Chapter 10
Functional Morphology of the Trabecular Meshwork
ELKE LÜTJEN-DRECOLL and JOHANNES W. ROHEN
Main Menu   Table Of Contents

Search

ANATOMY
MORPHOLOGY OF THE TRABECULAR LAMELLAE
CONNECTIONS OF THE TRABECULAR MESHWORK WITH THE CILIARY MUSCLE
TRABECULAR CELLS
TRABECULAR MESHWORK IN GLAUCOMATOUS EYES
REFERENCES

ANATOMY
The chamber angle is formed by the iris root, the connective tissue in front of the ciliary body (ciliary body band), and the trabecular meshwork (TM) up to Schwalbe's line (Fig. 1). In the human, Schlemm's canal is situated within the sulcus sclerae. Posteriorly the sclera protrudes inward by forming the wide, wedge-like scleral spur where the anterior ciliary muscle tips end and most of the TM begins (so-called corneoscleral portion). The inner part of the TM is fixed to the connective tissue in front of the ciliary muscle and to the iris root and is continuous posteriorly with the uvea (so-called uveal part of the TM). Internal to the uveal meshwork, radially oriented tissue strands are seen that run from the iris root up to the cornea or to the TM. These interconnected strands represent remnants of the pectinate ligament, which is well developed in most mammalian eyes (iridial meshwork). Adjacent to Schlemm's canal a loosely arranged meshwork is formed, which is rich in cells and extracellular material and is termed the cribriform layer (juxtacanalicular tissue, or endothelial meshwork). Because Schlemm's canal is smaller in the anteroposterior direction than the entire distance from the scleral spur to Schwalbe's line, one can differentiate between a filtering and a nonfiltering portion of the TM.

Fig. 1. Organization of the chamber angle and the trabecular meshwork. A, Nonfiltering portion of the trabecular meshwork; B, filtering portion of the trabecular meshwork; 1, iridial meshwork (pectinate ligament); 2, uveal meshwork; 3, corneoscleral meshwork; 4, cribriform layer (juxtacanalicular or endothelial meshwork); 5, ciliary meshwork (ciliary body band).

TRABECULAR MESHWORK AND SITE OF AQUEOUS OUTFLOW RESISTANCE

Aqueous humor leaves the anterior chamber mainly by way of Schlemm's canal after having passed through the TM. From Schlemm's canal, the fluid is drained into 25 to 35 collector channels that are connected to the intrascleral and episcleral venous plexus.1,2 Some fluid also penetrates into the ciliary body, leaving the eye through the choroid and sclera (so-called uveoscleral flow) (Fig. 2).3,4

Fig. 2. Aqueous circulation system. Direction of aqueous flow indicated by arrows. 1, Aqueous formation by ciliary processes; 2, aqueous drainage through trabecular meshwork and Schlemm's canal; 3, uveoscleral flow; 4, absorption by iris stroma; 5, fluid from the cornea pumped into the anterior chamber by the cornea endothelium.

To maintain an intraocular pressure (IOP) of around 17 mm Hg against a venous pressure of 7 to 9 mm Hg, the outflow tissues must provide the necessary resistance. There has been a protracted debate as to the exact anatomical location of the outflow resistance. From experimental studies on enucleated human and monkey eyes it can be concluded that most of the resistance is located internally to Schlemm's canal in the TM, presumably in the cribriform or subendothelial region of Schlemm's canal.5,6

Scanning electron micrographs of serial layers through the entire meshwork and tangential sections (parallel to the inner wall of Schlemm's canal) reveal that the form of the trabecular lamellae and of the intertrabecular spaces changes markedly from the inner to the outer portions of the meshwork. The innermost iridial meshwork consists mostly of long, radial, interconnecting strands forming an irregularly arranged network with rather large openings (Figs. 3 and 4). In the uveal portion, flat sheets are evident that are still relatively irregularly arranged but frequently interconnect with each other. The holes within the uveal meshwork are somewhat smaller than in the iridial meshwork but still show diameters varying between 10 and 30 μm.

Fig. 3. Architecture of the trabecular meshwork in the human eye.1, Ciliary muscle; 2, sclera; 3, col-lector channel; 4, Schlemm's canal;5, cornea; 6, iris root; 7, iridialstrands; 8, uveal portion of the trabecular meshwork; 9, corneal endothelium; 10, Schwalbe's line;11, anterior ciliary muscle tendons;12, corneoscleral portion of the tra-becular meshwork; 13, scleral spur; 14, cribriform layer. (Modified from Rohen JW, Unger HH: Zur Morphologie und Pathologie der Kammerbucht des Auges. Wiesbaden, Steiner Verlag, 1959)

Fig. 4. Scanning electron micrograph of the human trabecular meshwork. Internal aspect from the chamber angle side (× 1,640). CE, corneal endothelium; IS, iridial strands (remnants of pectinate ligament); U, uveal meshwork; arrows, corneoscleral meshwork. (Modified from Lütjen-Drecoll E, Rohen JW: Morphology of aqueous outflow pathways in normal and glaucomatous eyes. In Ritch B, Shields MB, Krupin T (eds): The Glaucomas, vol 1, pp 41–74. St. Louis, CV Mosby, 1989)

Toward Schlemm's canal the corneoscleral meshwork is more expanded and forms broad lamellae that run predominantly in an equatorial direction (Fig. 5). The trabecular lamellae interconnect with each other and are regularly arranged. The intertrabecular spaces appear now as elongated rhomboid-like pores, the long diameter of which averages 10 to 20 μm.7

Fig. 5. Light micrographs of the human trabecular meshwork.A. Sagittal section (orcein stain, × 150). 1, scleral spur; 2,Schlemm's canal; 3, trabecular meshwork; 4, chamber angle; 5, iris. B. Tangential section (plane of sectioning indicated in A by arrows); silver impregnation after Gomori (× 450). Note the regular network of collageneous fiber bundles. (Modified from Rohen JW, Unger HH: Zur Morphologie und Pathologie der Kammerbucht des Auges. Wiesbaden, Steiner Verlag, 1959)

Back to Top
MORPHOLOGY OF THE TRABECULAR LAMELLAE
The simple trabecular lamellae or beams show more or less the same general architecture. Each lamella possesses a central core of densely packed collagen fibers running predominantly in an equatorial direction (Figs. 6 and 7). The trabecular lamellae are normally completely covered by trabecular cells that rest on a basement membrane. Often the trabecular cells bridge the intertrabecular spaces and therefore serve as a covering for two adjacent lamellae. The cells also have cytoplasmic extensions that are connected with similar processes of cells situated on neighboring lamellae. Cellular interconnections and cytoplasmic bridges establish a three-dimensional cellular network. Adjacent trabecular cells are firmly connected to each other by desmosomes. Gap junctions allowing tonal coupling between the trabecular cells are also present.8 However, tight junctions are lacking and as a consequence tracers such as cationic ferritin freely penetrate into the central core of the trabeculae (Fig. 8).9

Fig. 6. Electron micrograph of the trabecular meshwork in the human eye (× 4000). Arrowheads indicate deposits of plaque material in the cribriform layer; asterisks show intertrabecular spaces. E, endothelium of Schlemm's canal; CL, cribriform layer (extension indicated by arrows); OW, outer wall of Schlemm's canal; TC, trabecular cells covering corneoscleral lamellae; TL, trabecular lamellae; SC, Schlemm's canal.

Fig. 7. Structure of corneoscleral lamellae of the trabecular meshwork. BM, basement membrane (thickened); C, collagenous fibers; CC, central core of trabecular lamella; D, desmosome; EL, elastic-like fibers; TC, trabecular cells.

Fig. 8. Electron micrograph of part of atrabecular lamella, after anterior chamberperfusion with cationized ferritin (CF)(× 75,000). Note that the CF particles (arrows) have passed the intercellular space between two trabecular cells (C) and have entered the central core (CC) of the lamella. The collagenous fibers in the core are also labeled.

The central core of the trabecular lamellae contains numerous collagen and elastic fibers embedded in a homogeneous ground substance rich in hyaluronan and proteoglycans.10–12 The elastic fiber net of the corneoscleral meshwork is continuous posteriorly with that of the scleral spur and anteriorly with that of the sulcus sclerae. In the uveal meshwork the elastic fibers are continuous posteriorly with the elastic fibers that are located within the connective tissue between the ciliary muscle tips and in front of the circular muscle portion.13

The elastic fibers differ in structure and composition from most of the elastic fibers in the body so that they were termed elastic-like fibers.14 Ultrastructurally, they reveal an electron-dense core sparsely intermingled with electron-lucent material(Figs. 9 and 10). These fibers are surrounded by a more or less homogeneous sheath. Treatment with pancreatic elastase (see Fig. 10)14 and immunohistochemical studies using antibodies against α-elastin and tropoelastin15 revealed that only the relatively small electron-lucent area in the central core of the elastic-like fibers contains elastin and its soluble precursor tropoelastin. These components are embedded in electron-dense material of yet unknown nature. The sheaths consist mainly of elastic microfibrils and collagenous fibrils, embedded in pro-teoglycans that can be digested by chondroitinases.14 In infant eyes, the sheath is very small, whereas in adult eyes the sheath is well developed and becomes continuously thicker with increasing age.10,14,15 In the adult the fibrous material of the sheath consists mainly of the so-called curly collagen (lattice collagen or long-spacing collagen). This banded material presumably contains type VI collagen16 (Fig. 11).

Fig. 9. Electron micrograph of a sagittal section of the corneoscleral meshwork in the human eye (× 2,310). The dark spots in the trabecular lamellae represent cross sections of elastic-like fibers. Arrows indicate pigment granules; asterisks show intertrabecular spaces. BM, basement membrane; C, collagenous fibers; EL, elastic-like fibers; TE, trabecular cells.

Fig. 10. Electron micrographs of the elastic-like fibers of the human trabecular meshwork. A. After incubation with chondroitinase, the banded material in the sheath of the elastic-like fibers is clearly visible. Asterisk indicates sheath material with regular banding (periodicity of 45 nm); arrowheads show long-spacing fibers with a periodicity of 120 nm; arrows denote fine fibrils of the long-spacing material. B. Elastic-like fibers after treatment with pancreatic elastase. Only a small portion of the central core has been dissolved (arrows).

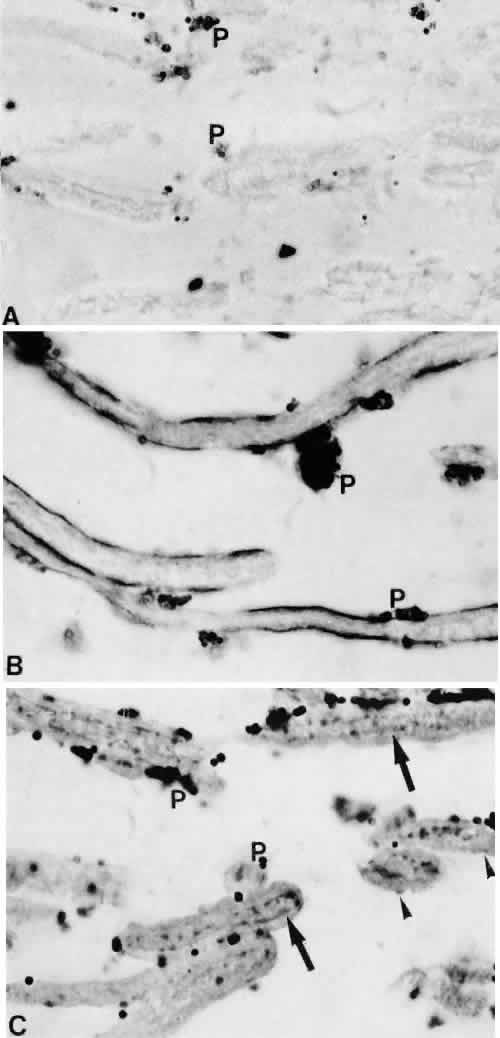
Fig. 11. Immunohistochemical staining for type IV and VI collagen. Sagittal sections through the trabecular meshwork of a normal eye of a 65-year-old man (× 1,300). In all three sections, goat anti-rabbit IgG, conjugated with colloidal gold (5 nm), was used as secondary antibody for 60 minutes. A. Control section incubated with nonimmunized serum; the dark spots are pigment granules (P) in the trabecular endothelial cells. B. After incubation with antibodies against type IV collagen. Note the dark-stained line underneath the endothelium in the region of the basement membrane. The central core of the lamellae is almost completely unstained. C. After incubation with antibodies against type VI collagen. Within the central core of the lamellae an intense staining is seen where the elastic-like fibers are located (arrows). In the basement membrane, dark-stained spots are visible (arrowheads). ( Lütjen-Drecoll E, Rittig M, Rauterberg J et al: Immunomicroscopical study of type VI collagen in the trabecular meshwork of normal and glaucomatous eyes. Exp Eye Res 48:139, 1989)

The collagenous fibers found in the central core of the corneoscleral lamellae show the normal periodicity of 64 to 68 nm, and clusters of long-spacing collagen have also been found in these regions. According to immunohistochemical studies of Murphy and coworkers,17 there is a pronounced staining for type III and type I collagen in the trabecular lamellae. The basement membranes of the lamellae that stain for type IV collagen and laminin are continuous anteriorly with the basement membrane of the corneal endothelium.10,17–20

CRIBRIFORM LAYER AND AQUEOUS OUTFLOW RESISTANCE

In contrast to the corneoscleral meshwork, the cribriform layer does not show a regular organization of trabecular lamellae and beams, but the cells are distributed within the extracellular material. The material consists of an irregularly arranged network of fine fibrils, ground substance, and an elastic-like fiber system. In histologic sections oriented in a tangential plane, the fibrous network appears to be a mesh surrounding many holes or openings of different sizes (Fig. 12). This was the reason the term cribriform meshwork was introduced.21

Fig. 12. Light micrographs of serial sections through the cribriform layer of the human trabecular meshwork in a tangential plane (silver impregnation after Gomori, × 60). Arrows indicate the cribriform fiber network. SC, Schlemm's canal; EL, subendothelial elastic-like fiber network.

Serial tangential sections showed in the electron microscopic dimension that the fiber network belongs to a complicated system that connects the inner wall endothelium with the trabecular lamellae. The elastic-like fibers of the cribriform layer form a regularly arranged network of interlacing fibers that are continuous with the elastic-like fibers of the adjacent corneoscleral lamellae (Fig. 13). Toward the inner wall endothelium, bundles of fine fibrils separate from the elastic-like fiber sheaths and connect the subendothelial network of elastic-like fibers either with the endothelium of Schlemm's canal or with the subendothelial basement membrane material. Therefore, these fibrils were called “connecting fibrils” (Fig. 14).22 In the adult eye, the connecting fibrils are embedded in a homogeneous ground substance that is digestible with chondroitinases.14

Fig. 13. Electron micrograph of a tangential section through the inner wall of Schlemm's canal showing the subendothelial elastic-like fiber network (arrows) of the cribriform layer (× 10,000).

Fig. 14. Electron micrograph of an oblique sagittal section through the inner wall of Schlemm's canal. The connecting fibrils (CF) derive from the sheaths of elastic-like fibers and are attached to the cell membranes of the inner wall endothelium (E, arrows). Asterisks indicate plaque material. A, subendothelial fine fibrillar material; Sc, Schlemm's canal;SE, subendothelial cells. (Rohen JW, Futa R, Lütjen-Drecoll E: The fine structure of the cribriform meshwork in normal and glaucomatous eyes as seen in tangential sections. Invest Ophthalmol Vis Sci 21:574, 1981)

Electron microscopic investigations reveal thatthere are optically empty spaces between the connecting fibrils. In an experimental study on monkey eyes, we found that the area of such “empty spaces” in the cribriform region is positively correlated with outflow resistance values measured by anterior chamber perfusion.23 We therefore assumed that these spaces may represent preferential pathways for aqueous outflow through the cribriform layer. Calculations about the pressure gradient across the cribriform and subendothelial layers lead to the statement that if the spaces were really empty, the extracellular material and cells in this region might provide only insignificant resistance to aqueous outflow.24,25 If, however, the preferential pathways are coated with a 0.35-μm-thick glycosaminoglycan layer, the pressure gradient would rise to the physiologically observed values. It is possible that hyaluronan, glycosaminoglycan, or proteoglycan gel, lost during the embedding procedure, also contributes to formation of outflow resistance.26 This hypothesis was recently supported by experimental studies in the living monkey where in fact 80% to 90% of outflow resistance was shown to be located in front of Schlemm's canal, probably within the cribriform layer of the TM.6

INNER WALL OF SCHLEMM'S CANAL

The endothelial lining of the canal consists of a complete monolayer of flat endothelial cells that, like other vascular endothelial cells, stain for factor VIII and plasminogen.27 Unlike other vascular endothelium, the endothelial cells of Schlemm's canal do not rest on a complete basement membrane. A basement membrane is formed initially during embryonic development, but it gradually disappears as aqueous circulation starts.28,29 In its final form Schlemm's canal is more comparable with a lymphatic than a blood vessel. Lymphatic vessels do not usually possess basement membranes. Their endothelial lining is perfused from outward to inward and often connected with elongated cytoplasmic processes of adjacent pericytes. As in lymphatics, the endothelial cells of the inner wall of Schlemm's canal also develop cytoplasmic processes that interdigitate with similar processes of underlying cells of a second row underneath the canal endothelium (Fig. 15). The subendothelial cell layer is not complete and consists of elongated, star-like cells oriented predominantly in a radial anteroposteriordirection. In contrast, the endothelial cells ofSchlemm's canal, measuring about 160 μm in length and covering an area of 408 μm2 run mostly in an equatorial direction.30 The cellular and fibrillar connections with the cribriform layer may stabilize the inner wall during IOP variations and changes in the perfusion rate. The double-layered structure of the inner wall is often seen to be elevated and protrudes into the lumen of the canal when IOP is particularly high at the time of tissue fixation. If IOP is low, the two cell layers are pressed together from the luminal side, thus presumably preventing a reflux of blood into the TM and anterior chamber.31,32

Fig. 15. Electron micrograph of sagittal section of the inner wall of Schlemm's canal (SC) after perfusion with cationized ferritin (CF) (cynomolgus monkey, × 21,000). Note the labeling of cell membranes with cationized ferritin and the enlarged paracellular route (P).E, endothelial cells of the canal; GV, giant vacuole; S, subendothelial cells of cribriform layer; V, small vacuole. (Epstein DL, Rohen JW: Morphology of the trabecular meshwork and inner wallendothelium after cationized ferritin per-fusion in the monkey eye. InvestOphthalmol Vis Sci 32:160, 1991)

If IOP is slightly elevated, only the endothelial cells bulge into the lumen of the canal, thus forming large vacuoles, usually called giant vacuoles. Since Holmberg33 first described these “giant vacuoles” within the inner wall endothelium of Schlemm's canal, the discussion about their functional significance has never been resolved.34 Many of the giant vacuoles communicate with the subendothelial space by way of an often large opening, but very few communicate with the lumen of Schlemm's canal. If there is a communication with the canal, it is usually by a small pore on the canal side of the cell.35 When serial sections are employed, it is possible to demonstrate that some “vacuoles” have openings on the inner and outer sides, thus forming transcellular microchannels. Tripathi34,36 proposed that the endothelial cells lining Schlemm's canal have the ability to transfer aqueous humor in bulk by a cyclical pressure-dependent process that starts initially as an invagination from the trabecular side and proceeds to the formation of a transcellular channel by a perforation in the outer membrane of the vacuole. This hypothesis has, however, not yet been verified. On the other hand, it is now generally accepted that both the frequency and size of giant vacuoles are proportional to the pressure in the anterior chamber at the time of fixation.37 Nearly 20,000 pores have been counted at the luminal side of the inner wall endothelium in human eyes. Therefore, as calculations showed, only 5% to 10% of the entire resistance can be localized within the endothelial lining of human eyes.35,38 This, again, points to the assumption that the subendothelial layers play the major role in forming and possibly regulating outflow resistance. Because occasionally ground substance or particles are found within the giant vacuoles, the transcellular channel system may provide a mechanism by which extracellular material can be “cleared” or “washed out” from he cribriform layer. Inomata and associates39 have shown in cynomolgus monkeys that particles suspended in gelatin solution pass through the transcellular microchannels of the endothelial lining, as do erythrocytes if perfused through the anterior chamber.

The endothelial cells of Schlemm's canal are bound together by maculae adherentes and tight junctions.8,37 However, these tight junctions do not form zonulae occludentes, but in places the adjacent cell membranes are separated, forming meandering pathways between interdigitating cell processes. These pathways are often open toward both the cribriform layer and the lumen of the canal (Fig. 16). Anterior chamber perfusion with cationized ferritin in rhesus monkeys has shown that these particles predominantly pass through the paracellular routes.8,9 Often these routes are locally expanded, so that in sagittal sections “vacuole-like” structures are formed.9 According to our observations, macrophages and leukocytes mostly pass through the paracellular routes to leave the eye rather than through the transcellular channels (Fig. 17).

Fig. 16. Structure of the inner wall endothelium (E) of Schlemm's canal (SC) showing a transcellular pathway through a giant vacuole (GV) and a paracellular route (arrow) labeled with cationized ferritin (CF). S, subendothelial cells. (Epstein DL, Rohen JW: Morphology of the trabecular meshwork and inner wall endothelium after cationized ferritin perfusion in the monkey eye. Invest Ophthalmol Vis Sci 32:160, 1991)

Fig. 17. Electron micrograph of a sagittal section through the inner wall of Schlemm's canal (SC) after anterior chamber perfusion with cationized ferritin (cynomolgus monkey, × 21,800). Note the large macrophage (M) squeezing through the intercellular space (arrows) of the inner wall endothelium of Schlemm's canal (SC). C, collagenous fibers; V, giant vacuole; S, subendothelial space.

Back to Top
CONNECTIONS OF THE TRABECULAR MESHWORK WITH THE CILIARY MUSCLE

SCLERAL SPUR

It has been known for a long time that pilocarpine reduces IOP. However, not before Barany studied the effect of miotics in monkeys has a rationale for the pilocarpine effect been developed.40,41

CILIARY MUSCLE TENDONS

How could ciliary muscle contraction affect the outflow pathways in the TM? As shown by Rohen and coworkers, the anterior ciliary muscle tendons are closely connected with the fiber network of the TM.21,42

There are three different types of tendons by which the anterior ciliary muscle tips are connected with the TM or the corneosclera. Type I tendons derive from the outermost longitudinal muscle bundles and enter the sclera or the scleral spur to fix the muscle to the external tunica of the eyeball (Fig. 18). Type II tendons pass the scleral spur to anchor within the TM. They consist of elastic-like fibers that bend into the outer part of the TM and finally join the subendothelial network of elastic-like fibers described earlier. Type III tendons are of collagenous nature. They represent broad, elongated bands that penetrate the TM and insert within the corneal stroma.21,42 The tendons represent the main fixation of the entire ciliary muscle system to the external tunica of the eyeball and therefore seem to be important in the accommodation mechanism. The tendons may also help to expand the system of trabecular lamellae, so that the intertrabecular spaces remain open or enlarge if the ciliary muscle moves forward and inward. Regarding the outflow resistance, this would have little effect in normal eyes.

Fig. 18. Connections of the ciliary muscle (CM) with the trabecular meshwork (TR). Note the different types of muscle tendons (T) connected with the cornea or the elastic-like fiber network of the cribriform layer (EL), which on the other hand is connected with the inner wall endothelium (E) of Schlemm's canal (Sc) by connecting fibrils (CF). SP, scleral spur.

The main effect on aqueous outflow resistance seems to result from actions of the elastic-like type I and II tendons. Because the type I tendons connect the outermost ciliary muscle fiber bundles to the scleral spur, muscle contraction leads to a backward movement of the scleral spur followed by a change in the form of the outflow pathways (Fig. 19).21,42 Inward movements of the type II tendons during muscle contraction have a similar effect. It seems that normally parts of the cribriform layer (including their preferential aqueous pathways) are collapsed so that only a portion of the filtration area is functional. After ciliary muscle contraction the cribriform elastic-like fiber network is pulled inwardly and the connecting fibrils are straightened so that the entire cribriform layer expands. In addition, the lumen of Schlemm's canal is enlarged so that finally the filtering area increases and outflow resistance decreases (Fig. 20).

Fig. 19. Light micrographs of sagittal sections through the chamber angle of an eye enucleated because of a choroidal melanoma in a 57-year-old patient (× 180). The eye was sagittally halved; one half was treated with atropine (A) and the other half with pilocarpine (B). Note the posterior movement of the scleral spur (SP) and the spreading of the trabecular meshwork (TM) after ciliary muscle (CM) contraction. I, iris.

Fig. 20. Trabecular meshwork in two different functional stages. A. After ciliary muscle contraction induced by pilocarpine treatment. The trabecular meshwork is expanded; the scleral spur has been moved posteriorly. The entire filtration area is working (arrows). B. After reduction of ciliary muscle tone (e.g., after atropine treatment). The anterior parts of the trabecular meshwork are collapsed so that pathways to the endothelial lining are blocked (x). (Rohen JW: The evolution of the primate eye in relation to the problem of glaucoma. In Lütjen-Drecoll E [ed]: Basic Aspects of Glaucoma Research, vol 1. Stuttgart, Schattauer Verlag, 1982)

Back to Top
TRABECULAR CELLS

CONTRACTILITY AND INNERVATION

Recent experimental and morphologic data indicate that changes in ouflow facility might be induced not only by ciliary muscle contraction but also by shape changes of the trabecular cells themselves. Trabecular meshwork cells express contractile elements such as smooth muscle α-actin and myosin (Fig. 21).43–46 In vitro the cells contract in response to different mediators, including acetylcholine.47 In addition, the presence of muscarinic receptors has been described in human TM cells.48 In contrast, nitrovasodilators induce relaxation of TM cells in vitro.49 In perfused anterior eye segments, substances that contract trabecular cells decrease outflow facility, whereas substances that induce relaxation increase outflow facility.50 How can this effect, which is opposite to that of ciliary muscle contraction and relaxation, be explained? If the cells bridging adjacent trabecular beams contract, this would cause a decrease in width of the intertrabecular spaces (see Figs. 6 and 20), whereas aqueous flow would widen the spaces if the cells are relaxed. The effect of TM contraction on the three-dimensional structure of the meshwork would then resemble that shown for ciliary muscle relaxation, whereas relaxation of the TM would cause a similar effect as that induced by ciliary muscle contraction.

Fig. 21. Immunofluorescence staining of smooth muscle α-actin within the trabecular cells of normal human eyes of a 51-year-old patient (× 25) (A) and a 59-year-old patient (× 100) (B). Note the intense fluorescence of the ciliary muscle fibers, the dilator of the iris, and a great number of trabecular cells.

The mechanism by which contraction or relaxation of TM cells is mediated in vivo is not known. It is tempting to speculate that the numerous nerve terminals found in the TM might be involved in this outflow regulatory effect of the TM (Fig. 22).51–54 In human and monkey TM, abundant nitrergic nerve terminals were found.54 The terminals are most numerous in the cribriform layer, in which the cells are not only connected to each other and to the cribriform elastic network but also to the inner wall endothelium itself. NO-induced relaxation of these cells would therefore influence the outflow pathways most effectively. In human eyes, there are also abundant cholinergic nerve terminals in the TM. In elderly human eyes, the number of TM cells staining for α-sm-actin decreases, but there are always positively stained cells in the posterior portion of the TM in the scleral spur and in single cells of the cribriform layer.46 The distribution of cholinergic nerve fibers in elderly human eyes was essentially the same as that seen for α-sm-actin staining.54 If cholinergic stimulation simultaneously would cause ciliary muscle and TM cell contraction, the net effect of this stimulation would be an increase in outflow facility because the force of the ciliary muscle contraction would be much stronger than that of the TM contraction. In this case, contraction of TM cells might be required to produce a concurrent stiffening of the TM to avoid disruption of TMby the pull of the muscle tendons during contrac-tion.

Fig. 22. A. Histologic tangential section through the outer corneoscleral trabecular meshwork (TM) and the ciliary muscle tips stained for the panneuronal marker PGP. Note that not only the ciliary muscle (CM) shows intense staining, but that there are also circulary running nerve fibers and terminals in the trabecular meshwork (arrows) (× 380). B. Nerve terminals containing numerous mitochondria (arrow) are present beneath the endothelial lining of Schlemm's canal (E) and are in direct contact with extracellular matrix components. (Electron micrograph, × 24,000)

Numerous nerve terminals staining with antibodies against substance P are in intimate contact with the elastic fibers of the TM and the cribriform region.54 Because the TM elastic fibers are important stress-bearing components, this arrangement of nerve terminals may allow sensing of trabecular stretch, changed by ciliary muscle contraction or relaxation or by IOP changes. They might therefore represent part of the afferent pathway, the nitrergic and cholinergic terminals part of the efferent pathway responsible for relaxation or contraction of TM. In human eyes, a similar innervation has also been found in the scleral spur.55,56

SYNTHETIC CAPACITY

Outflow resistance is, however, not only influenced by mechanical factors but also depends on the biologic activity of the trabecular cells. Important activities include synthesis or lysis of extracellular material and phagocytosis. Anterior chamber perfusion always results in a washout of extracellular material that has to be constantly replaced to maintain the necessary outflow resistance. The ability of cultured trabecular cells to synthesize different components of extracellular material has been shown by several investigators.57–59 Using 36S-sulfate and 14C-glycosamine to label glycosaminoglycans, it was shown that monolayer cultures of human trabecular cells are capable of synthesizing cellular and extracellular glycosaminoglycans. All monolayer cultures studied so far produce hyaluronan, heparan sulfate, chondroitin sulfate, and dermatan sulfate glycosamino-glycans in various quantities. An increase in glycosaminoglycan synthesis was noted after addition of hyaluronan to the medium, which indicated the existence of a positive feedback mechanism in the meshwork.60

If in cases of transient hypotonia a reflux of blood into Schlemm's canal and eventually into the TM occurs, a blockage of outflow pathways by fibrin clots might result. It has already been shown by Pandolfi that the TM possesses to some extent a fibrinolytic activity.61 Cultured human TM cells are capable of synthesizing large amounts of tissue plasminogen activator. This was found to be more than in vascular endothelium. However, in contrast to vascular cells, the trabecular cells produce comparatively little inhibitor, indicating that fibrinolysis is more important than clotting within the TM.62

PHAGOCYTIC CAPACITY

The TM has a great capacity for self-cleaning, mainly owing to phagocytic processes of trabecular cells. It was first shown by Rohen and van der Zypen63 that trabecular cells are capable of phagocytosing foreign particles or tracer material perfused through the anterior chamber. In the TM of older persons, usually a number of trabecular cells are found that contain pigment granules. Pigment deliberation always takes place from the pigmented epithelial layers of the ciliary body or iris during life. The granules reach the outflow channels with aqueous circulation and are then phagocytosed by trabecular cells.

Experimentally introduced particles such as colloidal gold, horseradish peroxidase, vital stains, and even erythrocytes or cellular debris are immediately engulfed by trabecular cells of monkey or cat eyes and thus eliminated from the aqueous circulation.63–67 Trabecular cells contain among other organelles lysosomes, so that the phagocytosed material can be digested within the phagolysosomes.

There is no clear-cut evidence that trabecular cells in vivo detach after phagocytosis from the trabecular beams and leave the TM. In the cat eye, trabecular cells leave the eye after phagocytic challenge, but this cell loss had recovered by the end of 150 days.67 However, in human eyes many of the trabecular cells, particularly those containing pigmented granules, stay for a long time within the meshwork.68

Using different macrophage antibodies, we found a positive staining only of single cells.69 Most of the trabecular cells remained unstained, indicating that these cells presumably do not present antigens. Some of the stained cells are probably macrophages, which move through the intertrabecular spaces. They usually leave the TM by way of Schlemm's canal. We often found macrophages passing theparacellular routes of the inner wall endothelium and squeezing through the intercellular spaces into the lumen of the canal (see Fig. 17). The origin of these cells is unknown. They probably derive from the ciliary body or the iris.

CELLULARITY AND REGENERATION

Although human meshwork cells can proliferate in culture, their capacity for replication in situ appears limited. Defined countings of cell number have shown that there is a steady decline in cells throughout life. A linear decrease in cellularity (nuclei per solid tissue area) and a decrease in absolute cell number (nuclei per histologic section) has been found by Alvarado and associates70 that amounts to 0.56% per year at a constant rate. At 20 years of age the estimated cell number for the whole meshwork was calculated by Grierson and Howes71 as 763,000. The number decreased by 80 years to 403,000, with a loss rate of 6,000 per year (Fig. 23).72 Interestingly, the rate of nuclear loss was found to differ in different regions of the meshwork. The decrease in cell nuclei is least in the cribriform layer and greatest in the central region of the TM. Nevertheless, the loss of cells appears relatively small in comparison to the many injuries and “cleaning processes” that take place during the entire life span.

Fig. 23. A scatter diagram showing the relationship between nuclei per section from the whole meshwork and age (in years). (Grierson I, Wang Q, McMenamin PG, Lee WR: The effects of age and antiglaucoma drugs on the meshwork cell population. Res Clin Forums 4:69, 1982)

The question arises whether there is any evidence for regenerative processes in the meshwork. In normal sections through primate eyes, mitotic figures have never been observed. Trabecular cells do not reveal a great regenerative capacity in vitro. In organ cultures particularly, the uveal cells degeneraterather quickly, whereas the cribriform layer cells often survive and proliferate. In vivo, after experimentally induced damage of the TM with loss of cells, clusters of large, cuboidal cells forming elongated cell strands were seen in monkey eyes.73,74 The cell groups are situated mainly in the anteriormost portion of the TM or the transition zone to the cornea.

Similar signs of all proliferation have also been observed after laser trabeculoplasty in human eyes. Laser trabeculoplasty can stimulate trabecular cell replication and activation. Autoradiographic studies with H3-thymidine in organ cultures of human autopsy eyes revealed a fourfold increase in cell division 2 days after laser trabeculoplasty.75 Nearly 60% of this cell division was localized to the anterior, nonfiltering region of the TM.

SCHWALBE'S LINE CELLS

The cells distributed within the transition area between cornea and meshwork often contain a great amount of endoplasmic reticulum and a large num-ber of mitochondria as well as many electron-dense granules. Raviola76 has called these cells “Schwalbe's line cells.” She believed they were active secretory elements that produce some kind of surfactant. Stone and colleagues77 later found that these cells also stain for neuron-specific enolase. We found that staining for the enzyme hyaluronan synthase is prominent in Schwalbe's line cells.78 We must assume that in this region there is a specific cell population whose functional significance is still unknown.

OUTFLOW CHANNELS OF SCHLEMM'S CANAL

After passing through the TM, aqueous humor enters Schlemm's canal and then the collector channels. Schlemm's canal is not a uniform vessel but is often divided into different parts by bridges or septa.79 The septa cross the lumen of the canal mostly in an oblique direction. They are often fixed to the outer wall of the canal at places where the collector channels begin. Thus the septa, which often form twisted or spiral bands, can be considered to be guiding structures for aqueous humor toward the openings of the collector channels (Figs. 24 and 25). Some bridges do not cross the entire lumen of the canal but remain part of the outer wall, adjacent to a collector channel entrance. The number and form of septa and bridges vary to large extent. There are also regional differences with regard to form, number, and development of these structures.

Fig. 24. A and B. Scanning electron micrographs of sagittal sections of the trabecular meshwork and Schlemm's canal of human eyes showing different types of septa and intracanalicular bridges (arrows; A, × 500; B, × 620).

Fig. 25. Scanning electron micrograph of the outer wall of Schlemm's canal in a human eye showing a group of openings that lead into collector channels. Two pillar-like septa (arrows) are disrupted (× 1,200).

The structure of the outer wall of Schlemm's canal differs very much from that of the inner wall. The endothelial lining is single-layered, with a well-developed basement membrane. The cells do not possess transcellular microchannels. The adjacent stroma consists of collagenous and elastic-like fibers intermingled with fibroblasts.

The 25 to 35 collector channels drain the aqueous humor toward the intrascleral or episcleral venous plexus.1,2,79 Two different types of collector channels can be distinguished (Fig. 26). Direct channels run directly toward the episcleral plexus without any connections with the intrascleral vessels. If these channels contain aqueous humor, they can be identified in the limbal region as “aqueous veins.”80 In the human, normally only four to six direct channels exist. The indirect collector channels, which are more numerous nasally than temporally, join the intrascleral venous plexus in various distances from Schlemm's canal.

Fig. 26. Different types of collector channels drawn after specimens injected by India ink-gelatin. A. Direct collector channel, running directly toward the episcleral venous network. B. Indirect collector channels, connecting Schlemm's canal with the intrascleral venous plexus. C. Bridges (arrows) formed by the canal itself. (Rohen JW, Rentsch FJ: Electronenmikroskopische Untersuchungen über den Bau der AuÂenwand des Schlemm'schen Kanals unter besonderer Berücksichtigung der AbfluÂkanäle und Altersveränderungen. Graefes Arch Clin Exp Ophthalmol 177:1, 1969)

A collector channel is distinguished by a thin wall that consists of endothelium, basement membrane, and a discontinuous row of pericytes. It is separated from the sclera by loosely arranged connective tissue, which occasionally contains pigmented cells, lymphocytes, and macrophages.

Back to Top
TRABECULAR MESHWORK IN GLAUCOMATOUS EYES

POAG

In trabeculectomy specimens derived from later stages of primary open-angle glaucoma (POAG),Rohen and Witmer81 found excessive amounts of extracellular material within the cribriform layer of the TM underneath the endothelial lining of Schlemm's canal, which was called “plaque material” (Figs. 27 and 28). Three different types of plaques were initially distinguished. Type I plaques are mostly situated immediately underneath Schlemm's canal and appear relatively homogeneous or granular in structure. The amount of type I plaques seems to decrease rather than increase with aging.82 Type II plaques appear in sagittal sections as electron-dense dots. In tangential sections, however, it turns out that they represent cross sections of the central core of the elastic-like fibers (Figs. 27, 28, 29). The diameter of the electron-dense core of the elastic-like fibers (type II plaques) located within the cribriform layer does not change significantly with age or with POAG. Type III plaques consist of electron-dense material containing fine, banded fibrils. When analyzing tangential sections, we can see that these plaques derive from the elastic-like fiber sheaths. These plaques are defined therefore as “sheath-derived” plaques.14,22,83 Because these plaques develop predominantly within the elastic-like fiber network underneath the inner wall of the canal, they often become confluent, thus forming wide plates.

Fig. 27. Electron micrograph of inner wall (IW) and outer wall (OW) of Schlemm's canal in a case of primary open-angle glaucoma (× 17,280). Note the accumulation of sheath-derived plaque material (arrows), deposited both in the inner and outer wall region. E, endothelium of Schlemm's canal. ( Lütjen-Drecoll E, Rohen JW: Morphology of aqueous outflow pathways in normal and glaucomatous eyes. In Ritch R, Shields MB, Krupin T [eds]: The Glaucomas, vol 1, pp 41–74. St. Louis, CV Mosby, 1989)

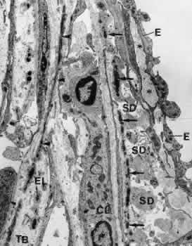
Fig. 28. Electron micrograph of the cribriform layer of the trabecular meshwork in a 50-year old patient (× 9,000). The subendothelial net of elastic-like fibers (arrows) and its connection with the fiber system of the corneoscleral lamellae (arrowheads) can be recognized. E, endothelium of Schlemm's canal; CL, cribriform layer cell; EL, elastic-like fiber cell; SD, sheath-derived plaques; TB, trabecular lamellae. ( Lütjen-Drecoll E, Rohen JW: Morphology of aqueous outflow pathways in normal and glaucomatous eyes. In Ritch R, Shields MB, Krupin T [eds]: The Glaucomas, vol 1, pp 41–74. St. Louis, CV Mosby, 1989)

Fig. 29. Electron micrograph of a tangential section through the cribriform layer of the trabecular meshwork in a case of primary open-angle glaucoma (× 7,500). Note that the plaques have developed from the sheaths (arrows) of the elastic-like fibers (EL) in the subendothelial region. E, trabecular endothelial cell.

A quantitative evaluation of the area taken by the sheath-derived plaque material in normal and glaucomatous eyes has shown that there is a continuous increase of this material with increasing age and that the area of plaque material in cases of POAG is significantly higher than in normal eyes of members of the same age groups (Fig. 30).83 The augmentation of the sheath-derived plaque material in cases of POAG might become the cause of outflow resistance elevation if a greater percentage of outflow channels in the cribriform layer and the inner wall endothelium is blocked or closed off by this material (Fig. 31).83–86

Fig. 30. Scatter diagrams showing the relationship between inner wall sheath-derived (SD) plaques and age in normal eyes (A) and in different forms of glaucoma (B and C). ( Lütjen-Drecoll E, Shimizu T, Rohrbach M, Rohen JW: Quantitative analysis of “plaque material” in the inner and outer wall of Schlemm's canal in normal and glaucomatous eyes. Exp Eye Res 42:443, 1986)

Fig. 31. Development of plaque material of type III from sheaths of the elastic-like fiber network underneath the endothelium of Schlemm's canal in normal and glaucomatous eyes. Note that aqueous pathways (arrows) are narrowed or obstructed if sheath-derived plaque material (type III plaques) is increased (small arrows). I and II, type I and type II plaques.

The composition and nature of the glaucomatous plaque material are still unknown. In trabeculectomy specimens of glaucomatous eyes, fine fibrils adhering to the subendothelial elastic-like fiber network were identified as parts of the sheath mate-rial dissolved by enzyme digestion.14 These fibrilsmight provide a base for the deposition of additionalmaterial, so that the holes within the cribriformelastic-like network become progressively smaller.In the end stage of POAG, broad interlacing plates beneath the inner wall endothelium are formed (Fig. 29).

Sheath-derived plaques have also been found in the outer wall of Schlemm's canal (see Fig. 27). The amount of this material was found to be greater in glaucomatous than in age-matched normal eyes, but this increase was less than in the inner wall.83 In addition, typical sheath-derived plaques were observed within the intramuscular connective tissue of the anterior ciliary muscle tips,13 in regions where elastic-like fibers are present (Fig. 32). Because these fibers also come in contact with aqueous humor by the uveoscleral flow, the same factors that induce the pathologic changes in the TM may also be responsible for the plaque formation in the anterior portion of the ciliary muscle.

Fig. 32. Elastic fibers at the anterior ciliary muscle tips. A. Light micrograph of a tangential section through the transition zone of the anterior ciliary muscle tips and the posterior trabecular meshwork (TM) (resorcin fuchsin stain). Note that the network of elastic-like fibers (EI) does not continue posteriorly into the ciliary muscle (CM). Arrows indicate elastic tendons of anterior muscle tips. B. Electron micrograph of a sagittal section through the anterior ciliary muscle tips (chronic simple glaucoma). Within the connective tissue surrounding the muscle fibers (CM), broad strands of elastic-like fibers exist (arrows) that consist of an electron-dense central core and a thick sheath resembling the elastic-like fiber sheath within the trabecular meshwork.

In donor eyes with POAG in different stages of the disease, a significant correlation was found between areas of plaques beneath the inner wall of Schlemm's canal and nerve fiber loss, determined in cross sections through the postlaminar optic nerve.86 This correlation either indicates that the factors inducing plaque formation in the outflow pathways are also involved in the pathogenesis of the glaucomatous optic neuropathy, or that a sequence of events occurs (namely, plaque formation induces an IOP increase that then causes degeneration of optic nerve fibers).

In the trabecular cells of a number of glaucomatous eyes, an increased expression of the stress protein αB-crystallin was observed.87 In normal eyes this protein is expressed mainly in cribriform cells,88,89 whereas in several glaucomatous eyes expression of this protein was also found in trabecular cells covering the beams of the corneoscleral and uveal meshwork. These changes were seen not only in eyes with POAG but also in eyes with pseudoexfoliation glaucoma, presumably indicating that stress to the cells (e.g., through elevated IOP) could be causative for the overexpression of αB-crystallin in TM cells of glaucomatous eyes.

In the TM cells of glaucomatous eyes, we also found an increased expression of the MYOC/TIGR gene product.87 The functional significance of this protein is not yet known. Defects of the MYOC/TIGR gene have been detected in several patients with early onset of glaucoma (juvenile glaucoma), but in patients with POAG only 3% had MYOC/TIGR gene defects. It is therefore possible that MYOC/TIGR protein expression in trabecular cells of glaucomatous eyes is a secondary phenomenon.

In glaucomatous eyes, a significant decline in cellularity of the TM compared with old eyes of the same age groups was found. The cell loss in the TM takes place in a gradient-like manner. Alvarado and coworkers90 described that in the nonglaucomatous and glaucomatous meshwork, the cellularity curves are parallel to each other. These authors suggested there is a congenital basis for the disease and that the patient presumed to have glaucoma might be born with a decreased number of trabecular cells.

A progressive cell loss may also explain trabecular fusion, because without a continuous cell cover, adhesions between denuded portions of adjacent trabecular beams can develop. Grierson found a linear age-related increase in the frequency of fusions between trabecular beams, particularly in the inner portions of the meshwork.85

In trabeculectomy specimens of advancedPOAG, we often found an extreme “hyalinization” of the uveal and corneoscleral lamellae. The basement membranes were enormously thickened (Fig. 33), revealing a great number of clusters of long-spacing collagen. Thus, the basement membranes show a “shagreen-like” pattern. Often the basement membrane thickening begins at the inner surface of the trabecular lamellae, suggesting there is a factor that reaches the meshwork from the anterior chamber side. The nature of this factor is not yet known.

Fig. 33. Schematic drawings of the cribriform layer in normal (A) and glaucomatous eyes (B). Aqueous pathways (CP) are obstructed by plaque material deposited within the subendothelial region. Arrows indicate direction of flow. E, endothelium of Schlemm's canal; SC, Schlemm's canal; V, giant vacuole; I, II, III, type I, II, and III plaques.

PEXG

In cases of pseudoexfoliation glaucoma, the intertrabecular spaces and the cribriform layer often contain clusters of flake-like material consisting of randomly arranged short fine fibrils (Fig. 34).91–94 Two types of fibrils have been distinguished: the thinner type A fibrils, with a diameter of around 15 to20 nm and a periodicity of about 50 nm, and the thicker type B fibrils (diameter 30–45 nm), which show no periodicity. The nature and composition of the pseudoexfoliation fibrils are still not known, but staining for glycoproteins,95 microfibrils of elastic tissues, and amyloid P96–99 has been demonstrated.

Fig. 34. Electron micrographs of trabeculectomy specimens taken from cases of pseudoexfoliative glaucoma. A. Inner wall region containing large clusters of exfoliative material (arrows) underneath the endothelial lining of Schlemm's canal (SC) (× 16,560). B. Cross section of a trabecular lamella (T) showing a thickened basement membrane (BM), to which a large cluster of exfoliative material (arrows) is attached (× 30,000).

In eyes with pseudoexfoliation syndrome, Schlötzer-Schrehardt and Naumann95 found a significant correlation between the amount of pseudoexfoliative material located in the subendothelial region of Schlemm's canal with IOP, indicating that the material in fact is responsible for an increase in outflow resistance. Our data support these findings. In addition, we found that the amount of pseudoexfoliative material was significantly correlated with the loss of axons in the optic nerve and with IOP,68 indicating that an IOP increase is one of the factors causative for the glaucomatous optic nerve neuropathia in these eyes.

PIGMENTARY GLAUCOMA

In cases of pigmentary glaucoma, many trabecular endothelial cells and cells of the cribriform layer were found filled with pigment granules.100,101 It is not yet known whether pigmentary glaucoma is caused by pigment obstruction (mechanically) or by disturbances of trabecular cell functions induced by pigment granule phagocytosis (biologically). As a rule the inner wall endothelium is not pigmented.According to Johnson,102 the pigmentation of the cribriform layer is less than that of the uveal meshwork. In trabeculectomy specimens, most pigment was phagocytosed, but some free granules were also seen in the intertrabecular spaces or the pathways of the cribriform layer. In other respects, the structure of the TM appeared relatively normal.100,101

JUVENILE GLAUCOMA

In cases with juvenile glaucoma, the TM showed changes similar to those seen in eyes with steroid-induced glaucoma: namely, fibrils arranged in afingerprint-like pattern and increased amounts of fibrillar material beneath the inner wall of Schlemm's canal.103 However, the amount of sheath-derived plaques, increased in eyes with POAG, was also elevated in eyes with juvenile glaucoma.

CORTICO-STEROID GLAUCOMA

The mechanism of pressure elevation in corticosteroid-induced glaucoma is also not understood. In trabeculectomy specimens and in donor eyes treated with corticosteroids for various time periods,106 accumulation of extracellular material distinct from the sheath-derived plaques typical for POAG and from pseudoexfoliative material was observed.104–106 Directly beneath the inner wall endothelium, an accumulation of densely packed fine fibrils was seen. At places these fibrils separated the connecting fibrils from the inner wall endothelium (Fig. 35).106 In the cribriform meshwork, fingerprint-like arranged material resembling basement membranes was found.104,106

Fig. 35. Electron micrographs of the trabecular meshwork in a case of corticosteroid glaucoma in a 63-year-old woman. A. Survey figure showing the cribriform layer (CL) and the adjacent corneoscleral lamellae (T). Deposits of extracellular material, typical for corticosteroid glaucoma, are indicated by arrows (× 5,000). E, endothelium of Schlemm's ca-nal; EL, elastic-like fibers; S, subendothelialcells of the cribriform layer. B. Higher magni-fication of the cribriform layer showing thedeposits of extracellular material, characteris-tic for corticosteroid glaucoma (arrows)(× 51,000). C, cells of cribriform layer; EL, elastic-like fiber.

The pathogenesis of the morphologic changes seen in the different kinds of glaucoma is not yet clarified. The observed differences in morphology support the hypothesis that glaucoma is a multifactorial disease. Further studies are necessary to find the specific factors that induce these characteristic morphologic changes.

Back to Top
REFERENCES

1. Ashton N: Anatomical study of Schlemm's canal and aqueous veins by means of neoprene casts: 1. Aqueous veins. Br J Ophthalmol 35:291, 1951

2. Rohen JW, Rentsch FJ: Über den Bau des Schlemm'schen Kanals und seiner AbfluÂwege beim Menschen. Graefes Arch Clin Exp Ophthalmol 176:309, 1968

3. Bill A: The aqueous humor drainage mechanism in the cynomolgus monkey (Macaca irus) with evidence for unconventional routes. Invest Ophthalmol 4:911, 1965

4. Bill A, Phillips C: Uveoscleral drainage of aqueous humour in human eyes. Exp Eye Res 12:275, 1971

5. Grant MW: Experimental aqueous perfusion in enucleated human eyes. Arch Ophthalmol 69:783, 1963

6. Maepea O. Bill A: The pressure in the episcleral veins, Schlemm's canal and the trabecular meshwork in monkeys: Effects of changes in intraocular pressure. Exp Eye Res 49:645, 1989

7. Lütjen-Drecoll E, Rohen JW: Morphology of aqueous outflow pathways in normal and glaucomatous eyes. In Ritch R, Shields MB, Krupin T (eds): The Glaucomas, pp 89–123. St. Louis, CV Mosby, 1996

8. Raviola G. Raviola E: Paracellular route of aqueous outflow in the trabecular meshwork and canal of Schlemm. Invest Ophthalmol Vis Sci 21:52, 1981

9. Epstein DL, Rohen JW: Morphology of the trabecular meshwork and inner wall endothelium after cationized ferritin perfusion in the monkey eye. Invest Ophthalmol Vis Sci 32:160, 1991

10. Rohen JW, Lütjen-Drecoll E: Age changes of the trabecular meshwork in human and monkey eyes. In Bredt H, Rohen JW (eds): Aging and Development, vol 1. Stuttgart, Schattauer Verlag, 1971

11. Grierson I, Lee WR: Acid mucopolysaccharides in the outflow apparatus. Exp Eye Res 21:417, 1975

12. Grierson 1, Lee WR, Abraham S: A light microscopic study of the effects of testicular hyaluronidase on the outflow system of the baboon (Papio cynocephalus). Invest Ophthalmol Vis Sci 18:356, 199

13. Lütjen-Drecoll E, Shimizu T, Rohrbach M, Rohen JW: Quantitative analysis of “plaque material” between ciliary muscle tips in normal and glaucomatous eyes. Exp Eye Res 42:457, 1986

14. Lütjen-Drecoll E, Futa R. Rohen JW: Ultrahistochemical studies on tangential sections of the trabecular meshwork in normal and glaucomatous eyes. Invest Ophthalmol Vis Sci 21:563, 1981

15. Gong HY, Tinkaus-Randall V, Freddo TF: Ultrastructural localization of elastin in normal human trabecular meshwork. Curr Eye Res 8:1071, 1989

16. Lütjen-Drecoll E, Rittig M, Rauterberg J et al: Immunomicroscopical study of type Vl collagen in the trabecular meshwork of normal and glaucomatous eyes. Exp Eye Res 48:139, 1989

17. Murphy, Yun AJ, Newsome DA, Alvarado JA: Localization of extracellular proteins of the human trabecular meshwork by indirect immunofluorescence. Am J Ophthalmol 104:33, 1987

18. Rohen JW, Lütjen-Drecoll E: Biology of the trabecular meshwork. In Lutjen-Drecoll E (ed): Basic Aspects ofGlaucoma Research, vol 1. Stuttgart, Schattauer Verlag,1982

19. Lütjen-Drecoll E, Dietl T, Futa R, Rohen JW: Age changes of the trabecular meshwork, a preliminary morphometric study. In Hollyfield JG (ed): The Structure of the Eye. Amsterdam, Elsevier, 1982

20. Marshall GE, Koustas AGP, Lee WR: Immunogold ultrastructural localization of collagens in the aged human outflow system. Ophthalmology 98:692, 1991

21. Rohen JW, Unger HH: Zur Morphologie und Pathologie der Kammerbucht des Auges, Abhandlung der Akademie der Wissenschaften und der Literatur, Mainz, Nr. 3. Wiesbaden, Steiner Verlag, 1959

22. Rohen JW, Futa R, Lütjen-Drecoll E: The fine structure of the cribriform meshwork in normal and glaucomatous eyes as seen in tangential sections. Invest Ophthalmol Vis Sci 21:574, 1981

23. Lütjen-Drecoll E: Structural factors influencing outflow facility and its changeability under drugs: A study in Macaca arctoides. Inves Ophthalmol 12:280, 1973

24. Ethier CR, Kamm RD: Calculations of flow resistance in the juxtacanalicular meshwork. Invest Ophthalmol Vis Sci 27:1741, 1986

25. Seiler T, Wollensak J: The resistance of the trabecular meshwork to aqueous humor outflow. Graefes Arch Clin Exp Ophthalmol 223:88, 1985

26. Lütjen-Drecoll E, Schenholm M, Tamm E, Tengblad M: Visualization of hyaluronic acid in the anterior segment of rabbit and monkey eyes. Exp Eye Res 51:55–63, 1990

27. Rodrigues MM, Katz S, Foidart JM, Spaeth GL: Collagen, Factor VIII antigen, and immunoglobulins in the human aqueous drainage channels. Ophthalmology 87:337, 1980

28. Wulle KG: Electron microscopic observations of the development of Schlemm's canal in the human eye. Trans Am Acad Ophthalmol Otolaryngol 72:765, 1968

29. Wulle KG: The development of the productive and draining system of the aqueous humor in the human eye. Adv Ophthalmol 26:269, 1972

30. Lütjen-Drecoll E, Rohen JW: Uber die endotheliale Auskleidung des Schlemm'schen Kanals im Silberimpragnationsbild. Graefes Arch Clin Exp Ophthalmol 180:249, 1970

31. Grierson 1, Lee WR: The fine structure of the trabecu-lar meshwork at graded levels of intraocular pressure:1. Pressure effects within the near-physiological range(8–30 mm Hg). Exp Eye Res 20:505, 1975

32. Lee WR, Grierson I, McMenamin PG: The morphological response of the primate outflow system to changes in pressure and flow. In Lutjen-Drecoll E (ed): Basic Aspeelslaueoma Research. Stuttgart, Sehattauer Verlag, 1982

33. Holmberg A: Sehlemm's canal and the trabecular meshwork: An electron microscopy study of the normal structure in man and monkey (Cercopithecus ethiops). Ophthalmol 19:339, 1965

34. Tripathi RC: Mechanism of the aqueous outflow across the trabecular wall of Schlemm's canal. Exp Eye Res 11:116, 1971

35. Bill A, Svedbergh B: Scanning electron microscopic studies of the trabecular meshwork and the canal of Schlemm:An attempt to localize the main resistance to outflow of aqueous humor in man. Acta Ophthalmol 50:295, 1972

36. Tripathi RC: Aqueous outflow pathway in normal and glaucomatous eyes. Br J Ophthalmol 56:157, 1972

37. Grierson I, Lee WR: Changes in the monkey outflow apparatus at graded levels of intraocular pressure. Exp Eye Res 19:21, 1974

38. Erikson A, Svedbergh B: Transcellular aqueous humor outflow: A theoretical and experimental study. Graefes Arch Clin Exp Ophthalmol 212:53, 1980

39. Inomata H. Bill A, Smelser GK: Aqueous humor pathways through the trabecular meshwork and into Schlemm's canal in the cynomolgus monkey (Macaca irus): An electron microscopic study. Am J Ophthalmol 73:760, 1972

40. Barany EH: The immediate effect on outflow resistance of intravenous pilocarpine in the vervet monkey (Cercopithecus ethiops). Invest Ophthalmol Vis Sei 6:373, 1967

41. Barany EH: The mode of action of miotics on outflow resistance: A study of pilocarpine in the vervet monkey (Cercopithecus aethiops). Invest Ophthalmol 6:373, 1967

42. Rohen JW, Lütjen E, Barany EH: The reaction between the ciliary muscle and the trabecular meshwork and its importance for the effect of miotics on aqueous outflow resistance: A study in two contrasting monkey species, Macaca irus and Cercopithecus aethiops. Graefes Arch Clin Exp Ophthalmol 172:23, 1967

43. Ringvold A: Actin filaments in trabecular endothelial cells in eyes of the vervet monkey. Acta Ophthalmol 56:217, 1978

44. de Kater AW, Spurr-Michaud SJ, Gipson IK: Localization of smooth muscle myosin-containing cells in the aqueous outflow pathway. Invest Ophthalmol Vis Sci 31:347, 1990

45. Flügel C, Tamm E, Lütjen-Drecoll E, Stefani FH: Age-related loss of a-smooth muscle actin in normal and glaucomatous human trabecular meshwork of different age groups. J Glaucoma 1:165, 1992

46. Tamm ER, Flügel C, Stefani FH, Rohen JW: ontractile cells in the human scleral spur. Exp Eye Res 54:531, 1992

47. Lepple-Wienhues A, Rauch R, Clark AF et al: Electrophysiological properties of cultured human trabecular meshwork cells. Exp Eye Res 59:305, 1994

48. Gupta N, Drance SM, McAllister R et al: Localization of M3 muscarinic receptor subtype and mRNA in the human eye. Ophthalmic Res 26:207, 1994

49. Wiederholt M, Sturm A, Lepple-Wienhues A: Relaxation of trabecular meshwork and ciliary muscle by release of nitric oxide. Invest Ophthalmol Vis Sci 35:2515, 1994

50. Wiederholt M, Bielka S, Schweig F et al: Regulation of outflow rate and resistance in the perfused anterior segment of the bovine eye. Exp Eye Res 61:223, 1995

51. Ruskell GL: The source of nerve fibers of the trabeculae and adjacent structures in monkey eyes. Exp Eye Res 23:449, 1976

52. Ruskell GL: Trigeminal innervation of the scleral spur in cynomolgus monkeys. J Anat 184:511, 1994

53. Stone RA: Nervous system and intraocular pressure. In Ritch R, Shields MB, Krupin T (eds): The Glaucomas, 2d ed, p 357. St. Louis, Mosby, 1996

54. Selbach JM, Gottanka J, Wittmann M, Lütjen-Drecoll E: Efferent and afferent innervation of primate trabecular meshwork and scleral spur. Invest Ophthalmol Vis Sci 41:2184, 2000

55. Tamm ER, Flügel C, Stefani FH, Lütjen-Drecoll E: Nerve endings with structural characteristics of mechanoreceptors in the human scleral spur. Invest Ophthalmol Vis Sci 35:1157, 1994

56. Tamm ER, Koch TA, Mayer B et al: Innervation of myo-fibroblast-like scleral spur cells in human and monkey eyes. Invest Ophthalmol Vis Sci 36:1633, 1995

57. Polansky J, Weinreb R, Baxter J, Alvarado J: Human trabecular cells: I. Establishment in tissue culture and growth characteristics. Invest Ophthalmol Vis Sci 18:1043, 1979

58. Rohen JW, Sehachtschabel DO, Berghoff K: Histoauto-radiographic and biochemical studies on human and monkey trabecular meshwork and ciliary body in short-term explat culture. Graefes Arch Clin Exp Ophthalmol 221:199, 1984

59. Acott TS, Wirtz MK: Biochemistry of aqueous outflow. In Ritch R, Shields MB, Krupin T (eds): The Glaucomas, 2d ed, p 281. St. Louis, Mosby, 1996

60. Binninger EA, Schachtschabel DO, Rohen JW: Exogenous glycosaminoglycans stimulate hyaluronic acid synthesis by cultured human trabecular meshwork cells. Exp Eye Res 45:169, 1987

61. Pandolfi M: Fibrinolysis and outflow resistance in the eye. Am J Ophthalmol 64:1141, 1967

62. Shuman MA, Polansky JR, Merkel C, Alvarado JA: Tissue plasminogen activator in cultured human trabecular meshwork cells. Invest Ophthalmol Vis Sci 29:401, 1988

63. Rohen JW, van der Zypen E: The phagocytic activity of the trabecular meshwork endothelium: An electron microscopic study of the vervet (Cercopithecus aethiops). Graefes Arch Clin Exp Ophthalmol 175:143, 1968

64. Barak MH, Weinreb RN, Ryder Ml: Quantitative assessment of cynomolgus monkey trabecular cell phagocytosis and adsorption. Curr Eye Res 7:445, 1988

65. Chisholm IA, Grierson I: Particulate phagocytosis by trabecular meshwork endothelium. Can J Ophthalmol 12:293, 1977

66. Sherwood ME, Richardson TM: Phagocytosis by trabecular meshwork cells: Sequence of events in cats and monkeys. Exp Eye Res 46:881, 1988

67. Johnson DH, Richardson TM, Epstein DL: Trabecular meshwork recovery after phagocytic challenge. Curr Eye Res 8:1121, 1989

68. Gottanka J, Flügel-Koch C, Martus P et al: Correlation of pseudoexfoliative material and optic nerve damage in pseudoexfoliation syndrome. Invest Ophthalmol Vis Sci 38:2435–2446

69. Flügel C, Kinne RW, Streilein JW, Lütjen-Drecoll E: Distinctive distribution of HLA class II presenting and bone marrow derived cells in the anterior segment of human eyes. Curr Eye Res 11:1173–1183, 1992

70. Alvarado J, Murphy C, Polansky J, Juster R: Age-related changes in trabecular meshwork cellularity. Invest Ophthalmol Vis Sci 21:714, 181

71. Grierson I, Howes RC: Age-related depletion of the cell population in the human trabecular meshwork. Eye I:204, 1987

72. Grierson I, Wang Q, McMenamin PG, Lee WR: The effects of age and antiglaucoma drugs on the meshwork cell population. Res Clin Forums 4:69, 1982

73. Lütjen-Drecoll E, Kaufman PL: Biomechanics of echo thiophate-induced anatomic changes in monkey aqueous outflow system. Graefes Arch Clin Exp Ophthalmol 224:564, 1986

74. Lütjen-Drecoll E, Kaufman PL: Long-term timolol and epinephrine in monkeys: 11. Morphological alterations in trabecular meshwork and ciliary muscle. Trans Ophthalmol Soc UK 105:196, 1986

75. Acott TS, Samples JR, Bradley JM et al: Trabecular repopulation by anterior trabecular meshwork cells after laser trabeculoplasty. Am J Ophthalmol 107:1, 1989

76. Raviola G: Schwalbe's line cells: A new cell type in the trabecular meshwork of Macaca mulatta. Invest Ophthalmol Vis Sci 22:45, 1982

77. Stone RA, Kuwayama Y. Laties AM, Marangos PJ: Neuron-specific enolase-containing cells in the rhesus monkey trabecular meshwork. Invest Ophthalmol Vis Sci 25:1332, 1984

78. Rittig M, Flügel C, Prehm P, Lütjen-Drecoll E: Hyaluronan synthase immunoreactivity in the anterior segment of the primate eye. Graefes Arch Clin Exp Ophthalmol 231:313–317, 1993

79. Rohen JW, Rentsch FJ: Elektronenmikroskopische Untersuchungen uber den Bau der Auen, Bwand des Schlemm'schen Kanals unter besonderer Berucksichtigung der Abflu, Bkanale und Altersveranderungen. Graefes Arch Clin Exp Ophthalmol 177:1, 1969

80. Kleinert H: Die Vitalfarbung des Kammerwassers und seiner epibulbaren Abflu, Bwege naeh Fluoreszeininjektion in die Vorderkammer. Klin Monatsbl Augenheilkd 122:665, 1953

81. Rohen JW, Witmer R: Electron microscopic studies on the trabecular meshwork in glaucoma simplex. Graefes Arch Clin Exp Ophthalmol 183:251, 1972

82. McMenamin PG, Lee WR: Age-related changes in extracellular matrials in the inner wall of Schlemm's canal. Graefes Arch Clin Exp Ophthalmol 212:159, 1980

83. Lütjen-Drecoll E, Shimizu T. Rohrbach M, Rohen JW: Quantitative analysis of “plaque material” in the inner and outer wall of Schlemm's canal in normal and glaucomatous eyes. Exp Eye Res 42:443, 1986

84. Arentsen JJ, Rodrigues MM, Laitsson PR: Histopathology of 150 trabeculectomy specimens in glaucoma. Invest Ophthalmol Vis Sci 16:32, 1977

85. Grierson I: Alterations in the outflow system in chronic simple glaucoma. Res Clin Forums 7:205, 1985

86. Gottanka J, Johnson DH, Martus P, Lütjen-Drecoll E: Severity of optic nerve damage in eyes with POAG is correlated with changes in the trabecular meshwork. J Glaucoma 6:123–132, 1997

87. Lütjen-Drecoll E, May CA, Polansky JR et al: Localization of the stress protein αB-crystallin and trabecular meshwork inducible glucocorticoid response protein in normal and glaucomatous trabecular meshwork. Invest Ophthalmol Vis Sci 39:517–525, 1998

88. Siegner A, May CA, Welge-Lüssen U et al: αB-crystallin in the primate ciliary muscle and trabecular meshwork. Eur J Cell Biol 71:165–169, 1996

89. Welge-Lüssen U, May CA, Eichhorn M, et al: αB-crystallin in the trabecular meshwork is inducible by transforming growth factor-ss. Invest Ophthalmol Vis Sci 40:2235–2241, 1999

90. Alvarado J, Murphy C, Juster R: Trabecular meshwork cellularity in POAG and non-glaucomatous normals. Ophthalmology 91:564, 1984

91. Ringvold A, Vegge T: Electron microscopy of the trabecular meshwork in eyes with exfoliation syndrome (pseudoexfoliation of the lens capsule). Virchows Arch A 353:110, 1971

92. Layden WE, Shaffer RN: Exfoliation syndrome. Am J Ophthalmol 78:835, 1974

93. Sugar HS, Harding C, Barsky D: The exfoliation syndrome. Ann Ophthalmol 8:1165, 1976

94. Roth M, Epstein DL: Exfoliation syndrome. Am J Ophthalmol 89:477, 1980

95. Schlötzer-Schrehardt U, Naumann GOH: Trabecular meshwork in pseudoexfoliation syndrome with and without glaucoma. A morphometric, ultrastructural study. Invest Ophthalmol Vis Sci 36:1750, 1995

96. Streeten BW, Gibson S, Dark AJ: Pseudoexfoliative material contains an elastic microfibrillar-associated glycoprotein. Transact Am Ophthalmol Soc 84:304, 1986

97. Zong-Yi L, Streeten BW, Wallace RN: Association of elastin with pseudoexfoliative material: An immunoelectron microscopic study. Current Eye Res 7:1163, 1988

98. Schlötzer-Schrehardt U, von der Mark K, Sakai LY, Naumann GO: Increased extracellular deposition of fibrillin-containing fibrils in pseudoexfoliation syndrome. Invest Ophthalmol Vis Sci 38:970, 1997

99. Zong-Yi L, Streeten BW, Yohai N: Amyloid P in pseudoexfoliative fibrillopathy. Current Eye Res 8:217, 1989

100. Richardson TM, Hutchinson BT, Grant M: The outflow tract in pigmentary glaucoma. Arch Ophthalmol 95:1015, 1977

101. Rohen JW: Anatomy of the aqueous outflow channels. In Cairns JE (ed): Glaucoma, vol I. London, Grune & Stratton, 1986

102. Johnson DH: Does pigmentation affect the trabecular meshwork? Arch Ophthalmol 107:250, 1989

103. Furuyoshi N, Furuyoshi M, Futa R et al: Ultrastructural changes in the trabecular meshwork of juvenile glaucoma. Ophthalmologica 211:140–146, 1997

104. Rohen JW, Linner E, Witmer R: Electron microscopic studies on the trabecular meshwork in two cases of cortisone glaucoma. Exp Eye Res 17:19, 1973

105. Spaeth GL, Rodrigues MM, Weinreb S: Steroid-induced glaucoma: 1. Persistent elevation of intraocular pressure. II. Histopathologic aspects. Trans Am Ophthalmol Soc 75:353, 1977

106. Johnson D, Gottanka J, Flügel C et al: Ultrastructural changes in the trabecular meshwork of human eyes treated with corticosteroids. Arch Ophthalmol 115:375, 1997

Back to Top