Chapter 36
Miscellaneous Abnormalities of the Fundus
NEAL H. ATEBARA
Main Menu   Table Of Contents

Search

CHORIORETINAL FOLDS
MYOPIC DEGENERATION
PHYSIOLOGIC MYOPIA
PATHOLOGIC MYOPIA
ANGIOID STREAKS
TRAUMATIC CHOROIDAL RUPTURE
RPE TEARS
REFERENCES

This chapter covers disease entities caused by compressing or stretching mechanical forces on the choroid, Bruch's membrane, and retinal pigment epithelium (RPE). Chorioretinal folds are undulations of the choroid, Bruch's membrane, and the RPE, caused by compressive forces on these tissues or contraction of the underlying sclera. Lacquer cracks are seen in pathologic myopic degeneration, when the stretching effects of a severely enlarged globe cause disruptions in the RPE, Bruch's membrane, and choriocapillaris. Angioid streaks are cracklike defects in Bruch's membrane that result from its calcification and fragmentation secondary to various disease conditions. Choroidal ruptures from blunt trauma are due to rapid anteroposterior compression of the globe, resulting in stretching of the choroid, Bruch's membrane, and RPE. Tears of the RPE layer can be seen uncommonly in setting of pigment epithelial detachments secondary to age-related macular degeneration. The pathophysiology, clinical presentation, and associated disorders of these five disease entities are discussed in this chapter.
Back to Top
CHORIORETINAL FOLDS
Chorioretinal folds are undulations of the choroid, Bruch's membrane, and RPE. The overlying retina may show some minor degree of wrinkling, but only as a secondary effect of distortion of the underlying choroidal-Bruch's-RPE complex. Whereas Bruch's membrane is a relatively inelastic tissue, the choroid is composed of a plexus of blood vessels and interstitial tissue that is more easily compressed and distorted (Fig. 1). Any mechanical force (such as an intraocular or orbital tumor or a scleral buckle) that sufficiently distorts the choroid will eventually cause Bruch's membrane to be thrown into folds because of its inelasticity. Nettleship1 first described this condition in 1884, and in 1915 Birch-Hirschfeld and Siegfried2 histopathologically demonstrated folds in the retina and choroid of a patient with an orbital tumor. Although an orbital mass remains a common cause of chorioretinal folds, many other orbital and ocular conditions have been associated with this fundus finding.3–9 They can also occur in otherwise normal eyes and might easily be overlooked during cursory fundus examination. Chorioretinal folds should be distinguished from retinal folds, which occur more commonly and usually reflect tractional forces acting on the retina.10

Fig. 1. Illustration of chorioretinal folds. The choroid is composed of a plexus of blood vessels and interstitial tissue that is easily compressed and distorted, like a sponge. When the choroid is compressed, the relatively inelastic Bruch's membrane is thrown into folds. Notice that the overlying neurosensory retina is relatively unaffected by the folds in the choroid.

OPHTHALMOSCOPY

Chorioretinal folds are seen as alternating light and dark striae in the posterior pole, giving the fundus a corrugated appearance (Fig. 2).11 The darker striae correspond to the troughs of the folds where the RPE is viewed “on edge.” The lighter-colored striae correspond with the ridges, where the RPE layer is stretched thin. The width, length, and number of folds are variable. The folds are usually roughly parallel, except in hypotony (in which case the folds are often multidirectional), in a contracted choroidal neovascular membrane (in which case they may be radial), and in optic disc swelling (in which case they may be concentric). Careful biomicroscopic evaluation is helpful in establishing the level of the abnormality in the fundus. The overlying retina is usually uninvolved in isolated chorioretinal folds, although parallel retinal folds can occasionally occur.12

Fig. 2. Choroiretinal folds are typically seen as alternating light and dark striae in the posterior pole. The darker striae correspond to the troughs of the folds where the retinal pigment epithelium is viewed “on edge.” The lighter-colored striae correspond with the ridges, where the retinal pigment epithelium layer is stretched thin.

Chorioretinal folds should be distinguished from retinal folds, which are usually thinner, translucent, and radiating from a point of a visible pathologic process in the retina. Retinal folds are more superficial than chorioretinal folds. On careful biomicroscopic examination, the underlying choroid can be seen to be uninvolved in isolated cases of retinal folds. Retinal folds usually reflect tractional forces acting on the neurosensory retina, typically at its surface—the internal limiting membrane. The most common causes of retinal folds are idiopathic epiretinal membranes, diabetic fibrovascular membranes, and proliferative vitreoretinopathy associated with retinal detachment.

FLUORESCEIN ANGIOGRAPHY

Norton described the angiographic appearance of chorioretinal folds in 1969.13 In the arterial or early laminar venous phase of the angiogram, alternating lines of hyperfluorescence and hypofluorescence become apparent (Fig. 3). These fade in the late recirculation phase of the angiogram without leakage. The hyperfluorescent streaks correspond to the peaks of the chorioretinal folds, and the hypofluorescent streaks correspond to the valleys. Histopathologic evidence suggests that attenuation of the RPE at the peaks results in hyperfluorescence; compaction of the RPE layer in the valleys and partial collapse of the underlying choriocapillaris results in relative hypofluorescence.14

Fig. 3. On fluorescein angiography, chorioretinal folds demonstrate alternating lines of hyperfluorescence (attenuation of the retinal pigment epithelium [RPE] at the peaks) and hypofluorescence (compaction of the RPE layer and partial collapse of the underlying choriocapillaris in the valleys).

Because the RPE and choroidal are unaffected by retinal folds, the fluorescein angiographic appearance is usually normal, except for distortion of the retinal vessels or mild leakage, which may occur with epiretinal membranes.

ETIOLOGY

The differential diagnosis of chorioretinal folds is extensive (Table 1). The more common causes include orbital tumors, hypotony, papilledema or papillitis, posterior scleritis, hyperopia, and previous scleral surgery. Uncommon causes include intraocular tumor, choroidal neovascularization, trauma, uveitis, thyroid eye disease, uveal effusion, sinusitis, orbital cellulitis, central serous choroidopathy, angioid streaks, and Alagille's syndrome.3–9 Idiopathic chorioretinal folds are sometimes encountered as an incidental finding in an otherwise normal eye.

 


 

The mechanism by which chorioretinal folds are produced probably relates to mechanical forces that compress the “spongy” choroid, thereby throwing the relatively inelastic Bruch's membrane into folds. Choroidal tumors (choroidal melanomas, metastatic choroidal carcinomas) may produce chorioretinal folds at the margins of the tumor.13,15 These folds are produced by mechanical displacement of the surrounding choroid by the expanding tumor in conjunction with choroidal vascular engorgement. As the choroid is compressed laterally, the relatively inelastic Bruch's membrane is thrown into folds (Fig. 4). These folds roughly follow the shape of the tumor's margin.

Fig. 4. Choroidal melanomas, metastatic choroidal carcinomas, and other mass lesions of the choroidal produce mechanical displacement of the surrounding choroid as well as choroidal vascular engorgement. The resulting chorioretinal folds often follow the shape of the tumor's margin.

Optic disc swelling (papillitis, papilledema) may cause chorioretinal folds in a similar fashion, where expansion of the optic nerve at its entrance into the eye causes compression of the surrounding choroid (Fig. 5).4 The folds are sometimes seen concentric to the optic nerve in the meridians of greatest nerve swelling, often nasally.

Fig. 5. Photograph of papilledema causing chorioretinal folds. The swelling of the nerve as it enters the eye causes compression and distortion of the surrounding choroid. (Courtesy of Washington University Department of Ophthalmology, St Louis.)

Orbital tumors may produce chorioretinal folds through scleral deformation and choroidal congestion. Interestingly, scleral indentation alone does not produce chorioretinal folds—it therefore appears that scleral edema, scleral shortening, choroidal congestion, and possibly other factors are necessary for the formation of chorioretinal folds.

Scleral buckles placed for the repair of retinal detachment can cause chorioretinal folds. These folds are seen perpendicular to the buckle, and they may be exacerbated by the presence of a serous choroidal detachment (Fig. 6).

Fig. 6. Encircling scleral buckles placed for the repair of retinal detachments can cause chorioretinal folds perpendicular to the orientation of the buckle. In this photograph, the folds are exacerbated by a concurrent serous choroidal detachment.

Intraocular hypotony results from a wound leak or excessive filtration after glaucoma surgery. Chorioretinal folds may be seen in this condition. The folds may tend to radiate outward from the optic disc, may be concentric with the optic disc, or they may be randomly oriented. These folds may result from a combination of scleral contraction due to the low intraocular pressure, scleral edema, choroidal congestion, and optic disc swelling (Fig. 7).

Fig. 7. Photograph of chorioretinal folds caused by ocular hypot-ony. The folds may be randomly oriented in this condition (Courtesy of Shigemi Sugiki, Honolulu, HI).

CLINICAL CORRELATION

Chorioretinal folds occur in patients at any age and of either gender. In general, symptoms are related to the cause of the folds. Blurring of vision is a frequent presenting symptom.18,19 Proptosis and diplopia can also occur if an orbital mass is present. Increasing hypermetropia or astigmatism and distortion of the Amsler grid are frequently present.

Examination of a patient with chorioretinal folds should include careful assessment of ocular motility and exophthalmometry. In addition of fluorescein angiography, which will confirm the diagnosis, computed tomography or magnetic resonance imaging of the orbits should be performed in all patients in whom the etiology of the folds is not otherwise apparent.20 Treatment of the underlying condition usually results in resolution of the folds, although this may occur gradually.21

Back to Top
MYOPIC DEGENERATION
Although myopia may result from excessive refractive power, it is the expansion of the scleral shell resulting in axial elongation that causes the fundus abnormalities and retinal complications associated with pathologic myopia. The fundus findings of myopia do not strictly correlate with the degree of refractive error, but the likelihood of the appearance of pathologic changes in the fundus clearly increases in eyes with greater than -6 to -8 diopters of myopia.22 Therefore, in clinical practice, myopia is often classified as “physiologic” when the refractive error is less than -6 diopters, and “pathologic” when the refractive error is -6 diopters or more.

The precise causative role of environment versus genetics in myopia is not clear, although in many cases there appears to be a strong genetic association in pathologic myopia. Pathologic myopia may be seen in various genetically determined diseases such as Marfan's syndrome, Ehler-Danlos syndrome, and Stickler's syndrome. The sclera in familial cases of pathologic myopia show collagen that is thinner and more loosely woven than normal,23 and it has been hypothesized that this leads to sclera that is structurally weak and thus subject to stretching in response to intraocular pressure.24

Some fundus findings related to expansion of the scleral shell include temporal peripapillary atrophic crescent, patches of RPE atrophy, lacquer cracks, and posterior staphyloma. Subretinal hemorrhage, choroidal neovascularization, and Foerster-Fuchs' spots (pigmented involuted choroidal neovascularization) may also be seen. White without pressure, lattice degeneration, paving-stone degeneration, and posterior vitreous detachment are seen more commonly in highly myopic eyes than in the normal population.25

Back to Top
PHYSIOLOGIC MYOPIA
The fundus finding that is most commonly seen with low to moderate degrees of myopia (less than -6 diopters) is a scleral or choroidal crescent located adjacent to the optic nerve head (Fig. 8).26 As the globe expands, the retina, RPE, Bruch's membrane, and choroid are pulled away from the optic nerve head, resulting in the scleral crescent (Fig. 9). In this area, the sclera is clearly visible given the absence of the RPE, Bruch's membrane, and choroid, which are usually found at the temporal aspect of the disc.27,28 In physiologic myopia, its width rarely exceeds one third of a disc diameter. Stenstrom and other investigators29–32 showed that the presence of a peripapillary crescent correlated with increasing axial length but not total refractive power (corneal plus lens power) of the eye.

Fig. 8. Fundus photograph of a pathologically myopic eye. There is diffuse retinal pigment epithelium thinning with increased visualization of the choroidal vasculature, extensive peripapillary atrophy, a lacquer crack extending from the optic disc through the macula, and choroidal neovascularization with subretinal hemorrhage. (Courtesy of Wills Eye Hospital, Philadelphia, PA.)

Fig. 9. Schematic illustration of an eye with myopic degeneration. The choroid, Bruch's membrane, and the retinal pigment epithelium (RPE) do not extend to the disc edge, leaving a rim of clearly visible sclera called myopic peripapillary atrophy. A macular staphyloma and a lacquer crack are depicted. The choroidal vessels are visible through attenuated retinal and RPE layers.

In patients with higher degrees of myopia, more substantial fundus changes may occur. The enlarged temporal crescent's width may exceed one third of a disc diameter. A crescent light finding known as the Weiss-Otto reflex33 may become apparent on the nasal aspect of the disc. This reflex results from concentric “piling up” of the nasal retina and choroid, and it is best appreciated in young persons.

Back to Top
PATHOLOGIC MYOPIA
In pathologic myopia, the RPE is stretched and attenuated throughout the fundus. This results in a pale-appearing fundus with increased visualization of the choroidal vessels.22,34,35 In progressive disease, the RPE may become atrophic in patches surrounding the optic disc and in the macula. Loss of RPE function inevitably results in photoreceptor damage, and macular involvement often results in significant loss of central visual acuity. Secondary pigmentary changes may be seen in these patches of RPE atrophy (Fig. 10).

Fig. 10. Photograph of patches of retinal pigment epithelium (RPE) atrophy. There are multiple patches of RPE atrophy in the macula, many with secondary pigmentary changes. (Courtesy of William Tasman, Philadelphia, PA.)

If there is sufficient tangential stretch, “lacquer cracks” may occur. These are areas of fissuring in the RPE, Bruch's membrane, and choriocapillaris,36 with a histopathologic appearance similar to that seen in angioid streaks and traumatic choroidal ruptures. Funduscopically, they appear as yellow-white lines of variable caliber found deep to the retina, principally in the posterior pole.37,38 They form a distinctive reticular pattern with connections to the temporal scleral crescent (see Fig. 8), frequently appearing in the third or fourth decades of life. They are often multiple, and normal large choroidal vessels may be seen traversing them. Lacquer cracks extending through the macula may result in poor central visual acuity.

Normal development of the sclera and choroid partially depends on the presence of normal overlying RPE. In pathologic myopia, the sclera and choroid may be thinned secondarily, resulting in marked ectasia and outpouching in the posterior pole, called posterior staphyloma (Fig. 11). These areas may be large, occupying the entire posterior pole. Although the retina and RPE are thinner in these areas, visual function may be relatively normal except for the distortion caused by the outpouching. In other cases, there is markedly reduced visual acuity due to atrophy of the RPE and choriocapillaris. Posterior staphylomas most often involve the macula and optic nerve.

Fig. 11. Photograph of a pathologically myopic eye with large staphylomas of the optic nerve and macula.

Spontaneous subretinal hemorrhage can occur in the macula of the pathologically myopic eye. The origin of the bleeding is not certain, although it probably arises from the choriocapillaris, and the hemorrhage is sometimes first noticed immediately after the appearance of a break in Bruch's membrane. Subretinal hemorrhages can be an isolated finding with a benign clinical course if choroidal neovascularization or a lacquer crack is not involved. Blood often resorbs over a period of weeks to months, and vision may return to its former level.

Choroidal neovascularization may occur secondary to a defect in Bruch's membrane from a lacquer crack or a patch of RPE atrophy (Fig. 12).38 The presence of myopic choroidal neovascularization is not necessarily as ominous as it is with other conditions, such as age-related macular degeneration.38–43 Overall, up to 50% of patients with choroidal neovascularization may see spontaneous improvement or stabilization of vision. The reason for this finding is that myopic choroidal neovascular membranes often demonstrate a self-limited course, regressing spontaneously. The long-term prognosis for these patients, however, is still guarded because of recurrent subretinal hemorrhage and degeneration of the RPE and choriocapillaris.

Fig. 12. A. Fundus photograph of a highly myopic eye with subfoveal choroidal neovascularization. There is a grayish-green subretinal membrane surrounded by subretinal hemorrhage. B. Fluorescein angiogram of the preceding eye, demonstrating dye leakage from the subfoveal choroidal neovascularization. (Courtesy of William Tasman, Philadelphia.)

The sequelae of the myopic choroidal neovascular membrane is a round or elliptical black lesion known as Fuchs' spot, which may be seen in up to 10% of patients with pathologic myopia, usually in the macula.44,45 This lesion is sharply circumscribed, slightly elevated, and of variable size. Histopathologic examination reveals marked RPE hyperplasia in an area where a choroidal neovascular membrane has undergone spontaneously involution. Overlying fibrosis may impart a gray, yellow, green, or red coloration to the lesion; with time, the spot becomes less distinct with a surrounding halo of atrophy. Like lacquer cracks, Fuchs' spots are a poor prognostic sign, with the development of subsequent widespread chorioretinal degeneration being the rule.43

Extensive peripheral retinal changes are invariably present in pathologic myopia.26,46 Benign changes include paving-stone degeneration and the area's turning white without pressure. Posterior vitreous detachment tends to occur at an earlier age, there is a higher incidence of lattice degeneration, and the retina is relatively thin compared with the emmetrope. Not surprisingly, the risk of retinal tears and retinal detachment, sometimes bilateral, is significantly higher than in the emmetropic population. Round and multiple breaks characterize a myopic retinal detachment.47–49 Scleral ectasia can make surgical repair of retinal detachment more challenging.50,51

TREATMENT

No proven treatment will halt expansion of the scleral shell in pathologic myopia. Surgical reinforcement of the posterior pole in hopes of arresting the progression of a staphyloma has been performed52 using donor sclera, fascia lata, dura mater, silicone rubber, Dacron mesh, and polytetrafluoroethylene (i.e., Gore-Tex). To date, there have been no well-documented, controlled studies demonstrating surgical efficacy.26

The role of argon laser photocoagulation to myopic choroidal neovascularization is unclear. The Macular Photocoagulation Study53 demonstrated a clear treatment benefit for patients with well-defined extrafoveal choroidal neovascularization associated with age-related macular degeneration, ocular histoplasmosis syndrome, and idiopathic membranes. A beneficial effect for neovascularization extending into the foveal avascular zone was also shown.54 Choroidal neovascularization associated with myopia, however, was not assessed in this study, and extrapolation of these results to the patients with myopia may not be appropriate. In fact, some evidence suggests that photocoagulation of neovascularization with only mild to moderate leakage on fluorescein angiography may worsen the visual prognosis compared with that in patients who are not treated.38 Photocoagulation of extrafoveal lesions may result in subsequent enlargement of the scar through the foveola and significant visual loss in up to 68% of patients.

Submacular surgery, involving extraction of the choroidal neovascular membrane, has shown success when the ingrowth site lies outside the center of the fovea. It this situation, preservation of the foveal RPE is possible.55 However, if the ingrowth site appears in the foveal center, surgery is usually associated with a central RPE defect and relatively poor postoperative central vision. In these situations, photodynamic therapy shows more promise for preservation of central visual acuity.

Photodynamic therapy (PDT) has recently been applied to the treatment of choroidal neovascularization secondary to pathologic myopia. A light-sensitive drug such as verteporfin, when injected intravenously, may bind preferentially to neovascular endothelia. After being activated by a wavelength-matched laser, the free radicals produced cause localized damage and vascular occlusion. At the time of this writing, the Verteporfin in Photodynamic Therapy (VIP) Study released its 1-year data for treatment of pathologic myopia with choroidal neovascularization.56 In this study, verteporfin PDT led to a significantly higher incidence of stable or improved visual acuity through 1 year of follow-up. The investigators involved in the study recommended verteporfin PDT in the treatment of subfoveal CNV in the setting of pathologic myopia.

Although most clinicians treat symptomatic retinal tears in the myopic patient with retinopexy, the role of prophylactic treatment for asymptomatic retinal breaks is controversial. Treatment with cryopexy or photocoagulation to all breaks in patients who have more than 4 diopters of myopia has been advocated by several authors.57–59 Fellow eyes in patients with a history of retinal detachment, horseshoe retinal tears, symptomatic retinal breaks, and tears with surrounding subretinal fluid probably warrant treatment. Treatment should be considered for retinal tears in patients scheduled for cataract surgery. As retinal detachment has been observed following lasik surgery for myopia, prophylactic treatment should be considered for myopic patients planning to undergo lasik treatment.

Back to Top
ANGIOID STREAKS
Angioid streaks are breaks in Bruch's membrane caused by various conditions. They were initially reported in 1889 by Doyne,60 whereas Knapp61 was the first to coin the term angioid streaks because of their serpiginous appearance, which suggested a vascular origin. Not until 1917 did Kofler correctly determine that angioid streaks represented changes at the level of Bruch's membrane.62 Clinical examination with subsequent histopathologic correlation later confirmed that the underlying abnormality was not vascular but rather a structural alteration in Bruch's membrane.63,64

OPTHALMOSCOPY

Although a relatively uncommon entity, angioid streaks have produced a great deal of interest among ophthalmologists because of their unique fundus appearance.65,66 Angioid streaks appear as narrow, jagged lines, situated deep to the retina. Because of their size, shape, color, and course, they closely resemble blood vessels (Fig. 13). Angioid streaks typically radiate out from an areas of peripapillary pigment alteration in a cruciate pattern, although they may circumferentially ring the peripapillary areas as well. Generally, they taper and fade a few millimeters away from the optic disc; however, reports have documented their extending further anteriorly.65 Instead of a symmetric distribution around the optic nerve, they rarely occur in a random distribution throughout the posterior pole.67 The number and distribution can vary, but angioid streaks are almost exclusively bilateral. Progression of the streaks has been seen with time.

Fig. 13. Although angioid streaks resemble blood vessels, they actually represent cracks in a thickened, calcified, and abnormally brittle Bruch's membrane. Angioid streaks typically radiate out from the optic disc in acruciate pattern, although they may circumferentially ring the peripapillary areas as well.

The color of angioid streaks depends on the background coloration of the fundus and the degree of overlying RPE atrophy. In lightly colored fundi they are red, reflecting the pigmentation of the underlying choroid (Fig. 14). In patients with darker background pigmentation, they usually are medium to dark brown.65–67 The RPE on either side of an angioid streak often manifests pigmentary alterations. Some patients demonstrate a specific pattern of RPE mottling referred to as “peau d'orange” (skin of an orange) (Fig. 15). It may be seen diffusely throughout the fundus or localized to one area. Although most commonly seen with angioid streaks related to pseudoxanthoma elasticum, the peau d'orange fundus has been seen in patient with other underlying systemic diseases.65

Fig. 14. The darker and more reddish coloration of angioid streaks reflects the pigmentation of the underlying choroid. (Courtesy of the Wills Eye Hospital Retina Service.)

Fig. 15. A specific pattern of retinal pigment epithelium mottling referred to as “peau d'orange” (skin of an orange) is seen in association with angioid streaks, most commonly in pseudoxanthoma elasticum. “Punched out” peripheral chorioretinal lesions are also characteristic. (Courtesy of the Wills Eye Hospital Retina Service.)

Those factors responsible for the unusual radiating configuration of angioid streaks are not clear. It has been suggested that the pull of the extraocular muscles creates stress forces against the fixed point of the optic nerve, resulting in the characteristic pattern.68

FLUORESCEIN ANGIOGRAPHY

Intravenous fluorescein angiography (IVFA) can help delineate the presence of angioid streaks when the ophthalmoscopic appearance is subtle. With IVFA, angioid streaks are variably hyperfluorescent depending on the condition of the overlying RPE. Adjacent to the streaks, the RPE can be irregularly clumped, resulting in a mottled appearance. The presence of a subretinal neovascular membrane shows fluorescein dye leakage as the angiogram progresses (Fig. 16).

Fig. 16. A. Fundus photograph of an eye with angioid streaks and submacular hemorrhage from choroidal neovascularization. B. Fluorescein angiogram of the previous eye, demonstrating leakage from the choroidal neovascularization (Courtesy of the Wills Eye Hospital Retina Service.)

ETIOLOGY AND HISTOPATHOLOGY

Angioid streaks represent breaks or dehiscences in a thickened, calcified, and abnormally brittle Bruch's membrane. Whether the breaks can occur spontaneously or only as a result of trauma is not known. The elastic lamina that occupies the middle segment of Bruch's membrane is primarily affected, resulting in disintegration and fraying of the elastic fibers. Diffuse and extensive basophilic staining due to the deposition of calcium is commonly seen with routine hematoxylin and eosin staining. The choriocapillaris and RPE are minimally affected initially; however, with progression these structures have become secondarily degenerated. Eventually, neovascular vessels from the choroid may penetrated through the breaks in Bruch's membrane, resulting in subretinal hemorrhage, exudation, and edema followed by the fibrovascular deposition that is typical of a disciform scar. All cases of angioid streaks studied histopathologically have shown identical changes despite different underlying systemic diseases.65 The initiating stimulation for the calcification and degeneration of Bruch's membrane in patients with angioid streaks is not yet known.

CLINICAL CORRELATION

The most important complication of angioid streaks is the development of subretinal neovascularization with subsequent serous and/or hemorrhagic detachment of the sensory retina. Visual disturbances or symptoms secondary to angioid streaks are highly atypical unless such a subretinal neovascular membrane is present. Other complications include subretinal hemorrhage without neovascularization; this can occur either spontaneously or with relatively minor ocular trauma.

The most common systemic disease associated with angioid streaks is pseudoxanthoma elasticum. In one large series, approximately half the patients with angioid streaks had pseudoxanthoma elasticum.69 Pseudoxanthoma elasticum is a systemic disease the hallmark of which is abnormal skin and subcutaneous tissue but the clinical spectrum of which may include arterial insufficiency secondary to calcification of blood vessel and gastrointestinal bleeding. Skin findings are classic and are most commonly seen in the neck, axillary, inguinal, and periumbilical areas. They are said to resemble the skin of a “plucked chicken” (Fig. 17). There is no gender or racial predilection, and both autosomal dominant and recessive inheritance modes have been described. A primary disorder of elastic tissue is the underlying pathophysiology.

Fig. 17. Photograph of the classic skin findings in pseudoxanthoma elasticum, a disorder of elastic tissue. (Courtesy of the Wills Eye Hospital Retina Service.)

Angioid streaks occur in 80% to 87% of all patients with pseudoxanthoma elasticum.65 Aside from angioid streaks, other associated ocular findings with pseudoxanthoma elasticum include diffuse mottling of the RPE, especially temporal to the fovea (peau d'orange) and “punched out” peripheral chorioretinal lesions, similar to the lesions associated with ocular histoplasmosis (see Fig. 15).

Between 8% and 15% of patients with Paget's disease of the bone (osteitis deformans) have angioid streaks as well.65 Paget's disease is characterized by heavily calcified bones. The pelvis, skull, femur, and humerus are most commonly affected. The underlying pathogenesis is an exuberant osteoclastic reaction with a secondary osteoblastic response. Some evidence suggests a slow virus is responsible.65 Diagnosis can be confirmed most readily by an elevated serum alkaline phosphatase level followed by confirmation by radiologists or a bone scan.

Patients with sickle cell disease can develop angioid streaks. Various studies have found incidence to be 6% or lower. There is a strong correlation between age and the development of angioid streaks. This explains why studies on patients with SS type disease, most of whom are younger than age 40, show a low incidence of angioid streaks. Angioid streaks are rarely seen in patients younger than the age of 25.

Many other systemic diseases have been linked to the presence of angioid streaks (Table 2)70,71 although some of these associations may represent coincidental occurrences. The workup for systemic disease in patients with angioid streaks might include skin biopsy; studies to measure serum alkaline phosphatase, calcium, and phosphate levels; and a hemoglobin electrophoresis.

 


 

TREATMENT

Because angioid streaks are usually not visually significant, observation is often warranted. Patients with angioid streaks should be advised to avoid activities that increase the likelihood of receiving a blow to the eye because of their increased risk of subretinal hemorrhage.

The role of thermal laser photocoagulation in the management of choroidal neovascularization associated with angioid streaks is controversial. Although initial reports of photocoagulation were disappointing, more recent reports have supported laser photocoagulation as a means of closing the choroidal neovascularization and stabilizing vision.72–75 Close follow-up after thermal laser photocoagulation is warranted, because recurrent choroidal neovascularization has been reported as high as 77%.75

Submacular surgery for choroidal neovascularization related to angioid streaks has produced generally disappointing results.76,77 It appears that the diffuse nature of the calcification of Bruch's membrane often leads to extraction of the RPE along with the choroidal neovascular membrane during surgery. The loss of RPE leads to photoreceptor atrophy and loss of central visual acuity.

Photodynamic therapy, although unproven, may be the most promising modality of treatment at present. Early studies using verteporfin for treatment of choroidal neovascularization in angioid streaks have shown at least short-term cessation of fluorescein leakage from CNV without loss of vision in a small number of patients.78 Larger randomized clinical trials are under way to study whether verteporfin photodynamic therapy is beneficial for subfoveal CNV in angioid streaks and other similarly challenging ophthalmic conditions.

Back to Top
TRAUMATIC CHOROIDAL RUPTURE
Severe blunt trauma to the eye may result in various posterior segment complications, including rupture of the globe, commotio retinae, retinal breaks, macular holes, optic nerve damage, and choroidal rupture.79,80 This section of the chapters focuses on traumatic choroidal ruptures because they share some features with other disease entities in this chapter. Choroidal rupture results from stretching of the choroid, Bruch's membrane, and RPE during the rapid anteroposterior compression of the globe.

Choroidal ruptures can occur from any trauma that results in rapid anterioposterior compression of the globe. It has been reported in various settings, including bungee elastic cords,81 paint ball injuries,82,83 and forceps birth delivery.84

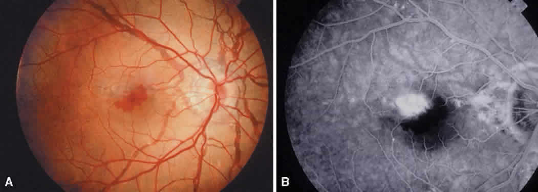
Choroidal ruptures appear as yellow curved lines concentric to the optic nerve, located deep to the retina. They are most common in the posterior pole and midperipheral fundus85 (Fig. 18A). On fluorescein angiography, the ruptures appears as curvilinear window defects. There may be mild staining of the sclera, but there is no leakage unless choroidal neovascularization is also present (see Fig. 18B). Histologically, they represent disruption and retraction of the RPE, Bruch's membrane, and choroid, similar to that seen in angioid streaks. Healing of choroidal ruptures involves fibrovascular proliferation from the choroid that evolves into a dense fibrous scar with variable degrees of RPE hyperplasia, usually complete by 3 weeks.86 When the macula is involved, severe visual loss may result.

Fig. 18. A. Photograph of a large traumatic choroidal rupture with a bilobed choroidal neovascularization (CNV) extending into the fovea. There is subretinal hemorrhage and exudates surrounding the lesion. Visual acuity is 20/400 B. Fluorescein angiogram of the same eye as the previous photograph. There are curvilinear window defects that correspond to the ruptures seen on the color photograph. Hyperfluorescene and leakage from the bilobed CNV is apparent. (Courtesy of Jeffrey Gross.)

Similar to angioid streaks and myopic lacquer cracks, choroidal neovascularization may occur, usually weeks to months following the initial injury. When the rupture is close to the center of the fovea (e.g., closer than 600 μm) and the length of the rupture is large (e.g., 4.5 mm or longer), closer monitoring of the eye is warranted because the risk for developing CNV is significantly higher risk.87

The pathologic mechanism of choroidal rupture formation is explained by the rapid anteroposterior compress of the globe during blunt trauma (Fig. 19A). The choroid is anchored to the sclera at the equator by the vortex veins. As the equatorial diameter of the sclera is rapidly increased by the ocular distortion, the choroid, Bruch's membrane, and RPE become stretched so rapidly that a break forms in these layers in a direction perpendicular to the line of stretch (which extends radially from the optic nerve to the equator of the globe). As a result, the choroidal rupture occurs concentric to the optic nerve (see Fig. 19B).

Fig. 19. Illustration of the pathophysiology of a choroidal rupture. A. In blunt trauma to the eye, the globe becomes rapidly compressed anteroposteriorly. B. The choroid is relatively anchored to the sclera at the equator by the vortex veins. As the equatorial scleral diameter is rapidly increased by the ocular distortion, the choroid, Bruch's membrane, and retinal pigment epithelium become stretched so rapidly that a break forms in these layers, usually concentric to the optic nerve.

There is no treatment for choroidal ruptures uncomplicated by submacular hemorrhage or choroidal neovascularization. There have been occasional reports in the literature of successful surgical evacuation of submacular hemorrhage with restoration of good central vision by means of vitrectomy and subretinal injection of tissue plasminogen activator.88,89 Successful surgical removal of three cases of subfoveal choroidal neovascularization with resulting visual acuities of 20/30 or better in each case has been reported90 (Fig. 20).

Fig. 20. A. Fundus photograph of the same eye as in Figure 18, after submacular surgery to remove the choroidal neovascularization (CNV). Visual acuity has improved to 20/15 with 10 months of follow-up. B. Postoperative fluorescein angiogram of the same eye as the previous photograph. There are pigmentary alterations where the CNV has been extracted, but there is no longer any dye leakage. (Courtesy of Jeffrey Gross.)

Back to Top
RPE TEARS
Another condition associated with mechanical stretching of the RPE and its basement membrane is the RPE tear, a relatively rare complication of age-related macular degeneration (AMD).91–96 RPE tears are associated with pigment epithelial detachments (PEDs), and they can be seen spontaneously or after laser photocoagulation.97,98

Clinically, they typically begin as a fibrovascular PED that develops a larger, serous component of sub-RPE fluid.99–101 Either spontaneously or after laser photocoagulation to the choroidal neovascularization, an acute tear occurs along the margin of the serous RPE detachment on the side opposite to the location of the fibrovascular component. Patients usually present with sudden loss of vision if the resulting RPE defect involves the fovea, although excellent visual acuity is occasionally maintained.102,103

Funduscopically, the RPE tear appears as a crescentic zone of lighter coloration adjacent to an elevated mound of hyperpigmentation that represents the retracted and scrolled sheet of torn RPE. Elevated fibrovascular tissue of the choroidal neovascularization and drusen are also present (Fig. 21A).

Fig. 21. A. Fundus photograph of an retinal pigment epithelium (RPE) tear. A crescentic zone of lighter coloration lies temporal to a macular choroidal neovascular membrane. Along the nasal margin of the tear is an elevated mound of hyperpigmentation that represents the retracted and scrolled sheet of torn RPE. Drusen are present in the superior posterior pole. B. Fluorescein angiogram of the RPE tear shown in the previous photograph. The area where RPE has been torn away appears as a hyperfluorescent window defect. There is no dye leakage from this defect because a layer of depigmented RPE presumably grows in to replace the lost RPE. The area of retracted and scrolled RPE appears as hypofluorescent blockage along the nasal margin of the tear. The macular choroidal neovascular membrane shows occult dye leakage. There is some pooling of dye into a broad area of residual subretinal fluid in the posterior pole. (Courtesy of the Wills Eye Hospital Retina Service.)

On fluorescein angiography, the RPE defect appears as a hyperfluorescent window defect. Interestingly, there is usually no leakage from this defect because the PED usually flattens soon after the RPE tears, and a layer of depigmented RPE presumably grows in to replace lost RPE (see Fig. 21B). If the patient seeks immediate treatment, before the subretinal fluid has been resorbed, there may be some pooling of dye into the fluid. The fibrovascular tissue may show occult dye leakage and staining. The area of retracted and scrolled RPE appears as hypofluorescent blockage on angiography.

The exact pathophysiology of RPE tears is not entirely clear. As mentioned previously, they begin as fibrovascular PEDs that develop larger serous components (Fig. 22A). Gass believes the fluid derives primarily from the choroidal neovascular membrane.91,101 Other authors104,105 have stressed the importance of the hydrophobic nature of the lipidized Bruch's membrane in AMD acting as a barrier to passage of fluid into the choroid.

Fig. 22. The pathophysiology of retinal pigment epithelium (RPE) tears. A. An RPE tear begins as a fibrovascular pigment epithelial detachment (PED) that develops a larger serous component. Tension on the RPE and its basement membrane from the expanded volume of fluid and the contracting choroidal neovascular membrane eventually causes a tear to occur along the margin of the PED. B. The RPE contracts and scrolls, leaving behind a crescent-shaped geographic region of bare Bruch's membrane. The sub-RPE fluid is quickly pumped out by the surrounding attached RPE cells, and hypopigmented RPE cells grow across the defect. C. The end result is a choroidal neovacsular membrane adjacent to scrolled RPE and a geographic area of hypopigmented RPE.

Regardless of its source, the fluid accumulates in the dissected plane between the RPE basement membrane and Bruch's membrane. As the serous component of the PED becomes elevated and bullous, tension from the expanded volume of fluid is placed on the RPE-basement membrane complex. The contracting fibrovascular component, especially after laser photocoagulation, contributes to this mechanical stress on the RPE and basement membrane. Eventually a tear occurs along the line of greatest stress, the margin of the PED.

Because of the greater tendency of the basement membrane to contract, the separated sheet of RPE scrolls in the direction of the basement membrane, leaving behind a crescentic geographic region of bare Bruch's membrane (see Fig. 22B). This contracture occurs quickly, probably within 24 hours, as evidenced by the fact that the contraction process is usually complete by the time the patient is seen by the clinician. The heaped-up, scrolled RPE appears as an area of slightly elevated, hyperpigmented material adjacent to the RPE defect.

When the RPE contracts and scrolls, it dissects itself away from the overlying photoreceptor layer of the retina. This process results in fluid from the sub-RPE space's rushing into the subretinal space (between the photoreceptors and the remaining RPE layer). This sudden separation between the photoreceptors and RPE is the cause of sudden loss of vision when the fovea is affected by the RPE tear.

The defect left behind by the contracted RPE-basement membrane complex is bare Bruch's membrane. Because Bruch's membrane does not prevent the leakage of fluorescein dye, one would expect an abundant leakage of dye from this region. However, in most cases, a mere window defect with no leakage is seen, which indicates that RPE cells must have quickly slid in to replace the contracted sheet of RPE. Because there is no visible pigmentation in the level of the RPE on clinical examination, it is deduced that depigmented RPE cells are responsible for the lack of dye leakage.

After the sub-RPE fluid rushes into the subretinal space, the fluid is quickly pumped out by the surrounding attached RPE cells and the regrowth of hypopigmented cells across the defect.103 The PED flattens, and the end result is an area of fibrovascular tissue adjacent to scrolled RPE and a geographic area of hypopigmented RPE (see Fig. 22C).

Back to Top
REFERENCES

1. Nettleship E: Peculiar lines in the choroid in a case of postpapillitic atrophy. Trans Ophthalmol Soc UK 4:167, 1884

2. Birch-Hirschfeld A, Siegried C: Zur Kenntnis der Veranderungen des Bulbus durch Druck eines orbital Tumors. Graefes Arch Ophthalmol 90:404, 1915

3. Hedges TR, Leopold IH: Parallel retinal folds: Their significance in orbital space taking lesions. Arch Ophthalmol 62:353, 1959

4. Bird AC, Sanders MD: Choroidal folds in association with papilloedema. Br J Ophthalmol 57:89, 1973

5. Newell FW: Choroidal folds. Am J Ophthalmol 75:930, 1973

6. Gass JDM: Radial chorioretinal folds: A sign of choroidal neovascularization. Arch Ophthalmol 99:1016, 1981

7. Avila MP, Jalkh AE, Feldman E et al: Manifestations of Whipple's disease in the posterior segment of the eye. Arch Ophthalmol 102:384, 1984

8. Grabowski WM, Decker WL, Annesley WH: Complications of krypton red laser photocoagulation to subretinal neovascular membranes. Ophthalmology 91:1587, 1984

9. Romanchuk KG, Juisch GF, LaBrecque DR: Ocular findings in arteriohepatic dysplasia (Alagille's syndrome). Can J Ophthalmol 16:94, 1981

10. Duke-Elder S, Dobree JH: System of Ophthalmology. Vol 10, Diseases of the Retina. St Louis: CV Mosby, 1967

11. Newell F: Fundus changes in persistent and recurrent choroidal folds. Br J Ophthalmol 68:32, 1984

12. Reese AB: Tumors of the Eye, p 530. 2nd ed. New York: Hoeber, 1963

13. Norton EWD: A characteristic fluorescein angiographic pattern in choroidal folds. Proc R Soc Med 62:119, 1969

14. Bullock JD, Egbert PR: Experimental choroidal folds. Am J Ophthalmol 78:618, 1974

15. Shields JS, Shields CL, Rashid RC: Clinicopathologic correlation of choroidal folds: Secondary to massive cranioorbital hemangiopericytoma. Ophthalmic Plast Reconstr Surg 8:62, 1992

16. Friberg TR, Grove AS Jr: Choroidal folds and refractive errors associated with orbital tumors: An analysis. Arch Ophthalmol 101:598, 1983

17. Wolter JR: Parallel horizontal choroidal folds secondary to an orbital tumor. Am J Ophthalmol 77:669, 1974

18. Steuhl KP, Gisbert R, Weidle EG: Clinical observations concerning choroidal folds. Ophthalmologica 190:219, 1985

19. Cangemi EF, Trempe CL, Walsh JB: Choroidal folds. Am J Ophthalmol 86:380, 1978

20. Dailey RA, Mills RP, Stimac GK et al: The natural history and CT appearance of acquired hyperopia with choroidal folds. Ophthalmology 93:1336, 1986

21. Kroll AJ, Norton EWD: Regression of choroidal folds. Trans Am Acad Ophthalmol Otolaryngol 74:515, 1970

22. Harman NB: An analysis of 300 cases of high myopia in children with a scheme for the grading of the fundus changes. Trans Ophthalmol Soc UK 33:202, 1913

23. Curtin BJ, Iwamoto T, Renaldo DP: Normal and staphylomatous sclera of high myopia: An electron microscopic study. Arch Ophthalmol 97:912, 1979

24. Curtin BJ: Myopia: A review of its etiology, pathogenesis and treatment. Surv Opthalmol 15:1, 1970

25. Karlin DB, Curtin BJ: Peripheral chorioretinal lesions and axial length of the myopic eye. Am J Ophthalmol 81:625, 1976

26. Curtin BJ: The Myopias: Basic Science and Clinical Management. Philadelphia: Harper & Row, 1985

27. Fuchs A: Myopia inversa. Arch Ophtahlmol 37:722, 1947

28. Hertel E: Ueber Myopie. Graefes Arch Ophthalmol 56:326, 1903

29. Stenstrom S: Untersuchungen über die Variation und Kovariation der optischen Elemente des menschlichen Auges, 1946. Woolf D (trans). Am J Optom 25:218, 1948

30. Curtin BJ, Karlin DB: Axial length measurement and fundus changes of the myopic eye. Am J Ophthalmol 71:42, 1971

31. Bulach EK: Correlation between the degree of changes in the ocular fundus and the length of the anteroposterior axis of the eye in myopia. Vestn Oftalmol 3:45, 1971

32. Tokoro T, Kabe S: The relationship between changes in ocular refraction and refraction components and the development of myopia. Acta Soc Ophthalmol Jpn 68:1240, 1964

33. Weiss L: Ueber der Innenseite der Papille baren Reflexbogenstreif und seine Beziehung zur beginnenden Kurzsichtigkeit. Graefes Arch Ophthalmol 31:239, 1885

34. Noble KG, Carr RE: Pathologic myopia. Ophthalmology 89:1099, 1982

35. Blanch RK: Degenerative myopia. In Krill AE (ed): Hereditary Retinal and Choroidal Diseases. Vol 2. Hagerstown, MD: Harper & Row, 1977

36. Pruett RC, Weiter JJ, Goldstein RG: Myopic cracks, angioid streaks, and traumatic tears in Bruch's membrane. Am J Ophthalmol 103:537, 1987

37. Klein RM, Curtin BJ: Lacquer crack lesions in pathologic myopia. Am J Ophthalmol 79:386, 1975

38. Shapiro M, Chandra SR: Evolution of lacquer cracks in high myopia. Ann Ophthalmol 17:231, 1985

39. Hogan MJ, Zimmerman LE: Ophthalmic Pathology. 2nd ed. Philadelphia: WB Saunders, 1962

40. Avila MP, Weiter JJ, Jalkh AE: Natural history of choroidal neovascularization in degenerative myopia. Ophthalmology 91:1573, 1984

41. Fried M, Siebert A, Meyer-Schwickerath G: Natural history of Fuchs' spot: A long term follow-up study. Doc Ophthalmol 28215, 1981

42. Hotchkiss ML, Fine SL: Pathologic myopia and choroidal neovascularization. Am J Ophthalmol 91:177, 1981

43. Hampton GR, Kohen D, Bird AC: Visual prognosis of disciform degeneration in myopia. Ophthalmology 90:923, 1983

44. Donders FC: On the Anomalies of Accommodation and Refraction of the Eye. Moore WD (trans). London: New Sydenham Society, 1864

45. Fuchs E: Der centrale schwarze Fleck bei Myopie. Z Augenheilkd 5:171, 1901

46. Hyams SW, Neumann E: Peripheral retina in myopia with particular reference to retinal breaks. Br J Ophthalmol 53:300, 1969

47. Benson WE: Retinal Detachment. 2nd ed. Philadelphia: JB Lippincott, 1988

48. Schepens CL, Hartnett ME, Hirose T: Schepens' Retinal Detachment and Allied Diseases. 2nd ed. Boston: Butterworth-Heinemann, 2000

49. Cambiaggi A: Myopia and retinal detachment. Am J Ophthalmol 58:642, 1964.

50. Delaney WV: Retinal detachment and scleral staphyloma. Ophthalmic Surg 5:20, 1974

51. Watzke RC: Scleral staphylomas and retinal detachment. Arch Ophthalmol 70:796, 1963

52. Malbran J: Una neuva orientación quirergica contra la miopia. Arch Soc Oftal Hisp Am 14:1167, 1954

53. Macular Photocoagulation Study Group: Argon laser photocoagulation for senile macular degeneration: Results of a randomized clinical trial. Arch Ophthalmol 100: 912, 1982

54. Macular Photocoagulation Study Group: Krypton laser photocoagulation for neovascular lesions of ocular histoplasmosis. Arch Ophthalmol 105: 1499, 1987

55. Uemura A, Thomas MA: Subretinal surgery for choroidal neovascularization in patients with high myopia. Arch Ophthalmol 118:244, 2000

56. Miller JW: Verteporfin for pathologic myopia: VIP study one-year results. Presented at the American Academy of Ophthalmology Annual Meeting Subspecialty Day, Dallas, 2000

57. Yanoff M: Prophylactic cryotherapy of retinal breaks. Ann Ophthalmol 9:283, 1977

58. Stein R, Pinchas A: Prevention of retinal detachment by a circumferential barrage prior to lens extraction in high-myopic eyes. Ophthalmologica 165:125, 1972

59. Triester G: Prevention of retinal detachment in high myopic aphakic eyes. Isr J Med Sci 8:1434, 1972

60. Doyne RW: Choroidal and retinal changes that result of blows on the eye. Trans Ophthlmol Soc UK 9:128, 1989

61. Knapp H: On the formation of angioid streaks as an unusual metamorphosis of retinal hemorrhages. Arch Ophthalmol 21:289, 1892

62. Kofler A: Beitraege zur Kenntnis der angioid Streaks (Knapp). Arch Augenheilkd 82:134, 1917

63. Bock J: Zur Klinik and Anatomic der gefaessehnlichen Streifen im Augenhintergrund. Z Augenheilkd 95:1, 1938

64. Hagegoorn A: Angioid streaks. Arch Ophthalmol 21:746, 1939

65. Clarkson JG, Altman RD: Angioid streaks. Surv Ophthalmol 26:235, 1982

66. Schatz H: Angioid streaks. Int Ophthalmol Clin 15:181, 1975

67. Terry TL: Angioid streaks and osteitis deformans. Trans Am Ophthalmol Soc 32:555, 1934

68. Smith JJ, Gass JDM, Justice J: Fluorescein fundus photography of angioid streaks. Br J ophthamol 48:517, 1964

69. Shields JA, Federman JL, Tomer TL et al: Angioid streaks. I: Ophthalmoscopic variations and diagnostic problems. Br J Ophthalmol 59:257, 1975

70. Duker JS, Belmont JB, Bosley TM: Angioid streaks associated with abetalipoproteinemia. Arch Ophthalmol 105:1173, 1987

71. McLane NJ, Grizzard WS, Kouseff BG et al: Angioid streaks associated with hereditary spherocytosis. Am J Ophthalmol 97:444, 1984

72. Singerman LJ, Hatem G: Laser treatment of choroidal neovascular membranes in angioid streaks. Retina 1:75, 1981

73. Geliske O, Hendrikse F, Deutman AF: A long-term follow-up study of laser coagulation of neovascular membranes in angioid streaks. Am J Ophthalmol 105:299, 1988

74. Lim JI, Bressler NM, Marsh MJ et al: Laser treatment of choroidal neovascularization in patients with angioid streaks. Am J Ophthalmol 116:414, 1993

75. Pece A, Avanza P, Galli L et al: Laser photocoagulation of choroidal neovascularization in angioid streaks. Retina 17:12, 1997

76. Thomas MA, Dickenson JD, Melberg NS et al: Visual results after surgical removal of subfoveal choroidal neovascular membranes. Ophthalmology 101:1384, 1994

77. Adelberg DA, Del Priore LV, Kaplan HJ: Surgery for subfoveal membranes in myopia, angioid streaks, and other disorders. Retina 15:198, 1995

78. Sickenberg M, Schmidt-Erfurth U, Miller JW et al: A preliminary study of photodynamic therapy using verteporfin for choroidal neovascularization in pathologic myopia, ocular histoplasmosis syndrome, angioid streaks, and idiopathic causes. Arch Ophthalmol 118:327, 2000

79. Williams DF, Mieler WF, Williams GA: Posterior segment manifestation of ocular trauma. Retina 10(Suppl 1):S35, 1990

80. Atmaca LS, Yilmaz M: Changes in the fundus caused by blunt ocular trauma. Ann Ophthalmol 25:447, 1993

81. Nichols CJ, Boldt HC, Mieler WF et al: Ocular injuries caused by elastic cords. Arch Ophthalmol 109:371, 1991

82. Mamalis N, Monson MC, Farnsworth ST et al: Blunt ocular trauma secondary to “war games.” Ann Ophthalmol 22:416, 1990

83. Farr AK, Fekrat S: Eye injuries associated with paintball guns. Int Ophthalmol 22:169, 1998-1999

84. Estafanous MF, Seeley M, Traboulsi EI: Choroidal rupture associated with forceps delivery. Am J Ophthalmol 129:819, 2000

85. Wyszynski RE, Grossniklaus HE, Frank KE: Indirect choroidal rupture secondary to blunt ocular trauma. A review of eight cases. Retina 8:237, 1988

86. Aguilar JP, Green WR: Choroidal rupture. A histopathologic study of 47 cases. Retina 4:269, 1984

87. Secretan M, Sickenberg M, Zografos L et al: Morphometric characteristics of traumatic choroidal ruptures associated with neovascularization. Retina 18:62, 1998

88. Steinjorst UH, Theischen M, Winter R: Subretinal lavage: A technique of continuous subretinal irrigation for removal of traumatic submacular hemorrhage. Ophthalmologica 211:399, 1997

89. Laatikainen L, Mattila J: Tissue plasminogen activator (tPA) to facilitate removal of post-traumatic submacular hemorrhage. Acta Ophthalmol Scand 73:361, 1995

90. Gross JG, King LP, de Juan E Jr et al: Subfoveal neovascular membrane removal in patients with traumatic choroidal rupture. Ophthalmology 103:579, 1996

91. Gass JDM: Stereoscopic Atlas of Macular Disease and Treatment. 4th ed. St Louis: CV Mosby, 1997

92. Toth CA, Pasquale AC, Graichen DF: Clinicopathologic correlation of spontaneous retinal pigment epithelial tears with choroidal neovascular membranes in age-related macular degeneration. Ophthalmology 102:272, 1995

93. Cantril HL, Ramsay RC, Knoblock WH: Rips in the pigment epithelium. Arch Ophthalmol 101:1074, 1983

94. Decker WL, Sanborn GF, Ridley M et al: Retinal pigment epithelial tears. Ophthalmology 90:507, 1983

95. Hoskin A, Bird AC, Sehow K: Tears of detached retinal pigment epithelium. Br J Ophthalmol 65:417, 1981

96. Yeo JH, Marcus S, Murphy RP: Retinal pigment epithelial tears: Patterns and prognosis. Ophthalmology 95:813, 1988

97. Gass JDM: Retinal pigment epithelial rip during krypton red laser photocoagulation. Am J Ophthalmol 98:700, 1984

98. Green SN, Yarin D: Acute tears of the retinal pigment epithelium. Retina 3:16, 1983

99. Gass JDM: Serous retinal pigment epithelial detachment with a notch: A sign of occult choroidal neovascularization. Retina 4:205, 1984

100. Coscas G, Koenig F, Soubrane G: The pretear characteristics of pigment epithelial detachments: A study of 40 eyes. Arch Ophthalmol 108:1687, 1990

101. Gass JDM: Pathogenesis of tears of the retinal pigment epithelium. Br J Ophthalmol 68:513, 1984

102. Bressler NM, Finklestein D, Sunness JS et al: Retinal pigment epithelial tears through the fovea with preservation of good visual acuity. Arch Ophthalmol 108:1694, 1990

103. Machemer R, Steinhorst UH: Retinal pigment epithelial tears through the fovea with preservation of good visual acuity. Arch Ophthalmol 109:1492, 1991

104. Bird AC, Marshall J: Retinal pigment epithelial detachments in the elderly. Trans Ophthalmol Soc UK 105:674, 1986

105. Chuang EL, Bird AC: The pathogenesis of tears of the retinal pigment epithelium. Am J Ophthalmol 105:285, 1988

Back to Top