 25 mm long and the distance from the back of the globe to the optic foramen is 18 mm, 7 mm of slack remains. This degree of potential mobility allows the nerve to remain unaffected during ocular rotations and provides a cushion for axial proptosis (Fig. 17).
TABLE TEN. Cranial Nerve Features
TABLE ELEVEN. The Trigeminal Nerve Ophthalmic Division (V-1) Long ciliary nerves (2) Maxillary Division (V-2) Travels just inferior to the cavernous sinus to enter the face through the foramen rotundum Enters the pterygopalatine fossa just inferior to the orbit Postganglionic secretory fibers to the lacrimal gland join from the sphenopalatine ganglion to travel with the zygomatic branches Zygomaticofacial and zygomaticotemporal nerves Enter the orbit from the pterygopalatine fossa through the inferior orbital fissure Carry sensory input from the skin overlying the lateral orbit Carry parasympathetic fibers to the lacrimal gland Infraorbital nerve Travels along the inferior orbital fissure to enter the infraorbital canal Exits from the infraorbital foramen 4–10 mm inferior to the orbital rim Mandibular Division (V-3) Enters the face through the foramen ovale Contains both sensory and motor fibers Supplies motor input to the muscles of mastication Sensory supply: jaw, anterior two thirds of tongue, external ear, tympanic membrane. Trigeminal Reflexes Corneal blink V to VII Oculocardiac V to XI (vagal) most notable with tension on medial rectus muscle Corneolacrimal V to VII responsible for reflex tearing
Second, the motor fibers to the EOMs usually enter the inner aspect of each muscle at the junction of the posterior one third and the anterior two thirds of the muscle's length. The exception is the nerve to the inferior oblique, which runs along the lateral aspect of the inferior rectus muscle to enter the inferior oblique muscle near the globe's equator (see Fig. 14). This nerve may be damaged with manipulation of inferior orbital soft tissue during repair of an orbital floor fracture. Because the parasympathetic fibers of the pupil also travel with the nerve to the inferior oblique at the orbital apex, any anterior traction may cause contusion to these more posterior fibers, resulting in a postoperative Adie's pupil.14 VASCULAR SUPPLY Arteries The tissues of the orbit and periorbital region derive their blood supply from two sources—the internal and external carotid arteries.15 Although the majority of orbital blood supply comes from the ICA, anastomoses with external carotid supply are numerous. The ICA enters the calvarium through the foramen lacerum, runs near the posterior clinoid process, and then makes a sharp turn to enter the CS with the abducens nerve (see Fig. 13). As already noted, within the CS the ICA has an S-shaped course called the carotid siphon. As the ICA exits the CS, it gives off its first major intracranial branch, the ophthalmic artery. Before giving off the ophthalmic artery, the ICA has several minor branches that supply the meninges, including the dura of the lateral wall of the CS. An abnormal communication between the arterial and venous supply of the CS results in either a carotid-cavernous fistula or a dural-sinus fistula (Fig. 18A). Because of the larger caliber of the ICA, a carotid-cavernous fistula is usually symptomatic secondary to a high flow state, possibly manifesting as orbital/ocular ischemia and increased intraocular pressure. This type of fistula is most commonly encountered in younger patients after blunt trauma and may require invasive neuroradiologic treatment (Fig. 18B). Conversely, a dural-sinus fistula is typically a low-flow state because the abnormal communication forms between the small-caliber dural arterial feeders of the lateral CS wall and the venous plexus of the CS. Such fistulas are usually seen in older individuals as a spontaneous event. Depending on the severity of symptoms, most dural sinus fistulas are simply followed by observation because of the high rate of spontaneous closure. The ophthalmic artery enters the optic canal inferolateral to the optic nerve, carrying with it a sympathetic plexus from the ICA. The intraorbital course of the ophthalmic artery is highly variable. In about 83% of cases, the artery crosses over the optic canal from lateral to medial and continues to travel superomedially in the orbit to its terminal branches. While still within the orbit, the ophthalmic artery gives off several branches.16 These are most easily subdivided into three groups: ocular, muscular, and extraorbital (Table 12, Fig. 19).
TABLE TWELVE. Three Arterial Groupings (Circles) of the Orbit Ocular (Posterior):
The optic nerve derives its blood supply from three sources: the central retinal artery, the pial perforators, and the short posterior ciliary arteries.17 Note that the two long posterior ciliary vessels do not supply the optic nerve. Instead, they travel anteriorly within their scleral canal to supply the major arterial circle of the globe located at the iris root. The major arterial circle is also supplied by the terminal branches of the seven muscular arteries, which enter each rectus muscle with the motor nerve at the posterior third of the muscle. Note that the lateral rectus muscle has only one muscular artery but derives an additional blood supply from the lacrimal artery. The extraorbital or anterior arterial circle includes the ethmoidal arteries, which act to tether the ophthalmic artery to the medial wall of the orbit, and terminal branches which exit the orbit anteriorly to anastomose with the external carotid arterial supply of the face. The anterior and posterior ethmoidal vessels are important landmarks during medial orbitotomy. Because their ostia run through the frontoethmoidal suture, they are found at the level of the cribriform plate (skull base) (see Fig. 7). The anterior to posterior location of these arteries is also an important guide to the optic foramen: the anterior ethmoidal artery is located 24 mm posterior to the anterior lacrimal crest, the posterior ethmoidal artery is 12 mm posterior to the anterior ethmoidal artery, and the optic foramen is 6 mm posterior to the posterior ethmoidal artery. Thus, remembering the numbers 24-12-6 is helpful as a guide to the optic foramen. The terminal branches of the ophthalmic artery are the supratrochlear, infratrochlear, and dorsal nasal arteries, which supply the glabella and medial canthus and form the medial half of the palpebral arcades (Fig. 20A). The dorsal nasal artery (ICA) anastomoses with the facial artery (external carotid artery) to form the angular artery, often encountered during dacryocystorhinostomy. The terminal arteries of the orbit exit around the orbital rim to form three main anastomoses with the external carotid arterial supply of the face, namely with the facial artery, the superficial temporal artery, and the maxillary artery (see Fig. 20B). The eyelids are supplied chiefly by palpebral arcades that course across the lids from medial and lateral arteries. In most cases, the upper eyelid contains two arcades, the marginal and peripheral, whereas the lower eyelid contains only one arcade, the peripheral. The peripheral arcades are found at the peripheral border of each tarsal plate, lying between the eyelid retractors. In the upper eyelid, the peripheral arterial arcade is commonly encountered during levator surgery between the levator aponeurosis and Müller's muscle. The medial palpebral artery pierces the orbital septum and follows a tortuous course through the medial fat pad of the upper eyelid as it anastomoses with deeper orbital vessels.35 Clamping of the medial fat pad before excision is important in preventing excessive bleeding during upper eyelid surgery. A summary of important vascular characteristics of the orbit is found in Table 13.
TABLE THIRTEEN. Vascular Pearls
Veins Within the soft tissue of the orbit, venous drainage is distinctly separate from the arterial supply; a similar arrangement is found intracranially. Although the veins are found in a relatively reproducible pattern within the orbital septal system, the arteries travel more haphazardly within orbital fat.18 All orbital veins are valveless; this may facilitate more rapid posterior spread of infectious processes within the anterior orbit. The major venous drainage of the orbit is the superior ophthalmic vein and the CS (Fig. 21). The superior ophthalmic vein follows a medial-to-lateral route posteriorly along the superior orbit, tethered beneath the superior rectus muscle by a fascial sling.19 At the orbital apex, it is usually joined by the inferior ophthalmic vein, which also communicates through more minor branches with the pterygopalatine plexus through the IOF. The central retinal vein typically drains directly into the CS without joining the superior ophthalmic vein. Anteriorly, the orbit also drains into the angular vein of the facial plexus. Lymphatics To date, no lymphatic system has been identified within the human orbit, although recent studies that identified lymphatic drainage in primate orbits make this an intriguing possibility.20 In the eyelids, lymphatic drainage occurs through a deep (posterior lamellar) and superficial (anterior lamellar) system. The medial aspect of the eyelids drains into the submandibular lymph nodes, whereas the lateral aspect and most of the upper eyelid drain into the preauricular and parotid nodes. EXTRAOCULAR MUSCLES AND ORBITAL FASCIAL SYSTEM The EOMs insert 5.5 to 8 mm behind the limbus of the globe. Specific details regarding the dimensions and functions of each EOM are found elsewhere. Useful points are summarized in Table 6. The EOMs are striated and composed of aerobic, twitch-type Fibrillenstruktur fibers and anaerobic, tonic-type Felderstruktur fibers.36,37 The most common affliction of the EOMs is inflammatory myositis, which is seen most typically in thyroid-related orbitopathy and idiopathic inflammatory pseudotumor. Rhabdomyosarcoma, a tumor with focal striated muscle differentiation that generally occurs in children, appears to arise from indifferent orbital mesenchyme rather than from preformed and completely differentiated striated muscle fibers. Landmark anatomic investigations by Koornneef38–40 have shown that there are highly elaborate and reproducible connections of the epimysium of the EOMs with the fibrous connective tissue system of the orbital fat, the epibulbar fascia of Tenon's capsule, and the periosteum (periorbita) (Fig. 22). This extensive yet reproducible network of connective tissue provides support for the delicate neurovascular structures traversing the orbit, both facilitates and restricts the movement of EOMs in a coordinated fashion, and compartmentalizes the orbit into various spaces. Because of the inherent complexity of the orbital connective tissue system, any disruption in one area of the orbit may cause significant dysfunction of more distant areas. For example, these connections become clinically important in the understanding of restricted motility after orbital wall fracture and orbital decompressions for Graves' orbitopathy, as well as the superior sulcus and lower eyelid deformities that follow enucleation and orbital implant placement. To promote a clearer understanding, Dutton has succinctly summarized the orbital connective tissue system by dividing it into three components: Tenon's capsule, the anterior orbital suspensory system, and the posterior orbital suspensory system.41 The three components should not be considered as distinct anatomic entities, because complex attachments unite this triad into one comprehensive unit. Tenon's capsule begins anteriorly just posterior to the limbus with firm attachments to the underlying episclera, investing the globe in an elastic and vascular connective tissue cover. The capsule also encompasses the anterior portions of the EOMs. Posteriorly, Tenon's capsule surrounds the optic nerve, interdigitating with the dural sheath. Other than its anterior and posterior attachments to the globe, Tenon's capsule is only loosely adherent to the underlying sclera, thereby cushioning the movement of the globe. An intermuscular fibrous membrane connects the four rectus muscles around the globe to create a distinct intraconal space, but in the deeper orbital tissues this membranous system is not complete, so that the distinction between a central and a peripheral orbital space is lost toward the orbital apex. Anteriorly, the intermuscular fibers also blend with Tenon's capsule, creating a sort of rotating sleeve around the globe during ocular rotations. The anterior orbital suspensory system is primarily concerned with providing support for the globe and fixation for eyelid structures. In addition, fascial support exists for the lacrimal gland (Sommering's ligaments) and the superior oblique muscle in the area of the trochlea. The four main structures of the anterior system are Whitnall's suspensory ligament, Lockwood's ligament, and the medial and lateral canthal tendons. These structures are discussed in detail elsewhere. The anterior suspensory system also provides anchoring points for the check ligaments of the EOMs, limiting their overaction during ocular rotations. As already noted, the orbital septal system becomes less defined more posteriorly. The well-defined intraconal space encountered anteriorly blends with the surrounding extraconal space as one approaches the orbital apex. The annulus of Zinn, discussed earlier, forms dense adhesions to the periosteum of the orbital apex around the optic canal and SOF (see Fig. 12). In addition, fibers pass inferiorly along the IOF to interdigitate with Müller's orbital muscle, which spans the fissure. As the levator palpebrae superioris (levator) muscle and superior rectus muscle course anteriorly, diffuse connections form to the orbital roof, creating an effective suspensory system. Further, diffuse fascial connections form between the levator and superior rectus muscles, allowing precise coordination of upper eyelid retraction with upgaze. Note that on imaging studies, the close association of these two muscles often makes them look like a single anatomic unit; the term “levator-superior rectus complex”is often found in radiologic reports (see Fig. 17). A fascial sling forms beneath the superior rectus muscle to provide suspensory support for the superior ophthalmic vein. The medial rectus muscle has few important attachments to the posterior medial orbital wall, in contrast to the lateral rectus muscle, which has diffuse attachments to the lateral orbital wall from the lateral canthal tendon anteriorly to the annulus of Zinn posteriorly. Presumably, the extensive fascial attachments of the lateral rectus muscle sheath provide a firm attachment sleeve within which the lateral rectus muscle can function while still subtending a significant arc around the globe.41 The orbital muscle of Müller spans the IOF, separating the orbit from the pterygopalatine fossa below. The function of this smooth muscle in humans is unclear. It may simply represent an anatomic relic of evolution: Dutton notes that the orbital floor in lower mammals is poorly defined posteriorly and in need of muscular support.41 Some anatomists also ascribe a vasculosympathetic function to the muscle, given its proximity to the inferior ophthalmic vein. LACRIMAL SYSTEM Drainage System Drainage of tears from the eyelids into the nose requires a patent drainage system (Fig. 23) comprising the puncta, canaliculi, lacrimal sac, and nasolacrimal duct, proper positioning of the eyelids against the globe, and an intact lacrimal pump function.42,43 If any of these components fails, epiphora will result. The puncta are defined as the openings of the canaliculi onto the eyelid margin (see Fig. 6). Each punctum measures about 0.3 mm in diameter and is found 0.5 to 1.0 mm medial to the end of the tarsal plate. The upper punctum is usually found slightly nasal to the lower punctum, each measuring 6 mm and 6.5 mm from the medial commissure, respectively. Thus, the puncta do not overlap each other during eyelid blink. Peripunctal tissue is avascular and rich in elastic tissue. This last point is documented clinically when observing the rapid collapse of the puncta in younger patients immediately after probing. The canaliculi begin anatomically at the puncta. The vertical portion measures about 2 mm, with an ampulla (2.5 mm in diameter) forming just beneath the punctal opening. The horizontal portion measures 8 mm in length, surrounded by the medial portions of the muscle of Riolan (also known as Horner's muscle, an extension of the pretarsal orbicularis) and traveling through the fiber network of the medial canthal tendon. The diameter of each canaliculus is only 1 mm. In more than 90% of individuals, the canaliculi join to form a common canaliculus known as the ampulla of Maier, which then enters the lacrimal sac at the common internal punctum. The common internal punctum forms the first major valve of the lacrimal system, the valve of Rosenmuller, and acts to prevent reflux of tears back into the canaliculi during lacrimal pump function. The lacrimal sac is found within its bony fossa, formed by the anterior and posterior lacrimal crests (see Fig. 7A and B). It measures 12 to 15 mm in length and has strong attachments over its lateral surface from the medial canthal tendon and fibers of the orbicularis (Horner's and Jones' muscles). The portion of the sac found above the medial canthal tendon is defined as the fundus, measuring 3 to 5 mm in height. Inferiorly, the sac opens into the nasolacrimal duct at the lacrimal ostium. (Note the proximity of the inferior oblique muscle origin, an important consideration during surgery of the lacrimal sac.) The pseudostratified nonkeratinized columnar epithelium of the lacrimal sac is thrown into numerous folds that form a screwlike passageway for tear outflow. Although each fold has been given various eponyms (see Fig. 23B), these are not important to remember; rather, understand that the folds as a unit perform the important function of efficiently driving tear flow in a unilateral direction down the nasolacrimal duct. The walls of the sac are rich in elastic tissue, thereby allowing for the constant collapse and reformation of the sac during the blink reflex. The nasolacrimal duct travels within its canal for 12 mm through the nasofrontal process of the maxillary bone, opening intranasally into the inferior meatus, found just beneath the inferior turbinate. The opening of the nasolacrimal duct is about 16 to 25 mm posterior to the tip of the nose in adults, and about half that distance in children. The duct travels in a posterior and lateral direction,24 angulating 15° and 5°, respectively. As already noted, the inferior opening of the duct is defined as the valve of Hasner. The lacrimal pump mechanism is described elsewhere. In addition to the dynamic process of the pump, gravity also assists in tear outflow. SECRETORY SYSTEM The aqueous portion of the tear film is produced by several glandular units found within the eyelids and anterior orbit. Considerable controversy exists regarding the innervation and contribution of each set of glands.28 One theory put forth by Jones defines the main lacrimal gland as a “reflex”secretor (i.e., dependent on neural stimulation for tear production), whereas the accessory lacrimal glands found along the inner aspect of the eyelids are called “basic”secretors, producing tears at a constant, unchanging rate.29 This theory forms the basis for the Schirmer tests of tear production. In the fully developed orbit, the lacrimal gland is normally impalpable and is situated in a small fossa behind the superotemporal orbital rim. It is not an encapsulated structure but rather is an aggregated collection of lobules of secretory tissue set in the superotemporal orbital fat, with interlobular ducts converging into the main excretory ducts in the superotemporal fornix. Within the secretory acini are located inner columnar to cuboidal zymogen-bearing cells, on the outer aspect of which are applied contractile myoepithelial cells. Mucus-producing elements are not present. Myoepithelial cells are not present in the terminal intralobular ductules or in the interlobular ducts. The acinar elements are not capable of regenerating after inflammatory insults, and the regenerative capacity of the gland resides in the terminal ductules. Lymphoid tissue is present in the substantia propria of the conjunctiva, and lymphocytes and plasma cells are lightly dispersed among the secretory acini of the lacrimal gland, but the deep orbital tissue is devoid of a standing population of lymphoid cells. Based on a study of the immunoarchitecture of the lacrimal gland using monoclonal antibodies as markers, plasma cells are the predominant mononuclear cell type, making up 54%, and are located in the interstitium of the gland. Immunoglobulin A (IgA) vastly predominates over other immunoglobulin types; lymphocytes of the substantia propria of the conjunctiva and of the lacrimal gland secrete IgA, which has a secretory piece added to it as it moves across the ducts of the gland or the conjunctival epithelium. T cells make up 40% of all mononuclear cells, with T8 suppressor/cytotoxic cells outnumbering T4 helper cells. Occasional small lymphoid aggregates without germinal centers may also be seen at the juncture of intralobular and interlobular ducts, in which T4 helper cells predominate and a smattering of B cells are found. Lymphoid tumors, representing reactive hyperplasias and true lymphomas, consequently are derived from blood-borne lymphocytes that emigrate from the orbital vascular system into the orbital connective tissues, generally into the orbital fat. To date, there are no identifiable endothelial-lined lymphatics within the orbit, although the lacrimal gland itself contains lymphatic channels that drain to the preauricular and cervical nodes. The fact that the lacrimal gland has a standing population of lymphocytes and plasma cells—which are not, however, organized into lymph nodes (as may be seen in the parotid gland)—may explain the relative frequency of the development of idiopathic dacryoadenitis and lymphoid tumors of the gland. Inflammatory pseudotumors, lymphoid tumors, inflammations such as sarcoidosis and Sjögren syndrome, and epithelial tumors are the main types of pathology that arise from or involve the lacrimal gland. The main lacrimal gland is split into two lobes, the palpebral and the orbital, by the lateral horn of the levator aponeurosis2 (Fig. 24). The palpebral lobe measures about one-third the volume of the orbital lobe, and its subconjunctival location is easily identified during slit-lamp examination. The orbital lobe lies within its fossa, a concavity found within the lateral portion of the orbital roof. Fibrous septa known as Sommering's ligaments run from the gland to attach it more firmly to the periosteum of the lacrimal gland fossa. Whitnall's ligament also adds support for lacrimal gland suspension.30 (The lacrimal sac fossa is distinctly separate from the lacrimal gland fossa; the term “lacrimal fossa”is discouraged because it is confusing in its nonspecificity.) The shape of the orbital lobe is rather like that of a pancake (see Fig. 21B). The orbital lobe is usually limited to its fossa, but it is not uncommon to encounter posterior tails of lacrimal gland tissue traveling toward the orbital apex on routine CT/MRI studies.1 Likewise, the palpebral lobe may extend as inferiorly as the lateral canthal tendon in some individuals.31 Tear outflow passes from the orbital to the palpebral lobe through the levator aponeurosis; aggressive dissection in this area during levator surgery can thus damage the outflow mechanism. The palpebral lobe opens into the superolateral conjunctival fornix through 10 to 12 ductules. Innervation to the lacrimal gland remains controversial32 but can be summarized succinctly as sensory innervation from the lacrimal nerve (V-1) and parasympathetic innervation from the pterygopalatine ganglion.23 The role of sympathetic innervation is not completely understood. The accessory lacrimal glands or basic secretors are usually grouped as the glands of Krause, found along the conjunctival fornices, and the glands of Wolfring, found along the superior tarsal border of the upper eyelid. The glands of Wolfring may be injured during ptosis repair by a posterior approach. The glands of Popov are located within the substance of the caruncle. Two additional components of the tear film are mentioned briefly. The outer lipid layer is produced by the meibomian glands, which form excavations within the tarsus and open at the eyelid margin (and by minor contributions from the glands of Zeis and Moll of the eyelash follicle). The inner mucin layer is made by the conjunctival goblet cells. |