Chapter 25
Microbial Preseptal and Orbital Cellulitis
PAUL G. STEINKULLER and DAN B. JONES
Main Menu   Table Of Contents

Search

ANATOMIC FACTORS
CLASSIFICATION
PROBLEM-SOLVING ALGORITHMS
PRESEPTAL CELLULITIS
ORBITAL CELLULITIS
REFERENCES

The major infections of the ocular adnexal and orbital tissues are preseptal (periorbital) cellulitis and orbital cellulitis. Preseptal cellulitis is infection of the soft tissue of the eyelids and periocular region anterior to the orbital septum. The orbital septum is a layer of fascia extending vertically from the periosteum of the orbital rim to the levator aponeurosis of the upper lid and to the tarsal plate of the lower lid. Orbital cellulitis is infection of the soft tissues of the orbit posterior to the orbital septum. Both conditions are more common in children than in adults.

Each of these types of cellulitis has specific causes, and each may be associated with serious complications, including vision loss, intracranial infection, and death. Preservation of ocular function and prevention of ocular and systemic complications require a thorough understanding of the causes and pathogenesis of each of these conditions. Proper management necessitates prompt recognition of the clinical features, obtaining appropriate laboratory investigations and interspecialty consultations, timely initiation of antibiotic therapy, and selected surgical intervention.1

Back to Top
ANATOMIC FACTORS
The orbit is lined with periosteum, which is loosely adherent to bone anteriorly and much more firmly adherent posteriorly. The periosteum of the superior orbital rim is continuous with the superior orbital septum, which inserts into the levator aponeurosis (Fig. 1) The periosteum of the inferior orbital rim is continuous with the inferior orbital septum, which inserts along the inferior border of the inferior tarsal plate. The orbital septum is a thin and often incomplete structure rather than a dense continuous membrane.2,3 The intermuscular septa, lateral extensions of the extraocular muscle sheaths, extend from one rectus muscle to the next and from the insertions of the muscles to their origins at the annulus of Zinn posteriorly. Thus, the four rectus muscles and their intermuscular septa establish an anatomic cone that divides the orbit into intraconal and extraconal compartments (Fig. 2). In the posterior orbit, the fascia between the rectus muscles is thin and often incomplete, and distinct compartments may be lacking. Orbital abscesses located within the orbit but outside of the subperiosteal space can easily extend between the intraconal and extraconal orbital spaces.

Fig. 1. The superior orbital septum extends from the periosteum of the orbital rim to the levator aponeurosis. In the lower lid the orbital septum inserts along the inferior edge of the tarsal plate.

Fig. 2. Within the orbit, the four rectus muscles and their intermuscular septa constitute an anatomic cone that establishes two separate compartments: intraconal and extraconal.

The maxillary sinus appears at about the 70th day of fetal life. Outpouchings of the ethmoidal air cells may be evident as early as the fourth month of fetal development. Following birth, the maxillary and ethmoidal sinuses enlarge rapidly, paralleling general physical development, and reach maximum size by age 19 to 20 years.4 The frontal sinuses develop as vertical and lateral extensions of the ethmoidal air cells, reach the level of the nasion by age 3 years, and may extend above the level of the orbital roofs by age 2½ to 8 years, averaging 4 years (Fig. 3).

Fig. 3. The paranasal sinuses may not reach full size until age 19 to 20 years. Most orbital cellulitis is due to ethmoid sinusitis.

The medial orbital wall is thin and perforated by numerous nerves and blood vessels. In addition to these openings, this lamina papyracea has multiple other defects (Zuckerkandl's dehiscences). This combination of thin bone, numerous neurovascular foramina, and multiple naturally occurring bony defects allows easy passage of infectious material between the ethmoidal air cells and the subperiosteal space medially. The most common location of a subperiosteal abscess secondary to acute sinusitis is along the medial orbital wall. The relatively loose adherence of the periosteum to the bony orbit anteriorly allows abscess material to move easily superiorly, inferiorly, and laterally within the subperiosteal space. The roof of the ethmoidal air cells also has multiple neurovascular foramina, and septic processes within the ethmoid sinuses can extend superiorly into the intracranial cavity. This may progress to meningitis, epidural and subdural abscesses, and parenchymal brain abscesses, especially of the frontal lobes.5,6

The orbital veins are without valves, and therefore may allow passage of infectious processes in both anterograde and retrograde directions. The venous drainage of the middle third of the face and of the paranasal sinuses is mostly via the orbital veins, and then inferiorly into the pterygoid plexus, or posteriorly into the cavernous sinuses (Fig. 4). A septic process of the cavernous sinus may involve any of the structures located within, including cranial nerves III, IV, V, and VI; the internal carotid artery; and orbital sympathetic nerves (Fig. 5). Such an infection can also extend to the contralateral cavernous sinus, to the pituitary gland, the surrounding meninges, and the parameningeal spaces.7

Fig. 4. The orbital veins drain posteriorly into the cavernous sinus and inferiorly into the pterygoid plexus.

Fig. 5. The cavernous sinuses lie on either side of the pituitary gland, above the sphenoid sinus and below the optic chiasm.

Back to Top
CLASSIFICATION
In 1937, Hubert8 categorized the orbital complications of acute sinusitis. This classification was modified by Smith and Spencer in 19489 and by Chandler and colleagues in 1970.10 This still useful scheme suggests, but does not dictate, chronologically successive stages of these conditions. Group I is preseptal cellulitis, which may develop in the early stages of ethmoid sinusitis; group II is orbital cellulitis. Note that the first sign of sinusitis may appear to be a form of periorbital cellulitis. The remaining three groups all represent abscess formation: group III is subperiosteal abscess, group IV is intraorbital abscess, and group V is cavernous sinus thrombosis (septic abscess) (Fig. 6). It is also important to be aware that intraorbital abscesses and cavernous sinus thrombosis may develop by mechanisms other than sinusitis.

Fig. 6. Chandler's classification of the orbital complications of acute sinusitis. Group I is preseptal cellulitis, and group II is orbital cellulitis. The remaining groups are all abscesses: group III is subperiosteal abscess, group IV is intraorbital abscess, and group V is cavernous sinus thrombosis (septic abscess).10

Preseptal and orbital cellulitis are both more common in children than in adults. Most of these infections occur during winter, possibly because of the higher frequency of sinus infections and upper respiratory tract infections during that season.11 Before the introduction of effective immunizations for type B Haemophilus influenzae admissions for preseptal cellulitis were much more common than those for orbital cellulitis.12–15 Although there has been a marked decrease in this particular form of preseptal cellulitis, the number of admissions for periorbital cellulitis is still greater than that for orbital cellulitis.

Back to Top
PROBLEM-SOLVING ALGORITHMS
The first step in determining the differential diagnosis of eyelid inflammation is to evaluate the signs of lid tissue distention: when absent, the diagnosis is usually blepharitis or dermatoblepharitis; when present, the diagnosis most often is either preseptal cellulitis or orbital cellulitis (Fig. 7). There is often some overlap between dermatoblepharitis and preseptal cellulitis. The second step involves distinguishing the two latter conditions from each other: absence of proptosis indicates preseptal cellulitis; its presence indicates orbital cellulitis (Fig. 8). A careful ophthalmologic examination is essential, including visual acuity, evaluation of the ocular adnexae and regional lymph nodes, pupil reaction, ocular motility, visual fields, biomicroscopy of the anterior segment, tonometry, and ophthalmoscopy. The ocular examination should be as complete as the clinical setting permits. The most distinctive features of orbital cellulitis are proptosis and limitation of ocular motility; useful but variable additional signs are conjunctival inflammation with chemosis, orbital pain, reduced visual acuity, and afferent pupillary defect (Table 1). If the clinical signs suggest preseptal cellulitis, the third step is to search for two principal risk factors: (1) trauma and (2) infection of the skin of the eyelids or face (Fig. 9). Absence of both suggests the unique entity of nonsuppurative preseptal cellulitis.16,17

Fig. 7. The sign of tissue distention distinguishes cellulitis from blepharitis and dermatoblepharitis.

Fig. 8. Orbital cellulitis is distinguished from preseptal cellulitis by the presence of inflammatory proptosis.

 

TABLE 1. Distinguishing Features of Bacterial Preseptal and Orbital Cellulitis


FeaturePreseptal CellulitisOrbital Cellulitis
ProptosisAbsentPresent
MotilityNormalDecreased
Pain on motionAbsentPresent
Orbital painAbsentPresent
VisionNormalMay be decreased
Pupillary reactionNormalMay be abnormal; ± afferent pupillary defect
ChemosisRareCommon
Corneal sensationNormalMay be reduced
OphthalmoscopyNormalMay be abnormal; ± venous congestion; ± disc edema
Systemic signs (e.g., fever, malaise)MildCommonly severe

±, with or without.

 

Fig. 9. Classification and management algorithm for preseptal cellulitis.

In post-traumatic infections, an entry wound can usually be identified. Preseptal cellulitis can be caused by seemingly minor trauma (e.g., a mosquito bite) or by blunt trauma. Abscess formation in the preseptal space is typically caused by Staphylococcus aureus or Streptococcus pyogenes. When an abscess is identified, management usually requires surgical drainage, smear and cultures of the material thus obtained, and initiation of appropriate antibiotic therapy (e.g., intravenous [IV] nafcillin, oral dicloxacillin) unless otherwise directed by interpretation of the Gram's stain or by other factors.

Preseptal cellulitis accompanying skin infections is distinguished by the type and distribution of the cutaneous lesions. Staphylococcus aureus and Streptococcus pyogenes are the most common bacterial pathogens in this situation. Appropriate laboratory investigations include Gram's stain and culture of the skin lesions, and initial treatment could include oral cloxacillin or intravenous nafcillin, depending on the severity of the infection and other factors. Facial erysipelas due to Streptococcus pyogenes is uncommon, and may be accompanied by signs of mild orbital congestion. Reference is made to sections in this chapter detailing the clinical features, laboratory diagnosis, and management of these specific infections.

In the absence of both trauma and skin infection, nonsuppurative preseptal cellulitis is suggested. In young children and adolescence, the most likely cause of nonsuppurative bacterial preseptal cellulitis in the United States is Streptococcus pneumoniae. In developing countries, in nonimmunized persons, and in immunocompromised patients, H. influenzae type B should be suspected. Upper respiratory infection or otitis media are present in approximately one half of such children. A dark purple discoloration of the skin of the eyelids and the face suggests H. influenzae type B cellulitis, especially in children younger than 4 years of age. Laboratory investigation of severe nonsuppurative preseptal cellulitis in children, regardless of the presence or absence of upper respiratory tract infection or otitis media, requires that blood cultures be obtained; clinical assessment calls for a search for signs of meningitis or sepsis. Appropriate treatment may be intravenous cefuroxime when no meningeal signs are present, or ceftriaxone or cefotaxime when they are. Older children who have mild cases without systemic disease are often treated with oral antimicrobials, such as ampicillin-clavulanate or cefaclor.

Neonates may exhibit preseptal edema secondary to bacterial or chlamydial conjunctivitis; in older children, this sign may develop because of adenoviral disease, pharyngoconjunctival fever, or severe bacterial conjunctivitis. As a rule, bilateral preseptal cellulitis does not occur, although patients with unilateral preseptal cellulitis may exhibit contralateral eyelid lymphedema.

Preseptal cellulitis in adults without local skin infection or trauma is rare. As in children, the presumed mechanism in such cases is spread of organisms from the sinuses, upper respiratory tract, or middle ear by venous or lymphatic channels; the principal organisms involved are Streptococcus pneumoniae, other streptococci, and Staphylococcus aureus. Preseptal cellulitis due to H. influenzae type B has not been documented in adults. The differential diagnosis includes erysipelas, an uncommon disease in children, and very rare in adults. Causes of noninfectious preseptal edema, such as allergic blepharodermatitis or angioneurotic edema, should be considered.

Blood cultures should be obtained if the preseptal cellulitis patient is septic or exhibits meningeal signs; the patient should be admitted in such cases. Appropriate inpatient treatment may be intravenous cefuroxime, ceftriaxone, or cefotaxime. Outpatient treatment with oral cefaclor, amoxicillin-clavulanate, or trimethoprim-sulfamethoxazole is appropriate in mild infections. Computed tomography (CT) scans should be obtained in preseptal cellulitis if the globe cannot be adequately examined, if trauma may have perforated the orbital septum, if there is a possibility of retained foreign material, or if the patient is severely ill.

Acute inflammatory proptosis is the cardinal sign of orbital cellulitis; the supporting signs and symptoms were detailed earlier. A CT scan should be obtained, and the treatment program started promptly. One must distinguish orbital cellulitis caused by accidental trauma or by surgery from those cases due to spread of infection from adjacent structures and from cellulitis secondary to bacterial sinusitis. Endogenous orbital cellulitis due to bacteremia is very rare (Fig. 10).

Fig. 10. Classification and management algorithm for orbital cellulitis.

The principal bacterial agent causing traumatic orbital cellulitis is Staphylococcus aureus. Any draining material should be collected for Gram's stain and inoculated to aerobic and anaerobic media. Treatment calls for intravenous nafcillin or ceftazidime unless otherwise directed by the interpretation of the Gram's stain or other factors. Penicillin G, cefoxitin, metronidazole, clindamycin, or chloramphenicol should be considered for suspected anaerobic infections.

In the absence of trauma or surgery, one must consider the possibility of fungal disease, primarily mucormycosis or aspergillosis, despite the rarity of these infections. Neuro-ophthalmologic signs, particularly the orbital apex syndrome (i.e., dysfunction of cranial nerves II, III, IV, and VI and of the ophthalmic division of V) in the presence of reduced host defenses, such as metabolic acidosis or immunosuppression, suggest mucormycosis and should prompt a search for necrotic tissue. A biopsy for histopathology and culture should be done if such a lesion is found. Aspergillosis, often occurring in otherwise apparently healthy patients, is suggested by similar signs, but has a more chronic course. Treatment of both conditions includes intravenous amphotericin B, and often involves extensive surgical débridement.

The most common cause of orbital cellulitis in all age groups is bacterial ethmoid sinusitis. Signs of sinus or nasal infection are usually identifiable at first presentation, but may be subtle or initially absent. The most common bacteria identified in sinusitis are Streptococcus pneumoniae, nontypeable H. influenzae, other streptococci, and Staphylococcus aureus. Anaerobes may play a significant role. Orbital cellulitis caused by spread of infection from sites other than the paranasal sinuses is uncommon, and will be suggested by other signs. Other causes of inflammatory proptosis, such as neoplasm, should be considered; such cases can usually be identified by characteristic clinical signs and by CT or magnetic resonance imaging (MRI) scans.

Initial management of orbital cellulitis associated with sinusitis requires appropriate stains and cultures of nasal, sinus, or abscess material, when available; and treatment with intravenous nafcillin (staphylococci and streptococci) or vancomycin (if there is a history of severe penicillin allergy), plus metronidazole (anaerobes) and ceftriaxone or cefotaxime (gram-negative organisms, nontypeable H. influenzae, resistant pneumococci, Moraxella). Ticarcillin-clavulanate is an appropriate single agent; a combination of nafcillin and chloramphenicol is useful when the other agents are not available, but chloramphenicol carries a risk of aplastic anemia. Surgical drainage of a subperiosteal or orbital abscess, or of the paranasal sinuses, is determined by the severity and course of the clinical signs, especially decreasing or threatened vision, with a developing afferent pupillary defect. As for other preseptal and orbital infections, antibiotic therapy should be modified by the results of laboratory investigation and by the clinical response.

The initial management of acute preseptal and orbital cellulitis is simplified by recognition of the distinctive signs, the principal risk factors, and the most likely responsible organisms involved. Proper management of these entities can prevent loss of vision and can help obviate life-threatening intracranial complications (Fig. 11).18

Fig. 11. Summary algorithm for preseptal and orbital cellulitis.

Back to Top
PRESEPTAL CELLULITIS
Preseptal cellulitis can occur by three possible mechanisms: (1) spread of infection from the upper respiratory tract, presumably by venous and lymphatic channels; (2) direct inoculation from trauma; and (3) spread of infection from the skin and adjacent structures. The clinical signs, responsible agents, laboratory investigations, and antibiotic therapies are unique for each mechanism. It is important to remember that preseptal cellulitis may be the first sign of sinusitis, which can progress to orbital and intracranial disease.

NONSUPPURATIVE PRESEPTAL CELLULITIS IN CHILDREN

Before the widespread availability of appropriate vaccines, nonsuppurative preseptal cellulitis in children was commonly caused by H. influenzae type b.13,19 The use of these vaccines has now resulted in a marked reduction in the number of cases of preseptal cellulitis caused by this organism. In developing countries and in locations where the vaccines are not widely available or adequately used, it is still possible to find frequent cases of type B H. influenzae infections. In the United States, the most common bacterial agent identified in preseptal cellulitis in children is now Streptococcus pneumoniae.20–22

H. influenzae type B cellulitis typically begins with mild upper respiratory tract infection, fever, leukocytosis, and unilateral hyperemia and edema of the soft tissues of the eyelids. A sharply demarcated, purple discoloration of the skin of the eyelids and adnexal region is characteristic (Fig. 12). Mild conjunctival hyperemia and chemosis may be present.

Fig. 12. A. Two-year-old African-American girl with preseptal cellulitis due to type b H. influenzae. B. Seven-year-old white boy with preseptal cellulitis due to S. pneumoniae.

H. influenzae type B can cause severe, life-threatening infections in children, including meningitis, epiglottitis, bacteremia, pneumonia, arthritis, and cellulitis. Before 1990, approximately 18,000 cases of severe H. influenzae infection occurred annually in the United States among children younger than 5 years of age; every year, 900 to 1200 of such cases were fatal.23 H. influenzae type B causes two principal forms of soft tissue infection of the face: preseptal cellulitis and buccal cellulitis. These two forms share several epidemiologic and clinical features, notably peak incidence in winter months, predominance in children aged 4 to 12 months, a violaceous tender swelling of the involved soft tissues, and concurrent bacteremia. The pathogenesis of H. influenzae buccal cellulitis is uncertain. The principal theories are (1) lymphatic spread from ipsilateral otitis media or from the nasal passages; (2) hematogenous spread from another site; or (3) invasion of the organism across the mucous membrane of the oropharynx.24–26 Most serious H. influenzae type B infections occur between the ages of 6 months and 2 years. Before age 6 months, infants are partially protected by passively acquired maternal antibodies27; natural antibodies to the capsular polysaccharide of H. influenzae type B develop between the ages of 18 and 24 months in nonimmunized children.28,29 Since December 1993, four H. influenzae type B conjugate vaccines and one combined with the diphtheria, pertussis, tetanus (DPT) immunization have been licensed in the United States: HIBTITER, ActHIB and OmniHIB (given at 2, 4, and 6 months), and PedvaxHIB (2 and 4 months); all require a booster between 12 and 15 months of age. ProHIBit, combined with diphtheria toxoid, is used for children 12 months and older.30 Any vaccine failure should raise the suspicion of immunodeficiency.

Streptococcus pneumoniae nonsuppurative preseptal cellulitis typically occurs in children younger than 8 years of age with a preceding or concomitant upper respiratory tract infection. Streptococcus pneumoniae is now considered the most common cause of nonsuppurative preseptal cellulitis in the United States. The preseptal cellulitis caused by H. influenzae type B and Streptococcus pneumoniae both have a 2% frequency of associated meningitis; other clinical signs are similar in these separate etiologic entities. Streptococcus pneumoniae buccal cellulitis has not been reported.21

Appropriate laboratory testing for nonsuppurative preseptal cellulitis includes a complete blood count, a lumbar puncture in children younger than 12 months of age (and in older children if any meningeal signs are present), and a CT scan if it cannot be clearly distinguished from orbital cellulitis.31,32 Conjunctival and nasopharyngeal cultures have not proved diagnostically helpful. Blood cultures are included with any sepsis workup; needle aspiration of the tissue involved in the cellulitis process is contraindicated.33–35 Penicillin-resistant pneumococcus is a growing threat; all isolates should be tested for resistance to penicillin, cefotaxime, and ceftriaxone.

The treatment of nonsuppurative preseptal cellulitis varies with age and with the severity of accompanying signs. Admission is advised for children younger than 1 year old, in unimmunized patients, and if the patient is septic or has meningeal signs. Appropriate intravenous antibiotics include cefuroxime if there is no threat of meningitis, and ceftriaxone or cefotaxime if any meningeal signs are present. Ampicillin and chloramphenicol can be considered, but ampicillin is ineffective against β-lactamase-producing H. influenzae, Staphylococcus aureus, and Moraxella (Branhamella) catarrhalis; chloramphenicol may cause aplastic anemia.30,36,37 Admitted patients should remain on intravenous antibiotics until there is obvious clinical improvement and until they are afebrile for at least 24 hours (48 hours if blood cultures are positive). After being discharged, the patient should remain on oral antibiotics for an additional 7 to 10 days. Appropriate oral antibiotics include amoxicillin-clavulanate, trimethoprim-sulfamethoxazole, and cefuroxime axetil. If the infection is proved to be due to H. influenzae type B and if there are any nonimmunized children at home, the entire family should be treated prophylactically with rifampin according to standard protocols.30

Post-traumatic suppurative preseptal cellulitis can follow puncture wounds, lacerations, and insect bites, but can also occur after blunt trauma without an apparent penetrating wound. Subcutaneous edema and hematoma may predispose patients to abscess formation. The most commonly identified bacterial causes of post-traumatic periorbital cellulitis are Staphylococcus aureus and Streptococcus pyogenes. Polymicrobial infections may occur, especially if a wound remains open. Anaerobic, non-spore-forming bacteria, such as Peptococcus, Peptostreptococcus and Bacteroides, are associated with infections following human or animal bites. Contamination with soil can produce myonecrosis with gas gangrene, or tetanus due to clostridial infection.38 Anaerobic infection is suggested by foul-smelling discharge, tissue necrosis, the formation of gas in the tissue, and severe toxemia.39

The clinical signs following injury along the superior orbital rim may be more pronounced than those following injury to the inferior orbital rim. Edema of the lid may extend into the subcutaneous and submuscular layers of the eye brow and forehead (Fig. 13). The skin may be taut and erythematous; fluctuation indicates abscess formation. Lymphedema can cause swelling of the contralateral upper and lower lids.

Fig. 13. Post-traumatic suppurative preseptal cellulitis of the upper lid.

Despite the severity of the adnexal signs in post-traumatic periorbital cellulitis, it is imperative that the globe be examined as carefully and as thoroughly as possible. Perforations of the globe may follow apparently trivial puncture wounds of the lids. If the eye cannot be adequately examined in the emergency room or clinic, an examination under anesthesia is mandatory. Normal vision, absence of proptosis, normal ocular motility, and absence of pain on motion help to distinguish preseptal cellulitis from orbital cellulitis (see Table 1). Patients with post-traumatic preseptal cellulitis typically remain afebrile and demonstrate only mild leukocytosis.

If abscess formation is detected, the treatment of post-traumatic preseptal cellulitis may involve incision of the skin with drainage of suppurative material. Initial antibiotic selection is based on the Gram's stain of the wound or abscess material. If no such material is available, the initial antimicrobial agents are chosen on the basis of knowledge of the most common offending organisms: Staphylococcus aureus and Streptococcus pyogenes. Antibiotic therapy can be modified later according to culture results or clinical response. A CT scan or MRI should be considered when there is great difficulty in adequately examining the globe, if there is a question of retained foreign material, or if orbital inflammation cannot be ruled out. Patients with significant infections should be hospitalized for intravenous antibiotic therapy. Tetanus prophylaxis should be administered according to accepted guidelines (Table 2).30

 

TABLE 2. Guide to Tetanus Prophylaxis in Routine Wound Management


History of Adsorbed TetanusClean, Minor WoundsAll Other Wounds*
Toxoid (Doses)Td†TIG‡TdTIG
Uncertain or less than 3YesNoYesYes
3 or more§No||NoNoNo

* Such as, but not limited to, wounds contaminated with dirt, feces, soil, saliva; puncture wounds; avulsions; and wounds resulting from missiles, crushings, burns, and frostbite.
† For children younger than 7 years old; DTP and DTaP (if 3 or more doses of DTP previously given) is preferred to tetanus toxoid alone; if pertussis vaccine is contraindicated, DT is given. For persons aged 7 years or older, Td is preferred to tetanus toxoid alone. Td, adult-type tetanus and diphtheria toxoids.
‡ TIG, tetanus immune globulin.
§ If only 3 doses of fluid toxoid have been received, then a fourth dose of toxoid, preferably an adsorbed toxoid, should be given.
|| Yes, if older than 10 years since last dose.
Yes, if older than 5 years since last dose. (More frequent boosters are not needed and can accentuate side effects.)
DT, diphtheria, pertussis; DTP, diphtheria, tetanus, pertussis; DTaP, diphtheria, tetanus (acellular), pertussis.
(Committee on Infectious Diseases: 1994 Red Book, 23rd ed, p 461. American Academy of Pediatrics, 1994)

 

Surgical drainage of a lid abscess can be accomplished by separating the wound edges with a hemostat or scalpel handle. A 2- to 3-cm incision through the skin over an area of fluctuation can be made in alert, cooperative patients in the emergency room or in a minor treatment room. Local infiltrative anesthesia should be avoided because it may spread the infection. In difficult or uncooperative patients or in children, sedation or general anesthesia may be necessary. Adequate topical anesthesia may be obtained with the use of EMLA (eutectic mixture of local anesthetics) cream. When the upper lid is involved, the preferred incision site is along the lateral third of the superior orbital rim (Fig. 14), thus avoiding major structures within the upper lid, and minimizing the risk of penetration into the posterior orbit; a lid plate or similar instrument should be used to protect the globe. An adequate amount of pus can usually be drained without incising deeply into the submuscular layer. Bleeding is usually minimal, but can be brisk. In patients with coagulopathies, such incision and drainage procedures are best done in the controlled environment of an operating room with blood products available. Loculations within an abscess cavity should be separated to promote drainage. A soft rubber catheter or Penrose drain should be inserted, or the wound should be loosely packed with ¼-inch iodoform gauze. The drain is mobilized on postoperative day 1 and removed on day 2 if drainage has stopped.

Fig. 14. Preferred incision site for upper lid abscesses. Photograph was taken in a hospital in Africa, where gloves were not available.

Pus obtained from the wound or from an abscess cavity should be collected with a sterile syringe and inoculated directly to blood agar and chocolate agar plates and to an anaerobic medium, such as Brucella agar incubated in a GasPak bag system. Smears for Gram's stain are prepared by spreading a drop of material thinly over the surface of a glass slide and then fixing the specimen in 95% methyl alcohol for 5 minutes.

The selection of initial antibiotic agents is based on the Gram's stain results or knowledge of the likelihood of responsible bacteria. It may be difficult to demonstrate organisms in pus, and one must be aware that the inflammatory response may alter the stained morphology of the organisms. A preferred initial therapy for gram-positive cocci is intravenous nafcillin; a third-generation cephalosporin such as ceftriaxone or ceftazidime would be appropriate for gram-negative organisms. A first-generation cephalosporin antibiotic, such as cefazolin, could be considered for patients with a history of penicillin allergy—except for those who have severe anaphylaxis, for whom vancomycin is the drug of choice. Penicillin G, or alternative agents such as cefuroxime or chloramphenicol, should be added for infections following human or animal bites, or when anaerobic infection is considered. For the latter, clindamycin or metronidazole are also useful. Oral antibiotic therapy and outpatient management may be appropriate in minor infections, but such cases should be monitored carefully, daily during the initial course. In mild staphylococcal or streptococcal infections, oral dicloxacillin or cefaclor are appropriate.

Antibiotic therapy should be continued for a minimum of 5 to 7 days, or until there is obvious resolution of infection. Streptococcal infections should be treated for at least 10 days. In severe infections initially treated with intravenous antibiotics, oral antibiotics may be substituted after 48 to 72 hours if there is definite clinical improvement. A CT scan or MRI should be considered or repeated if there is progression of infection or if orbital inflammation develops despite apparently appropriate antimicrobial therapy. Repeat drainage of a wound or repeat exploration of an abscess cavity may be necessary.

PRESEPTAL CELLULITIS SECONDARY TO INFECTIONS OF THE SKIN AND ORBITAL ADNEXAE

Infection of the skin of the middle third of the face or of the eyelids may be accompanied by preseptal cellulitis. The specific cause can often be recognized by the type and distribution of the skin lesions. Antibiotics are selected on the basis of stain or culture identification of the organisms. Local skin infections commonly causing preseptal cellulitis are impetigo, herpes simplex, herpes zoster, erysipelas, and cellulitis of the face in infancy.

Impetigo

Impetigo is pyoderma due to infection by Staphylococcus aureus or by group A Streptococcus pyogenes. This infection is most commonly seen in children younger than 6 years old who have been exposed to poor hygienic conditions. Impetigo may complicate other skin infections and lesions associated with varicella, herpes simplex, or eczema. Impetigo most commonly involves the face and exposed areas of the distal extremities. There may be few or multiple lesions. Small, red macules develop and progress rapidly to thin-walled, serous vesicles surrounded by narrow, erythematous areolae. Marked erythema and edema of the lids may develop (Fig. 15). The vesicles rupture and release serous or purulent material, which dries to form the thick, golden yellow crusts characteristic of the infection. Satellite lesions may develop by autoinoculation. Regional lymphadenopathy is common if there are multiple lesions; low-grade fever and leukocytosis may occur. Streptococcal impetigo may produce marked erythema, but the distinction between staphylococcal and streptococcal impetigo on clinical appearance only may be impossible.

Fig. 15. Facial impetigo with secondary preseptal cellulitis.

Laboratory investigation of impetigo is usually not necessary because the lesions are often classic. If the lesions are atypical or the patient is immunocompromised, appropriate laboratory testing would include a Gram's stain of material from either vesicle fluid or from an involved area of denuded skin. Swabs of such material should be inoculated to blood agar and chocolate agar plates. Recovery of organisms may be enhanced by moistening the swab with a nutrient medium, such as trypticase soy broth.

Treatment of impetigo is a three-step process: (1) applying systemic antibiotics; (2) scrubbing or washing the involved areas with soap and water two to three times a day; and (3) (optional) applying a topical antibiotic, such as bacitracin ointment, after washing. In mild cases, appropriate initial oral therapy would be ampicillin-clavulanate, oxacillin, dicloxacillin, cephalexin, loracarbef, cefaclor, or erythromycin. In severe cases with bulla formation, in septic patients, or in immunocompromised persons or young infants, admission for treatment with intravenous nafcillin or other similar agent is advisable. Systemic antibiotic therapy should be maintained for at least 10 days. If bacitracin ointment (500 units/g) is used, it should be applied to the affected areas of skin after scrubbing or washing two to three times a day. Mild cases of impetigo with just a few small lesions and vesicles can be treated with topical mupirocin ointment only, applied two to three times a day after washing.

Herpes Simplex Virus

Herpes simplex virus is a member of the family Herpesviridae, which also includes varicella-zoster virus (VZV), cytomegalovirus, and Epstein-Barr virus. After primary infection, the virus persists in latent form in neural ganglia. Infection of the eyelids occurs in one of three settings: (1) as a complication of disseminated neonatal infection (type 2); (2) primary infection in children or adults (type 1); or (3) recurrent disease (type 1). Herpes simplex dermatoblepharitis is most common in children younger than 6 years old, but can occur at any age. The condition may be preceded by or occur concomitantly with an upper respiratory tract infection. Ipsilateral preauricular lymphadenopathy, follicular conjunctivitis, and epithelial keratitis may accompany either primary or recurrent infection. Skin vesicles develop and progress rapidly to pustular, encrusted stages (Fig. 16). Secondary impetigo and local cellulitis may develop in immunocompromised patients.

Fig. 16. Herpes simplex dermatoblepharitis with secondary preseptal cellulitis.

Herpes simplex skin infection can be confirmed by immunofluorescent staining or by viral cultures of material obtained from the base of a fresh vesicle. The surface should be swabbed with an alcohol sponge, the vesicle fluid aspirated with a tuberculum syringe and a 30-gauge needle, and the material inoculated into viral transport medium. The medium should be chilled on ice for transport to the laboratory, but not frozen. For antigen detection, the vesicle is opened with a sterile needle or with a No. 11 blade, the base of the vesicle scraped with a sterile platinum spatula, and the material smeared directly onto a glass slide. MicroTrak (Syva, San Jose, CA) is an appropriate method.

Most cases can be managed with observation only. Skin lesions sparing the eyelid margins and without other ocular involvement require no treatment. The efficacy of topical and oral antiviral agents in decreasing the clinical signs and in preventing consecutive epithelial keratitis has not been established. When the eyelid margins are involved but the cornea is intact, 0.5% idoxuridine or 3% vidarabine five times daily is recommended. When epithelial keratitis is observed, 1% trifluridine is applied eight times daily until the epithelium is intact. For severe cases of herpes simplex dermatoblepharitis, oral acyclovir should be considered. To date, topical acyclovir ointment is not yet available in the United States. Secondary impetigo should be treated as stated earlier.17

Varicella-Zoster Virus

After primary infection, VZV persists in latent form in nerve ganglia, especially in the trigeminal and thoracic nerves. Varicella and herpes zoster can produce vesicular eruption of the eyelids and surrounding areas, which can usually be recognized and identified by their typical appearances.

Varicella produces widespread, small, nonconfluent vesicles, occasionally accompanied by multifocal lesions with ulceration on the bulbar or palpebral conjunctivae. These lesions require no treatment and usually resolve without scarring.

Herpes zoster activation from the latent state may occur at any age, but in immunocompetent persons it is more common after 60 years of age; occurrence in young persons should raise the question of HIV infection. It is estimated that herpes zoster dermatitis will develop in 20% of adults, approximately 300,000 cases occurring annually in the United States. Fifteen percent of all herpes zoster cases involve cranial nerve V-1, resulting in herpes zoster ophthalmicus. The vesicular eruption is commonly confined to the upper lid, and usually all three branches of V-1 are involved: frontal, lacrimal, and nasociliary. Nasociliary involvement does not necessarily indicate that keratitis or uveitis will develop, and lack of nasociliary involvement does not preclude keratitis or uveitis. Skin lesions progress in 36 to 48 hours from erythema to a macular-papular rash, and then to a vesicular eruption. Preseptal inflammation may be severe (Fig. 17). Secondary bacterial infection may occur, especially in immunocompromised patients. Herpes zoster infection in children and young adults may cause only patchy eruption of the medial portion of the upper lid, the area of the eyebrow, and the glabella.

Fig. 17. Herpes zoster ophthalmicus with secondary preseptal cellulitis.

Laboratory testing is usually unnecessary because the lesions are distinctive. When the features or clinical picture are atypical, the diagnosis can be confirmed by detection of the antigen on immunofluorescent testing or by viral culture of material obtained from the back of a fresh vesicle. HIV testing is recommended for any herpes zoster patient younger than 50 years old.

The eyes should be examined for evidence of keratitis and uveitis. Corneal epithelial lesions may be dendritic, and subepithelial infiltrates may be present. The dendritic corneal lesions of herpes zoster ophthalmicus do not respond to topical antiviral agents. The uveitis of herpes zoster ophthalmicus may occur with or without an overlying keratitis; such uveitis is usually a mild to moderate iritis, but it may be quite severe, with hypopyon or hyphema. If the globe is severely involved, topical, periocular, or systemic steroids may be required. When the globe is not involved, appropriate treatment of herpes zoster ophthalmicus includes oral or intravenous acyclovir, the treatment being most effective when initiated within the first 72 hours of the appearance of skin lesions. In immunocompetent patients, the treatment regimen varies according to their age. In young children, however, the dosage of acyclovir is modified according to body weight. Systemic steroids can be considered in severely affected adults. The treatment of immunodeficient patients (CD4 less than 200) calls for intravenous acyclovir or valacyclovir. Secondary bacterial preseptal cellulitis has the same treatment protocol as post-traumatic cellulitis (see earlier discussion).

Erysipelas

Erysipelas (St. Anthony's fire) is an unusual form of acute dermatitis and cellulitis caused by infection with Streptococcus pyogenes group A. An erysipelas-like picture caused by Moraxella has been reported.40 Erysipelas presents as a sharply demarcated, firm, bright-red swelling of the face and neck or the extremities. Infants, young children, and the elderly are most commonly affected. Erysipelas of the face is secondary to streptococcal pharyngitis, whereas infection of the extremities occurs by invasion of the organism into the subcutaneous tissue through a laceration or abrasion. The diagnosis is mainly clinical, although group A streptococci can commonly be cultured from the pharynx in cases involving the face or neck. Facial erysipelas begins as an elevated, erythematous area that enlarges to produce a typical crimson “butterfly” lesion; there may be marked edema of the lids with pain and tenderness (Fig. 18). Vesicles and bullae may occur; the fluid from these lesions usually does not yield positive culture growth. Conjunctival cultures do not contribute to the diagnosis. In contrast to other forms of preseptal cellulitis, local inflammation in erysipelas may progress to involve the soft tissues of the orbit, producing chemosis, proptosis, and limitation of motility. These signs may be due to diffusion of toxins, rather than actual invasion by the infecting organism. The patient can be quite ill, having a fever of up to 104°F, severe leukocytosis, chills, and malaise; vision usually remains normal. The disease may progress very rapidly; bacteremia and death may occur in the newborn or in debilitated, elderly, or immunocompromised patients. Blood cultures should be obtained, and a CT scan should be considered to look for evidence of other orbital disease. Needle aspiration of material from the lids or orbit is contraindicated because of the possibilities of spreading the infection and injuring other structures. Initial treatment should include intravenous penicillin G for 48 to 72 hours or until there are definite signs of clinical improvement. Thereafter, oral penicillin V may be substituted. Treatment should be continued for 7 to 10 days. Normalization of ocular motility and resolution of the edema may take 2 to 3 weeks.

Fig. 18. Facial erysipelas.

Cellulitis of the Face in Infancy

Preseptal cellulitis secondary to infection of the subcutaneous tissue of the cheek and face is a rare condition affecting infants up to 9 months old (Fig. 19).41 The infection begins in the gums and superior alveolar tooth buds, apparently following contact with mastitis or with other contaminated sources. The organism responsible is almost exclusively Staphylococcus aureus. The infectious process spreads in the subcutaneous tissue of the face to reach the preseptal area. Secondary infection of the maxilla and rudimentary maxillary sinus may occur. Facial and preseptal cellulitis can also occur from untreated dental caries in young children and older persons when there is bacterial invasion of the dental pulp progressing to involvement of the alveolar ridge.42

Fig. 19. Cellulitis of the face in a 2-week-old infant.

Signs include unilateral edema and erythema of the lids, cheek, and nose. Fever, vomiting, diarrhea, lethargy, and loss of appetite may occur. Edema and suppuration of the preseptal space and subcutaneous tissues may progress rapidly. Fistulas with spontaneous drainage may form at the alveolar process or maxilla, the nose, the skin of the eyelids, and the inferior fornix.

If abscess formation is identified, management includes incision and drainage of the preseptal space, preferably along the lateral brow line. Purulent material obtained from such drainage should be smeared for Gram's stain and inoculated to blood agar and chocolate agar plates and to an anaerobic medium. Blood cultures should be obtained, and a CT scan should be considered if signs of orbital disease develop of if the infectious process does not respond rapidly to antibiotic therapy. A lumbar puncture should be considered.

Appropriate initial antibiotic therapy includes intravenous nafcillin. Phenylephrine (0.25%) nose drops, steam vaporization, and warm compresses may speed resolution of the infectious process. Modification of the initial antibiotics selected should be directed by culture and sensitivity test results. Intravenous therapy should be continued for 5 to 7 days unless otherwise directed by the laboratory results and the clinical response.

Adenoviral conjunctivitis/keratoconjunctivitis may simulate preseptal cellulitis by the presence of profound lid edema and erythema, conjunctival hyperemia, and chemosis.43 The distinction between bacterial preseptal cellulitis and viral preseptal cellulitis may be difficult in young children with adenoviral pharyngoconjunctival fever or with another upper respiratory tract infection. Recognition of adenoviral infection is aided by the detection of preauricular lymphadenopathy, serous conjunctival discharge, follicular conjunctivitis with membrane or pseudomembrane formation, conjunctival hemorrhages, and punctate epithelial keratitis with subepithelial infiltrates.

Severe Bacterial Conjunctivitis

A secondary preseptal cellulitis may develop in severe forms of bacterial conjunctivitis, especially that caused by Neisseria species (Fig. 20) Chlamydial and nongonococcal bacterial conjunctivitis in the newborn may also be associated with a secondary preseptal edema, which may be bilateral.

Fig. 20. Severe bilateral gonococcal conjunctivitis with secondary preseptal cellulitis.

Back to Top
ORBITAL CELLULITIS
Orbital cellulitis occurs in three settings: (1) extension of infection from periorbital structures, such as the face, lacrimal sac, and globe, but particularly from the paranasal sinuses; (2) direct inoculation from accidental trauma or from surgery; and (3) hematogenous spread (endogenous, from bacteremia). The organisms responsible for most cases of orbital cellulitis are the aerobic non-sporeforming bacteria. A special case is fungal orbital cellulitis, a relatively rare condition occurring in two principal forms: (1) subacute infection due to genera of Zygomycetes (mucormycosis); and (2) a more chronic orbital infection caused by species of Aspergillus. The distinction between these two kinds of fungal cellulitis may be difficult on clinical observation alone.44

The cardinal signs and symptoms of orbital cellulitis are proptosis and ophthalmoplegia. Pain on eye movement, decreased vision, conjunctival chemosis, and elevated intraocular pressure are common but variable accompanying signs (Fig. 21). The first ocular sign of sinusitis may be preseptal inflammation only; this can then quickly progress to the classic clinical picture of orbital cellulitis. Ethmoid sinusitis is by far the most common cause of orbital cellulitis.45–48

Fig. 21. Fourteen-year-old boy with right orbital cellulitis secondary to ethmoid sinusitis. There is tense swelling of the upper lid, proptosis, chemosis (A), limited adduction (B), and limited abduction (C).

DIFFERENTIAL DIAGNOSIS. Four disease process categories should be considered in the differential diagnosis of inflammatory proptosis:

  1. Infection: Orbital cellulitis or cavernous sinus thrombosis
  2. Idiopathic inflammation: Orbital pseudotumor, orbital myositis, and Wegener's granulomatosis
  3. Neoplasm with inflammation: Sarcoidosis, leukemia, Burkitt's lymphoma, rhabdomyosarcoma, retinoblastoma, metastatic carcinoma, and histiocytosis X (Letterer-Siwe variety)49
  4. Endocrine dysfunction: Dysthyroid exophthalmos

Orbital cellulitis due to sinusitis can usually be readily distinguished from other causes of acute inflammatory proptosis by the assessment of risk factors, clinical signs, and CT scans (Table 3).50

 

TABLE 3. Differential Diagnosis of Inflammatory Proptosis

  Infectious

  Orbital cellulitis
  Cavernous sinus thrombosis


  Inflammatory

  Orbital pseudotumor
  Orbital myositis
  Wegener's granulomatosis


  Neoplastic

  Leukemia
  Burkitt's lymphoma
  Rhabdomyosarcoma
  Retinoblastoma
  Metastatic carcinoma
  Histiocytosis X (Letterer-Siwe variety)


  Endocrine

  Dysthyroid exophthalmos


 

Cavernous sinus thrombosis is a dreaded complication of paranasal sinusitis. It may be difficult to distinguish from simple orbital cellulitis and may occur with and secondary to orbital cellulitis. Cavernous sinus thrombosis most commonly results from anterograde venous spread from and infection involving the middle third of the face, including the mouth, orbit, and paranasal sinuses. Retrograde spread of infection to the cavernous sinuses from the posterior aspect of the mouth, pharynx, middle ear, and mastoid air cells may occur, but is uncommon. A patient with cavernous sinus thrombosis but without orbital cellulitis will show marked restriction of ocular motility out of proportion to the degree of proptosis, will have normal retropulsion of one or both globes, hypesthesia in the distribution of the ophthalmic and maxillary divisions of the trigeminal nerve, dilated retinal veins, orbital congestion, and possibility altered sensorium and other neurologic deficits. A cranial MRI can help confirm the diagnosis of cavernous sinus thrombosis.51

Orbital pseudotumor occurs predominantly in older age groups. Orbital congestion, proptosis, and limitation of motility may develop rapidly. Orbital echography may be helpful in the differentiation.52

Orbital myositis can involve one or more extraocular muscles, and may produce mild vascular congestion and proptosis. A rapidly growing necrotic retinoblastoma can cause enough local inflammation to simulate either orbital or preseptal cellulitis (Fig. 22). Rhabdomyosarcoma can cause proptosis with distention of the lids and orbit (Fig. 23). Metastatic orbital tumor can cause similar findings, especially metastatic breast carcinoma. Endocrine ophthalmopathy can usually be identified by its typical clinical features.

Fig. 22. Inflammatory proptosis originally diagnosed as orbital cellulitis (A), but later diagnosed as necrotic retinoblastoma (B).

Fig. 23. Inflammatory proptosis originally diagnosed as orbital cellulitis, but later diagnosed as rhabdomyosarcoma. Figure depicts patient's status after biopsy through brow.

BACTERIAL ORBITAL CELLULITIS

Ethmoid sinusitis is the single most common cause of orbital cellulitis in all age groups, causing more than 90% of all cases. The disease process presumably involves edema of the sinus mucosa, with narrowing of the ostia and reduction or cessation of normal sinus drainage. Indigenous microflora of the sinuses or upper respiratory tract proliferate and invade the mucosa, causing tissue edema and suppuration. Growth of facultative aerobic and anaerobic organisms is enhanced by the reduced oxygen tension within the obstructed sinus cavity. Bacteria can gain access to the orbit through the thin, bony walls of the orbit via the previously described dehiscences and foramina, or through venous channels. As orbital inflammation increases, venous return is impeded, and local congestion increases. Subperiosteal or intraorbital abscesses may occur. Elevated intraorbital pressure is responsible for the typical signs of proptosis, chemosis, and limitation of motion (see Table 1).

The principal bacterial agents causing sinusitis are Streptococcus pneumoniae, other streptococci, Staphylococcus aureus, nontypeable H. influenzae, and non-spore-forming anaerobes.53–56 Anaerobic organisms include Peptostreptococcus, Veillonella, Bacteroides, Fusobacterium, Eubacterium, Pseudomonas, Klebsiella, Mycobacterium atypicum, Mycobacterium tuberculosis and Eikenella corrodens.57 Polymicrobial infections are common. No clinical feature distinguishes the sinusitis caused by one organism from another. In young children, Streptococcus pneumoniae and nontypeable H. influenzae are the most common sinusitis pathogens.

Clinical Features

The median age of children admitted for orbital cellulitis due to sinusitis is 7 years. The condition is more common in cold weather, when the frequency of sinusitis increases. The onset of infection is characterized by headache, fever, lid edema, rhinorrhea, and increasing malaise. Orbital pain and tenderness to palpation of the lids develop rapidly. Purulent nasal discharge may be present. Progression of the infection may be alarmingly rapid, with dark red discoloration of the eyelids, proptosis, decreased ocular motility, resistance to retropulsion of the globe, and hyperemia and chemosis of the conjunctiva.11 Pain on ocular movement is typical. Fever to 104°F. and leukocytosis greater than 15,000 with a left shift are common. Prostration may occur. Vision is usually normal during the early stages, but may be difficult to assess accurately in the presence of severe lid edema and prostration, especially in uncomfortable young children. Elevated intraocular pressure may result from increased intraorbital pressure and from decreased venous return.

Management

Adequate laboratory evaluation calls for a complete blood count; a CT scan of the orbits, including low, narrow cuts of the frontal lobes; and stain and culture procedures, as indicated. Blood cultures should be obtained before antibiotics are administered, but are not likely to yield the responsible organisms. Random cultures of the conjunctiva and nasopharynx are rarely useful. Purulent material from the nasal passages should be collected by calcium alginate or cotton swab, smeared for Gram's stain, and inoculated to aerobic and anaerobic media. With maxillary or pansinusitis, some otolaryngologists prefer to aspirate material from the maxillary antra or by direct puncture through the medial wall from below the inferior turbinate. By far the most useful laboratory specimens will be obtained from sinus or abscess material. Needle aspiration of the orbit is contraindicated. A lumbar puncture is advised if meningeal or cerebral signs develop.

Evaluation should proceed promptly and treatment started without delay. The four essentials of initial management of acute sinusitis with orbital cellulitis are as follows: (1) immediate, high-dose intravenous antibiotics after appropriate specimens are collected for stain and culture; (2) CT scan; (3) hospitalization; and (4) consultation by a clinical team consisting of representatives from the ophthalmology, otorhinolaryngology, primary care (pediatrics, family practice, or internal medicine) services, as appropriate. When intracranial suppuration is suspected, a neurosurgeon is consulted.58

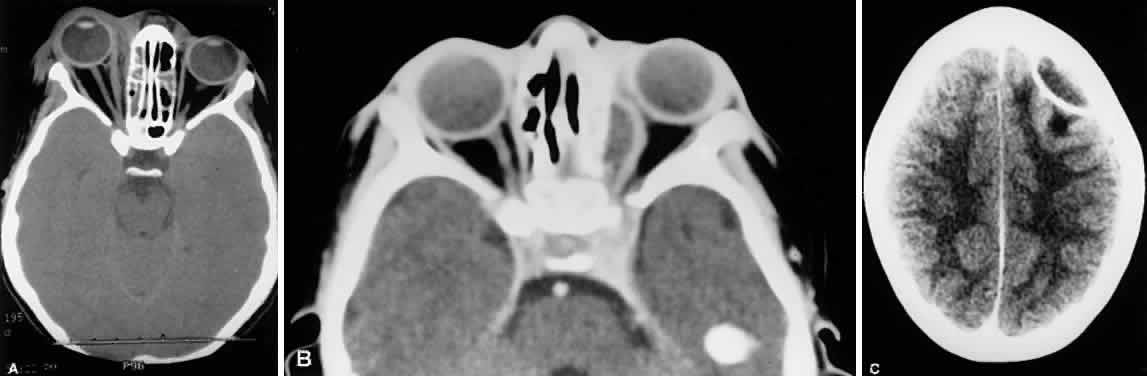
High-resolution CT scans are essential in the initial assessment and management of all forms of orbital cellulitis. CT scanning should include axial and coronal views, although the latter require hyperextension or hyperflexion of the head, which is difficult for acutely ill patients and uncooperative children. Axial views should include low, narrow cuts of the frontal lobes to rule out peridural and brain parenchymal abscess formation. Coronal views are helpful in identifying and defining the extent of any subperiosteal and intraorbital abscesses; contrast material is generally not required. MRI scanning may be of great value in clearly defining abscess formation and in evaluating the possibility of cavernous sinus disease. Plane films of the orbits and sinuses do not provide additional important information, and are not necessary when CT scanning is available.59,60 Orbital echography is neither as specific nor as accurate as CT scanning in defining the severity of cellulitis and sinusitis or in identifying orbital abscesses.11

The initial antibiotics are selected on the basis of the most likely sinus pathogens: Streptococcus pneumoniae, other streptococci, Staphylococcus aureus, nontypeable H. influenzae, and non-spore-forming anaerobes. Appropriate antibiotics may include nafcillin (Staphylococcus or Streptococcus species), metronidazole (anaerobes), and cefotaxime (gram-negative organisms, nontypeable H. influenzae, Moraxella, and resistant pneumococci). Many otolaryngologists prefer ticarcillin-clavulanate as an initial single antibiotic; this will cover most gram-positive and gram-negative organisms, as well as most anaerobes. A combination of nafcillin and ceftazidime is appropriate. In place of ceftazidime, chloramphenicol may be appropriate, but the risk of aplastic anemia must be considered. Infection by aerobic gram-negative bacilli is unusual, and the addition of an aminoglycoside antibiotic is not warranted unless laboratory investigations and clinical response to other therapy indicates that such agents would be useful. If a mild penicillin allergy exists, cefazolin can be substituted for nafcillin; if there is a history of severe penicillin allergy, vancomycin can be substituted for nafcillin. The antibiotic coverage must be evaluated daily and changed whenever necessary according to the clinical course and the culture results. The best culture material will be obtained from direct sinus aspiration or by drainage of a subperiosteal or orbital abscess.

Ancillary management includes frequent (at least daily) reevaluation with standardized vision testing appropriate to the clinical situation. Ideally, such vision checks should be performed in the same way by the same examiner to avoid interobserver variations and confusion. Rapid progression and deterioration may occur. Repeat CT scans should be considered if the patient does not respond to appropriately selected antibiotics or whenever the condition worsens. Vision loss may occur as a result of exposure or neurotrophic keratitis, glaucoma (neovascular or inflammatory), septic uveitis or retinitis, endophthalmitis, exudative retinal detachment, infectious or inflammatory optic neuritis, mechanical pressure on the optic nerve, thrombophlebitis of ocular veins, or central retinal artery occlusion. Ocular antihypertensive agents should be used promptly if a secondary glaucoma develops. In such an occurrence, sinus or abscess drainage may also be indicated. Nasal decongestion with phenylephrine (0.25%) drops or oxymetazoline HCl (Afrin) spray may help open the sinus ostia and promote drainage.

Once the patient is clearly improving and has been afebrile (for at least 48 hours if blood culture is positive), intravenous antibiotics can be replaced by oral antibiotics, such as ampicillin-clavulanate, cefpodoxime proxetil, cefuroxime axetil, and cefprozil. Metronidazole is appropriate for anaerobic infections.

Surgical drainage of the sinuses should be considered if the clinical response to conventional high-dose antibiotics is poor or if the sinuses are completely opacified on the CT scan. Craniotomy is indicated if brain abscesses develop and do not quickly respond to systemic antibiotics. Orbital surgery with or without sinusectomy must be considered in every case of subperiosteal and intraorbital abscess formation, but many apparent abscesses resolve with antibiotics alone. Inflammation along the medial wall of the orbit with displacement of the medial rectus muscle but without distinct abscess formation on CT scanning is termed a phlegmon (Fig. 24). Phlegmons usually resolve with systemic antibiotic therapy without progressing to abscess. A subperiosteal abscess, most commonly located along the medial wall of the orbit, need not always be surgically drained. Such drainage is definitely indicated, however, if (1) an afferent pupillary defect develops; (2) vision decreases; (3) there is severe or progressive proptosis despite adequate antibiotic therapy; or (4) a follow-up CT scan shows no reduction in the size of the abscess after 48 to 72 hours of adequate intravenous antibiotics.61–64 Surgical drainage carries a low morbidity; delay of drainage, when appropriate, may be disastrous.65 True intraorbital abscesses (outside the subperiosteal space) are relatively unusual with sinusitis and occur more commonly with penetrating orbital trauma. Abscesses so located are sometimes called intraconal, denoting their presence within the periosteal cone of the orbit; it must be made clear that the term intraconal in this context does not refer to the cone formed by the rectus muscles and their intermuscular septa. Any purulent material collected from the subperiosteal space, sinuses, or intraorbital abscesses should be submitted for Gram's stain and for inoculation to aerobic and anaerobic media. If a subperiosteal abscess is small, if the visual acuity remains normal, and if no afferent pupillary defect develops, surgical exploration can usually be deferred.66–70

Fig. 24. A. Phlegmon of the medial orbit due to ethmoid sinusitis. There is no distinct abscess cavity. Note swelling and displacement of the medial rectus muscle. B. Subperiosteal abscess. C. Intracranial abscess secondary to ethmoid sinusitis with orbital cellulitis.

In the absence of abscess formation, the decision to explore and drain the affected sinuses is made by the otorhinolaryngologist. Such drainage may be indicated if the CT scan shows complete opacification of the sinus, or if there is no clinical improvement after 48 to 72 hours of adequate intravenous antibiotic therapy.

The initial antibiotic therapy can be modified if the clinical response to the originally selected agents is inadequate, or if the culture results so dictate. Positive blood cultures or the isolation of an atypical sinus pathogen may call for specific antibiotics. The significance of the isolation of multiple organisms from sinus cultures or from abscess material may be difficult to interpret. Quantitative antibiotic susceptibility tests should be performed, particularly for β-lactamase—producing organisms such as Staphylococcus aureus and H. influenzae and for gram-negative anaerobes. If an aerobic gramnegative bacillus resistant to gentamicin is cultured, alternate agents should be considered, such as a broad-spectrum penicillin, ticarcillin, a third-generation cephalosporin, such as cefotaxime, fluoroquinolone, or imipenem. β-Lactamase-producing anaerobes are usually sensitive to clindamycin and second-generation cephalosporins such as cefoxitin.

Post-Traumatic Orbital Cellulitis

Orbital infection can occur after any injury perforating the orbital septum. Signs typical of orbital inflammation appear within 48 to 72 hours after the event, but may be delayed for several months if a foreign body is retained.71,72 A hematoma of the lids or orbit may prevent easy or early recognition of the signs of infection, as do extensive hemorrhage and edema of the orbit due to stab or gunshot wounds. Orbital fractures with or without sinusitis may also result in orbital cellulitis.73–75 Microorganisms can enter the tissue with the penetrating material or may enter the wound from the adjacent skin or other structures. The most common organism causing post-traumatic orbital cellulitis is Staphylococcus aureus. Mixed and anaerobic infections can occur.

Infection is characterized by the typical signs of orbital cellulitis. Progression is indicated by increasing edema and erythema of the lids, increasing proptosis, decreasing ocular motility, and increased conjunctival inflammation and chemosis. If the vision is decreased from the primary injury, that sign is lost as a diagnostic tool. Intraconal orbital abscess formation outside the subperiosteal space should be anticipated; it should be specifically suspected when the globe is displaced vertically or horizontally. Clostridial infection should be suspected when there is crepitation or rapidly progressive tissue necrosis.38,76

As with orbital cellulitis due to sinusitis, patients with orbital infection due to trauma should be hospitalized. A CT scan or MRI taken at the time of admission will help determine the presence of a foreign body, the degree of orbital inflammation, and the status of the globe and other intraorbital structures. When a foreign body is suspected but not seen on neuroimaging studies, orbital echography may be helpful. Blood cultures should be obtained. The wound should be swabbed for Gram's stain and cultures on aerobic and anaerobic media. Transcutaneous aspiration of orbital material from cellulitis is contraindicated. If an abscess has formed in the preseptal space, the overlying skin should be incised and the abscess drained; the material should be smeared and cultured. Blood cultures should also be obtained.

The initial intravenous antibiotic therapy is devised on the basis of the Gram's stain of any purulent discharge (Table 4) or on the knowledge of the pathogens most likely to be responsible, including Staphylococcus aureus. The initially chosen antibiotic should be changed as necessary according to culture results and the clinical response. Tetanus prophylaxis is administered according to accepted guidelines, as for post-traumatic preseptal cellulitis (see Table 2). Surgical exploration for deeply embedded retained foreign material may be best deferred until after 5 to 7 days of intravenous antibiotics. Large or protruding foreign bodies should be removed promptly but carefully. In such cases, vigorous bleeding should be anticipated. If no retained foreign material is identified or suspected, surgical exploration and drainage is reserved for patients who subsequently develop a discrete intraorbital abscess.

 

TABLE 4. Selection of Initial Antibiotics in Post-traumatic and Postsurgical Orbital Cellulitis


Organisms in Gram's StainIntravenous Antibiotics
Gram-positive cocciNafcillin
Gram-negative rodsThird-generation cephalosporin
NoneCombination

 

Postsurgical Orbital Cellulitis

Orbital cellulitis has been reported following a variety of ocular surgical procedures, including strabismus surgery, lid surgery, dacryocystorhinostomy, retinal detachment surgery, and orbital fracture repair.77–79 Postoperative endophthalmitis can also extend to orbital tissue. The most common bacterium identified in postsurgical orbital cellulitis is Staphylococcus aureus, but mixed and anaerobic infections can occur. Signs of postsurgical orbital cellulitis may not develop until the second or third postoperative day, and they may be difficult to distinguish from the orbital inflammation caused by the surgery itself. Infection is suggested by progressive lid edema, increasing conjunctival injection and chemosis, proptosis, pain on ocular movements, and decreasing ocular motility. Fever, orbital pain, and leukocytosis may develop; purulent material may drain spontaneously from the operative site.

A CT scan is indicated if abscess formation is suspected. Because external drainage is unusual, there may be no material for stains and cultures. Blind needle aspiration from the infected orbit is contraindicated. Any discharge should be smeared for Gram's stain and culture on aerobic and anaerobic media. Blood cultures may be helpful. Initial antibiotic therapy is chosen on the basis of Gram's stain results (see Table 4). If organisms are not identified on Gram's stain or if no drainage material is available, intravenous nafcillin and third-generation cephalosporins are appropriate. If anaerobic infection is suspected, penicillin G, metronidazole, or chloramphenicol should be considered. The management guidelines for post-traumatic orbital cellulitis are also appropriate for postsurgical orbital cellulitis. It may be necessary to remove alloplastic material if the infection is not brought under control rapidly.80,81

Orbital Cellulitis Secondary to Infection of Adjacent Structures

Orbital cellulitis can follow infection of the globe, ocular adnexae, or eyelids, including direct extension of preseptal cellulitis with or without traumatic perforation of the orbital septum.82 Orbital cellulitis may follow dacryocystitis, osteomyelitis of the orbital bones, phlebitis of the facial veins, and dental infections.46,83,84 As the orbital septum crosses the lacrimal sac to attach to the anterior lacrimal crest, the lower portion of the sac rests within the orbit, thus facilitating the potential intraorbital spread of infection in dacryocystitis. Orbital abscess formation may be associated with periostitis and osteomyelitis of the orbital bones secondary to hematogenous infection.85 Orbital cellulitis following dental infection or dental extraction can occur by extension of the infection from secondary maxillary sinusitis, or in rare cases, by spread of infection from teeth through the pterygopalatine and infratemporal fossae into the orbit via the infraorbital foramen.86–88 Orbital cellulitis may also occur by extension of virulent organisms in endogenous (hematogenous) endophthalmitis. Bacillus cereus endophthalmitis can produce severe lid edema, proptosis, and limitation of ocular motility, possibly due to extension of the infection or toxins into the orbital tissues. Retrograde infection of the orbit from the cavernous sinus or other intracranial structure has not been reported.

The bacterial causes of orbital cellulitis due to spread of infection from the ocular adnexae are determined by the site of the primary disease. Acute dacryocystitis is caused primarily by Staphylococcus aureus, Streptococcus pneumoniae, Streptococcus pyogenes, and nontypeable H. influenzae. Maxillary sinusitis secondary to dental infections can be caused by a variety of microorganisms comprising the indigenous microflora of the mouth, including anaerobes, as above. Staphylococcus aureus and Streptococcus pyogenes are the principal causes of soft tissue infections of the eyelids and facial skin.

Orbital cellulitis should be suspected in any patient with adnexal, facial, or dental infection in whom orbital pain, lid edema, orbital congestion, proptosis, or limitation of ocular motility develops. CT scans in such patients should be obtained. Microbiological investigation is generally directed by the type and severity of the primary infection. Blood cultures should be obtained. Selection of antibiotics and principals of management follow guidelines for other types of orbital cellulitis. Nafcillin is the preferred initial antibiotic for infection secondary to dacryocystitis. Intravenous clindamycin, penicillin G, ampicillin, ticarcillin, nafcillin, and chloramphenicol could be considered in suspected odontogenic infection, which commonly involves Bacteroides species; some are β-lactamase producers.

Endogenous orbital cellulitis due to hematogenous spread is rare, but has occurred in newborn infants after pneumonia and skin infections.89,90 Orbital tuberculosis due to hematogenous spread from the lungs and other sites has been reported.20

Complications

The complications of bacterial orbital cellulitis may be intracranial or orbital. Intracranial complications from orbital cellulitis secondary to sinusitis include meningitis (2%); cavernous sinus thrombosis (1%); and intracranial abscess formation, epidural or subdural abscess, or parenchymal brain abscess (1%)—a total intracranial complication rate of 4%. Orbital complications include subperiosteal or orbital abscess formation (7% to 9%) and vision loss (1%). Systemic complications include sepsis with metastatic bacterial seeding and death. Permanent vision loss may occur by (1) corneal damage secondary to exposure or neurotrophic keratitis; (2) destruction of intraocular tissues; or (3) various other mechanisms affecting the globe or posterior orbit, such as secondary glaucoma, optic neuritis, and central retinal artery occlusion (Table 5). Blindness can result from elevated intraorbital pressure or extension of infection to the optic nerve from the spheroid sinus.91 Decreasing vision or the development of afferent pupillary defect during treatment demands immediate, meticulous reassessment of the situation, possibly including repeat CT scanning; prompt surgical intervention must be considered.85,92,93 Decreased ocular motility can be caused by direct involvement of the ocular motor nerves or the extraocular muscles by intraorbital inflammation or suppuration.

 

TABLE 5. Pathophysiology of Vision Loss in Orbital Cellulitis

  Corneal Opacification

  Exposure keratitis
  Neurotrophic keratitis


  Destruction of Intraocular Tissues

  Secondary (neovascular or inflammatory) glaucoma
  Endophthalmitis
  Septic uveitis or retinitis
  Exudative retinal detachment


  Mechanisms Within the Posterior Orbit

  Glaucoma due to elevated orbital pressure
  Infectious optic neuritis
  Inflammatory optic neuritis
  Pressure effects on optic nerve
  Thrombophlebitis of ocular veins
  Central retinal artery occlusion


 

Cavernous sinus thrombosis (see earlier discussion) has become relatively rare in developed countries because of prompt and adequate treatment of most cases of acute sinusitis, but it still poses a major threat; the mortality rate of cavernous sinus thrombosis may be 50% or higher. It should be considered in any patient with orbital cellulitis, and suspected in the presence of rapid progression of the clinical signs, including increasing proptosis (often bilateral), mydriasis, dilation of the retinal veins, decreasing visual acuity, and the development of an afferent pupillary defect. Rapid-infusion CT scanning or MRI can demonstrate filling defects within the involved cavernous sinus. The preferred management of this condition has not been precisely defined. High-dose intravenous antibiotics should be continued and modified by laboratory results and the clinical response. The efficacy of anticoagulation and fibrinolytic agents is uncertain.94,95

Intracranial abscess formation is suggested by altered consciousness, signs of central nervous system disturbance, and persistent fever despite adequate antibiotic therapy and the resolution of the sinusitis and orbital cellulitis components of the disease. Altered consciousness particularly suggests frontal lobe abscess formation. The initial CT scans obtained on admission should include low, narrow cuts through the frontal lobes, specifically to detect abscess formation just above the ethmoid sinuses. CT scans should be repeated whenever signs of intracranial disease develop.

Other complications of orbital cellulitis secondary to sinusitis have included scarring of the eyelids, chronic draining fistulas, and local osteomyelitis.

FUNGAL ORBITAL CELLULITIS

A variety of fungi can invade the orbit; the principal organisms involved are Mucor and Aspergillus species. The distinguishing features of orbital mucormycosis and aspergillosis are presented in Table 6.96,97

 

TABLE 6. Distinguishing Features of Orbital Mucormycosis and Aspergillosis


FeaturesMucormycosisAspergillosis
DistributionWidespreadUsually hot, humid climates
Age restrictionNonePatients usually older than 20 years of age
Predisposing factorsMultipleNone
OnsetRapid (1–7 days)Slow (months to years)
Initial presentationPain, lid edema, proptosis, visual lossChronic proptosis, sinusitis
SignsOrbital apex syndrome (II, III, IV, V-1, VI, orbital sympathetics)Proptosis, decreased vision
Otolaryngologic findingsNasal and palatal necrosisMay be the same
 Paranasal sinusitis 
Tissue reactionThrombosing arteritisChronic fibrosis, non-necrotizing granulomatous process
 Ischemic necrosis 
Hyphal elementsAffinity for hematoxylin; large (10–15 μm), irregular; nonseptate or rarely septate; dichotomous branchingStain better with periodic acid-Schiff; small (3–4 μm), uniform; septate; irregular branching

 

Mucormycosis

Mucormycosis is a potentially lethal fungal infection that may involve the orbit and paranasal sinuses. It is caused by genera of the order Zygomycetes of the class Phycomycetes, predominantly by species of the genera Absidia, Mucor, and Rhizopus of the family Mucoraceae. Rhizopus and Mucor are the most common genera isolated in orbital and and rhinocerebral infections.98 Other forms of human mucormycosis include pulmonary, gastrointestinal, external ear, and subcutaneous infections. Zygomycetes are ubiquitous in soil, vegetable matter, manure, starchy foods, moldy bread, and fruit.99 Distribution is worldwide. Isolation from clinical material is difficult; the diagnosis often requires histopathologic identification of biopsy specimens. The organisms are characterized by broad, rarely (or non-) septate, randomly branching hyphae ranging from 10 to 15 μm in diameter. In distinction to other fungi, the hyphae may stain more brilliantly with hematoxylin-eosin than with special stains, such as periodic acid—Schiff or methenamine silver.100 Genus identification cannot be made reliably in tissue sections. Reliable serologic or skin tests are not available.

The disease occurs primarily in three clinical situations: (1) ketoacidosis in patients with diabetes mellitus, and possibly in those with mild or unrecognized diabetes; (2) dehydration and metabolic acidosis in children secondary to diarrhea and vomiting; and (3) other alterations of host defenses, including the following: antimetabolite, corticosteroid, and radiation therapies; alcoholic cirrhosis; ulcerative colitis; renal failure; reticular endothelial disease; carcinoma; burns; deferoxamine therapy for iron or aluminum overload.101–103 Rhinocerebral mucormycosis has been reported in otherwise normal adults.104

The infection begins with airborne entry of spores into the nose. In diabetes, proliferation of the organisms within the nasal turbinates and sinuses is enhanced by the increased concentration of glucose and by tissue acidosis. The organisms penetrate the muscular walls of arteries and spread by vascular and direct extension to the orbit. Intraluminal growth produces thrombosing vasculitis and ischemic necrosis of the bony wall, extraocular muscles, and intraocular structures.105 The orbital apex syndrome is a common finding: cranial nerves II, III, IV, and VI; the ophthalmic division of cranial nerve V; and the orbital sympathetic nerves are affected (Fig. 25).106 Central retinal artery occlusion may follow. The infection can spread to the cavernous sinus, internal carotid artery, meninges, frontal lobe, and other intracranial structures.107

Fig. 25. Thirty-year-old man with diabetes mellitus and orbital apex syndrome due to mucormycosis. The vision is no light perception in the left eye, with total ophthalmoplegia and corneal anesthesia. The right eye and orbit are normal. A. Facial appearance. B. Attempted upgaze. C. Attempted left gaze.

The initial symptoms are often unilateral headache and orbital pain. Fever and rhinorrhea develop. Blurred vision may precede signs of other nerve involvement.108 Lid edema, proptosis, internal and external ophthalmoplegia, corneal anesthesia, and anesthesia of the dermatomes of the ophthalmic and maxillary divisions of the fifth cranial nerve develop within 7 days of the initial symptoms. Progressive loss of consciousness characterizes the later phase of the infection, and may be unrelated to the degree of metabolic acidosis or other predisposing factors. Ipsilateral facial weakness due to intracranial involvement of the facial nerve may occur, and may serve to distinguish the disease from other forms of cellulitis and inflammatory proptosis.100 Other cranial nerve palsies and contralateral hemiparesis may follow. Ecchymosis and necrosis of the ocular adnexae may result from diffuse ischemic necrosis.

Infection of the nasal mucosa produces dark, gangrenous lesions frequently accompanied by perforation of the nasal septum and necrosis of the turbinates. Ulceration of the hard or soft palate is common (Fig. 26). Inflammation and perforation of the ipsilateral eardrum have been reported. Maxillary and ethmoidal sinusitis commonly develop. There is profound leukocytosis, often greater than 20,000 cells/mm3.109

Fig. 26. Necrotic palate lesion of the patient in Figure 25.

Subacute inflammatory proptosis accompanied by the orbital apex syndrome, altered consciousness, and tissue necrosis strongly suggests mucormycosis and requires immediate investigation and treatment.110 CT scans or MRIs should be obtained, together with consultation by the otorhinolaryngology, infectious disease, and neurosurgical services. A biopsy or smear should be obtained from a necrotic area of the skin, nasal mucosa, or palate. If visible lesions are not present, a biopsy of the nasopharynx or middle meatus should be obtained, and irrigation of the maxillary sinus should be considered. Material should be obtained for Gram's, Giemsa, and other special stains. Appropriate culture media include blood agar, Sabouraud's agar, brain-heart infusion broth, and an appropriate anaerobic medium. Genera of Phycomycetes grow well between 25°C and 37°C and generally appear on solid media within 2 to 5 days.

Histologic material should be fixed in 10% formalin. Calcofluor white is a rapid chemofluorescent stain with an affinity for the chitin in the wall of fungi111; the stain can be used either for direct smears of clinical material or for fixed sections.

The treatment of mucormycosis consists of the following: (1) reversal of any underlying metabolic acidosis; (2) elimination of other predisposing factors; (3) intravenous amphotericin B; and (4) débridement of necrotic tissues. In severe infections with typical clinical features, intravenous administration of amphotericin B may be appropriate before laboratory confirmation of the infection. Treatment with this agent requires monitoring for renal toxicity by frequent determination of the serum blood urea nitrogen levels, creatinine levels, and creatinine clearance. The value of regional perfusion of amphotericin B has not been adequately investigated. The efficacy of alternate antifungal agents has similarly not been established. The minimal inhibitory concentration of amphotericin B for the responsible genera of Phycomycetes is not obtainable in blood, and therefore the success of treatment probably relates to enhancement of host defenses by the fungistatic activity of the drug. Rhizopus species are generally more susceptible in vitro to amphotericin B than are Mucor species. The efficacy of treatment is assessed by careful observation of clinical signs and may be enhanced by serial CT scanning. Hyperbaric oxygen has been proposed as adjunctive therapy.112 Hyperbaric oxygen suppresses fungal growth in vitro and theoretically reduces the hypoxia and acidosis that accompany vascular invasion by the organisms.113,114 Surgical débridement should be restricted to devitalized tissue only. Radical surgery is not always needed if the disease is caught early; enucleation or exenteration of the orbit remain controversial and should be reserved for very severe infections with obvious tissue necrosis and blindness. The overall survival rate of treated cases has been reported as high as 57%.115

Aspergillosis

Orbital aspergillosis is a rare complication of fungal infection of the nose and paranasal sinuses caused predominantly by Aspergillus fumigatus, A. flavus, and occasionally by A. oryzae, A. niger, and A. terreus.116 The organism is ubiquitous, found especially in soil and in decaying vegetation. The majority of cases have been reported from the southern United States, India, Africa, and other hot and humid areas of the world; it is endemic in the Sudan.117 Risk factors have not been identified, and the infection occurs predominantly in otherwise healthy individuals aged 25–60 years. There is no sex or race predilection.118

The organism presumably reaches the orbit by direct extension from the nasal and paranasal sinuses. Orbital infection is usually characterized by slowly progressive, chronic, non-necrotizing granulomatous inflammation and fibrosis. Aspergillus invades vessels and produces arteritis, thrombosis, and occlusion of vessels, in a manner somewhat similar to mucormycosis; it may be impossible to distinguish mucormycosis from aspergillosis by clinical observation only. Late aspergillosis may present with black eschar lesions of the face or palate virtually identical to those of mucormycosis (Fig. 27). Progression of infection causes destruction of the orbital bones, infiltration of the optic nerve, and brain abscess. Disseminated aspergillosis occurs primarily in immunocompromised individuals, especially leukemia patients. Disseminated disease typically causes multiple fungal abscesses of the lungs, but may also involve the central nervous system, heart, gastrointestinal tract, and skin.

Fig. 27. Two-week-old infant with leukemia and orbital aspergillosis. Note necrotic lesions of the face (A) and palate (B).

The infection is characterized by slowly progressive, unilateral proptosis, ocular pain, and decreased vision. Other signs of inflammation, such as lid edema, chemosis, fever, and leukocytosis, are usually absent or develop late in the disease. The duration of signs and symptoms ranges from several weeks or months up to several years. Chronic sinusitis is a typical feature. Chronic orbital cellulitis associated with sinusitis has also been reported to be caused by other organisms that can simulate orbital aspergillosis, including Actinomyces, Penicillium, Mycobacterium fortuitum-chelonei complex, Bipolaris, Alternaria, Curvularia, Coccidioides, Blastomyces, and Histoplasma.116,119,120

A CT scan should be obtained as the initial imaging study; MRI can be added to study detail of the posterior orbit, optic nerve, cavernous sinus, and brain. CT scanning has the advantage of showing bony detail and intraluminal calcifications; the latter is highly suggestive of aspergillosis, but is not always present. Fine needle or direct biopsy from the involved areas of the orbit, sinuses, or nasal cavity may show the organism.121 Material thus obtained should be stained with hematoxylin-eosin, methenamine silver, and periodic acid—Schiff, and Gram's and acid-fast bacillus stains should be prepared. Culture material should be inoculated to blood and Sabouraud's agar, and to brain-heart infusion medium. Multiple biopsies may be required. The diagnosis is suggested by histologic demonstration on potassium hydroxide preparation or calcofluor white of characteristically small (3 to 4 μm), dichotomously branching septate hyphae of uniform diameter, smaller in size and more septate than Mucor. The hyphae stain brilliantly with methenamine silver and periodic acid—Schiff. DNA probes and polymerase chain reaction may prove to be the most specific and diagnostic tests.

Treatment may involve both surgery and antifungal agents. Well-defined and sharply demarcated disease can be considered for surgical débridement with wide, clean borders, but radical procedures may increase morbidity and mortality.122 Orbital exenteration and sinusectomy are often required.123 The mainstay of medical treatment has been prolonged high-dose intravenous amphotericin B, but newer agents such as the azole antifungals itraconazole, fluconazole, and ketoconazole may prove to be more effective. Regional perfusion has not been adequately investigated. Liposomal delivery of amphotericin B may have fewer side effects and may work better than conventional administration, especially in children or debilitated patients.124

The prognosis of aspergillosis is poor. More than 80% of reported patients have died of complications of the infection.

Back to Top
REFERENCES

1. Lessner A, Stern GA: Preseptal and orbital cellulitis. Infect Dis Clin North Am 6:933, 1992

2. Koorneef L: Orbital septa: anatomy and function. Ophthalmology 86:876, 1979

3. Doxanas MT, Anderson RL: Clinical Orbital Anatomy. Baltimore, Williams & Wilkins, 1984

4. Maresh MM: Paranasal sinuses from birth to late adolescence. Am J Dis Child 60:55, 1940

5. Hornblass A, Herschorn BJ, Stern K et al: Orbital abscess. Surv Ophthalmol 29:169, 1984

6. Krohel GB, Krauss HR, Winnick J: Orbital abscess. Ophthalmology 89:492, 1982

7. Osborn AG: Craniofacial venous plexuses: angiographic study. Am J Neuroradiol 1:541, 1980

8. Hubert L: Orbital infections due to nasal sinusitis. NY State J Med 37:1559, 1937

9. Smith AT, Spencer JT: Orbital complications resulting from lesions of the sinuses. Ann Otol Rhinol Laryngol 57:5, 1948

10. Chandler JR, Langenbrunner DJ, Stevens ER: The pathogenesis of orbital complications in acute sinusitis. Laryngoscope 80:1414, 1970

11. Spires JR, Smith RJH: Bacterial infections of the orbital and periorbital soft-tissues in children. Laryngoscope 96:763, 1986

12. Weiss A, Friendly D, Eglin K et al: Bacterial periorbital and orbital cellulitis in childhood. Ophthalmology 90:195, 1983

13. Noel LP, Clarke WN, Peacocke TA: Periorbital and orbital cellulitis in childhood. Can J Ophthalmol 16:178, 1981

14. Jackson K, Baker SR: Clinical implications of orbital cellulitis. Laryngoscope 96:568, 1986

15. Eustis HS, Armstrong DC, Buncic JR, Morin JD: Staging of orbital cellulitis in children: computerized tomography characteristics and treatment guidelines. J Pediatr Ophthalmol Strabismus 23:248, 1986

16. Jones DB, Steinkuller PG: Strategies for the initial management of acute preseptal and orbital cellulitis. Trans Am Ophthalmol Soc 86:94, 1988

17. Jones DB, Matoba AY, Steinkuller PG, Wilhelmus KR: Problem solving in corneal and external diseases 1996, part I: Adnexa and conjunctiva [course], pp 14–23, 64–74, 80–83. American Academy of Ophthalmology Annual Meeting, Chicago, 1996

18. Klapper SR, Edmond JC: Initial approach to the child who presents with ocular and periocular infections. Semin Pediatr Infect Dis 7:18, 1996

19. Watters EC, Wallar PH, Hiles DA, Michaels RH: Acute orbital cellulitis. Arch Ophthalmol 94:785, 1976

20. Israele V, Nelson JD: Periorbital and orbital cellulitis. Pediatr Infect Dis J 6:404, 1987

21. Rainey AM, Steinkuller PG: The current etiology of preseptal cellulitis in children J Pediatr Ophthalmol Strabismus (in press)

22. Adams WG, Deaver KA, Cochi et al: Decline of childhood Haemophilus influenzae type b (Hib) disease in the Hib vaccine era. JAMA 269:221, 1993

23. Redmond SR, Pichicherco ME: Haemophilus influenzae type b disease: an epidemiologic study with special reference to day-care centers. JAMA 252:2581, 1984

24. Nelson JD, Ginsburg CN: A hypothesis on the pathogenesis of Haemophilus influenzae buccal cellulitis. Pediatrics 88:709, 1976

25. Chartrand SA, Harrison CJ: Buccal cellulitis re-evaluated. Am J Dis Child 140:891, 1986

26. Baker RC, Bausher JC: Meningitis complicating acute bacteremic facial cellulitis. Pediatr Infect Dis 5:421, 1986

27. Noorden CW, Callerame ML, Baum J: Haemophilus influenzae meningitis in an adult: a study of bactericidal antibodies and immunoglobulins. N Engl J Med 282:190, 1970

28. Schneerson R, Rodrigues LP, Parke JC Jr et al:Immunity to disease caused by Haemophilus influenzae type b: II. Specificity and some biologic characteristics of ‘natural,’ infection-acquired, and immunization-induced antibodies to the capsular polysaccharide of Haemophilus influenzae type b. J Immunol 107:1081, 1971

29. Murphy TF, Apicella MA: Nontypeable Haemophilus influenzae: a review of clinical aspects, surface antigens, and the human immune response to infection. Rev Infect Dis 9:1, 1987

30. Committee on Infectious Diseases: 1994 Red Book, 23rd ed, pp 203–216, 461. Chicago, American Academy of Pediatrics, 1994

31. Ciarello LR, Rowe PC: Lumbar puncture in children with periorbital and orbital cellulitis. J Pediatr 122:355, 1993

32. Sankrithi UM, Lipuma JJ: Clinically inapparent meningitis complicating acute bacteremic facial cellulitis. Pediatr Emerg Care 7:28, 1991

33. Gellady AM, Shulman ST, Ayoub EM: Periorbital and orbital cellulitis in children. Pediatrics 61:272, 1978

34. Barson WJ, Miller MA, Marcon MJ et al: Cefuroxime therapy for bacteremic soft-tissue infections in children. Am J Dis Child 139:1141, 1985

35. Shapiro ED, Wald ER, Brozarski BA: Periorbital cellulitis and paranasal sinusitis: a reappraisal. Pediatr Infect Dis 1:91, 1982

36. Nelson JD: Cefuroxime: a cephalosporin with unique applicability to pediatric practice. Pediatr Infect Dis 2:394, 1983

37. Gans LA, Shackleford PG: Ocular Infections. In Feigin RD, Cherry JD (eds): Textbook of Pediatric Infectious Diseases, p 873. Philadelphia, WB Saunders, 1987

38. Gorbach SL, Bartlett JG: Anaerobic infections. N Engl J Med 290:1177, 1974

39. Placik OJ, Pensler JM, Kim JJ et al: Necrotizing periorbital cellulitis. Ann Plast Surg 31:369, 1993

40. Cox NH, Knowles MA, Porteus ID: Pre-septal cellulitis and facial erysipelas due to Moraxella species. Clin Exp Dermatol 19:321, 1994

41. Lieberman, Brem J: Syndrome of acute osteomyelitis of the superior maxilla in early infancy. N Engl J Med 260:318, 1959

42. Molarte AB, Isenberg SJ: Periorbital cellulitis in infancy. J Pediatr Ophthalmol Strabismus 26:232, 1989

43. Herman J, Katzuni E: Letter to the Editor: Periorbital cellulitis complicating adenovirus infection. Am J Dis Child 140:745, 1986

44. American Academy of Ophthalmology: Basic and Clinical Science Course, Section 7, Orbit, Eyelids, and Lacrimal System: 1995-1996, pp 46–50. San Francisco, American Academy of Ophthalmology, 1995

45. Allen MV, Cohen KL, Grimson BS: Orbital cellulitis secondary to dacryocystitis following blepharoplasty. Ann Ophthalmol 17:489, 1985

46. Ahrens-Palumbo MJ, Ballen PH: Primary dacryocystitis causing orbital cellulitis. Ann Ophthalmol 14:600, 1982

47. Hemady R, Zaltas M, Paton B et al: Bacillus-induced endophthalmitis: new series of cases and review of the literature. Br J Ophthalmol 74:26, 1990

48. Bergin DJ, Wright JE: Orbital cellulitis. Br J Ophthalmol 70:174, 1986

49. Shields JA, Shields CL, Suvarnamani C et al: Retinoblastoma manifesting as orbital cellulitis. Am J Ophthalmol 112:442, 1991

50. Grossniklaus HE, Wojno TH: Leukemic infiltrate appearing as periorbital cellulitis. Arch Ophthalmol 108: 484, 1990

51. Clune JP: Septic thrombosis within the cavernous chamber. Am J Ophthalmol 56:33, 1963

52. Harr DL, Quencer RM, Abrams GW: Computerized tomography and ultrasound in the evaluation of orbital infection and pseudotumor. Neuroradiology 142:395, 1982

53. Lundberg C, Engquist S: Pathogenesis of maxillary sinusitis. Scand J Infect Dis 39(suppl):53, 1983

54. Ekedahl C: Treatment of maxillary sinusitis. Scand J Infect Dis 39(suppl):56, 1983

55. Wald ER: Acute sinusitis and orbital complications in children. Am J Otolaryngol 4:424, 1983

56. Shayegani A, MacFarlane D, Kazim M, Grossman ME: Streptococcal gangrene of the eyelids and orbit. Am J Ophthalmol 120:784, 1995

57. Pillai S, Malone TJ, Abad JC: Orbital tuberculosis. Ophthalmic Plast Reconstr Surg 11:27, 1995

58. Guindi GM: Acute orbital cellulitis: a multidisciplinary emergency. Br J Oral Surg 21:201, 1983

59. Handler LC, Davey IC, Hill JC, Lauryssen C: The acute orbit: differentiation of orbital cellulitis from periosteal abscess by computerized tomography. Neuroradiology 33: 15, 1991

60. Langham-Brown J, Rhys-Williams S: Computerized tomography of acute orbital infection: the importance of coronal sections. Clin Radiol 40:471, 1989

61. Lemke BN, Gonnering RS, Harris GJ, Weinstein JM: Orbital cellulitis with periosteal elevation. Ophthalmic Plast Reconstr Surg 3:1, 1987

62. Towbin R, Han BK, Kaufman RA, Burke M: Postseptal cellulitis: CT in diagnosis and management. Radiology 158:735, 1986

63. Schramm VL, Curtin HD, Kennerdell JS: Evaluation of orbital cellulitis and results of treatment. Laryngoscope 92:732, 1982

64. Goodwin WJ, Weinshall M, Chandler JR: The role of high resolution computerized tomography and standardized ultrasound in the evaluation of orbital cellulitis. Laryngoscope 92:728, 1982

65. Manning SC: Endoscopic management of medial subperiosteal abscess. Arch Otolaryngol Head Neck Surg 119:789, 1993

66. Harris GJ: Subperiosteal inflammation of the orbit: a bacteriological analysis of 17 cases. Arch Ophthalmol 106:947, 1988

67. Catalano RA, Smoot CN: Subperiosteal orbital masses in children with orbital cellulitis: time for a reevaluation? J Pediatr Ophthalmol Strabismus 27:141, 1990

68. Souliere CR, Antoine GA, Martin MP et al: Selective non-surgical management of subperiosteal abscess of the orbit: computerized tomography and clinical course as indication for surgical drainage. Int J Pediatr Otorhinolaryngol 19:109, 1990

69. Rubin SE, Rubin LG, Zito J et al: Medical management of orbital subperiosteal abscess in children. J Pediatr Ophthalmol Strabismus 26:21, 1989

70. Rubin SE, Slavin ML, Rubin LG: Eyelid swelling and erythema as the only signs of subperiosteal abscess. Br J Ophthalmol 73:576, 1989

71. Ferguson EC III: Deep wooden foreign bodies of the orbit: a report of two cases. Trans Am Acad Ophthalmol Otolaryngol 74:778, 1970

72. Green BF, Kraft SP, Carter KD et al: Intraorbital wood: detection by magnetic resonance imaging. Ophthalmology 97:608, 1990

73. Paterson AW, Barnard NA, Irvine GH: Naso-orbital fracture leading to orbital cellulitis, and visual loss as a complication of chronic sinusitis. Br J Oral Maxillofac Surg 32:80, 1994

74. Silver HS, Fucci MJ, Flanagan JC, Lowry LD: Severe orbital infection as a complication of orbital fracture. Arch Otolaryngol Head Neck Surg 118:845, 1992

75. Westfall CT, Shore JW: Isolated fractures of the orbital floor: risk of infection and the role of antibiotic prophylaxis. Ophthalmic Surg 22:409, 1991

76. Sevel D, Tobias B, Sellars SL, Forder A: Gas in the orbit associated with orbital cellulitis and paranasal sinusitis. Br J Ophthalmol 57:133, 1973

77. von Noorden GK: Orbital cellulitis following extraocular muscle surgery. Am J Ophthalmol 74:627, 1972

78. Wilson ME, Paul TO: Orbital cellulitis following strabismus surgery. Ophthalmic Surg 18:92, 1987

79. Kivlin JD, Wilson ME Jr: Periocular infection after strabismus surgery: The Periocular Infection Study Group. J Pediatr Ophthalmol Strabismus 32:42, 1995

80. Jordan DR, Onge PS, Anderson RL et al: Complications associated with alloplastic implants used in orbital fracture repair. Ophthalmology 89:1600, 1992

81. Mauriello JA, Hargrave S, Yee S et al: Infection after insertion of alloplastic orbital floor implants. Am J Ophthalmol 117:246, 1994

82. Ullman S, Pflugfelder SC, Hughes R, Forster RK: Letter to the Editor: Bacillus cereus panophthalmitis manifesting as an orbital cellulitis. Am J Ophthalmol 105, 1987

83. Harris GJ: Subperiosteal abscess of the orbit. Arch Ophthalmol 101:751, 1983

84. Goto CS, Abramo TJ: Initial approach to the child who presents with oral and dental infections. Semin Pediatr Infect Dis 7(1):55, 1996

85. Gamble RC: Acute inflammations of the orbit in children. Arch Ophthalmol 10:483, 1933

86. Bullock JD, Fleishman JA: Orbital cellulitis following dental extraction. Trans Am Ophthalmol Soc 82:111, 1984

87. Kaban LB, McGill T: Orbital cellulitis of dental origin. J Oral Surg 38:682, 1980

88. Heimtahl A, Nord CE: Orofacial infections of odontogenic origin. Scand J Infect Dis 39(suppl):86, 1983

89. Burnard ED: Proptosis as the first sign of orbital sepsis in the newborn. Br J Ophthalmol 43:9, 1959

90. Hepner R, Hagar D: Staphylococcal orbital sepsis in newborn infants. South Med J 53:922, 1960

91. Patt BS, Manning SC: Blindness resulting from orbital complications of sinusitis. Otolaryngol Head Neck Surg 104:789, 1991

92. Jarrett WH III, Gutman FA: Ocular complications of infections of the paranasal sinuses. Arch Ophthalmol 81:683, 1969

93. Slavin ML, Glaser JS: Acute severe irreversible visual loss with sphenoethmoiditis-‘posterior’ orbital cellulitis. Arch Ophthalmol 105:345, 1987

94. Ahmadi J, Keane JR, Segall HD, Zee C-S: CT observations pertinent to septic cavernous sinus thrombosis. Am J Neuroradiol 6:755, 1985

95. Fernbach SK, Naidich TP: CT diagnosis of orbital inflammation in children. Neuroradiology 22:7, 1981

96. Lawson W, Blitzer A: Fungal infections of the nose and paranasal sinuses: Part I. Otolaryngol Clin North Am 26: 1007, 1993

97. Maskin SL, Fetchick RJ, Leone CR et al: Bipolaris hawaiiensis—caused phaeohyphomycotic orbitopathy: a devastating fungal sinusitis in an apparently immunocompetent host. Ophthalmology 96:175, 1989

98. Margo C, Rabinowicz IM, Kwon-Chung KJ, Zimmerman LE: Subacute zygomycosis of the orbit. Arch Ophthalmol 101:1580, 1983

99. Baum JL: Rhino-orbital mucormycosis. Am J Ophthalmol 63:335, 1967

100. Gass JDM: Ocular manifestations of acute mucormycosis. Arch Ophthalmol 65:226, 1961

101. Goodill JJ, Abuelo JG: Letter to the Editor: Mucormycosis: a new risk of deferoxamine therapy in dialysis patients with aluminum or iron overload? N Engl J Med 317:54, 1987

102. Miller RD, Steinkuller PG, Naegele D: Non-fatal maxillocerebral mucormycosis. Ann Ophthalmol 12:1065, 1980

103. Daly AL, Velazquez LA, Bradley SF, Kauffman CA: Mucormycosis: association with deferoxamine therapy. Am J Med 87:468, 1989

104. Heier JS, Gardner TA, Hawes MJ et al: Proptosis as the initial presentation of fungal sinusitis in immunocompetent patients. Ophthalmology 102:713, 1995

105. Qingli L, Orcutt JC, Seifter LR: Orbital mucormycosis with retinal and ciliary artery occlusions. Br J Ophthalmol 73:680, 1989

106. Bray WH, Giangiacomo J, Ide CH: Clinical challenges: orbital apex syndrome. Surv Ophthalmol 32:136, 1987

107. Bodenstein NP, McIntosh WA, Vlantis AC, Urquhart AC: Clinical signs of orbital ischemia in rhino-orbitocerebral mucormycosis. Laryngoscope 103:1357, 1993

108. O'Brien TJ, McKelvie P: Rhinocerebral mucormycosis presenting as periorbital cellulitis with blindness: report of 2 cases. Clin Exp Neurol 31:68, 1994

109. Ferry AP, Abedi S: Diagnosis and management of rhino-cerebral mucormycosis (phycomycosis): a report of 16 personally observed cases. Ophthalmology 90:1096, 1983

110. Battock DJ, Grausz H, Bobrowski M, Littman ML: Alternate-day amphotericin B therapy in the treatment of rhinocerebral phycomycosis (mucormycosis). Ann Intern Med 68:122, 1968

111. Marines HM, Osato MS, Font RL: The value of calcofluor white in the diagnosis of mycotic and Acanthamoeba infections of the eye and ocular adnexa. Ophthalmology 94: 23, 1987

112. Couch L, Theilen F, Mader JT: Rhinocerebral mucormycosis with cerebral extension successfully treated with adjunctive hyperbaric oxygen therapy. Arch Otolaryngol Head Neck Surg 114:791, 1988

113. Stevens MH: Primary fungal infections of the paranasal sinuses. Am J Otolaryngol 2:348, 1981

114. Ferguson BJ, Mitchell TG, Moon R et al: Adjunctive hyperbaric oxygen for treatment of rhinocerebral mucormycosis. Rev Infect Dis 10:551, 1988

115. Galetta SL, Wulc AE, Goldberg HI et al: Rhinocerebral mucormycosis: management and survival after carotid occlusion. Ann Neurol 28:103, 1990

116. Green WR, Font RL, Zimmerman LE: Aspergillosis of the orbit. Arch Ophthalmol 82:302, 1969

117. Rudwan MA, Sheikh HA: Aspergilloma of paranasal sinuses: a common cause of unilateral proptosis in Sudan. Clin Radiol 27:497, 1976

118. Levin LA, Avery R, Shore JW et al: The spectrum of orbital aspergillosis: a clinicopathological review. Surv Ophthalmol 41:142, 1996

119. Morriss FJ, Spock A: Intracranial aneurysm secondary to mycotic orbital and sinus infection. Am J Dis Child 119: 357, 1970

120. Levine RA: Infection of the orbit by an atypical mycobacterium. Arch Ophthalmol 82:608, 1969

121. Austin P, Dekker A, Kennerdell JS: Orbital aspergillosis: report of a case diagnosed by fine needle aspiration biopsy. Acta Cytol 27:166, 1983

122. Harris GJ, Will BR: Orbital aspergillosis: conservative debridement and local amphotericin irrigation. Ophthalmic Plast Reconstr Surg 5:207, 1989

123. Dortzbach RK, Segrest DR: Orbital aspergillosis. Ophthalmic Surg 14:240, 1983

124. Denning DW, Stevens DA: Antifungal and surgical treatment of invasive aspergillosis: a review of 2,121 published cases. Rev Infect Dis 12:1147, 1990

Back to Top