Chapter 18A
Acanthamoeba Keratitis
RICHARD L. ABBOTT, MICHAEL ZEGANS and TROY R. ELANDER
Main Menu   Table Of Contents

Search

ETIOLOGY
INCIDENCE
INFECTION IN CONTACT LENS WEARERS
CLINICAL FEATURES
LABORATORY DIAGNOSIS
TREATMENT
REFERENCES

Acanthamoeba is a ubiquitous, free-living protozoa that causes a serious and troublesome keratitis. At greatest risk are contact lens wearers who use nonsterile solutions in their lens care regimen. Because useful vision can be lost as a result of this infection, an increased awareness of clinical and laboratory signs is essential. Earlier suspicion and diagnosis may improve the medical and surgical outcome of this potentially devastating disease.
Back to Top
ETIOLOGY
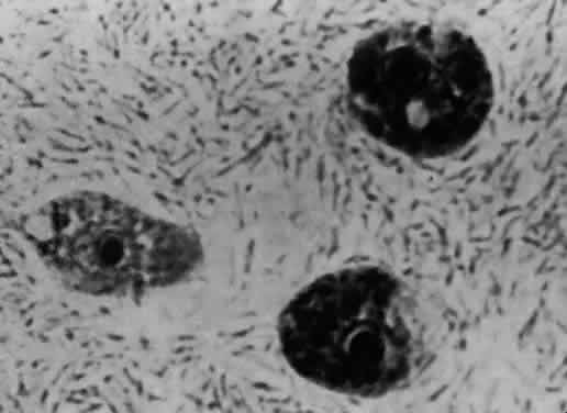
Acanthamoeba organisms are small and resilient, with a wide distribution in the environment.1,2 The protozoan's life cycle is characterized by a transformation from active trophozoite to dormant cyst. The irregularly shaped trophozoite, which is 15 to 45 μm in diameter, is slowly motile (Fig. 1). The cyst is 10 to 25 μm long and has a thick double-walled external structure consisting of an outer wrinkled ectocyst and inner polygonal endocyst (Fig. 2).3,4 Transformation from the trophozoite to the cyst stage enhances survival in unfavorable circumstances, which include wide temperature ranges, desiccation, food depletion, pH changes, low oxygen concentration, and cell crowding.5

Fig. 1. Acanthamoeba trophozoite.

Fig. 2. Characteristic polygonal Acanthamoeba cyst.

Of all free-living ameba, only two genera are pathogenic in humans: Acanthamoeba and Naegleria.1,6,7 Naegleria is rapidly fatal in young healthy adults, usually from granulomatous meningoencephalitis.8 Currently, no ocular disease from Naegleria has been reported. Acanthamoeba can cause both ocular and nonocular disease.9,10 In rare and experimental circumstances, Acanthamoeba has caused ocular disease other than keratitis, including uveitis and optic neuritis.11,12

Back to Top
INCIDENCE
Acanthamoeba keratitis was first described by Jones in 1973.13 Since then, the reported cases in the United States have steadily increased to more than 200, although the exact incidence is unknown. From 1973 to 1981, reported cases averaged one per year. From 1981 to 1984, cases gradually increased, with a dramatic rise occurring from 1985 to 1987.14 Possible factors responsible for this surge include heightened familiarity with the disease among ophthalmologists, the discovery of cases previously missed in keratoplasty specimens,15 and a truly increased incidence. This greater incidence may represent an increase in prevalence, virulent strains, or contact lens wear.4 Since the late 1980s, there have been conflicting reports regarding whether the incidence of Acanthamoeba keratitis is increasing or decreasing.16 However, the prognosis with medical treatment does seem to be improving.17,18

The Centers for Disease Control found no sex predilection for Acanthamoeba keratitis. The age range was from 13 to 82 years, with a medium of 29.14 Most cases of Acanthamoeba keratitis have occurred in warmer climates during the summer months.19 In addition to the United States, cases have been reported in Europe, Africa, Asia, and Australia.16

Over 22 species of Acanthamoeba have been isolated. Those causing keratitis, in decreasing frequency, are A. castellanii, A. polyphaga, A. rhysodes, A. culbertsoni, and A. hatchetti. In 20% of cases, multiple species are isolated.19

There are three major risk factors for developing Acanthamoeba keratitis: contact lens wear, exposure to contaminated water, and corneal trauma. Among younger patients, contact lens wear is the major predisposing condition.14

Back to Top
INFECTION IN CONTACT LENS WEARERS
The first association between contact lenses and Acanthamoeba keratitis was made in 1984.20 Initially the major recognized risk was from daily soft lens wear in contaminated water environments such as hot tubs, swimming pools, and lakes.2 Next, the important association with homemade saline became apparent. Subsequently, the list of involved lenses expanded to include extended-wear, polymethylmethacrylate, gas-permeable, combined hard/soft, and disposable lenses.21–23

Contact lenses may predispose for infection because of epithelial breaks from lens deposits, prolonged wearing schedules, or improper lens handling. In addition, microorganisms may adhere to the lenses or reside in the lens care system.4,20

One study showed an alarmingly high percentage of asymptomatic contact lens wearers with contaminated lens care systems.24 Because Acanthamoeba organisms use bacteria and fungi as food sources, this contamination would appear to predispose for Acanthamoeba keratitis. A related study examined the lens care systems of known patients infected with Acanthamoeba and clearly established an association with bacteria, fungi, homemade saline, and improperly used nonpreserved saline.25

Several investigators have examined the efficacy of contact lens disinfecting systems against Acanthamoeba.26–29 In general, heat disinfection is more effective than chemical disinfection in killing trophozoites and cysts.26,27 Cleaning solutions vary in effectiveness with respect to concentration, exposure time, and Acanthamoeba species.27–29 Recommended treatment for low-water-content contact lenses is thermal disinfection. For other lenses, chemical disinfection with either commercial preserved or nonpreserved solutions is encouraged. Nonpreserved saline should be discarded weekly, used in small quantities, and kept refrigerated.22 The use of homemade saline with distilled water and salt tablets should be discontinued. Infrequent lens disinfection, tap water rinses, and overuse of commercial solutions increase the risk of Acanthamoeba keratitis.24

Back to Top
CLINICAL FEATURES
The clinical features of Acanthamoeba keratitis can be easily confused with those of other corneal infections. Numerous reports have detailed the vast array of signs and symptoms that occur with this entity, and attempts have been made to elucidate its most common presenting features.30–34 Through recognition of these findings, as well as understanding its chronic clinical course, improved diagnostic accuracy may be achieved by the clinician.

SYMPTOMS

With the onset of the disease process, patients may complain of blurred vision, photophobia, tearing, blepharospasm, and foreign body sensation. Severe ocular pain is consistently reported by patients and often seems out of proportion to the keratitis and degree of inflammation present.31,32,34–37 Symptoms tend to wax and wane, depending on the rapidity of onset and severity of the chronic keratitis and the anterior chamber inflammatory reaction.

SIGNS

The corneal epithelium may show a variety of changes in early Acanthamoeba keratitis before stromal involvement.30 These findings, although nonspecific, must be recognized as part of the clinical picture. They may represent early epithelial infection prior to stromal invasion and are summarized in Table 1.

 

TABLE 18A-1. Epithelial Changes in Acanthamoeba Keratitis

  Persistent epithelial defects
  Superficial punctate keratitis
  Scattered epithelial and subepithelial opacities
  Elevated epithelial infiltrates
  Epithelial stippling
  Microcystic epithelial edema
  Whorl-like epithelial irregularity
  Dendritiform lesions

 

Persistent epithelial erosions occur in a vast majority of cases. Occasionally these epithelial erosions begin as coarsely elevated, dendritiform lines that break down early, which may explain why a great majority of patients undergo treatment for herpes simplex.34 Histopathologic examination as well as cultures taken from these lesions have been reported positive for Acanthamoeba.30

After some form of epithelial involvement, stromal infiltration develops, usually in the central or paracentral cornea. Initially its appearance is not characteristic and involves the anterior stroma as a serpiginous, gray-white infiltrate with an overlying epithelial defect (Fig. 3). Small satellite lesions and edema may develop around the main infiltrate. As the infection progresses, the infiltrate becomes most dense at its peripheral aspects, forming the characteristic annular infiltrate (Fig. 4). This ring is considered the hallmark of Acanthamoeba keratitis; however, it usually occurs only in more advanced cases.3,15,30,34,37 It may be segmental or circumferential, with stromal thinning or furrowing and a variable overlying epithelial defect.

Fig. 3. Early stromal involvement in Acanthamoeba keratitis.

Fig. 4. Classic ring infiltrate in Acanthamoeba keratitis.

Deep linear intrastromal infiltrates beginning in the paracentral cornea and extending to the limbus in a radial pattern also have been described as highly characteristic for Acanthamoeba keratitis.32 These clinical observations may represent combined infiltration and inflammation of the terminal corneal nerve endings by Acanthamoeba organisms. Possibly, this radial keratoneuritis explains the occurrence of severe ocular pain as well as decreased corneal sensation in these patients.

Other findings in Acanthamoeba keratitis may include iritis, hypopyon formation, increased intraocular pressure, cataract formation, and sclerokeratitis.3,31,33 The anterior scleritis is usually adjacent to the area of corneal infiltration and may have a nodular component.31

Acanthamoeba keratitis is often mistakenly diagnosed as herpes simplex or fungal or bacterial keratitis. Thus, one must maintain a high index of suspicion for Acanthamoeba when caring for patients diagnosed with these other types of keratitis, especially when there is a prolonged clinical course or poor response to treatment. Although the numerous signs and symptoms associated with the diagnosis of Acanthamoeba keratitis by themselves are not specific, in combination they present a rather characteristic clinical picture. Careful attention to the patient's history, as well as recognition of the chronic and varied anterior segment findings make the diagnosis less elusive. With employment of recommended laboratory techniques, a definitive diagnosis can be obtained and appropriate therapy instituted.

Back to Top
LABORATORY DIAGNOSIS
The successful treatment of Acanthamoeba keratitis requires rapid detection in tissue samples. Acanthamoeba should be suspected for any keratitis with negative cultures for bacteria, herpes simplex, fungus, or atypical mycobacteria. In addition, any keratitis not improving despite medical therapy should arouse suspicion. The difficulties in diagnosing Acanthamoeba by clinical or laboratory means, however, often delay the correct diagnosis by months.9,15,19,31,38

DIAGNOSTIC TECHNIQUES

Scrapings for Acanthamoeba are obtained by conventional techniques, using a platinum spatula or scalpel blade.11 Cysts may be either superficial and accessible to scrapings or deep in tissue, requiring superficial keratectomy, corneal biopsy, or penetrating keratoplasty to obtain material.3,9,11,25

The optimal growth of Acanthamoeba comes from inoculation of ameba to nonnutrient agar with an overlay of Escherichia coli. The agar should not be penetrated but gently streaked on the surface. The E. coli overlay minimizes toxic inedible bacteria and provides Acanthamoeba with a known food source.3,4 At some institutions, laboratory personnel overlay the agar directly in the ophthalmologist's office for best results. Positive cultures tend to correlate with increased suspicion for Acanthamoeba. The organisms form delicate, wavelike tracks on culture plates, which are best seen with oblique illumination and magnification from a dissecting microscope. Plates should be examined daily to detect the meandering tracks.3,11 Acanthamoeba also may be cultured on standard media, but these give frustratingly low yields.11

Staining is preferable to culturing for the rapid detection of organisms. Material should be touched rather than smeared on slides. Spray fixatives should be used to prevent trophozoite rupture from air drying. A wide variety of routine and fixed tissue stains have been used for Acanthamoeba.3,33,37,39 Unfortunately, these stains do not sufficiently differentiate Acanthamoeba from background cells and tissue.40,41 Specialized stains such as Calcofluor white, immunofluorescent antibody, and fluorescein conjugated lectins offer more specific rapid diagnosis.

Calcofluor white is a laundry-brightening agent that binds to textile fibers and absorbs ultraviolet light. Specifically, Calcofluor white binds to chitin and cellulose, polymers of β-linked polysaccharides. Cellulose is present in Acanthamoeba endocysts, causing an apple-green chemofluorescence with a fluorescent microscope. Unfortunately, trophozoites lack both chitin and cellulose and therefore do not stain. Fungal cell walls stain brightly with Calcofluor white but are distinguished from cysts by differences in structure and size. Calcofluor white is therefore simple, rapid, and reliable on scrapings or embedded tissue in displaying excellent morphologic features of cysts.39,42,43

Immunofluorescent studies also are useful for both corneal scrapings and paraffin-embedded tissue. Examination under a fluorescent microscope reveals cysts and trophozoites staining brightly. This technique is rapid and specific but not yet readily available commercially.31,38

Fluorescein conjugated lectins are the latest device for rapid Acanthamoeba detection. Both trophozoites and cysts are visualized, with brightest staining from the specific lectin concanavalin A. The organisms are easily differentiated from background cells, tissue, and fungi. This rapid technique is useful for both scrapings and histopathologic specimens and may become a first-line stain.44,45

HISTOPATHOLOGY

The histopathology of Acanthamoeba keratitis specimens shows the epithelium to be missing, irregularly thinned, or detached. Bowman's layer may be intact or absent, and stromal lamellae are routinely disrupted. The inflammatory response in the cornea shows either a neutrophilic component or a mixed cellular reaction. Sometimes a granulomatous reaction is seen, with epithelioid and foreign body giant cells.2,3,10,46,47,48

Immunohistochemical staining of specimens reveals few lymphocytes, indicating that cysts and trophozoites may not incite an immune response. Failure to eliminate encysted organisms may stem from a relative lack of vascularization or an inability of macrophages to recruit lymphocytes. It is possible that Acanthamoeba may either suppress the function of infiltrating macrophages or mask its antigens from the body's immune system.3,48,49 Finally, the ring infiltrates are believed to be an immune response to either alternate complement pathway activation or antibody—antigen complexing.3

Back to Top
TREATMENT
The treatment of Acanthamoeba keratitis has rapidly evolved since the first medical cure was reported in 1985. Early diagnosis and aggressive medical treatment using various combinations of specific antiamebic drugs have increased the chances for successful management of this difficult problem.30,32,50 Early epithelial debridement in suspected cases may facilitate effective medical therapy by removing the majority of organisms.51,52 In addition, the role of penetrating keratoplasty in medically resistant cases has also contributed to an improved outcome.50

Determining the most effective treatment regimen has been a difficult problem for several reasons. Because of the relatively small number of reported cases, variable pathogenicity of differing strains, and the intrinsic fluctuating nature of the disease process, the available data are still inconclusive. Nevertheless, medical and surgical cures are now being reported with increasing frequency as a result of specific therapeutic recommendations.23,30,32,50 They offer an encouraging approach to this difficult clinical problem.

THERAPEUTIC APPROACH

Early suspicion and diagnosis of Acanthamoeba keratitis is essential for successful treatment and seems to be the major reason for its moderately improved prognosis. Once a diagnosis is suspected, appropriate medical therapy is indicated in an attempt to achieve a cure of the infectious process. The mainstay of treatment encompasses a combination of drugs from the following four classes: diamidine derivatives, imidazole derivatives, cationic antiseptics, and aminoglycosides (Table 2). Their individual and combined mechanisms of action against Acanthamoeba are still unclear despite their widespread use.

 

TABLE 18A-2. Drug Classes for Acanthamoeba Keratitis Treatment

  Diamidine Derivatives
  Propamidine (Brolene eye drops)
  Dibrompropamidine (Brolene ointment)
  Hydroxystilbamidine
  Stilbamidine
  Pentamidine (Pentam 300 and Lomidine)
  Diminazene aceturate (Berenil)
  Imidazole Derivatives
  Miconazole (Monistat)
  Clotrimazole (Canesten)
  Keotconazole (Nizoral)
  Cationic Antiseptics
  Polyhexamethylene biguanide (PHMB)
  Chlorhexidine diacetate (CHA)
  Aminoglycosides
  Neomycin
  Paromomycin (Humatin)
  Kanamycin (Kantrex and Klebcil)
  Gentamicin (Garamycin)
  Streptomycin

 

Recommendations for effective medical therapy vary regarding frequency and duration of drug use. Therapy with a combination of topical propamidine isethionate and neomycin, in dosages as often as every 15 minutes to 1 hour around the clock, as well as hourly administration of topical clotrimazole 1% drops, has been highly effective.15,23,32,53,54 These dosages are slowly tapered after 3 or more days to ultimately achieve a maintenance level of administration of the drugs four times a day. This is continued for several months, depending on the clinical response of the patient.

Polyhexamethylene biguanide55 and chlorhexidine diacetate56 are antiseptics that are useful in the treatment of Acanthamoeba keratitis. They are active against a wide spectrum of pathogens by increasing the cytoplasmic membrane permeability. Although most of the other agents used to treat Acanthamoeba keratitis are active only against the trophozoites, polyhexamethylene biguanide and chlorhexidine diacetate are active against both trophozoites and cysts.57 It has been suggested that these agents are less toxic to the cornea. Currently, many corneal specialists use polyhexamethylene biguanide or chlorhexidine diacetate in combination with propamidine isethionate for initial management of Acanthamoeba keratitis.17,18 Combination of an antiseptic with an antibiotic may be particularly effective therapy. By increasing Acanthamoeba membrane permeability, the antiseptics are directly cidal and facilitate entry of antibiotics into the organism.18 Some patients have been successfully treated using an antiseptic as monotherapy; if this is attempted it should be reserved for patients with early disease. The approach to treatment with antiseptics is similar to that described for propamidine isethionate in combination with other drugs. After initial intensive therapy, the medications are tapered slowly. Therapy is routinely continued for several months.

Toxic keratopathy may develop at any time, necessitating significant alteration in this treatment plan.58 Elevated intraocular pressure as well as increased inflammation often require the use of antiglaucoma medication and cycloplegics. The role of topical corticosteroids as well as surgical intervention with therapeutic penetrating keratoplasty in the management of this infection remains controversial and is discussed later.

In vitro drug sensitivity testing, although rarely used, may be helpful in refractory cases. However, such testing has its limitations and may not be practical for the clinician. Not only may drug sensitivities be variable between strains, but a strain may also become resistant to formerly effective drugs. In addition, testing results may differ between laboratories and in some cases may not correlate with the clinical course.3 Despite these problems, drug sensitivity testing may offer the clinician a small edge in improving chances of therapeutic success and should be employed when possible.

ROLE OF CORTICOSTEROIDS

Corticosteroid use in Acanthamoeba keratitis has relative advantages and disadvantages. Although topical corticosteroids may allow the organism to penetrate the cornea more easily by immunosuppressing the host defenses, they also may help by reducing the host inflammatory response and thus diminishing tissue damage.9 A second potential advantage of topical corticosteroid use is the inhibition of morphogenesis of the organism.59 A possible reason the organism is resistant to therapy is that it can freely transform back and forth from trophozoite to cyst. Therefore, the rationale for administering topical corticosteroids in conjunction with antiamebic drugs is to prevent encystment from occurring, thus allowing the antiamebic drugs to attack the organism in its more susceptible trophozoite form. Likewise, the inactive cysts are unable to excyst not really a verb. and can be slowly eliminated by the host response.3

Unfortunately, the effects of topical corticosteroids in treating Acanthamoeba keratitis clinically have been difficult to interpret, owing to many complicating factors. A review of reported cases primarily revealed worsening of the clinical outcome when corticosteroids were added to the treatment regimen.32 Another more recent report concluded that prudent use of topical steroids in the treatment of Acanthamoeba keratitis was not associated with an increased medical failure rate but did increase the duration of antiamebal therapy.60 Although laboratory studies show a distinct benefit from topical corticosteroid use—inhibition of morphogenesis—its clinical benefit is still inconclusive. Therefore the routine use of corticosteroids is not recommended at this time.

SURGICAL MANAGEMENT

Therapeutic penetrating keratoplasty had been the mainstay of treatment for Acanthamoeba keratitis before the onset of early diagnosis and aggressive medical therapy.15,49 The role and timing of penetrating keratoplasty in this disorder remain poorly defined. Certainly pending or frank corneal perforation is a clear indication for surgical intervention, however, other indications for surgery are not well defined.

Therapeutic penetrating keratoplasty should be considered when the infectious process spreads to the paracentral corneal stroma despite maximum antiamebic therapy.50 Performing this procedure on a more localized infection may allow total removal of the organisms by excising the clinically involved tissue as well as a rim of clear surrounding cornea. This permits the donor tissue to be placed into a relatively undamaged and hence nonimmunocompromised recipient bed. After surgery, medical therapy should be continued for at least several months to help ensure elimination of any residual Acanthamoeba organisms in the recipient stromal tissue. Once the infection has spread into the peripheral cornea, however, the likelihood of achieving a surgical cure is markedly diminished. Intensive medical management is required for several months to eradicate the organism prior to keratoplasty. Unfortunately, the prognosis in these cases is poor and enforces the rationale for earlier rather than later surgical treatment.

Back to Top
REFERENCES

1. Visvesvara GS: Free-living pathogenic amoebae. In Lennette EH, Balows A, Hausler WJ Jr, Truant JP (eds): Manual of Clinical Microbiology, p 704. 3rd ed. Washington, DC: American Society for Microbiology, 1980

2. Samples JR, Binder PS, Luibel FJ et al: Acanthamoeba keratitis possibly acquired from a hot tub. Arch Ophthalmol 102:707, 1984

3. Auran JD, Starr MB, Jakobiec FA: Acanthamoeba keratitis: A review of the literature. Cornea 6:2, 1987

4. Jones DB: Acanthamoeba: The ultimate opportunist? Am J Ophthalmol 102:527, 1986

5. Schuster FL: Small amebas and ameboflagellates. In Levandowsky M, Hutner SH, Provasoli L (eds): Biochemistry and Physiology of Protozoa, p 215. Orlando: Academic Press, 1979

6. Colin J, Malet F, Simitzis AM: The epidemiology of Acanthamoeba keratitis in France. Paper presented at the Ocular Microbiology and Immunology Group Meeting, New Orleans, October 1989

7. Warhurst D: Pathogenic free-living amoeba. Parasitol Today 1:24, 1985

8. Nagington J, Watson PG, Playfair TJ et al: Amoebic infection of the eye. Lancet 2:1537, 1974

9. Ma P, Willaert E, Juechter KB, Stevens AR: A case of keratitis due to Acanthamoeba in New York, New York, and features of 10 cases. J Infect Dis 143:662, 1981

10. Case records of the Massachusetts General Hospital: Case 10-1985. N Engl J Med 312:634, 1985

11. Jones DB, Robinson NR, Visvesvara GS: Paper presented at the Ocular Microbiology and Immunology Group Meeting, Dallas, September 1973. Cited in Jones DB, Visvesvara GS, Robinson NR: Acanthamoeba polyphaga keratitis and Acanthamoeba uveitis associated with fatal meningoencephalitis. Trans Ophthalmol Soc UK 95:221, 1975

12. Schlaegel TF Jr, Culbertson CG: Experimental Hartmanella optic neuritis and uveitis. Ann Ophthalmol 4:103, 1972

13. Jones DB, Visvesvara GS, Robinson NM: Acanthamoeba polyphaga keratitis and Acanthamoeba uveitis associated with fatal meningoencephalitis. Trans Ophthalmol Soc UK 95:221, 1975

14. Stehr-Green JK, Bailey TM, Visvesvara GS: The epidemiology of Acanthamoeba keratitis in the United States. Am J Ophthalmol 107:331, 1989

15. Cohen BJ, Buchanan HW, Laughrea PA et al: Diagnosis and management of Acanthamoeba keratitis. Am J Ophthalmol 100:389, 1985

16. Schaumberg DA, Snow KK, Dana MR: The epidemic of Acanthamoeba keratitis: Where do we stand? Cornea 27:3, 1998

17. Bacon AS, Frazer DG, Dart JKF et al: A review of 72 consecutive cases of Acanthamoeba keratitis, 1984. Eye 7:719, 1993

18. Illingworth CD, Cook SD, Karabatsas CH, Easty DL: Acanthamoeba keratitis: Risk factors and outcomes. Br J Ophthalmol 79:1078, 1995

19. Centers for Disease Control: Acanthamoeba keratitis associated with contact lenses—United States. MMWR 35:405, 1986

20. Moore MB, McCulley JP, Luckenbach MD et al: Acanthamoeba keratitis associated with soft contact lenses. Am J Ophthalmol 100:396, 1985

21. Koenig SB, Soloman JM, Hyndiuk RA et al: Acanthamoeba keratitis associated with gas permeable lens wear. Am J Ophthalmol 103:832, 1987

22. Moore MB, McCulley JP, Newton C et al: Acanthamoeba keratitis: A growing problem in soft and hard contact lens wearers. Ophthalmology 94:1654, 1987

23. Ficker L, Hunter P, Seal D, Wright P: Acanthamoeba keratitis occurring with disposable contact lens wear. Am J Ophthalmol 108:453, 1989

24. Donzis PB, Mondino BJ, Weissman BA, Bruckner DA: Microbial contamination of contact lens wear. Am J Ophthalmol 104:325, 1987

25. Donzis PB, Mondino BJ, Weissman A, Bruckner DA: Microbial analysis of contact lens care systems contaminated with Acanthamoeba. Am J Ophthalmol 108:53, 1989

26. Ludwig IH, Meisler DM, Rutherford I et al: Susceptibility of Acanthamoeba to soft contact lens disinfection systems. Invest Ophthalmol Vis Sci 27:626, 1986

27. Lindquist TD, Doughman DJ, Rubenstein JB, Moore JW: Acanthamoeba-infected hydrogel contact lenses: Susceptibility to disinfection. Invest Ophthalmol Vis Sci 28(suppl): 371, 1987

28. Silvany RE, Wood TS, Bowman RW, McCulley JP: The effect of preservatives in contact lens solutions on two species of Acanthamoeba. Invest Ophthalmol Vis Sci 28(suppl): 371, 1987

29. Silvany RE, Wood TS, Bowman RW et al: The effect of contact lens solutions on two species of Acanthamoeba. Invest Ophthalmol Vis Sci 29(suppl):253, 1988

30. Florakis GJ, Folberg R, Krachmer JH et al: Elevated corneal epithelial lines in Acanthamoeba keratitis. Arch Ophthalmol 106:1202, 1988

31. Mannis MJ, Tamaru R, Roth AM et al: Acanthamoeba sclerokeratitis: Determining diagnostic criteria. Arch Ophthalmol 104:1313, 1986

32. Rabinovitch T, Weissman SS, Teikari J et al: Acanthamoeba keratitis: Clinical signs and analysis of factors that affect outcome. Paper presented at the International Acanthamoeba Symposium, Houston, April 14, 1989

33. Wright P, Warhurst D, Jones BR: Acanthamoeba keratitis successfully treated medically. Br J Ophthalmol 69:778, 1985

34. Lindquist TD, Sher NA, Doughman DJ: Clinical signs and medical therapy of early Acanthamoeba keratitis. Arch Ophthalmol 106:73, 1988

35. Moore MB, McCulley JP, Kaufman HE, Robin JB: Radial keratoneuritis as a presenting sign in Acanthamoeba keratitis. Ophthalmology 93:1310, 1986

36. Hirst LW, Green WR, Merz W et al: Management of Acanthamoeba keratitis: A case report and review of the literature. Ophthalmology 91:1105, 1984

37. Theodore FH, Jakobiec FA, Juechter KB et al: The diagnostic value of a ring infiltrate in Acanthamoebic keratitis. Ophthalmology 92:1471, 1985

38. Epstein RJ, Wilson LA, Visvesvara GS, Plourde EG Jr: Rapid diagnosis of Acanthamoeba keratitis from corneal scrapings using indirect fluorescent antibody staining. Arch Ophthalmol 104:1318, 1986

39. Wilhelmus KR, Osato MS, Font RL et al: Rapid diagnosis of Acanthamoeba keratitis using Calcofluor white. Arch Ophthalmol 104:1309, 1986

40. Jones DB, Liesegang TJ, Robinson NM: Laboratory Diagnosis of Ocular Infections, p 15. Washington, DC: American Society for Microbiology, 1981

41. Johns KJ, Head WS, Elliot JE et al: Isolation and identification of Acanthamoeba in corneal tissue. CLAO J 13:272, 1987

42. Silvany RE, Luckenbach MW, Moore MB: The rapid detection of Acanthamoeba in paraffin-embedded sections of corneal tissue with Calcofluor white. Arch Ophthalmol 105: 1366, 1987

43. Marines HM, Osato MS, Font RL: The value of Calcofluor white in the diagnosis of mycotic and Acanthamoeba infections of the eye and ocular adnexa. Ophthalmology 94:23, 1987

44. Robin JB, Chan R, Andersen BR: Rapid visualization of Acanthamoeba using fluorescein-conjugated lectins. Arch Ophthalmol 106:1273, 1988

45. Robin JB, Chan R, Rao NA et al: Fluorescein-conjugated lectin visualization of fungi and Acanthamoeba in infectious keratitis. Ophthalmology 96:1198, 1989

46. Lund OE, Stefani FH, Dechant W: Amoebic keratitis: A clinicopathologic case report. Br J Ophthalmol 62:373, 1978

47. Hamburg A, De Jonckheere JF: Amoebic keratitis. Ophthalmologica 181:74, 1980

48. Mathers W, Stevens G Jr, Rodrigues M et al: Immunopathology and electron microscopy of Acanthamoeba keratitis. Am J Ophthalmol 103:626, 1987

49. Blackman HJ, Rao NA, Lemp MA, Visvesvara GS: Acanthamoeba keratitis successfully treated with penetrating keratoplasty: Suggested immunogenic mechanisms of action. Cornea 3:125, 1984

50. Cohen EJ, Pariato CJ, Arentsen JJ et al: Medical and surgical treatment of Acanthamoeba keratitis. Am J Ophthalmol 103:615, 1987

51. Holland GN, Denzis PB: Rapid resolution of early Acanthamoeba keratitis after epithelial debridement. Am J Ophthalmol 104:87, 1987

52. Brooks JG, Coster DJ, Badenoch PR: Acanthamoeba keratitis: Resolution after epithelial debridement. Cornea 13:186, 1994

53. Solomon JM, Koenig SB, Hyndiuk RA: Medical and surgical treatment of Acanthamoeba keratitis. Am J Ophthalmol 104:309, 1987

54. Driebe WT, Stern GA, Epstein RJ et al: Acanthamoeba keratitis: Potential role for topical clotrimazole in combination chemotherapy. Arch Ophthalmol 106:1196, 1988

55. Larkin DFP, Kilvington S, Dart JKG: Treatment of Acanthamoeba keratitis with polyhexamethylene biguanide. Ophthalmology 99:185, 1992

56. Seal D, Hay J, Kirkness C et al: Successful medical therapy of Acanthamoeba keratitis with topical chlorhexidine and propamidine. Eye 10:413, 1996

57. Khunkitti W, Lloyd D, Furr JR, Russell AD: The lethal effects of biguanides on cysts and trophozoites of Acanthamoeba castellanii. J Appl Bacteriol 81:73, 1996

58. Johns KJ, Head S, O'Day DM: Corneal toxicity of propamidine. Arch Ophthalmol 106:68, 1988

59. Osato MS, Robinson NM, Wilhelmus K, Jones DB: Morphogenesis of Acanthamoeba castellanii: Titration of the steroid effect. Invest Ophthalmol Vis Sci 27(Suppl):37, 1986

60. Park DH, Palay DA, Daya SM et al: The role of topical corticosteroids in the management of Acanthamoeba keratitis. Cornea 16:277, 1997

Back to Top