Chapter 46
Secondary and Metastatic Tumors of the Orbit
STEVEN E. KATZ, JACK ROOTMAN and ROBERT A. GOLDBERG
Main Menu   Table Of Contents

Search

PART I: SECONDARY TUMORS OF THE ORBIT
NEOPLASIA OF THE SINUS AND NASOPHARYNX
EXTENSION OF INTRACRANIAL TUMORS
ORBITAL EXTENSION OF EYELID TUMORS
SECONDARY TUMORS ARISING FROM THE CONJUNCTIVA
ORBITAL EXTENSION OF OCULAR MALIGNANCIES
EXTENSION FROM THE LACRIMAL SAC
SUMMARY
PART II: TUMORS METASTATIC TO THE ORBIT
PREVALENCE
RELATIVE INCIDENCE OF PRIMARY TUMOR TYPES
LOCALIZATION
TIMING OF METASTASIS: KNOWN VERSUS OCCULT PRIMARY TUMORS
TEMPORAL CHARACTERISTICS
SYMPTOMS AND SIGNS
ILLUSTRATIVE CASE PRESENTATIONS
DISCUSSION
METASTATIC ORBITAL TUMORS IN CHILDREN
ONCOLOGIC CONSIDERATIONS
SUMMARY
REFERENCES

PART I: SECONDARY TUMORS OF THE ORBIT
Secondary tumors of the orbit arise from contiguous structures including the nasopharynx, paraorbital sinuses, bone, intracranial cavity, eyelids, conjunctiva, lacrimal sac, and globe. The incidence and types of secondary tumors of the orbit seen at the University of British Columbia Orbit Clinic from 1976 to 1995 are outlined in Table 1. Overall, 167 secondary tumors were seen, accounting for about one third of all orbital neoplasia in our series. In contrast, secondary epithelial neoplasms constituted 203 (15%) of 1376 orbital tumors in the Mayo clinic tumor survey by Henderson.1 Henderson included only epithelial secondary neoplasms and counted vascular malformations and structural lesions such as mucoceles (which are not neoplasms) in the total number of tumors, which may account for the difference.

 

TABLE 1. Incidence and Type of Secondary Tumors of the Orbit, University of British Columbia Orbit Clinic, 1976 - 1995


Tumor TypeNo. of LesionsTotal
Nasopharynx and sinus (epithelial and soft tissue) 38
 Epithelial26 
 Lymphoma3 
 Rhabdomyosarcoma3 
 Malignant schwannoma2 
 Esthesioneuroblastoma1 
 Hemangiopericytoma1 
 Melanoma1 
 Neurofibroma1 
Bone 46
 Osteoma13 
 Fibrous dysplasia10 
 Myeloma8 
 Histiocytosis X5 
 Ewing's sarcoma3 
 Chondrosarcoma3 
 Osteogenic sarcoma3 
 Fibrosarcoma1 
Intracranial 36
 Sphenoid wing meningiomas34 
 Dural melanoma1 
 Medulloblastoma1 
Eyelid 18
 Basal cell6 
 Squamous cell5 
 Meibomian (sebaceous)4 
 Melanoma1 
 Spindle cell carcinoma1 
 Angiosarcoma1 
Conjunctiva 16
 Melanoma9 
 Squamous carcinoma7 
Ocular 7
 Melanoma5 
 Congenital melanoma1 
 Retinoblastoma1 
Lacrimal sac 6
 Transitional carcinoma4 
 Squamous cell carcinoma1 
 Fibrous histiocytoma1 
Total 167

 

The main emphasis of Part I of this chapter will be on orbital extension of lesions of epithelial origin and selected tumors arising from the eye and intracranial cavity. Tumors of mesenchymal and hematopoietic origin have been discussed as separate entities elsewhere in these volumes.

Back to Top
NEOPLASIA OF THE SINUS AND NASOPHARYNX
Malignant neoplasms of the sinus account for 0.2% to 0.8% of all systemic malignancies, 3% of malignancies involving the upper aerodigestive tract, and 6% of head and neck cancers.2 Generally, in studies of nasopharyngeal tumors, men outnumber women 2 to 1 and the peak age range is between 40 and 60 years. The incidence of nasopharyngeal carcinoma is 0.5 to 2.0 per 100,000 per year, and etiologic factors may include the Epstein-Barr virus, nitrosamines, cigarette smoking, and various occupational exposures.3

The orbit is at risk when tumors develop in the nasal cavity and paranasal sinuses because it shares three thin, bony walls with these structures: the roof, medial wall, and floor. These neoplasias can extend into the orbit by bony destruction, through suture lines and natural dehiscences of walls (i.e., lacrimal fossa, inferior orbital fissure, infraorbital groove, and pterygopalatine fossa), and via the emissarial blood vessels and nerves that perforate the orbital walls.4

In Godtfredsen and Lederman's combined Scandinavian-British series of patients with primary nasopharyngeal tumors, 240 (36%) of 673 had ophthalmoneurologic manifestations.5 Smith and Wheliss6 found eye and orbital abnormalities in 29 (55%) of 53 patients with histologically proven nasopharyngeal tumors. More recently, Johnson and associates7 found that 47 of their 79 patients (59%) with known sinus and nasopharyngeal tumors had orbital involvement. Thirty-eight nasopharyngeal and sinus neoplasms accounted for 23% of secondary orbital tumors in our series. Secondary tumors of the orbit involving the sinus and nasopharynx seen at the University of British Columbia Orbit Clinic from 1976 to 1995 are outlined in Table 2.

 

TABLE 2. Secondary Tumors of the Orbit Involving the Sinus and Nasopharynx, University of British Columbia Orbit Clinic, 1976-1995


Tumor TypeNo. of LesionsTotal
Mesenchymal 32
 Osteoma11 
 Fibrous dysplasia9 
 Rhabdomyosarcoma3 
 Chondrosarcoma3 
 Ewing's sarcoma3 
 Osteogenic sarcoma3 
Carcinomas 24
 Squamous cell12 
  Well-differentiated (4)  
  Moderately differentiated (3)  
  Poorly differentiated (5)  
 Transitional3 
  Well-differentiated (1)  
  Poorly differentiated (2)  
 Adenoid cystic3 
 Adenocarcinoma2 
 Mucoepidermoid2 
 Basal cell1 
 Neuroendocrine1 
Others 11
 Lymphoma3 
 Schwannoma2 
 Myeloma4 
 Esthesioneuroblastoma1 
 Hemangiopericytoma1 
 Melanoma1 
 Neurofibroma1 
Total 67

 

EPITHELIAL MALIGNANCIES OF THE SINUS AND NASOPHARYNX

Epithelial malignancies of the paranasal sinuses frequently spread to the orbit. Conley8 noted that 75% have extension beyond the sinus, 45% of whom have orbital invasion. Of 47 sinus and nasopharyngeal tumors with orbital invasion in the study by Johnson and colleagues,7 37 (79%) were epithelial in origin. The specific site of origin and histologic types seen by us and by Johnson and associates7 are summarized in Table 3. Sixty-six percent originated from the maxillary sinus, and 60% were of the squamous cell type. Epithelial malignancies of the sinus and nasopharynx are classified according to the extent of local invasion and regional nodal spread (Tables 4 and 5).3,9 Thus, by definition, orbital involvement reflects an advanced stage (T3 and T4).9

 

TABLE 3. Site and Histology of Epithelial Malignancies of the Orbit and Sinus/Nasopharynx*


 MaxillaryEthmoidNasopharynx and NoseDiffuseTotal No. of Histologic Types
Squamous cell5(25)†23237
Transitional 2(3)1(1) 7
Adenoid cystic3(3)   6
Adenocarcinoma1(3)(1)1 6
Mucoepidermoid(1)1 13
Basal cell  1 1
Neuroendocrine 1  1
Melanoma 1  1
Total no. of sites41117362

*Combined data from University of British Columbia Orbit Clinic and the Johnson and colleagues series.7
†Data in parentheses are from Johnson LN, Krohel GB, Yeon EB, and Parnes SM: Sinus tumors invading the orbit. Ophthalmology 91:209, 1984.

 

 

TABLE 4. Staging of Maxillary Sinus Cancer


TXPrimary tumor cannot be assessed
T0No evidence of primary tumor
TisCarcinoma in situ
T1Tumor limited to the antral mucosa with no erosion or destruction of bone
T2Tumor with erosion or destruction of the infrastructure, including the hard palate and/or the middle nasal meatus
T3Tumor invades any of the following: skin of cheek, posterior wall of the maxillary sinus, floor or medial wall of orbit, or anterior ethmoid sinus
T4Tumor invades orbital contents and/or any of the following: cribriform plate, posterior ethmoid or sphenoid sinuses, nasopharynx, soft palate, pterygomaxillary or temporal fossae, or base of skull
(American Joint Committee on Cancer: Manual for Staging of Cancer, 4th ed. Philadelphia, JB Lippincott, 1992.)

 

 

TABLE 5. TNM Staging of Nasopharyngeal Carcinoma


TXPrimary tumor (T) cannot be assessed
T0No evidence of T
TisCarcinoma in situ
T1Tumor limited to one subsite of nasopharynx
T2Tumor invades more than one wall of nasopharynx
T3Tumor invades nasal cavity and/or oropharynx
T4Tumor invades skull and/or cranial nerve(s)
NXRegional lymph nodes (N) cannot be assessed
N0No regional lymph node metastasis
N1Metastasis in a single ipsilateral lymph node, <3 cm
N2aMetastasis in a single ipsilateral lymph node, >3 cm and <6 cm
N2bMetastasis in multiple ipsilateral lymph nodes, <6 cm
N2cMetastasis in bilateral or contralateral lymph node(s), <6 cm
N3Metastasis in a lymph node, >6 cm
MXPresence of distant metastasis (M) cannot be assessed
M0No distant metastasis
M1Distant metastasis
Stage I: T1; N0
Stage II: T2; N0
Stage III: T3; N0 and T1 to 3; N1
Stage IV: T4; N0 to 1 and any T; N2 to 3; M1
(American Joint Committee on Cancer: Manual for Staging of Cancer, 4th ed. Philadelphia, JB Lippincott, 1992.)

 

The clinical hallmark of secondary epithelial tumors arising from the nasopharynx and sinuses is nonaxial displacement of the globe associated with infiltration of orbital and paraorbital structures, leading to pain, paresthesia, decreased vision, and reduced extraocular movements. It is the features of chronic and relentless pain, paresthesia, and nonaxial displacement that help to clinically distinguish secondary epithelial malignancies from practically every other tumefaction of the orbit. In our experience, metastatic disease was painful only in approximately 25% of cases, and proptosis was usually axial. In contrast, the secondary malignancies were associated with pain and paresthesia in 60% of cases and nonaxial displacement in 48% (Table 6). Only 3 of the 25 patients (12%) in our series had proptosis without nonaxial displacement. The major nasal symptoms experienced were obstruction or epistaxis. The frequency and severity of ocular and orbital symptoms attest to the relatively silent origin and late stage of presentation reflected by orbital invasion.

 

TABLE 6. Signs and Symptoms of Sinus and Nasopharyngeal Carcinomas, University of British Columbia Orbit Clinic, 1976 - 1985


Symptoms and SignsNo. of Patients*
Ocular and orbital 
 Facial pain and paresthesia15
 Globe displacement15
  Axial proptosis only (3) 
  Nonaxial component (12) 
 Extraocular muscle restriction12
  Subjective diplopia (8) 
 Decreased vision10
 Lid and conjunctival edema10
 Tearing9
 Lid mass3
 Retrobulbar pain1
 Ocular invasion and glaucoma1
 Papilledema1
Total no. of patients with some eye or orbit symptoms/signs20
Nasal, oral, and neck 
 Nasal obstruction7
 Nodes in neck5
 Epistaxis4
 Chronic sinusitis2
 Gum ulcer1
 Vocal cord paralysis1
Total no. of patients with some nasal, oral, or neck symptoms/signs17
Other 
 Headache2

*Total no. of patients participating in study = 25.

 

The site of origin is reflected in the dominant orbital signs. Because the majority of lesions arise within the maxillary sinus, the major clinical signs are upward displacement of the globe, fullness of the lower lid, infraorbital pain or paresthesia, and distortion of the maxilla (Fig. 1). In contrast, lesions arising from the ethmoid complex are characterized by outward and downward displacement of the globe. In all of these instances, inflammatory signs may be suggested by injection, chemosis, and edema; however, tenderness and significant rubor are unusual.

Fig. 1. A 59-year-old woman presented with a 6-month history of left infraorbital pain and dysesthesia. She was found to have maxillary antral squamous cell carcinoma and was treated with radiotherapy. Ten months after radiotherapy, severe left ocular and orbital pain associated with tearing and blurred vision developed. On examination, vision was 20/40 with a fixed, miotic pupil. A firm mass in the floor of the anterior orbit displaced the globe superiorly 5 mm and anteriorly 2 mm. Inferior chemosis, moderate restriction of upgaze, and an intraocular pressure of 30 mmHg (increasing to 40 mmHg on upgaze) were noted. Despite maxillectomy, orbital exenteration, and orbital radiotherapy, the patient had local recurrence and diffuse metastatic disease, and she died 10 months after orbital presentation.

Radiologic findings consist of either focal or widespread destruction of the sinuses, with invasion of the adjacent structures by a solid tumor mass (Fig. 2). The mass is usually large; however, sometimes it may be relatively small but may extend to adjacent structures, particularly in the case of adenoid cystic carcinoma (Fig. 3). The sinus and orbit may be the only structures involved, but there is frequently extension to the base of the skull.

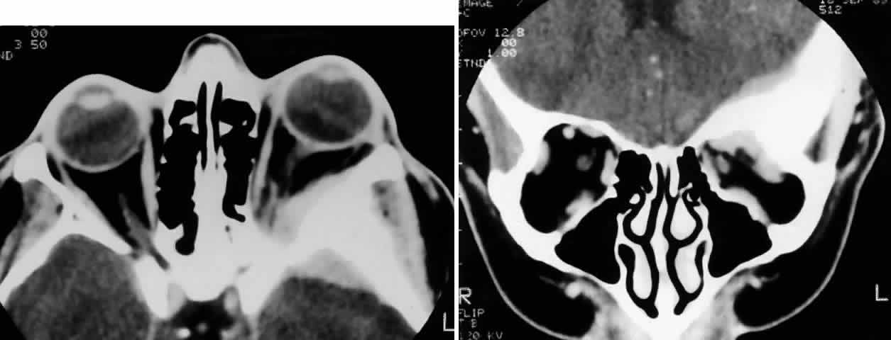
Fig. 2. A 32-year-old woman presented with a 1-month history of sinus congestion and nasal obstruction unresponsive to antibiotics. In the 1 week preceding the initial exam, the right eye became progressively more prominent and showed tearing and redness. On examination, there was mild edema of the lower lid and dysesthesia in the distribution of cranial nerve V2, and the globe was displaced 6 mm laterally and 5 mm anteriorly. There was mild limitation of abduction, chemosis, and nasal choroidal folds. An axial CT scan revealed a diffuse, destructive soft tissue mass centered in the superior nasal passage and ethmoid sinuses extending into the right orbit in contiguity with the medial rectus (A). On enhanced coronal view, the tumor was noted to involve the right maxillary antrum and to extend superiorly into the anterior cranial fossa (B). Biopsy of the sinus (C) revealed an alveolar-type rhabdomyosarcoma (muscle stain, × 320).

Fig. 3. A 73-year-old man presented with a 2-year history of infraorbital numbness and burning sensation, which had progressed to include the supraorbital region, forehead, and lower face during the past 6 months. He had been treated with radiotherapy for prostate carcinoma 7 months before orbital presentation. Examination was significant for proptosis of 2 mm and dysesthesia, including corneal numbness, in all three divisions of cranial nerve V. CT scan revealed a soft tissue mass in the inferior orbit contiguous with the inferior rectus muscle (A). The lesion extended through the infraorbital canal to involve the pterygopalatine fossa and was associated with soft tissue hanging into the upper portion of the maxillary sinus. An axial CT scan-guided aspiration biopsy was performed (B) and revealed squamous cell carcinoma. Groups of cohesive malignant squamous epithelial cells (C) were noted to have pleomorphic nuclei and abundant eosinophilic to orange cytoplasm, with no features of mucinous differentiation (H & E, × 320). (C from White VA, Rootman J: Orbital pathology. In Albert DM, Jakobiec FA (eds): Principles and Practice of Ophthalmology, Vol 4, p 2342. Philadelphia, WB Saunders, 1994.)

Batsakis10 divided epithelial malignancies into two groups: (1) those arising from metaplastic epithelium, including squamous cell carcinoma and “transitional” tumors; and (2) those arising from the mucoserous epithelium, including adenocarcinoma and salivary gland neoplasia (e.g., adenoid cystic carcinoma, mucoepidermoid carcinoma, rare malignant salivary neoplasia). Squamous cell carcinoma is by far the most frequent malignancy of the nose and paranasal sinuses, accounting for up to 80% of cancers in these locations.

Overall, the prognosis has been dismal, with a 5-year survival of approximately 35%.11 Patients with T3 and T4 staging have had survival rates of 31% and 10%, respectively.12 Mortality is largely related to the inability to eradicate local disease. Flores and colleagues,13 reporting on the recent experience at the Cancer Control Agency of British Columbia, emphasized that during the last decade encouraging results have been obtained with a combination of radiotherapy and surgery in the treatment of epithelial malignancies of the sinuses. Their overall crude 5-year survival for all patients was 46%; a combined treatment consisting of irradiation and surgery in selected patients generated a 5-year survival rate of 74%, as compared with 42% in patients receiving irradiation alone. They emphasized that the important factors in management consist of accurate surgical pathologic staging, a combination of a full course of curative irradiation (60 Gy in 25 treatments over 5 weeks or 50 to 55 Gy in 15 treatments in 3 weeks), and radical surgical resection as the treatment of choice for most paranasal sinus malignancies. In addition, patients with regional nodal disease but without distant metastases are potentially curable and should be treated aggressively. This individualized treatment based on a realistic knowledge of the exact extent of the disease has produced encouraging results in the management of these malignancies.

Tumors Arising from Metaplastic Epithelium

SQUAMOUS CELL CARCINOMAS.Squamous cell carcinomas of the paranasal sinuses do not declare themselves clinically until they have breached their sinus of origin in more than 90% of instances.14 Up to 80% arise within the maxillary sinus, with the ethmoids being the next most common site.11 The frontal and sphenoid sinuses are uncommon sites of origin. The signs and symptoms of maxillary tumors are oral (pain in the teeth, trismus, a full alveolus, and palatal erosion), nasal (obstruction, epistaxis, and chronic sinusitis), ocular (tearing, diplopia, displacement, pain, and proptosis), and facial (paresthesia, swollen cheek, pain and facial asymmetry). Tumors arising from the posterior portion of the maxillary sinus have a worse prognosis because of the proximity to the orbit, cribriform plate, and pterygoid region. In fact, 10% to 22% of squamous cell carcinomas have regional lymph node metastases on initial presentation. Progression and ultimate death are usually related to complications of local invasion, but approximately 18% develop distant metastases.11 Histopathologically, the majority of cases consist of moderately well-differentiated keratinizing squamous carcinoma, but they may be anaplastic.

TRANSITIONAL CARCINOMAS. Transitional carcinomas originate from the schneiderian epithelium of the nasal cavity and paranasal sinuses. The majority of lesions of this histopathologic type are benign papillomas characterized by multiple and multifocal occurrence and local recurrence. Histologically, they may be either papillary (exophytic) or inverted. They may occasionally have ciliated or cylindrical cells. Though recurrent, the large majority of schneiderian papillomas remain benign, but a small percentage undergo malignant transformation (7% to 9%),15,16 particularly those of the lateral nasal wall or the inverted type. Thus, transitional carcinomas invading the orbit characteristically arise from the ethmoid sinuses or nasopharynx. Treatment is radical surgery, radiotherapy, or both.

Tumors Arising from the Mucoserous Epithelium

ADENOID CYSTIC CARCINOMAS.Adenoid cystic carcinomas arise in minor salivary glands and most commonly involve the maxillary antrum and lower nasal cavity. Biologically, these are locally aggressive tumors with extensive limits of resection (evident in 75% of cases at presentation)17; they may present as localized masses but are characterized by a course of indolence, recurrence (sometimes extending over very long periods of time), and ultimately death, usually from spread to contiguous structures. The hallmark of this tumor is perineural spread, which accounts for the severe facial pain noted by many patients, usually in the maxillary division of cranial nerve V. The tumor spreads into the pterygopalatine fossa via the infraorbital nerve and from there to the orbital apex18 and cranial fossa.19 The most likely cause of death is relentless and often prolonged local invasion of tumor into the skull base. In addition, 14% of these tumors spread to regional lymph nodes, whereas 40% produce hematogenous metastases.17 Overall, these tumors are seen in a slightly younger age group than are other sinus and nasopharyngeal tumors, and they are associated with less local reaction in the orbit and more indolent mass effect. In Henderson's series of secondary epithelial neoplasms of the orbit, 22 (85%) of 26 patients with adenoid cystic carcinoma of the sinuses had died (mean survival, 7.5 years).20 The general trend in management is toward local, less aggressive surgery and radiotherapy to control local manifestations.

ADENOCARCINOMAS. Adenocarcinomas usually occur higher in the sinuses and nasopharynx, typically in the ethmoids. They are seen in unusually high numbers in woodworkers.7 Their local behavior is similar to that of adenoid cystic carcinoma, but they are less frequently well-differentiated and thus develop more rapidly. Aggressive surgical treatment is employed because these tumors are not significantly radiosensitive.

MELANOMAS. Melanomas rarely occur in the nasopharynx and account for approximately 3.5% of all sinonasal tract neoplasias.21 They tend to occur in the anterior part of the nasal cavity, presenting as bulbous masses with nasal obstruction and epistaxis, and 5-year survival is 17% to 38%.

ESTHESIONEUROBLASTOMAS. Esthesioneuroblastomas are rare tumors of neural crest origin that arise from the sensory olfactory epithelium and can invade the cribriform plate, ethmoid sinuses, and orbit. These tumors have a predilection for the young with a peak incidence in the second to third decades, but they do occur with advanced age as well.22,23 Histologically, they are made up of sheets of small cells with or without rosettes. They are frequently mistaken for other small cell tumors. Ultrastructurally, they have dense core (neurosecretory) granules and neuritic processes. Olfactory rosettes differing from the Homer-Wright type may be seen in those that demonstrate olfactory differentiation; these are lined by pseudostratified columnar cells with central mucin in the lumina. Neuroblastomas have been divided into two groups based on the presence or absence of olfactory differentiation. The latter group may include ganglioneuroblastomatous differentiation (olfactory neurocytoma). Those with olfactory neuroblastomatous differentiation occur in patients with a mean age of 50 years, and the less differentiated neuroblastomatous type occurs in patients with a mean age of 20 years.

In a review of olfactory neuroblastomas by Rakes and co-workers, opthalmic signs or symptoms occurred in 28 (73%) of 38 cases.24 The most commonly reported ocular symptoms were periorbital pain, epiphora, decreased vision and diplopia. Patients presenting primarily with ocular complaints generally have a more advanced tumor stage than those presenting primarily with nasal or non-ocular symptoms. The most commonly detected ocular signs included eyelid edema, proptosis, globe injection, ptosis and cranial nerve palsies, while the most common nonocular signs and symptoms were nasal obstruction, bloody nasal discharge and headache. Henderson reported surgically proven orbital extension in 6 (23%) of 26 new cases of esthesioneuroblastoma registered at the Mayo clinic between 1976 and25

These tumors have been staged according to site of confinement: Group A (nasal cavity), Group B (paranasal sinuses) and Group C (extension beyond the sinuses into the cranium or orbit). Elkon and co-workers have noted 5-year survival rates of 75% (Group A), 68% (Group B) and 28% (Group C).26 In a review of 26 cases, Levine and associates noted a dramatic increase in survival with the advent of aggressive craniofacial surgery and adjunctive radiotherapy and chemotherapy.27 They recommended combined preoperative radiotherapy and craniofacial resection for Group A and B disease, and the addition of preoperative and postoperative antineoplastic agents (vincristine and cyclophosphamide) for Group C disease.

ODONTOGENIC TUMORS. Odontogenic tumors (ameloblastoma, ameloblastic fibrosarcoma, and calcifying epithelial odontogenic tumor) and cysts may rarely involve the orbit.28 Ameloblastomas are locally invasive, benign (2% are malignant)29 epithelial tumors that arise from the mandible in 80% of cases.30 Among the remaining 20% that originate from the maxilla, local growth and extension may lead to orbital involvement. Treatment is accomplished by local resection, after which about one third of tumors may recur. Radiotherapy is palliative, not curative.

NEUROENDOCRINE CARCINOMAS. Neuroendocrine carcinomas are rare epithelial malignancies arising in the nose or paranasal sinuses.

Summary

Epithelial malignancies arising from the nose, nasopharynx, and sinuses are characterized by an infiltrative, nonaxial mass effect with significant neurosensory and motor deficit. They are occult neoplasms, and orbital involvement represents a late presentation with a grim prognosis.

Back to Top
EXTENSION OF INTRACRANIAL TUMORS

MENINGIOMAS

Meningiomas account for 18% of all adult intracranial tumors,31 and they are by far the most common intracranial tumor to extend into the orbit; invasion of the orbit by any other primary tumor is exceedingly rare. Most intracranial meningiomas that affect the orbital or visual structures arise from the dura of the sphenoid bone (i.e., ridge, planum, parasellar region, or optic canal).

The meningothelial cap cells of the arachnoid villi are considered the stem cell of meningiomas. Growth is slow and tends to be in cohesive clusters with or without evidence of encapsulation. When infiltrating soft tissues, the tumors frequently cause reactive desmoplasia. Infiltration of bone can cause hyperostosis, which may make meningiomas difficult to distinguish from primary bone tumors. These tumors tend to displace structures, extend along paths of least resistance through foramina or interstitial spaces, encase structures in dense fibrous connective tissue, or cause compression due to hyperostosis and expansion of bone.

There are a number of histologic patterns of meningioma, including meningotheliomatous, fibrous, transitional, angioblastic, and sarcomatous. The fundamental cell is usually round or polygonal but may be more spindle shaped. Varying admixtures of blood vessels, fibroblasts, and psammoma bodies account for the differing patterns. Although they usually arise as a cohesive mass that develops in continuity, concurrent multiple sites of occurrence and seeding have been described. Angioblastic and sarcomatous meningiomas are more aggressive than the other varieties. Angioblastic meningiomas constitute only 3% of meningeal tumors. They have a tendency to recur, and up to one third are reported to metastasize eventually. Sarcomatous intracranial meningiomas occur in a younger age group (second decade), are more pleomorphic and invasive, and may metastasize outside the central nervous system (CNS).

Intracranial meningiomas occur three times more frequently in women than in men and are generally seen in the fifth decade. Those occurring in young adults may be more aggressive. Multifocal simultaneous lesions may occur, and there is an increased frequency of intracranial and orbital meningiomas in neurofibromatosis.

Meningiomas of the sphenoid wing are prone to extend into the orbit along the lateral wall as an en plaque component (Fig. 4). These desmoplastic, infiltrative lesions generally have some element of hyperostosis. The orbital and visual manifestations reflect the location of the mass, with the more medial tumors causing cranial nerve palsies, visual deficits, and venous obstructive signs and symptoms (e.g., edema, chemosis). More remote tumors are manifested by raised intracranial pressure or mass effect. Tumors of the greater wing of the sphenoid are evidenced by fullness of the temporalis fossa and proptosis, with intracranial symptoms occurring as a late symptom (Fig. 5). Olfactory groove meningiomas present with lost sense of smell, personality changes, papilledema, or apical orbital infiltration or compression.

Fig. 4. A 36-year-old white woman presented with a 3-month history of progressive left proptosis associated with a retrobulbar pressure sensation. On external examination, she had bossing of the temporalis fossa and a proptosis of 9 mm axially, with a slight downward displacement of the globe. Ocular ductions were full, and there was no evidence of optic nerve compromise. CT scan on axial (A) and coronal (B) views confirmed a hyperostosing sphenoid wing meningioma with soft tissue components in the posterolateral orbit and anterior middle cranial fossa. During the next 20 months, her proptosis progressed to 11 mm, accompanied by increasing headaches and ocular pain, ocular restriction, and blurred vision in abduction. She underwent tumor resection with a combined frontotemporal orbitozygomatic approach, and she remains without evidence of recurrence 5 years after surgery. Visual function was preserved, and proptosis decreased to 2 mm.

Fig. 5. A 48-year-old Chinese woman had undergone previous frontotemporal craniotomy and partial excision of a left sphenoid wing meningioma. She presented 6 years later with progressive proptosis, visual loss, and numbness of the left cheek and upper teeth that developed during the preceding 2 years. On external examination, she had fullness of the temporalis fossa, an axial proptosis of 11 mm, and downward displacement of the left globe 2 mm (A). Ocular ductions were moderately restricted in all fields of gaze. She had no light perception, marked optic disc pallor, and an optociliary shunt vessel. CT scan revealed an extensive regrowth of meningioma involving the sphenoid wing, with soft tissue components in the temporalis and middle cranial fossae, parasellar region, and orbit, shown here on axial view (B). The lesion also involved the cavernous sinus and pterygopalatine fossa. She underwent a combined resection via the frontotemporal orbitozygomatic approach, followed by radiotherapy (50 Gy in 25 fractions over 5 weeks) for residual components in the cavernous and sphenoid sinuses. Two years after surgery, she remains comfortable and without radiographic evidence of tumor regrowth. Proptosis was reduced to 1 mm axially.

A combined frontotemporal orbitozygomatic surgical approach was developed at the University of British Columbia for excision of tumors of the sphenoid wing and orbit.32,33 This approach provides excellent exposure of the orbital apex, anterior and middle cranial bases, upper clivus, petrous apex, and infratemporal and pterygopalatine fossae. Aggressive removal of tumor within the cavernous sinus is no longer advocated. Debulking and adjunctive radiotherapy are preferred to avoid causing disabling cranial nerve palsies. These tumors have a low, slow regrowth and recurrence rate, and the role of postoperative radiotherapy remains unclear. In a recent retrospective study, Peele and colleagues34 reported that postoperative radiation appears to reduce the recurrence rate of these tumors.

CHORDOMAS

Chordomas are rare, relentless, slow-growing, locally malignant midline neoplasms that arise in the dorsum sella and clivus from remnants of the embryonic notochord that grow intracranially or into the nasopharynx. When the tumor originates from the caudal portion of the notochord, it results in a sacral or pelvic mass. Clinical behavior is determined by the rate and direction of growth. The majority extend upward and cause raised intracranial pressure, chiasmal compression, or palsies of the third, fourth, or sixth cranial nerves. They may also extend anteriorly, obstructing the nasal cavity. Orbital and ocular involvement reflects progressive mass effect, which can lead to compression of the optic nerve at the apex and structures within the superior orbital fissure.35,36 With massive midline orbital growth, proptosis and hyperteloric displacement of one or both orbits may occur, whereas growth down the clivus leads to marching cranial nerve palsies.

On a computed tomography (CT) scan, this tumor appears as a nodular, inhomogeneous mass causing both expansile and destructive midline bony changes. Fine osseous trabeculae and calcification may be seen. Pathologically, chordomas are smooth, multilobular, gray-blue or reddish masses with indistinct or infiltrative bony margins. The distinguishing features are the presence of physaliferous cells, which are round to oval and have central nuclei and mucin-filled cytoplasmic vacuoles. The large cells group as nests, cords, and alveoli within a mucin-rich stromal matrix. In the cervical area, a cartilaginous variant of this tumor may be difficult to distinguish from a chondrosarcoma.

Ideal treatment is complete surgical excision, which is rarely achieved because of the tumor's location and indistinct margins. The slow growth is compatible with long survival, particularly when the tumor is anterior, but the general prognosis is poor. Repeated surgical debulking and adjunctive radiotherapy have been advocated.

INTRACRANIAL GLIOBLASTOMA MULTIFORME

Intracranial glioblastoma multiforme is a highly malignant tumor of glial origin. The tumor may enter the orbit by gross destruction of orbital bone,37 by extension through the optic canal and superior orbital fissure along the optic and cranial nerves,38 or by growing through a previous craniotomy site into the scalp and forehead, and then over the superior orbital rim into the anterior orbit.39 Orbital invasion generally occurs with tumor recurrence after previous craniotomy; however, a case of extradural nasal and orbital extension has been reported without previous surgical intervention.40

PITUITARY TUMORS AND CRANIOPHARYNGIOMAS

Pituitary tumors and craniopharyngiomas do not usually invade the orbit. Christmas and colleagues41 reported a single case of pituitary chromophobe adenoma with invasion of the optic nerve in a survey of autopsy results from patients with brain tumors. Cases of orbital invasion have been reported from an invasive pituitary adenoma42 and a malignant prolactinoma.43 A single case of recurrent craniopharyngioma invading the orbit, cavernous sinus, and skull base has been reported.44

PRIMARY NEOPLASIA OF THE CENTRAL NERVOUS SYSTEM

We have seen two cases of primary neoplasia of the CNS extending into the optic nerve.45 One was a medulloblastoma that spread bilaterally along the optic nerves, and another was a dural melanoma of the spinal cord that subsequently presented as a large mass extending into the orbit around the peripheral and optic nerve structures.11 Both were diagnosed by aspiration needle biopsy of the affected nerve sheath.

LEUKEMIC INVOLVEMENT OF THE CENTRAL NERVOUS SYSTEM

Intracranial tumors, either primary or metastatic, may extend by means of the subarachnoid space into the optic nerve sheath and orbit. In particular, leukemia can affect the CNS, and thus the optic nerve and eye, usually in the late and aggressive stages, because of the relative pharmacologic isolation of these sites. Leukemia frequently affects the optic nerve head, but may independently deposit in the arachnoid of the sheath as part of a widespread meningeal process. Kincaid and Green46 found optic nerve involvement in 18% with acute leukemia and 16% with chronic leukemia in a series of 384 autopsies. Treatment may consist of a combination of intrathecal chemotherapy and radiation.

CARCINOMATOUS MENINGIOMATOSIS

Generalized carcinomatous meningiomatosis may also infiltrate the optic nerve. Typically, the patient presents with papillitis, a known history of carcinoma, and negative CT scan findings because of widespread superficial involvement of the meninges without significant mass effect. Little and co-workers47 found no history of malignancy in 14 (48%) of 29 cases of meningeal carcinomatosis. The diagnosis may be more apparent on a gadolinium-enhanced magnetic resonance imaging (MRI) scan and can be confirmed by cytologic examination of the cerebrospinal fluid (CSF). We have encountered three cases of meningiomatosis due to metastatic tumors: two in patients with breast carcinoma and one in a patient with malignant melanoma of the skin. In all instances, the diagnosis was made on the basis of the cytologic results of a CSF tap in the presence of a normal CT scan.

LARGE CELL LYMPHOMA OF THE BRAIN

Large cell lymphoma (reticulum cell sarcoma) of the brain has a specific propensity for ocular involvement, usually as a cryptogenic chronic uveitis and vitritis.

Back to Top
ORBITAL EXTENSION OF EYELID TUMORS
Eyelid tumors accounted for 18 (11%) of 167 secondary orbital invasion in our series. Any of the primary tumors of the skin and ocular adnexa may invade the orbit for the following reasons: (1) late presentation; (2) multiple recurrence following incomplete excision (as is the case with basal cell carcinoma); (3) more rapid and aggressive growth (as in some squamous cell carcinomas); and (4) insidious onset that masquerades as some other condition (as in the case of sebaceous carcinoma). There is a large variety of unusual and rare adnexal tumors that may affect the skin of the lid and rarely invade the orbit, but basal cell, squamous cell, and sebaceous carcinomas represent the most important and common epithelial malignancies of the lid that extend in this fashion.

BASAL CELL CARCINOMA OF THE LID

Basal cell carcinoma is the most common epithelial malignancy of the lid and accounts for more than 80%48,49 of malignant eyelid tumors. In most series, however, its frequency in terms of orbital invasion equals squamous cell carcinoma, which is a reflection of the more aggressive nature of squamous cell carcinoma. The rather indolent and painless course of basal cell carcinoma (median duration about 3 years at presentation) may contribute to late presentation with orbital invasion. Orbital invasion is usually a part of advanced presentation, recurrence, or the morpheic variant.

Basal cell carcinoma generally occurs in the fifth to eighth decades with a male predominance, although approximately 3% of lesions occur in persons less than 35 years of age.50 Overall, approximately 52% are seen in the lower lid, 27% in the inner canthus, 15% in the upper lid, and 6% in the outer canthus.49 Orbital extension is more common with inner canthal lesions because of the anatomic intimacy of bone and lacrimal system, as well as the propensity for surgeons to undertreat lesions in this locale to avoid damaging the lacrimal apparatus. With modern controlled techniques of management, orbital extension from this site is no more frequent than from any other site.

The majority of basal cell carcinomas have a typical clinical picture, starting as pearly, raised nodules that develop central ulceration and characteristically extend radially (Fig. 6). These can ultimately ulcerate and erode through adjacent tissues, producing grotesque local disfigurement, yet they generally do not metastasize.

Fig. 6. A 76-year-old chronic alcoholic man presented with a progressive lesion of the left lower lid, which had been present for 20 years and had ulcerated during the past 2 years. He received 45 Gy of radiotherapy over a 3-week period and had no recurrence of local disease in 11 years. (Rootman J, Ragaz J, Cline R, Lapointe JS: Metastatic and secondary tumors of the orbit. In Rootman JR (ed): Diseases of the Orbit: A Multidisciplinary Approach, pp 405–427. Philadelphia, JB Lippincott, 1988.)

There are a large number of histologic variants, including solid (the majority), adenoid, keratotic, mixed, and sclerosing (morpheiform). It is the sclerosing variety that has a notorious reputation for extension, largely because it has clinically and pathologically indistinct margins. Clinically, the only clue to extension may be a tendency for the overlying skin to appear very thin and slightly telangiectatic, and to have lost its adnexa (i.e., cilia). Histopathologically, these carcinomas consist of minute cords of cells in a dense, fibrous stroma.

Invasion of the orbit usually occurs after incomplete and often multiple excisions. It is heralded by infiltrative features affecting the anterior structures, including restriction of extraocular movements, cicatrization and induration of the lid structures, and fixation to adjacent bone. Henderson has noted that the soft tissues of the lid are frequently involved in a circumferential manner before deep orbital invasion occurs.20

The management of basal cell carcinoma with orbital invasion demands a firm resolve to use radical therapy that incorporates the entire lesion. Wide excision should be controlled by pathologic confirmation of free borders and may require exenteration, bony removal, and even extirpation of dura. Reconstruction may require a craniofacial surgical team. Leshin and Yeats51 reported a success rate of greater than 95% with excision of basal cell carcinoma using Mohs' microscopic surgical technique in a large series. Anscher and Montano52 had equal success with modern radiotherapy techniques, particularly in treating smaller lesions. Avoiding surgery that could be cosmetically disfiguring may be advantageous for persons unwilling to undergo the surgery or who are medically unfit for surgery.

Chemotherapy with cisplatin alone53 or in combination with doxorubicin54 has been used primarily to decrease tumor size before local excision and in conjunction with radiotherapy for patients who refuse or must delay exenteration. Neudorfer and co-workers55 reported that a patient with recurrent invasive basal cell carcinoma of the medial canthus and orbit who was treated with cisplatin and doxorubicin had complete remission during 5 years of follow-up.

SQUAMOUS CELL CARCINOMA OF THE LID

Squamous cell carcinoma is far less common, accounting for 7% to 9% of all malignant eyelid lesions.49,56 The major predisposing factor for the development of this malignancy is sun exposure in fair-skinned persons, but exposure to carcinogenic agents (e.g., arsenic, irradiation, psoralenultraviolet A [PUVA]) as well as genetic predisposition (e.g., xeroderma pigmentosum) are other important factors.

The clinical signs of squamous cell carcinoma (mean, 1 year) develop faster than the signs of basal cell carcinoma, consisting of focal hyperkeratotic lesions that slowly extend and ulcerate. They are more common at the lid margin and in the lower lid versus the upper lid, by a ratio of 1.4:1.56 Rarely, papillary forms may be seen. Orbital extension of squamous cell carcinoma is usually preceded by a history of chronic and repeated recurrence of lesions following treatment or long-term neglect by the patient (Fig. 7). Once the orbit is invaded, the tumor tends to spread along fascia and fatty planes relatively rapidly compared with basal cell carcinoma. Perineural invasion may occur and is associated with pain or ophthalmoplegia (Fig. 8).57–60 Also in contrast to basal cell carcinoma, squamous cell carcinoma is capable of metastasis, usually to the regional preauricular or submandibular lymph nodes. The incidence of regional spread varies from 1% to 21%, but is generally closer to the lower figure. In a review of large series documented in the literature, the overall mortality rate was found to be approximately 15%.56 Management of squamous cell carcinoma of the lid is usually surgical, with care being taken to obtain adequate controlled margins with the use of frozen sections or Mohs' technique. Fitzpatrick and associates61 reported a control rate of 93% with radiotherapy; however, squamous cell carcinoma is thought to be less sensitive to radiotherapy than basal cell carcinoma, so higher doses are usually recommended. For deep orbital invasion, radical therapy is indicated; this may constitute either exenteration or radical radiotherapy, according to the circumstances outlined in the discussion on basal cell carcinoma.

Fig. 7. A 61-year-old chronic alcoholic man presented with a fungating, putrefying, left temporal mass(inset) that extended into the adjacent orbit and flattened the globe, as shown on coronal CT scan. It proved to be a squamous cell carcinoma of the skin associated with cervical and mediastinal adenopathy. He underwent radical local radiotherapy, which led to regression of the local lesion. (Rootman J, Ragaz J, Cline R, Lapointe JS: Metastatic and secondary tumors of the orbit. In Rootman JR (ed): Diseases of the Orbit: A Multidisciplinary Approach, pp 405–427. Philadelphia, JB Lippincott, 1988.)

Fig. 8. A 73-year-old man treated 3 years previously with excision of a squamous cell carcinoma in the left supraorbital region had recurrence of tumor, which was again excised. He developed progressive pain and tingling in the forehead, vertical diplopia, and finally general malaise lasting 18 months, ultimately requiring hospitalization. He was treated with corticosteroids for presumed Tolosa-Hunt syndrome, showed minimal improvement, and was discharged. Over a 2-month period, he developed decreased vision, ptosis, and bulging of the eye. On presentation he had vision of 20/80 with a relative afferent pupillary defect. There was hypesthesia in the distribution of cranial nerve V1 and hyperesthesia in V2. He had a palpable fixed cord in the forehead in the distribution of the supraorbital nerve, complete ptosis, ophthalmoplegia, and 7 mm of proptosis (A). CT scan showed local infiltration along the supraorbital nerve (B, arrow), with extension of a soft tissue mass along the orbital roof to the orbital apex (C), through a widened superior orbital fissure, and into the cavernous sinus (D). An orbital biopsy revealed cords of squamous cells (E) (H & E, × 80) and evidence of infiltration inside a small branch nerve sheath (F) (H & E, × 80). A single fraction of 10 Gy was given as palliative treatment for pain control.

SEBACEOUS CARCINOMA OF THE OCULAR ADNEXA

Sebaceous carcinoma represents 1% to 5% of all eyelid malignancies62 and occurs more commonly than sebaceous carcinomas elsewhere in the body. It is interesting to note that of epithelial malignancies invading the orbit from the eyelid, about one third are sebaceous carcinomas. These carcinomas seem to be more prevalent in Asian populations.63 The upper lid is the usual site of involvement, occurring in approximately 67% of cases; approximately 20% of cases involve the lower lids or are diffuse, and a small percentage involve the caruncle.62 It is characteristically a lesion of the elderly (maximum occurrence in the seventh decade) and has a slight female predominance.

Sebaceous carcinoma has achieved a notorious reputation because it can be difficult to diagnose correctly in the early stages. Clinically, the tumor may masquerade as a chronic chalazion, blepharoconjunctivitis, basal cell carcinoma, keratoconjunctivitis, or very rarely as a primary orbital tumor. Another cause for confusion has been pathologic misdiagnosis of sebaceous carcinoma, most commonly being mistaken for basal cell carcinoma or squamous cell carcinoma. Increasing awareness of the characteristic presentation, along with earlier and more accurate clinical and pathologic diagnosis, has decreased the mortality associated with this tumor. The blepharoconjunctivitis associated with this lesion is the result of intraepithelial (pagetoid) spread of sebaceous carcinoma. The usual clinical appearance is a thickening of the conjunctiva associated with frank injection in areas of invasion (Fig. 9). A careful biomicroscopic examination reveals yellowish, plaque-like foci within the affected epithelium.

Fig. 9. A 79-year-old man had been treated for several years for chronic blepharoconjunctivitis. On examination, he had thickening of upper and lower lid margins, diffuse symblepharon, conjunctival thickening, injection, and yellowish plaque-like foci (A). Conjunctival biopsy confirmed invasive sebaceous cell carcinoma, and subtotal exenteration was performed. Tumor invasion along the globe (B) (H & E, × 32) and into muscle (C) (H & E, × 80) was noted.

The incidence of orbital extension varies from 6% to 35% in large series64–66 and is associated with a 70% mortality rate. These tumors have a propensity to spread to the lymphatic system and subsequently to the lung, liver, brain, or skull. Those that extend into the orbit have approximately a 70% association with preauricular, cervical, or submaxillary adenopathy compared with an overall incidence of approximately 19% for all sebaceous gland carcinomas of the lid and adnexa.

The pathologic diagnosis is based on evidence of sebaceous origin. These carcinomas are usually lobular or consist of cords of cells with a varying degree of sebaceous differentiation and infiltration. The degree of differentiation tends to progress from the periphery toward the center of lobules, mimicking the normal pattern of sebaceous glands. Cells that are differentiated have a foamy or vacuolated, slightly basophilic cytoplasm. In contrast, the less differentiated tumors have cells that are more deeply basophilic and anaplastic, and they display more mitotic figures. The peripheral location of the basophilic, less vacuolated cells produces a pattern similar to basal cell carcinoma, but the cells are more anaplastic. Sebaceous carcinomas have a propensity toward pagetoid spread, invading the basal layers of skin and mucous membranes in a radial fashion. These tumors characteristically contain fat; thus, frozen sections and fat stains are useful in diagnosis and at the time of controlled resection.

The overall 5-year mortality rate for sebaceous carcinoma of the lids is approximately 15%.62 According to Rao and colleagues,67 the clinical and pathologic features associated with a bad prognosis are as follows: vascular or lymphatic invasion, upper and lower lid involvement, orbital invasion, poor differentiation, pagetoid invasion, and tumors larger than 10 mm.

Sebaceous carcinoma of the lid is best managed surgically.68 Doxanas and Green66 emphasized the improvement in mortality afforded by early recognition and wide excision with frozen-section control. Although microscopically controlled excision may be attempted in instances of orbital invasion, this circumstance usually necessitates exenteration. The frequent association with lymphatic spread indicates a need to assess spread, obtain histologic proof of involvement, and carry out radical resection of parotid, submaxillary, and cervical nodes. Several reports on radiotherapy indicate that when given in adequate doses (generally more than 45 Gy), this tumor can be treated in patients who refuse to undergo excision or who have contraindications to surgery.69,70 In addition, radiotherapy is a useful palliative modality.

MALIGNANT MELANOMA OF THE SKIN

Malignant melanoma arising from the skin of the lid is exceedingly rare, constituting 1% of all malignant eyelid lesions and less than 1% of secondary orbital tumors. At the UCLA Medical Center from 1955 through 1990, only 8 (0.19%) of 4301 cutaneous melanomas involved the eyelids.71 We encountered only one melanoma arising from the skin of the lid that led to orbital invasion and required exenteration. Comparatively, conjunctival melanoma is a more common precursor of orbital invasion, perhaps because of later recognition and contiguity. Despite their rarity, melanomas of the skin are important to recognize and understand because of their potentially lethal nature.

Clark and colleagues72–75 are primarily responsible for the classification and framework of our understanding of the biologic behavior of cutaneous melanomas. Most melanomas arise de novo but some are thought to develop in relationship to preexistent moles. There are three recognizable precursor lesions. The most important in terms of the lid is lentigo maligna (Hutchinson's melanotic freckle), followed by dysplastic nevus (B-K mole) syndrome and giant nevocytic nevi. Giant nevocytic nevi are childhood lesions that rarely occur in the scalp and are readily recognized. The dysplastic nevus may occur either as an autosomal-dominant76 or sporadic77 trait. It is first seen in childhood and then progresses throughout life. These patients are at high risk for developing cutaneous melanomas. The major features that differentiate these nevi from other nevi are their multiple early occurrence, large size (generally over 5 mm to 10 mm), and flat, irregular surface with haphazard pigmentation.

Melanomas are thought to undergo two phases of growth: a radial intraepidermal pattern, followed by vertical downward growth into the deeper layers of the skin. Nodular melanomas are the exception to this biphasic growth pattern, since they have no clinically discernible radial growth phase. Cutaneous melanomas have been divided into four different types based on patterns of clinical development and histopathology: superficial spreading melanoma (70%), lentigo maligna (5%), acral lentiginous melanoma and others (9%), and nodular melanoma (de novo, 16%).

Superficial spreading melanoma can occur anywhere but is more common in the areas of the body exposed to intermittent and sudden bursts of sun, such as the lower legs of women and the chest and back of men. These appear as raised nodules, 2 to 3 cm in diameter, with bizarre coloration varying from black or brown to rose. Characteristically they have an irregular border. Lentigo maligna usually arises in middle-aged and elderly persons with sun-damaged facial skin. Clinically, they are usually large, irregular, pale brown patches with a fine, peppered distribution of increased pigmentation. The lesions usually have a long history of radial extension, which may wax and wane. It is believed that approximately 25% to 30% undergo malignant transformation, which is heralded by the development of nodular, elevated black or brown areas. Acral lentiginous melanoma occurs primarily in the distal extremities or mucosal surfaces, particularly vaginal mucosa. Nodular melanoma is a relatively rapidly developing focal tumor without clinically perceptible antecedent radial growth. It may be brown to black or amelanotic and can involve exposed areas of skin or mucous membrane. It invades more deeply than the other types of skin melanoma.

The prognosis of melanoma correlates with the depth of penetration and clinical stage. Clark's levels of invasion of malignant melanoma are presented in Table 7. The revised staging system for malignant melanoma is based on the measured depth of invasion (in millimeters), Clark level, and the presence of nodal or distant metastases (Table 8).78 Stage IA primary cutaneous melanomas treated with wide excision are associated with a 95% 10-year survival, whereas distant metastases are common in stage IIB (50% survival) and stage III (60% to 85% survival).79 Other factors indicative of poor prognosis include tumor type (nodular worse than superficial spreading), amelanosis, and lack of inflammation.

 

TABLE 7. Clark Levels of Invasion of Malignant Melanoma


LevelDepth of Penetration
IIn situ (confined to the epidermis)
IIExtends into papillary dermis
IIIExtends to the junction of papillary and reticular dermis
IVExtends into the reticular dermis
VInvades the subcutaneous tissue
(Adapted from Clark WH, From L, Bernardino EA, Mihm MC: The histogenesis and biologic behavior of primary human malignant melanomas of the skin. Cancer Res 29:705, 1969.)

 

 

TABLE 8. Staging System for Malignant Melanoma of the Eyelid


StageCriteriaTNM
IALocalized melanoma < or equal to 0.75 mm and invades the papillary dermis (Clark's Level II)T1N0M0
IBLocalized melanoma 0.76 – 1.5 mm and/or invades to the papillary-reticular dermal interface (Clark's Level III)T2N0M0
IILocalized melanoma 1.5 – 4 mm and/or invades the reticular dermis (Clark's Level IV)T3N0M0
IIIALocalized melanoma >4 mm and/or invades the subcutaneous tissue and/or satellite(s) within 2cm of the primary tumor (Clark's Level V)T4N0M0
IIIBMetastasis < or equal to 3 cm in any regional lymph node(s)any T, N1M0
IIICMetastasis >3 cm in any regional lymph node(s) and/or in-transit metastasis*any T, N2M0
IVDistant metastasisany T, any N, M1

*In-transit metastasis involves skin or subcutaneous tissue more than 2 cm from the primary tumor, but not beyond the regional lymph nodes.
(American Joint Committee on Cancer: Manual for Staging of Cancer, 4th ed. Philadelphia, JB Lippincott, 1992.)

 

With increasing awareness of epidemiologic factors (e.g., ultraviolet light, fair skin, hair color) and the nature of melanoma types and premelanotic lesions, the emphasis of management is shifting to prevention and early identification.80 Because melanomas have a propensity to regional nodal and widespread systemic metastases, treatment is accomplished with wide local excision with or without nodal resection or systemic chemotherapy. The role of node dissection is controversial,81 and chemotherapy remains palliative.79

OTHER ADNEXAL TUMORS

Merkel cell carcinoma is a relatively uncommon eyelid neoplasm. Overall, 50% of these tumors occur in the head and neck region and 10% in the eyelid or periocular region.82 Merkel cell carcinoma generally occurs near the lid margin as a bulging reddish lesion with overlying telangiectatic vessels in the elderly (sixth to seventh decades). The tumor may mimic lymphoma or undifferentiated carcinoma, and the diagnosis can be confirmed by the characteristic immunocytochemical and electron microscopic features. Merkel cell carcinoma is associated with local recurrence and satellite lesions in one third of all cases, regional nodal metastases in two thirds, and distant metastases and death in about one half. Orbital invasion is generally associated with tumor recurrence and may lead to intracranial spread. Because chemotherapy and radiation for distant metastases is only palliative, early aggressive surgical excision with wide margins and postoperative radiotherapy are recommended.

The adnexa may also give rise to rare apocrine and eccrine carcinomas that may invade the orbit.83 This includes the mucinous sweat gland adenocarcinoma, which tends to occur in the elderly and rarely invades the orbit and adjacent structures (there are only five reported cases).84–86 An unusual and exceedingly rare eccrine adenocarcinoma with a tendency for orbital invasion is the infiltrating signet-ring carcinoma. Because of its histiocytoid appearance, metastases from other sites (especially breast) should be ruled out. Finally, apocrine gland carcinomas arise from the gland of Moll. At least one case of orbital invasion by this locally aggressive tumor has been reported.87

Back to Top
SECONDARY TUMORS ARISING FROM THE CONJUNCTIVA
Conjunctival neoplasms accounted for 16 of 176 (10%) secondary orbital neoplasms in our series, consisting of 9 melanomas and 7 squamous cell carcinomas. These two tumors constitute the vast majority of conjunctival neoplasms that invade the orbit.

SQUAMOUS CELL CARCINOMA OF THE CONJUNCTIVA

Squamous cell carcinoma of the conjunctiva usually occurs at the limbus, arising in a preexisting carcinoma in situ, solar keratosis, or epithelial dysplasia.88 It is an indolent lesion seen primarily in men in the sixth and seventh decades and is believed to arise secondary to longstanding actinic exposure or chronic irritation; thus in the tropics it is more often seen in young adults.89 Additional factors that contribute to its more common occurrence in these regions are nutritional disorders, recurrent infection, and racial predilection.

The initial clinical appearance is a whitish, rough, dry, irregular leukoplakic lesion or a telangiectatic, gelatinous, epibulbar mass. In rare instances, these tumors may be papillary, exophytic, or fixed to the underlying sclera. When confined to the conjunctiva, it can masquerade as conjunctivitis.90 The usual course is superficial invasion and slow growth because the majority are welldifferentiated tumors. It can be a locally aggressive tumor and invade intraocularly in less than 10% of cases.91 In about an equal percentage of cases, orbital invasion or nodal metastases may occur. Orbital invasion may be heralded by the development of a mass lesion with fixation of the globe. In addition, because these lesions develop insidiously, patients may present with apparent orbital cellulitis92 or draining fistulas (Fig. 10). Orbital invasion may follow multiple attempts at excision. In underdeveloped countries, higher rates of orbital invasion and metastases have been noted because of late presentation.93 Even with orbital invasion, death from metastases is exceedingly rare.

Fig. 10. A 61-year-old man presented with a chronic draining fistula (arrow) of the left lower lid and medial canthal region. It was associated with limitation of abduction, a palpable mass in the inferomedial orbit, and a papillary reaction of the medial conjunctiva(inset). Coronal CT scan demonstrates an inferomedial infiltrating orbital mass. On biopsy, it proved to be a poorly differentiated squamous cell carcinoma arising from the mucous epithelium of either the conjunctiva or lacrimal sac. The patient refused exenteration and underwent radical radiotherapy (60 Gy in 25 fractions over 5 weeks). Seven years later, he remained free of disease, although the radiated eye is scarred and shrunken. (Rootman J, Ragaz J, Cline R, Lapointe JS: Metastatic and secondary tumors of the orbit. In Rootman JR (ed): Diseases of the Orbit: A Multidisciplinary Approach, pp 405–427. Philadelphia, JB Lippincott, 1988.)

Histologically, the majority are well-differentiated squamous cell carcinomas. The two more aggressive variants, spindle cell carcinoma94 and mucoepidermoid carcinoma,95 have a greater tendency to invade the orbit. A pigmented variant of ocular surface squamous cell carcinoma has been described.96,97

Local lesions of the conjunctiva can be treated adequately with histologically controlled conjunctival resection, with or without superficial sclerectomy.98 In addition, local cryotherapy is useful adjunctively in the management of these lesions.99 Recurrence rates after excision average 30%, but may be as low as 5% if free surgical margins are obtained.100 Local excision combined with brachytherapy has also been proposed in selected cases.101,102 Massive conjunctivectomy may be necessary for more rapidly developing and diffuse lesions, whereas orbital extension is managed with exenteration. Evidence of regional nodal involvement should be managed with radical node dissection. Radical radiotherapy may be considered for the elderly or for extensive lesions.

MALIGNANT MELANOMA OF THE CONJUNCTIVA

Primary malignant melanoma of the conjunctiva is much less common than intraocular or skin melanomas. In Sweden, only two new cases of primary malignant melanoma of the conjunctiva were diagnosed in 1987, whereas 70 patients with uveal melanomas and 1243 with skin melanomas presented in the same year.103 In Henderson's series,104 orbital extension from intraocular melanomas outnumbered orbital extension from conjunctival melanomas by a ratio of 23:4; however, in our series, the reverse was true by a ratio of 5:9.

Theoretically, conjunctival melanomas may arise in primary acquired melanosis, from preexistent nevi, or as de novo lesions. It may be difficult to ascertain the precursor lesion in many instances. Reese105 estimated that approximately 50% arise in primary acquired melanosis, 25% from nevi, and 25% as de novo lesions. In other large series, similar findings have been reported,106,107 although Folberg and co-workers108 suggested that primary acquired melanosis was present in 75% of cases.

Primary acquired melanosis is typically a lesion of middle-aged whites and, along with malignant melanomas, are extremely rare in the younger population. In fact, McDonnell and colleagues109 found most conjunctival melanocytic lesions in patients less than age 20 to be nevi (92%), with infrequent occurrences of racial or primary acquired melanosis (4%) or malignant melanoma (4%). The natural history of primary acquired melanosis begins with the development of superficial epithelial pigmentation, with a characteristic peppered distribution of variegated pigment. These lesions can evolve over many years, extending in a radial fashion over larger areas of conjunctiva and skin. In addition, they may wax and wane over time. Ultimately, nodular melanomas may arise within primary acquired melanosis lesions, proceeding to invade deeper tissues and metastasize (Fig. 11). Biopsy of primary acquired melanosis lesions may help to predict the ones that are prone to progression. Folberg and associates110 found that primary acquired melanosis with cytologically atypical melanocytes progresses to melanoma in 46% of cases, whereas primary acquired melanosis without atypia does not progress to melanoma.

Fig. 11. A 61-year-old white man noted a pigment spot in the medial canthal area of his left eye associated with intermittent subconjunctival hemorrhages lasting 6 months. On examination, there was a raised, pigmented lesion in the lower medial conjunctiva (A) measuring 20 mm across the base, with a central, pale, telangiectatic nodule 6 mm thick noted on lateral gaze (B). There was extension into the upper medial fornix and laterally in the lower fornix. There was no evidence of preauricular, submandibular, or cervical lymphadenopathy. A clinical diagnosis of conjunctival melanoma arising in primary acquired melanosis (PAM) was made. Conjunctival biopsy revealed invasive melanoma (C and D) (H & E, × 80 and × 200, respectively) arising within PAM type IB (E) (H & E, × 200). A total exenteration and split-thickness skin graft from the anterior thigh were performed, and the patient was disease-free at 6 months' follow-up.

Malignant melanomas arising from nevi usually appear as a change in known pigmented lesions of the conjunctiva, but it may be impossible to establish a clear clinical history of a preexisting history of nevus. At the time of excision of a melanoma, however, nevoid rests are seen histologically in about one third of cases and are noted in about one quarter of melanomas in primary acquired melanosis. Development of a melanoma from a nevus may be heralded by increasing nodularity, variegated pigmentation, bleeding, or inflammation.

Melanomas arising de novo in conjunctiva parallel the so-called nodular melanoma of skin in that a clinically and histologically recognizable radial growth phase is not noted. Epibulbar melanomas arising de novo can be ulcerative, amelanotic, papillary, or fungating. It is important to be aware of the possibility of satellite lesions in the conjunctiva and local lymphatic spread, which should be sought carefully on a prospective basis.

In a recent clinicopathologic study of 256 cases of conjunctival melanoma, Paridaens and colleagues111 found 5- and 10-year survival rates of 83% and 69%, respectively. The following prognostic factors associated with a higher mortality are listed in increasing order of mortality risk111:

  Two-fold risk: Tumors in unfavorable locations (e.g., palpebral conjunctiva, fornices, plica, caruncle, lid margins)
  Three-fold risk: Mixed cell types compared with pure spindle cell types
  Four-fold risk: Histologic evidence of lymphatic invasion; initial thickness greater than 4 mm for tumors in unfavorable locations only (Fig. 12)
  Five-fold risk: Multifocal tumors in patients with lesions in favorable (epibulbar) locations only

Fig. 12. An 81-year-old white woman had been aware of a pigmented lesion in the left caruncular region for 18 months. It had gradually increased in size and had bled on several occasions. In addition, she was aware of a lump on the left side of her neck for 6 weeks. On examination, a large, nodular, pigmented medial conjunctival lesion associated with thickening and induration of the tarsal conjunctiva was noted, as was a nodular satellite lesion in the temporal aspect of the inferior fornix due to local lymphatic spread (A). There was lateral displacement of the globe and some limitation of abduction. Axial CT scan demonstrates the irregularly shaped mass in the anterior orbit involving the insertion of the medial rectus muscle (B). The patient refused exenteration and underwent local resection, cryotherapy, mucous membrane graft, and radical neck dissection. Of 31 neck nodes removed, 2 were positive for metastatic disease. Nodular recurrence developed in her left jaw, and the patient died 1 year after presentation without evidence of local ocular recurrence. (Rootman J, Ragaz J, Cline R, Lapointe JS: Metastatic and secondary tumors of the orbit. In Rootman JR (ed): Diseases of the Orbit: A Multidisciplinary Approach, pp 405–427. Philadelphia, JB Lippincott, 1988.)

Understanding of the clinicopathologic characteristics of premalignant and malignant melanocytic lesions of the conjunctiva has advanced considerably in recent years.112 This increased recognition along with biopsy and treatment of potentially aggressive lesions should lead to decreased morbidity and mortality. The primary treatment for conjunctival malignant melanoma is wide surgical excision combined with cryotherapy.113 Even extensive conjunctival disease is amenable to removal of the nodular component and repeated local treatment with cryotherapy. Lederman and co-workers106 reviewed a series of 184 melanomas of conjunctiva treated with radiotherapy and found that lesion site, macroscopic appearance, and type of lesion bear significantly on the type of treatment and likelihood of response. Limbal tumors arising from nevi respond well, nodular de novo melanomas respond poorly, and widespread malignant acquired melanosis responds less well than localized lesions.

Significant orbital invasion indicates the necessity for exenteration; however, subtotal exenteration can be carried out if there is no evidence of radial extension of the lesion to the skin of the anterior lid. Nodal involvement indicates widespread metastatic disease, but occasionally there have been cases in which lesions were restricted to regional nodes and cured by node resection.

Back to Top
ORBITAL EXTENSION OF OCULAR MALIGNANCIES
Orbital extension of intraocular malignancies accounted for 7 (4%) of 167 secondary orbital neoplasms in our series, consisting of five malignant melanomas, one congenital melanoma, and one retinoblastoma. Certainly the incidence of extraocular extension of intraocular tumors has decreased with the advent of screening programs and improved methods of evaluation and treatment.

EXTRASCLERAL AND ORBITAL EXTENSION OF UVEAL MELANOMA

Uveal melanoma has a number of distinct biologic characteristics that have made it the center of some controversy in recent years. The core of the controversy centers on the role of extirpation (whether by local resection, enucleation, or in the case of extrascleral extension, exenteration) in the management of this tumor. Zimmerman and associates114 summarized the major controversies regarding pathogenesis of spread, including (1) trauma of enucleation, (2) decreased host resistance incurred by removal, and (3) increased virulence concomitant with the appearance of clinical symptoms. These issues have led to more “conservative” management in selected circumstances (including observation, local radiotherapy, and local resection), greater attention to atraumatic enucleation techniques and prospective multicenter studies aimed at ultimately resolving these important issues.

The cumulative mortality rate associated with uveal melanoma after enucleation is 30% at 5 years, 40% at 10 years, and 1% per year thereafter.115 The major negative factors affecting survival are larger intraocular tumor size, the presence of mixed or epithelioid cell type, evidence of extrascleral extension, and mitotic activity.116,117 Melanomas gain access to the orbit by paraemissarial extension and less often by intraemissarial growth. The incidence of orbital recurrence is approximately 3% in patients enucleated for melanoma and increases to 18% when there is histologic evidence of extrascleral extension at the time of enucleation.118 Factors that increase orbital recurrence rates include larger tumor size; epithelioid, mixed, or necrotic cell types; and nonencapsulated or surgically transected epibulbar tumors.118–120 Transection of the tumor is associated with a 50% orbital recurrence.

Extrascleral extension occurs in 10% to 15% of patients with uveal melanomas118–120 and may present clinically as a visible anterior nodule, as proptosis in patients with known intraocular tumor (Fig. 13), with phthisis and unsuspected tumor, or as a mass in orbital recurrence. Orbital recurrence associated with hepatic metastasis has been described as late as 42 years after primary enucleation.121 Orbital extension may only become evident at the time of surgery; however, the use of ultrasonography and CT scan may lead to increasing preoperative detection of extrascleral nodules.

Fig. 13. A 65-year-old man presented originally with a right retinal detachment and secondary glaucoma due to a large choroidal melanoma. The patient refused enucleation and self-treated instead with herbal medicines and “health foods.” He presented again 6 years later with acute onset of proptosis associated with pain, periocular edema, erythema, and marked restricted ductions (A). CT scan revealed the intraocular tumor, with massive orbital extension and displacement of the globe anteriorly, downward, and laterally (B and C). He underwent lid-splitting exenteration and split-thickness skin graft from the anterior thigh. The gross specimen shows the massive orbital component of melanoma, which had extended from the posterior choroid through emissarial vessels (D). An area of predominantly spindle-shaped melanoma cells with scattered, heavily pigmented macrophages is shown (E) (H & E, × 200). (D and E courtesy of Valerie A. White, MD, Department of Pathology, University of British Columbia, and the Vancouver Hospital and Health Sciences Center.)

The controversy over the management of orbital recurrence parallels that of intraocular melanoma. It does seem that by the time extrascleral and orbital extension is evident, other biologic factors are already in play that dominate the grave mortality rate, which is 73% to 81% in these circumstances.119,122 The role of exenteration has not yet been defined in a prospective controlled study but there is strong retrospective evidence suggesting that exenteration does not afford protection from metastases, except perhaps in cases of frank transection or nonencapsulation at enucleation.122 Shields and colleagues have summarized their current management (Table 9)123 based on the type of extrascleral extension (flat, nodular, vortex vein, or recurrence after enucleation) and the timing of detection (clinical examination, at surgery, or pathologically after enucleation). Essentially, the trend is toward resection only of adjacent tissues when the lesion is nodular, whereas exenteration (which can usually be subtotal) is reserved for instances where there is evidence of tumor transection at the time of enucleation. In these circumstances, exenteration may be only a palliative measure. The role of preoperative and postoperative radiotherapy has not been clearly determined. Orbital recurrence for similar reasons requires exenteration, although low-grade spindle cell tumors may be curable in such circumstances. The biologic factors previously outlined appear to dominate the poor prognosis in orbital melanoma.

 

TABLE 9. Management of Uveal Melanomas with Extrascleral Extension


Type of Extrascleral ExtensionDetected ClinicallyDetected at SurgeryDetected Pathologically After Enucleation
Flat1. Modified enucleation with tenonectomy1. Modified enucleation with tenonectomy1.External irradiation
 2. Plaque radiotherapy2.Plaque radiotherapy2.Immunotherapy
Nodular (small)1. Preoperative orbital radiation followed by modified enucleation with tenonectomy1. Modified enucleation tenonecotmy and postoperative orbital radiotherapyTenonectomy with removal; ball implant followed by orbital radiotherapy
 2. Plaque radiotherapy2. Plaque radiotherapy 
Nodular (large)Preoperative orbital radiation followed by exenterationExenteration followed by orbital radiotherapyExenteration
Vortex vein 1. Vortex vein resection followed by modified enucleation or plaque radiotherapySystemic chemotherapy or immunotherapy
  2. Postoperative chemotherapy or immunotherapy 
Recurrence after enucleationPreoperative orbital radiation followed by exenteration  
(Shields JA, Augsburger JJ, Corwin S et al: The management of uveal melanomas with extrascleral extension. Orbit 5:31, 1986.)

 

ORBITAL EXTENSION OF RETINOBLASTOMA

Retinoblastoma is the most common intraocular tumor of childhood, accounting for 1% of childhood cancer deaths in the United States and 5% of blindness in children. The incidence is 1 in 15,000 to 1 in 20,000 live births.124,125 Overall mortality from retinoblastoma decreased from 95% a century ago to 18% in126 With modern diagnostic and therapeutic advances, the mortality rate from metastatic or recurrent retinoblastoma has been as low as 5%.127 In underdeveloped countries, patients characteristically present with extensive local and widespread disease; thus, mortality rates range between 90% and 100%.128 The most common clinical presentations are leukocoria or strabismus; however, ocular inflammation, hyphema, and glaucoma also occur.

A major biologic characteristic of retinoblastoma, like all other malignancies, is the ability to invade and spread. Most retinoblastomas remain for a long time within the confines of the globe, except perhaps for blood-borne metastases, but the barriers to egress are ultimately penetrated. Depending on the site of the primary lesion, retinoblastoma may spread by means of the choroid to the adjacent orbital structures, by the optic nerve (particularly when the origin is peripapillary) to the CNS, and by the vascular system to distant metastatic sites.

Bruch's membrane initially resists invasion, but is eventually eroded, leading to choroidal growth. Once the tumor cells reach this choroidal network of fine vascular channels, growth appears to accelerate, as evidenced by three clinical features: (1) rapid growth over a period of days or weeks; (2) high elevation on a narrow pedunculated stalk; and (3) a yellow color at the summit, suggesting that the lamina vitrea has been pushed forward ahead of the tumor. Once in the choroid, the tumor spreads diffusely and rapidly in a lateral fashion. Choroidal invasion is more frequent in retinoblastoma than was previously thought, but does not necessarily carry a grim prognosis.129,130 Metastases relate more closely to a critical mass of the tumor within the sponge-like network of choroidal vessels than to the mere presence of cells within the choroid.

As soon as Bruch's membrane is broken, egress from the confines of the globe follows. Routes of retinoblastoma spread from the globe to the surrounding tissues are shown in Fig. 14.131 An enucleated globe has three features that may suggest the possibility of orbital recurrence: (1) spread in continuity to episcleral nodules; (2) periemissarial retinoblastoma not extending to the surface; and (3) significant invasion of the choroid. The loose periemissarial connective tissue provides a natural plane for tumor growth; therefore, massive posterior choroidal involvement has a greater opportunity for access to the many posterior emissaria.

Fig. 14. Orbital extension of retinoblastoma. (Rootman J, Ellsworth RM, Hofbauer J, Kitchen D: Orbital extension of retinoblastoma: A clinicopathological study. Can J Ophthalmol 13:72, 1978.)

Lateral growth from the adventitial coats of the intrascleral emissaria may also lead to lamellar separation of the sclera and ultimately destruction of the ocular coats. Once outside the globe, the orbit provides a rich, loose tissue plane and growth accelerates further, leading to a large orbital mass.

Retinoblastoma may gain direct egress by means of the optic nerve to the CNS (Fig. 15A through H).132 Access to the subarachnoid space occurs by growth along the optic nerve to the site of penetration of the central retinal artery and vein; however, other modes of extension also occur. Although many cases resulted in a death due to invasion of the CNS, the tumors had not invaded much beyond the lamina cribrosa but were noted to occupy the nerve immediately adjacent to the pial lining (see Fig. 15G). Some cases also had evidence of pial erosion and thus direct egress from the nerve into the subarachnoid space (see Fig. 15E and F). The degree of optic nerve extension has been correlated with prognosis133–135 and more recently with mortality rates, as follows: (1) superficial invasion of the optic nerve head, or grade 1 (10%); (2) involvement up to and including the lamina cribrosa, or grade 2 (29%); (3) involvement posterior to the lamina cribrosa, or grade 3 (42%); and (4) involvement to the line of surgical transection, or grade 4 (78%).135

Fig. 15. Invasion of the optic nerve by retinoblastoma. (Rootman J, Hofbauer J, Ellsworth M, Kitchen D: Invasion of the optic nerve by retinoblastoma: A clinicopathologic study. Can J Ophthalmol 11:106, 1976.)

A more unusual mode of egress into the CNS is via the posterior ciliary circulation (see Fig. 15C, D, and H). Tumors that involve the peripapillary choroid can also reach the subarachnoid space along the radicals of the posterior ciliary vessels that supply the optic nerve head and the piaarachnoid of the distal optic nerve. Another unusual route of spread into the optic nerve is by means of the orbit into the subarachnoid space. Once in the CSF, the tumor circulates and sets up malignant rests even in the opposite optic nerve sheath.

Awareness of the significance of optic nerve invasion led to the development of adequate techniques of enucleation and improvement in survival in the last century. Although invasion up to but not beyond the lamina cribrosa has relatively little prognostic significance, invasion to the line of transection carries a poor prognosis and suggests the need for cytopathologic examination of the CSF and possibly additional therapy. Tumor extending beyond the lamina cribrosa, but not to the line of transection, may also carry a poor prognosis if it extends to the pia-arachnoid and indicates a need for cytologic study of the CSF.

Retinoblastoma has widespread metastatic potential in addition to its capacity for local invasion. Tumor-related death occurs solely from CNS involvement in 29% to 75% (average, 46%) and from distant metastases in 25% to 71% (average, 54%).130,136–138 The combined potentials of orbital, intracranial, and systemic spread determines the form of therapy after primary enucleation. Spread from the orbit may reach regional lymph nodes, and autopsy studies have revealed both regional and widespread involvement in 33% to 47% of cases. The sites of hematogenous spread are bone (especially the long bones and skull) and viscera (most often the liver, but also the pancreas, kidney, spleen, testes, ovaries, and uterus).

Management after enucleation for retinoblastoma is based on the presence or likelihood of extraocular spread as determined by pathologic examination of the globe. Therapy consists of adjuvant combined chemotherapy with local orbital and CNS irradiation if CNS spread is confirmed. The pathologic criteria that suggest orbital or systemic spread and indicate treatment of the orbit as well as systemic chemotherapy are extrabulbar retinoblastoma, orbital recurrence, and massive (particularly posterior) choroidal extension with periemissarial invasion.

There are three pathologic criteria that suggest a need to investigate and treat the CNS: tumor cells in the CSF, extension in the optic nerve to the line of transection, and extension beyond the lamina cribrosa with retinoblastoma adjacent to the pia arachnoid.

Although orbital extension of the tumor has been associated previously with a mortality of 67% to 100%,130 modern chemotherapeutic and radiotherapeutic techniques are now producing better results. Orbital recurrences of retinoblastoma are managed by an aggressive chemotherapeutic and radiotherapeutic regimen directed toward systemic and CNS spread.

ORBITAL EXTENSION OF NEUROEPITHELIAL TUMORS OF THE CILIARY BODY

The neuroepithelial tumors of the ciliary body can be divided into congenital and acquired tumors, either of which may be benign or malignant (Table 10).139

 

TABLE 10. Classification of Neuroepithelial Tumors of the Ciliary Body

  1. Congenital
    1. Glioneuroma
    2. Medulloepithelioma
      1. Benign
      2. Malignant

    3. Teratoid medulloepithelioma
      1. Benign
      2. Malignant


  2. Acquired
    1. Nonpigmented
      1. Benign
        1. Pseudoadenomatous hyperplasia
        2. Adenoma
          1. Solid
          2. Papillary
          3. Pleomorphic


      2. Malignant
        1. Glandular and papillary
        2. Pleomorphic, low-grade
        3. Pleomorphic with hyaline stroma
        4. Anaplastic


    2. Pigmented
      1. Benign
        1. Adenoma
        2. Vacuolated adenoma

      2. Malignant
        1. Adenocarcinoma


    3. Mixed pigmented and nonpigmented
      1. Benign
      2. Malignant


(Green WR: Retina. In Spencer WH (ed): Ophthalmic Pathology: An Atlas and Textbook, 3rd ed, Vol 2, p 1246. Philadelphia, WB Saunders, 1985.)

 

Medulloepitheliomas

Medulloepitheliomas are embryonal tumors that arise from the neuroepithelium in the ciliary body region in children (mean age = 5 years at diagnosis). More rarely, they occur adjacent to the optic nerve and extend into the nerve substance. Histologically, they are composed of cords of nonpigmented and pigmented cells resembling the optic vesicle or optic cup. They often have areas of undifferentiated cells that resemble retinoblastoma with Homer-Wright and Flexner-Wintersteiner rosettes. The tumor cells can elaborate vitreous-like material. Heteroplastic elements, such as cartilage, brain tissue, and striated muscle, may be noted in the so-called teratoid medulloepitheliomas.140

Medulloepitheliomas may be divided pathologically into benign and malignant variants. In a series of 56 cases, Broughton and Zimmerman141 noted 66% had histologic evidence of malignancy, although they emphasized the characteristic slow growth and locally invasive nature of the tumor. The single most important life-threatening prognostic factor was evidence of extraocular spread. The typical presentations are poor vision, pain, leukocoria, and ciliary body mass in childhood. Of the 56 patients, 8 presented with proptosis or an orbital mass. Of the four patients who died of medulloepithelioma, all had orbital extension; nodal metastases developed in one patient, and the remaining three died because of local extension of the tumor into the intracranial structures. Of the remaining cases of extraocular extension, the major factor in survival appeared to be complete local excision. Tumors occurring in the optic nerve region are more treacherous because they tend to be identified later and because they have easier access to the orbital and intracranial structures.

Treatment is accomplished with wide local excision. Recent advances in imaging may allow for clearer identification of extension and preoperative planning.

ACQUIRED NEUROEPITHELIAL TUMORS OF THE CILIARY BODY

The majority of acquired neuroepithelial tumors are benign hyperplasias or adenomas. Malignant variants, which vary from well-differentiated to pleomorphic tumors, are rare. Most arise in previously traumatized, chronically inflamed eyes. Tumor-related mortality is generally due to contiguous invasion, but widespread metastatic disease may occur. Treatment is accomplished with wide local excision.

Back to Top
EXTENSION FROM THE LACRIMAL SAC
Tumors of the lacrimal sac constitute a small number but wide variety of lesions that may invade the orbit. Less than 300 such lesions are reported in the literature. They are best viewed within the context of mass lesions of the medial and inferomedial orbit, the large majority of which are secondary to sinus disease and have been discussed earlier. Neoplasia of the lacrimal sac must be differentiated from all other tumefactions in this location, including acute and chronic inflammations. Inflammatory lesions, including granulomas and nonspecific inflammation, account for approximately 25% of lacrimal sac tumors in some series.1 The remaining tumors are true neoplasms, of which 55% are malignant.142

Stefanyszyn and co-workers143 recently reported on 115 cases of lacrimal sac tumors from the Armed Forces Institute of Pathology (AFIP) and combined their data with other large series.142,144–148 Primary epithelial neoplasms accounted for 73% of all lacrimal sac tumors (73% of these were malignant) and mesenchymal tumors accounted for 14% (62% of these were malignant). Lymphomas (8%), malignant melanomas (4%), and neural tumors (1%) were also noted.

The general clinical progression of epiphora followed by simulated dacryocystitis, nonreducible swelling, and eventual tumor extension outside the sac was recognized by Jones.149 The benign lesions have a tendency toward slower growth, obstructive symptoms, and recurrent dacryocystitis that may mimic inflammation of the lacrimal sac. The malignancies may initially present similarly; however, the infiltrative nature of tumors in a higher risk category will eventually dominate the clinical picture (Fig. 16). Features suggestive of malignancy include a mass extending above the medial canthal ligament, telangiectasis or ulceration of the overlying skin, serosanguineous discharge or bloody reflux after irrigation, local invasion of the adjacent bone and orbit with occasional pain, restricted extraocular movements, nonaxial proptosis, and an overall relentless progressive course. Dacryocystogram may be helpful in the diagnosis of suspected lacrimal sac tumors.146,150,151 Findings suggestive of neoplasia include a distended lacrimal sac with a mottled density or filling defect, and delayed emptying.

Fig. 16. A 63-year-old man presented with a 6-month history of left inferomedial canthal swelling, epiphora, and recurrent ectropion (history of ectropion repair 4 years prior). On examination, he had a visible mass below the level of the medial canthal ligament associated with medial ectropion, local conjunctival injection, and minimal decreased abduction (A). CT scan with contrast revealed a mass lesion in the region of the lacrimal sac on axial (B) and coronal (C) views, with no evidence of bony erosion or infiltration into the nose or paranasal sinuses. Biopsy revealed a low-grade transitional carcinoma of the lacrimal sac (D) (H & E, × 200). He underwent radiotherapy with 52.5 Gy in 15 fractions over 3 weeks with regression of the tumor and no evidence of recurrence in 7 years of follow-up. He remains with good visual function and persistent epiphora due to punctal stenosis, atrophy of the lacrimal drainage system, scarring, and contracture of the medial lower lid with persistent ectropion. He has refused to undergo conjunctival dacryocystorhinostomy or excision of scar tissue with skin graft.

EPITHELIAL TUMORS

Ryan and Font150 divided the epithelial malignancies into papillomas and de novo tumors. The papillomas display three growth patterns: exophytic, inverted, and mixed types. Additionally, they can be subdivided histologically into squamous, transitional, and mixed cell papillomas. The exophytic papillomas tend toward multiple occurrences that affect the whole of the epithelium of the nasolacrimal system, particularly when they are of the transitional cell type. The inverted papillomas are more prone to developing focally invasive carcinoma, usually of a low-grade variety. Mixed papilloma have mixed clinical and histopathologic features of exophytic and inverted types. In the AFIP series,143 papillomas occurred in persons aged 9 to 88 years (mean, 44 years). Stefanyszyn and co-workers also reported that 6 (14%) of 44 papillomas developed into carcinoma or had foci of carcinoma. De novo carcinomas have been divided into papillary and nonpapillary types on the basis of their gross pattern of involvement.150 In the AFIP series,143 carcinomas occurred in persons ranging in age from 16 to 89 years (range, 59 years). De novo carcinomas may include squamous cell, transitional cell, adenoid cystic, mucoepidermoid, and poorly differentiated carcinomas as well as adenocarcinomas; however, the majority are squamous cell carcinomas. Other less commonly reported epithelial lesions of the lacrimal sac include oncocytomas, which tend to be noninvasive, and benign mixed tumors.

Management should be based on histopathologic type and degree of extension.152 The papillomas, particularly when focal invasion is demonstrated, should be treated with total excision of the lacrimal system, followed by careful observation for any evidence of recurrence in the nose. More aggressive carcinomas should be treated with wide local excision, including the bone of the nasolacrimal system, the adjacent orbit, and the sinus wall. Postoperative radiotherapy is advocated for more aggressive lesions, and significant orbital involvement is an indication for exenteration. In our experience, both transitional cell carcinoma and squamous cell carcinoma of the lacrimal sac with orbital invasion have also been responsive to radical local radiotherapy alone (see Fig. 16).

NONEPITHELIAL TUMORS

Nonepithelial tumors include mesenchymal lesions (fibrous histiocytoma, hemangiopericytoma, and lipoma), lymphomas, malignant melanomas, granulocytic sarcoma, and neural tumors (neurilemmoma and neurofibroma).143,153 Locally aggressive lesions such as fibrous histiocytomas should be widely excised and carefully followed, whereas malignant lesions should be treated with wide local excision, with or without radiotherapy. Lymphomas should be treated with radiotherapy and/or chemotherapy, depending on the systemic status of the patient. Malignant melanomas of the lacrimal sac share the grim prognosis of other malignant melanomas of mucosal surfaces because of the lack of early detection.153,154

Back to Top
SUMMARY
Secondary tumors of the orbit are a diverse group whose clinical behavior reflects both the anatomic site of origin and the underlying tumor biology. Sinus and nasopharyngeal tumors commonly extend into the orbit and generally present with nonaxial displacement of the globe in association with pain and infiltrative features. Sphenoid wing meningiomas, the most common secondary orbital tumors arising intracranially, are slow-growing, compressive lesions. Their hallmark is proptosis (axial, downward, and medial globe displacement) with or without optic or cranial neuropathies, depending on whether the optic canal, superior orbital fissure, or cavernous sinus are involved.

Basal cell carcinoma is by far the most common epithelial eyelid malignancy; however, the frequency of orbital invasion is roughly equivalent to that for squamous cell carcinoma (which may be more invasive) and sebaceous cell carcinoma (in which diagnosis is often delayed). The majority of conjunctival squamous cell carcinomas and malignant melanomas arise from precursor lesions, and early invasion may be clinically silent. The incidence of orbital extension of ocular tumors has declined, in large part due to screening programs and earlier diagnosis of retinoblastoma, as well as to advanced diagnostic modalities and treatment options for both retinoblastoma and choroidal melanoma. Lacrimal sac tumors are uncommon and may go unrecognized until dacryocystorhinostomy is performed for nasolacrimal duct obstruction.

Recognition of the individual clinical features of these tumors is based on anatomic location and tumor biology. Defining the extent of the lesion and structures involved may require directed imaging studies. Ultimately tissue diagnosis, extent of the lesion, and individual patient characteristics will guide specific therapy in each case. Surgical excision, radiotherapy, or other local modalities in combination may be indicated. The goal of treatment is generally complete eradication of the tumor; however, when this cannot be achieved, preservation of visual function, cosmesis, and comfort direct the interventions.

Back to Top
PART II: TUMORS METASTATIC TO THE ORBIT
Metastatic tumors spread to the orbit via hematogenous dissemination from noncontiguous primary sites. Since orbital metastasis was first reported by Horner155 in 1864, the protean nature of these tumors has been recognized. The diversity of clinical presentations is related to the primary tumor biology and may lead to misdiagnosis or delayed diagnosis. The ophthalmologist can play a significant role in the diagnosis of metastatic cancer by establishing the tissue of origin and providing valuable information regarding hormone receptors, which may guide specific therapy.

Although the prognosis for patients with metastatic cancer remains grim, combined therapy can be palliative and may induce remission and even cure in some patients. In Part II of this chapter, the prevalence, diagnosis, and management of metastatic orbital tumors is discussed, with an emphasis on the syndromes of clinical presentation, specifics of tumor biology, and tumors for which there is currently good treatment. An extensive combined review of the University of British Columbia Orbit Clinic experience with 207 cases of orbital metastases was reported in 1990 by Goldberg and associates.156 The following discussion includes a summary of their article along with updates from more recent work by other authors. The topics of lymphoma and leukemia are intentionally excluded because they have been discussed elsewhere in these volumes.

Back to Top
PREVALENCE
Reports of orbital metastases of systemic cancers have increased dramatically in the past 20 years. This may reflect increased longevity and shifting metastatic patterns, or it may be an artifact of the overall increase in the volume of medical literature. The actual prevalence of orbital metastases is difficult to determine and depends on the population studied.

Godtfredsen157 found ocular metastases in only 6 (0.7%) of 8712 patients with known metastatic disease in a 1944 clinical survey. In 1967, Albert and colleagues158 found that of 213 clinical cases of known metastatic cancer, 10 (4.7%) had orbital or ocular metastases. Clinically occult tumors are undoubtedly missed in clinical surveys, since Bloch and Gartner159 found evidence of ocular and orbital metastases in 12% of cases in a careful histologic survey.

Historically, the ratio of intraocular to orbital metastases has been found to be from 2.3:1 to 8:1 in large histopathologic series.159–161 In a 1987 clinical study using modern orbital diagnostic capabilities, Freedman and Folk162 found a ratio of 1.4:1.

It is also clinically useful to determine the prevalence of orbital metastases among all orbital diseases. Large clinical163–166 and radiographic167,168 orbital series have put the proportion of metastatic tumors at 1.5% to 3.3% of all orbital cases, and a large pathologic series169 found a proportion of 2.5%. In the Mayo Clinic series,170 Henderson found 111 metastatic tumors in 1376 orbital neoplasms (8%). Analysis of the University of British Columbia Orbit Clinic experience from 1976 through 1995 revealed that of 740 orbital neoplasms, 55 (7%) were metastases.

Back to Top
RELATIVE INCIDENCE OF PRIMARY TUMOR TYPES
Orbital metastases are a heterogeneous group of neoplasms, and their clinical behavior reflects the biology of the parent tumor, which can vary substantially from one primary type to the next. Conversely, they do share in common many important clinical characteristics and can profitably be examined as a group.

Combining large series158,161–163,171–174 from the literature gives a relative prevalence of the various primary tumor types that present clinically to the ophthalmologist (Fig. 17). It is apparent that breast, lung, and prostate cancer and melanoma constitute the largest groups of metastatic cancer to the orbit; cases in which the primary tumor could not be identified also represent a significant proportion. These combined clinical and pathologic series do not reflect the true distribution of primary tumors metastatic to the orbit as well as would a large, meticulous autopsy series. For example, metastatic lung cancer, which has a fulminant course and typically metastasizes to the orbit when the patient is already quite ill systemically, will be underrepresented in a clinical series compared with breast cancer, which runs a slower course and is more likely to be present in a patient who is able to ambulate to the ophthalmologist's office. Other tumors with rare orbital metastases have been described: hepatocellular carcinoma,176–178 pleural malignant mesothelioma,179 paravaginal alveolar rhabdomyosarcoma,180 and leiomyosarcoma.181

Fig. 17. Prevalence of various primary types, in combined series. “Other” includes the following: neuroblastoma (1.6%); testicle (1.2%); adrenal, pancreas, and thyroid (0.8% each); bile duct, carcinoid, fibrosarcoma, choroidal melanoma, ovary, parotid, and uterus (0.4% each). (Goldberg RA, Rootman J, Cline RA: Tumors metastatic to the orbit: a changing picture. Surv Ophthalmol 35:1, 1990.)

Back to Top
LOCALIZATION
There does not appear to be a predilection for metastases to the left orbit, as had been suggested previously by several authors.161,182,183 Cumulative data of 228 reported cases from the literature in which laterality was listed revealed no statistically significant difference in involvement of the right versus left sides156: 116 cases (51%) were right-sided, 95 cases (42%) left-sided, and 17 cases (7%) bilateral.

The superior and medial orbit previously has been suggested to be the most common location of orbital metastasis.173,184 Combining data from reported cases regarding quadrantic location, however, Goldberg and colleagues156 discovered the following distribution: lateral 39%, superior 32%, medial 20%, and inferior 12%.

The principal tissue destination of orbital metastases is often difficult to determine with certainty because by the time localizing procedures (e.g., CT scan, autopsy) are performed, the tumor mass has grown to involve bone, muscle, fat, and other orbital tissues. In most cases, however, a reasonable assumption can be made as to the primary tissue destination of orbital metastasis. Goldberg and associates156 found that the overall ratio of tissue destination in a combined series of reported cases showed bone and fat to be more common than muscle by a ratio of 2:2:1. However, different primary tumor types demonstrated distinct preferences for certain tissues. Prostate carcinoma had a strong tendency to metastasize to bone as opposed to fat or muscle; the bone-fat-muscle ratio was found to be 4:1:0. In contrast, breast carcinoma had a tendency to localize in orbital fat and muscle (bone-fat-muscle ratio, 1:3:2). Melanoma had the strongest preference for muscle (bone-fat-muscle ratio, 1:4:4) of all the tumor types.

Diagnosis of metastasis can be quite challenging when tumor enlarges the extraocular muscle discretely without other orbital involvement (Fig. 18).185–189 The differential diagnosis of discrete extraocular muscle enlargement includes Graves' disease, myositis, lymphoma and other primary neoplasms, varix, arteriovenous malformation, carotid cavernous fistula, acromegaly, amyloidosis, trichinosis, and cysticercosis.

Fig. 18. A 46-year-old white woman presented with a 3-month history of progressive horizontal diplopia on left gaze. She had a history of right breast carcinoma and had undergone mastectomy 5 years before the orbital presentation. She was orthophoric in primary gaze, with 1 mm of left enophthalmos; however, the left eye was limited to just 10° of abduction (A). Abduction on the right was also limited to 45°. CT scan revealed enlargement and enhancement of the left medial rectus greater than the right, and of both inferior recti (B and C). Orbital biopsy revealed metastatic adenocarcinoma, and on further examination she was found to have a left breast carcinoma with axillary lymphadenopathy. Routine histopathology (D) demonstrates a poorly differentiated adenocarcinoma with some “Indian file” configuration of tumor cells (H & E, × 320).

Back to Top
TIMING OF METASTASIS: KNOWN VERSUS OCCULT PRIMARY TUMORS
The majority (58%) of metastatic orbital tumors present in patients with known primary tumors; therefore, a history of previous cancer should be specifically pursued in any patient with an undiagnosed orbital tumor. Patients often neglect to disclose a history of known cancer for reasons of denial, embarrassment, forgetfulness, or lack of association. Conversely, in 42% of the combined cases, orbital symptoms and signs preceded the diagnosis of the primary (occult) tumor. This proportion varies greatly among different tumor types, melanoma and breast carcinoma being the most likely and renal and lung carcinoma being the least likely to have a known primary.

Before 1960, occult malignancy was the most common clinical presentation; however, there has been an increasing frequency of patients with a known primary presenting with metastatic tumors to the orbit. In reports since 1980, only 28% of metastatic tumors presented first as orbital masses. Thus, there has been an increasing tendency toward diagnosis of the primary tumor before it presents as an orbital metastasis, which is likely a reflection of increasing clinical awareness and diagnostic acumen regarding primary cancers. However, the fact that systemic metastatic cancer will manifest first as an orbital process in more than one quarter of cases places an important diagnostic burden on the ophthalmologist, who will be the first physician to evaluate these patients. A high suspicion of metastatic disease may help lead to an earlier diagnosis of systemic cancer, which could have profound implications for the patient.

Back to Top
TEMPORAL CHARACTERISTICS
The average survival for all cases was 9.3 months (median actuarial survival, 6.4 months) from the time of presentation to the ophthalmologist, with a trend toward increased survival time in recent reports. In the majority of cases, the primary tumor was diagnosed before the patient presented with an orbital tumor, and the average time of diagnosis of the primary cancer was 31 months before ophthalmologic presentation. As expected, more recent reports are characterized by a longer mean interval from primary tumor diagnosis to ophthalmologic presentation, reflecting increasingly sophisticated methods of diagnosing the primary cancer. These global statistics underemphasize the striking diversity of temporal course among the different types of primary tumors.

Tumors with a drawn-out temporal course (e.g., breast, carcinoid) are typically diagnosed long before the patient presents to the ophthalmologist, and survival after orbital metastasis is also relatively prolonged, often measured in years instead of months. Breast cancer is well known for having a lengthy delay from diagnosis of the primary to the appearance of metastasis (average delay, 3 years).

Another tumor with a drawn-out temporal course is thyroid cancer. In our combined cases, an average of 5 years passed from the time of diagnosis of primary thyroid cancer until the appearance of orbital metastasis (the longest interval among all primary types), and average survival after ophthalmic presentation was 42 months. Thyroid cancer is challenging because of the potential difficulty in accurately diagnosing the primary malignancy. If careful sectioning of the excised thyroid mass is not performed, the area of malignant follicular (or less likely papillary) cells may be overlooked. This may account for cases in which apparently benign tumors have been noted to metastasize.173,190

Melanoma is somewhat intermediate, having an average of almost 2 years between diagnosis of the primary cancer and orbital presentation and a recorded latency of up to 46 years.191 Once metastasis has occurred, however, the disease is rapidly progressive. Tumors with a fulminant course (e.g., lung, gut) are diagnosed shortly before or sometimes after orbital presentation and run a rapidly progressive course with survival typically less than 6 months after ophthalmic presentation. Because these cancers metastasize early, patients may present with orbital findings and systemic wasting before their primary cancer has been diagnosed. Thus, they have become known as “silent” primaries.

Concurrent metastases to other sites were noted clinically in 47% of cases, including 14 cases with concurrent choroidal metastases. In reality, it is probable that few orbital metastases are truly solitary, despite the clinical inability to demonstrate other concurrent metastases. The only exceptions might be in cases of metastatic carcinoid tumor and renal cell carcinoma. Carcinoids arise from neuroendocrine precursor cells in the gut or bronchi and are very slow growing. Survival as long as 20 years after ocular or orbital metastasis has been described.192–194 Clinically, solitary orbital metastases of carcinoid primary may be for practical purposes truly isolated, and this combined with the excellent prognosis for lengthy survival has led many authors to recommend surgical extirpation of isolated carcinoid metastases.172,192,194,195 Patients with renal cell carcinoma may also present with solitary metastases, and isolated metastatic tumors of renal cell carcinoma have been managed surgically in the orbit196 and elsewhere in the body.197,198

Back to Top
SYMPTOMS AND SIGNS
Compared with other types of orbital neoplasia, metastases have a relatively rapid onset of symptoms. The average duration of symptoms until presentation was 3.6 months: metastases from lung and pancreatic cancer and melanoma tended toward a more precipitous onset and earlier presentation, whereas metastases from breast and thyroid cancer were characterized by a longer average duration of symptoms before presentation.

Proptosis and motility disturbances are the most common presenting symptoms and signs (Table 11). Motility disturbance out of proportion to the degree of proptosis can occur and is somewhat characteristic of an orbital metastasis.173 Pain was noted in 23% of cases and may be present early in the course, in contrast to other tumors in which pain is typically a late symptom. The single exception to this is tumors that invade by contiguity, where pain or paresthesia are the most frequent early symptoms. Palpable mass, blepharoptosis, and decreased vision were also common signs and symptoms. Pulsation of the orbit may occur when destruction of orbital bone allows transmission of CSF pulsation. Vascular metastases, particularly of thyroid and renal origin, can demonstrate intrinsic pulsation due to high internal blood flow.173,199–203

 

TABLE 11. Presenting Symptoms and Signs


 No. of Cases (%)*
Reported symptoms1 
 Diplopia81 (38)
 Proptosis76 (35)
 Pain50 (23)
 Decreased vision44 (20)
 Blepharoptosis35 (16)
 Mass28 (13)
Observed signs 
 Proptosis138 (64)
 Motility disturbance125 (58)
 Palpable mass58 (27)
 Blepharoptosis45 (21)
 Decreased vision48 (22)
 Displacement39 (18)
 Chemosis32 (15)
 Enophthalmos22 (10)
 Disc edema17 (8)
 Retinal folds or striae9 (4)
 Paresthesia7 (3)
 Pulsation3 (1.5)

* Percentage of all cases for which signs or symptoms were listed.
(Goldberg RA, Rootman J, Cline RA: Tumors metastatic to the orbit: A changing picture. Surv Ophthalmol 35:1, 1990.)

 

Enophthalmos is a frequently overlooked sign that is seen in 10% of reported cases, of which metastatic breast cancer accounts for approximately 80%. The common mechanism of enophthalmos is contraction of fibroblasts in the diffuse scirrhous orbital tumor leading to posterior traction on the globe.173,204,205 Destruction of the bony walls of the orbit, resulting in a “biologic orbital decompression,” may play a role in some cases.

Although the tabulation of signs and symptoms is helpful, it does not by itself provide a clinical framework with which to evaluate and categorize the diverse group of patients with orbital metastases. Clinical presentations of orbital metastatic disease can be generalized into five basic types and are presented in decreasing order of frequency in Table 12.

 

TABLE 12.Clinical Presentations of Orbital Metastatic Disease


Mass:Primary mass effect, either palpable (anterior) or causing axial or nonaxial displacement of the globe
Infiltrative:Diffuse or localized infiltration of orbital tissues characterized by diplopia, enophthalmos, limitation of eye movements or frozen globe, and a firmorbit (increased resistance to retro-displacement)
Functional:Decrease in cranial nerve function (II, III, IV, V, VI) out of proportion to mass or infiltration
Inflammatory:Acute or subacute onset of inflammatory signs and symptoms, including pain, which may be worse with eye movements, chemosis, injection, erythema, and lid swelling
Silent:No orbital signs or symptoms; discovered serendipitously on CT scan performed for some other reason, or during enucleation or other unrelated orbital surgery

 

Back to Top
ILLUSTRATIVE CASE PRESENTATIONS

CASE 1: MASS PRESENTATION

An 83-year-old white woman reported experiencing occasional swelling of the right eye without pain, numbness, or redness lasting 1 year, and a prominence of the same eye lasting 2 months. Clinical examination revealed 3 mm of proptosis, 2 mm of upward displacement of the globe, and marked restriction of ductions in all fields of gaze (Fig. 19A). CT scan revealed a slightly inhomogeneously contrast-enhancing retrobulbar mass lesion (Fig. 19B) displacing the optic nerve superiorly; it was inseparable from the inferior rectus muscle (Fig. 19C). Needle aspiration biopsy showed a carcinoid tumor (Fig. 19D and E); however, systemic evaluation was negative. The patient refused local therapy and had a minimal increase in proptosis over a 3-year period, after which she died of a bowel obstruction due to a primary carcinoid tumor.

Fig. 19. Case 1: Mass syndrome of presentation. Clinical appearance: proptosis, upward displacement of the globe, and mechanical restriction of ductions (A). CT scan shows an inhomogeneously enhancing retrobulbar mass (B) displacing the optic nerve superiorly and inseparable from the inferior rectus muscle (C). Needle aspiration biopsy showed cohesive groups of tumor cells (D) (H & E, × 320) that stain positively for chromogranin on immunohistochemistry (E) (H & E, × 320), which is consistent with a metastatic carcinoid tumor.

CASE 2: INFILTRATIVE PRESENTATION

A 73-year-old white woman presented with progressive right enophthalmos associated with diplopia and restricted eye movements lasting 2 years. She was aware of a palpable lump in the right lower lid for several months. Her past history was significant for a partial colectomy for bowel cancer 7 months before presentation. On examination, the orbits were firm to retropulsion bilaterally with a palpable mass in the right lower lid and 3 mm of relative left proptosis (Fig. 20A). She had a narrow interpalpebral fissure on the right and limited extraocular movements in all fields of gaze. CT scan revealed diffuse, contrast-enhancing, abnormal soft tissue within both orbits surrounding the globes (Fig. 20B) and extending posteriorly along the extraocular muscles and optic nerve sheaths. Orbital biopsy was consistent with metastatic adenocarcinoma from the bowel. Two months after orbital radiotherapy, the subdermal lid infiltrates were gone and her upper lid sulci reappeared. Her proptosis was reduced and extraocular movements improved (Fig. 20C).

Fig. 20. Case 2: Infiltrative syndrome of presentation. Clinical appearance: left relative proptosis, diffuse periorbital subdermal infiltration, restricted extraocular movements, and firm orbits (A). Coronal CT scan shows diffuse contrast-enhancing abnormal soft tissue within both orbits surrounding the globes (B), extending posteriorly along the extraocular muscles and optic nerve sheaths. Orbital biopsy was consistent with metastatic adenocarcinoma from the bowel. Two months after orbital radiotherapy, the subdermal lid infiltrates were gone and her upper lid sulci reappeared. Proptosis was reduced, and extraocular movements had improved dramatically (C).

Back to Top
DISCUSSION

SYNDROMES OF PRESENTATION

The syndromes of presentation are rarely pure, but the overall pattern is clear in the majority of cases. In one series,174 a dominant presentation was apparent in 24 (63%) of 38 cases; in the remainder, a main syndrome of presentation could be determined accompanied by one or more secondary syndromes. In a combined review of cases reported in the literature,156 a main syndrome of presentation could be identified in 193 cases (84%).

The mass syndrome of presentation is most common (66%), with globe displacement as the predominant sign; pain, inflammation, and secondary motility disturbance are often present as well. Second in frequency is the infiltrative syndrome of presentation (24%), characterized by restricted motility and enophthalmos. Notably, in cases of metastatic breast carcinoma, particularly scirrhous-type, the infiltrative pattern was most common, with patients tending to present with enophthalmos and motility disturbance. The infiltrative pattern (in relation to enophthalmos) can also be seen in gastrointestinal, prostate, lung, and other primary tumors. Functional and inflammatory syndromes of presentation (5% each) were noted less frequently. Kattah and co-workers206 recently described five patients with metastatic prostate cancer to the optic canal presenting with optic neuropathy.

An interesting syndrome of presentation may be seen with seminoma, which in rare instances can present as a bilateral nonspecific inflammatory or Graves' disease-like orbitopathy.207–209 The etiology of the proptosis is not known; nevertheless, it does not appear to be related to direct orbital metastasis, as demonstrated by autopsy in one case,207 and has shown regression in response to steroids or excision of the primary tumor. An endocrine mechanism has been proposed, and although two of the three reported cases were associated with an elevated serum human chorionic gonadotropin level, no direct link has been established. Direct orbital metastasis of seminoma must be carefully excluded in these cases.210,211

MISDIAGNOSIS: DIAGNOSTIC PITFALLS

Misdiagnosis and lengthy delay in diagnosis are common in metastatic cancer to the orbit for the following reasons: protean clinical manifestations, lack of suspicion on the part of the clinician, and difficulty in obtaining a complete history with regard to previous cancer. The most common misdiagnoses occur in patients presenting with inflammatory syndromes, including cellulitis,174,212 myositis,188 endophthalmitis,213 and idiopathic orbital inflammatory syndrome.172,174,214,215 The clinician does not automatically consider an orbital metastasis in a patient who presents with a “hot” orbit and, indeed, this differential diagnosis properly resides fairly low down on the list. A history of previous cancer should alert the clinician to the possibility of metastasis; however, in some patients the inflamed orbit will be the first sign of cancer and a negative history will be obtained. From a clinical point of view, features that will suggest orbital metastasis are a firm orbit associated with brawny induration and a progressive (usually throughout a period of weeks), unrelenting course dominated by these features along with infiltrative phenomena.

The infiltrative syndrome of presentation has been misdiagnosed as dysthyroid ophthalmopathy216 or idiopathic orbital fibrosis.174 Patients with a functional syndrome of presentation have been misdiagnosed as myasthenia gravis189,217,218 and sixth nerve palsy.174 The remaining misdiagnoses reflect the lengthy differential diagnoses of orbital masses, including lacrimal gland tumor,219–221 mucocele,174 meningioma,222,223 and chocolate cyst.224 Although history, examination, and special diagnostic studies will often narrow the likely possibilities, biopsy is required in the majority of cases for definitive diagnosis of metastatic disease.

DIAGNOSTIC MODALITIES

History and Clinical Examination

Directed history taking, combined with routine ophthalmologic and orbital examination, is the cornerstone of evaluation of patients with orbital metastasis.213 A general physical examination is indispensable in patients with known or suspected metastatic disease. Breast and prostate primaries in adults, for example, and abdominal neuroblastoma in children often can be readily detected on physical examination. The diagnosis of orbital metastasis often can be confirmed by diagnosis of the primary lesion during the initial visit to the ophthalmologist.175

Laboratory Tests

Both nonspecific and specific laboratory tests are available to help in the diagnostic work-up of patients suspected of harboring orbital metastasis. A nonspecific test that can be useful in the differential diagnosis of an orbital mass of suspected metastatic origin is the carcinoembryonic antigen (CEA). The CEA may be elevated in patients with metastatic cancer, and the degree of elevation may relate to total tumor load. Bullock and Yanes171 found that an elevated CEA level was specific for metastasis in their series of 42 patients with proptosis. This test was not very sensitive, however, considering that only 5 of 13 patients with metastatic orbital tumors had CEA levels that were significantly elevated (greater than 5 ng/mL). Therefore a negative test may not rule out metastatic disease.

Specific tests can be useful in tumors that elaborate a measurable substance into the blood stream. Of the tumors that frequently metastasize to the orbit, prostate cancer (producing prostatic acid phosphatase)225 and seminoma (producing human chorionic gonadotropin)207,211 elaborate specific substances that can be measured for diagnosis, staging, or treatment follow-up. Carcinoid tumors may elaborate 5-hydroxyindolacetic acid into the urine, particularly in the presence of hepatic metastases and in association with the carcinoid syndrome (i.e., flushing, diarrhea, lacrimation, conjunctival injection, and other vasomotor instabilities), which usually indicates a significant tumor load.192

A general evaluation for other metastases is important for diagnosing and cancer staging. After a confirmation of the metastases by tissue diagnosis, general evaluation is best accomplished by an oncologist so that a careful, directed investigation based on the nature of the primary lesion is performed.

Computed Tomography

CT is the practical standard for the diagnosis of orbital disease, and metastatic tumors are no exception. It not only allows for localization of the tumor within the orbit, but can also provide important clues regarding tissue characteristics.226,227 The CT findings in metastatic orbital tumors are variable, but they can be simplified into four basic categories, which are presented in Table 13.

 

TABLE 13. Computed Tomographic Findings in Metastatic Orbital Tumors


Mass:Intraorbital discrete solid mass, typically well-defined and mildly contrast-enhancing; may involve or be associated with orbital structures such as bone, muscle, and lacrimal gland; indents rather than invades the globe; calcification very unusual, as is cystic appearance denoting central necrosis (see Fig. 19B and C)
Bone:Primarily bone involvement; may be hyperostotic (osteoblastic) or hypostotic (osteolytic); moth-eaten appearance of bone may be present in either type; large areas of bone destruction may be present; all lesions should be assessed using appropriate bone settings on CT.
Muscle:Enlargement of one or more extraocular muscles; may appear smooth or have nodular, reticulated borders infiltrating adjacent tissues (see Fig. 18B and C)
Diffuse:Diffuse mildly contrast-enhancing involvement of orbital tissues, with blurring of borders and obscuration of normal orbital structures; enophthalmos may be apparent (see Fig. 20B)

 

The most common CT presentation is a mass (58%), followed by bone (25%), muscle (9%), and diffuse involvement (8%). Breast carcinoma favors a mass presentation and muscle involvement, prostate carcinoma strongly tends toward bone involvement, and melanoma has the highest affinity for muscle.

Tumors that metastasize to bone can produce either type of bony response with corresponding hypodense or hyperdense changes on CT. Prostate carcinoma particularly tends to produce a hyperostotic response with increased density and thickness of bone,228 and thyroid metastases commonly cause a hypostotic response.173,202

Magnetic resonance imaging provides similar and in some ways superior anatomic information, including direct sagittal images. Superior soft tissue differentiation of magnetic resonance imaging over CT may substantially augment our diagnostic capabilities.229–231 For example, signal intensity on T2-weighted images is helpful in distinguishing idiopathic orbital inflammatory tumor (low density) from lymphoma or metastasis (high intensity).232 Certainly CT scan is better for evaluating bone involvement.

Needle Biopsy

One of the best orbital applications of needle biopsy is in the setting of suspected metastatic tumors.233 When it is successful, it can save the patient the expense and risk of open biopsy. If an adequate specimen can be obtained, hormone receptor and surface antigen studies for tissue source identification can be performed directly on the tissue fragment recovered from the needle (e.g., in cases of metastatic prostate carcinoma).234,235 In sclerosing lesions, such as scirrhous breast and gut metastases, needle biopsy tends to produce “dry taps” with little or no tissue retrieval.

Pathologic Techniques

The overwhelming majority of metastases are poorly differentiated or “round cell” tumors; thus, diagnosis often requires special histochemical, immunohistochemical, and electron microscopic techniques.236 Furthermore, in the case of hormonally responsive tumors, steroid receptor studies on the biopsy tissue are important from a therapeutic standpoint. If metastasis is being considered in the differential diagnosis, the surgeon should discuss the case with the pathologist in advance and provide an adequate amount of nontraumatized fresh tissue so that the appropriate receptor or immunohistochemical studies can be carried out. The range of typical histologic features, variants, and specific distinguishing features of the common orbital metastasis are outlined in Table 14. The field of immunohistochemistry is rapidly evolving, developing a broader range of specific monoclonal antibodies that identify tissue of origin. Careful, delicate handling and appropriate transmission of an adequate biopsy are critical responsibilities of the ophthalmic surgeon.

 

TABLE 14. Histologic, Histochemical, and Electron Microscopic Features of Orbital Metastases


HistologyDistinguishing Features
Tumor TypeUsualVariantsHistochemicalImmunohistochemicalElectron Microscopic
BreastAdenocarcinomaPapillary; anaplastic; mucinous; histiocytoid (intracytoplasmic lumen, cicatricial); lobular carcinomaMucin, systemic CEA-positive, PAS-positive central “target”Estrogen receptor; breast tumor associated antigens and productsMucus (as evidenced by secretory granules), intracytoplasmic lumina; no features are specific
LungOat cell; may show necrosis with DNA in vessel wall and calcospheritesUndifferentiated oat cell (± carcinoid:carcinoid), squamous carcinoma, adenocarcinoma, mixedMucin (in adenocarcinoma), carcinoid: gremelius-positive (argyrophilic)Neuron-specific enolase (in neuroendocrine oat cell group), serotonin and other specific monoclonals for varying secretory productsElectron-dense secretory granules in carcinoid oat cell group; mucin (in adenocarcinoma); cytoplasmic inclusions
NeuroblastomaRound cell neoplasmOccasionally Wright's rosettes  Neurosecretory granules, neurotubules ± axons
ProstateTubuloalveolar adenocarcinoma, columnarUndifferentiatedWith or without mucin (usually without)Prostate-specific antigen, prostatic acid phosphatase 
GIVaries: adenocarcinoma, columnarAcinar; papillary; mucinous (± mucin); positive signet ringMucin, systemic CEA-positive Columnar, brush border with luminal aspect, terminal cytoplasmic filimentary webs
Kidney: renal carcinoma, hypernephromaClear cell adenocarcinoma (± granular)Mixed, granular, clearLipid: usually present Abundant glycogen with lipid inclusions
MelanomaAmelanotic epithelioid cells With or without fontanaHMB45 S-100 protein - positivePremelanosomes
ThyroidAdenocarcinoma (follicular)Varied types: follicular, papillary, medullary (spindle component) CalcitoninNeurosecretory granules (in medullary)
CarcinoidAbundant granular cytoplasm and nuclear stipplingCommonly solid; may be tubular, acinar, or rosettelikeLipid may be present; ar-gyrophilic (lung), argentaffin (GI)Chromogranin, neuron-specific enolaseNeurosecretory granules
SeminomaLarge pale syncytial cells with lymphocytes    
Ewing's sarcomaRound cell neoplasm PAS-positive, diastase-sensitive glycogenCytogenetics: transloculation (chromosomes 11 and 22)Glycogen

CEA = carcinoembryonic antigen; GI = gastrointestinal; PAS = periodic acid - Schiff.
(Goldberg RA, Rootman J, Cline RA: Tumors metastatic to the orbit: A changing picture. Surv Ophthalmol 35:1, 1990.)

 

TREATMENT

Although it is generally true that patients with orbital metastases have a short expected life span, there are many cancers for which excellent treatment exists, and the list of treatable tumors continues to expand. Even in the case of tumors for which no direct treatment is available, troubling symptoms such as decreased vision or pain can often be relieved through the use of orbital radiotherapy or chemotherapy. To a person with a limited number of weeks or months of life remaining, the ability to maintain visual function and comfort is profoundly important. The principal modalities for treating patients with metastatic cancer are radiation, hormonal therapy, chemotherapy, and surgery. The diverse clinical behaviors and treatments of the common metastatic tumors to the orbit are summarized in Table 15.

 

TABLE 15. Summary: Characteristics of Common Primary Types


Tumor TypeClinical CharacteristicsDiagnosisTreatment
BreastEnophthalmos; infiltrative pattern of presentation; long latency; may metastasize many years after primary cancer discoveredCT: bone and muscle involvement, possibly with diffuse infiltration; needle biopsy typically unsuccessful; hormone receptors (estrogen, progesterone) on fresh biopsy tissueHormonal therapy, radiotherapy
LungShort latency; often “silent” primary (CXR may be normal); rapid progression of symptoms; patient often systemically ill, survival poor Radiotherapy, chemotherapy (oat cell)
ProstateOlder patient; may have pain; long survival possibleCT: bony involvement, often hyperostotic; needle biopsy useful; can often use special immunohistologic stains on needle biopsy specimenHormonal therapy, orchiectomy, radiotherapy
MelanomaLong latency; may metastasize many years after primary skin cancer discovered; short survival after metastatic diseaseCT: often involves muscleRadiotherapy, chemotherapy
GIShort latency; may be “silent” primary; may have infiltrative syndrome of presentation Radiotherapy
ThyroidPrimary thyroid tumor may have been read as “benign”; long latency, long survival; may have pulsationCT: bone involvement; may be osteolyticRadiotherapy, radioactive iodine
CarcinoidLong latency, long survival; may have carcinoid syndrome; potentially isolated metastasisCT: typically well-defined mass; urinary 5-HIAA may be elevated, especially with liver involvementRadiotherapy; surgical excision if isolated
RenalVaried; may be fulminant or latent; may have pulsation Radiotherapy
SeminomaYoung men; nonmetastatic proptosis Radiotherapy (very radiosensitive)
PancreasFulminant onset, short survival Radiotherapy

CT = computed tomography; CXR = chest x-ray; GI = gastrointestinal; 5-HIAA = 5-hydroxyindolacetic acid.
(Goldberg RA, Rootman J, Cline RA: Tumors metastatic to the orbit: A changing picture. Surv Ophthalmol 35:1, 1990.)

 

Radiotherapy

Radiotherapy has proved extremely useful in the treatment of orbital metastasis. Typically, a total of 30 to 40 Gy is given in divided doses in a period of 1 to 2 weeks. Dramatic improvement in orbital signs and symptoms, including recovery of vision when impairment is secondary to orbital mass effect, is not uncommon. In published series (which include patients with lymphoma and leukemia), the success rate has been reported to be 70% to 90%.237–239 Even in metastatic carcinoid tumors, which are traditionally considered to be fairly radioresistant,172,221 success with orbital radiotherapy has been reported.240–242 Radiotherapy for orbital metastasis is generally associated with few complications, particularly if care is taken with dosing, field placement, and shielding of the globe.237,239 However, Mortada noted a 50% occurrence of cataract in 13 patients undergoing radiotherapy for orbital metastasis.167 As patients treated for orbital metastatic cancer continue to survive longer, we may begin to observe more ocular radiation complications. Still, because of its ability to ameliorate symptoms of otherwise untreatable orbital tumors, radiation therapy remains the mainstay of treatment of orbital metastatic disease.

Hormonal Therapy

Certain cancers originating in organs that participate in hormonal axes have hormone receptors on their cell surfaces, and if these cancers remain fairly well differentiated, they may show a modulation of growth in response to therapeutic hormonal manipulation. The primary examples in the orbit are metastatic prostate and breast carcinoma. The presence of hormone receptors on the surface of these tumors can be detected and measured in the laboratory with adequate specimens of fresh tissue. The orbital surgeon can play a vital role by obtaining an adequate tissue specimen.

Excellent results have been obtained with hormonal therapy of prostate and breast carcinoma metastatic to the orbit. Particularly in the case of prostate carcinoma, virtual reversal of orbital symptoms and occasional long-term survival have been reported.203,228,243 Diethylstilbestrol, with or without orchiectomy, has been the mainstay of hormonal therapy for prostate cancer since the 1950s. More recently, specific luteinizing hormone-releasing hormone agonists have been introduced, which may avoid the feminizing side effects of diethylstilbestrol or orchiectomy.225 However, the leutinizing hormone-releasing hormone agonists do not seem to offer improved palliation or survival over diethylstilbestrol, and they are associated with an initial testosterone surge and tumor growth period of several weeks' duration.225 This contraindicates their use in compressive spinal cord lesions and presumably in compressive orbital apex lesions as well.

Metastatic breast carcinoma is temporarily responsive to hormonal manipulation in the majority of cases.244 The importance of screening for estrogen receptors on tissue biopsy is illustrated by McGuire,245 who found that 55% to 60% of metastatic breast tumors with positive estrogen receptors are responsive to endocrine therapy. The presence of progesterone receptors adds even greater predicative value.246

Chemotherapy

With the advent of more aggressive and specific chemotherapeutic protocols, chemotherapy for metastatic disease has become increasingly important. Of the common metastases to the orbit, small cell carcinoma of the lung and neuroblastoma are particularly chemosensitive. Chemotherapy often plays an important adjunctive role in palliative therapy of orbital metastases.

Surgery

In general, patients with metastatic orbital tumors are not candidates for therapeutic surgical intervention. Their disease is systemic, and radical surgery cannot offer a cure. Furthermore, radiotherapy and in some cases hormonal therapy offer alternative treatment modalities that often provide significant palliation.

Regardless, there are cases in which surgery is indicated. Metastatic carcinoid tumors sometimes grow so slowly that for practical purposes they are isolated tumors. In these cases, excision of the metastatic tumor (along with the primary if it can be found and safely excised) can provide long-term relief of symptoms and perhaps improved survival. Renal cell carcinoma may also present with solitary metastases197,198; although the prognosis is still rather poor, surgical excision may be indicated for apparently isolated orbital metastases.196

Some metastatic tumors produce intolerable symptoms, such as pain or gross proptosis. If radiotherapy, chemotherapy, or other medical approaches are unsuccessful at relieving symptoms, then surgical debulking may be indicated for palliation despite the poor prognosis for survival.

Back to Top
METASTATIC ORBITAL TUMORS IN CHILDREN
Metastatic tumors in the pediatric population deserve special mention because they are very different from those seen in adults. In sharp contrast to adults, metastatic tumors in children are typically sarcomas rather than carcinomas, and orbital involvement is much more common than uveal involvement. Neuroblastoma and Ewing's sarcoma account for the vast majority of pediatric orbital metastases; however, Wilms' tumor,247,248 testicular embryonal sarcoma, ovarian sarcoma, and renal embryonal sarcoma have been reported.249

NEUROBLASTOMA

Neuroblastoma is the most common solid tumor of childhood, accounting for 10% to 15% of all pediatric cancer.250 It is second only to rhabdomyosarcoma as the most frequent orbital malignancy of childhood, and it constitutes greater than 90% of pediatric orbital malignancies.251 Neuroblastomas arise from embryonic neural crest tissue of the postganglionic sympathetic nervous system. The most common site of origin is the abdomen; however, they may originate in thoracic, cervical, or pelvic sites. The tumor may present any time in the first two decades, although the vast majority present before 3 years of age.252

The orbital presentation is characterized by sudden onset and rapid progression of proptosis, which may be unilateral or bilateral, and is often accompanied by periorbital edema, ecchymosis, and ptosis. This presentation evokes a differential diagnosis, including orbital cellulitis, other rapidly developing orbital tumors (e.g., rhabdomyosarcoma, Ewing's sarcoma, medulloblastoma, Wilms' tumor), and hemorrhage into a preexisting lymphangioma. The most common orbital sites of involvement are the superolateral orbit and zygoma with secondary extension. A combination of bone and soft tissue involvement is common, and there may be evidence of bone destruction and other foci of cranial metastases on radiologic evaluation. Other ophthalmic manifestations may include Horner's syndrome due to mediastinal or cervical sympathetic chain involvement,252,253 opsoclonus and myoclonus,254 tonic pupils as a paraneoplastic effect,255 and metastasis to the iris256 or choroid.257 Histology and distinguishing features of neuroblastoma are presented in Table 14.

The prognosis in metastatic neuroblastoma remains poor and varies with age (i.e., more favorable in patients less than 1 year), site of primary (i.e., thoracic lesions better than abdominal), and extent of disease. Musarella and associates254 found that 3-year survival rates correlated with type of ocular involvement: orbital metastases (11%), Horner's syndrome (79%), and opsoclonus-myoclonus (100%). Orbital lesions are treated with radiotherapy and chemotherapy in combination with surgery for systemic disease. Aggressive combination chemotherapy with a variety of agents (e.g., cisplatin, adriamycin, cyclophosphamide, vincristine, carmustine, melphalan), with or without total body irradiation and autologous bone marrow rescue, are required for disseminated disease.258–262 Elevated urinary vanillylmandelic acid levels due to catecholamine secretion by the tumor are found in 90% of patients and can be helpful in diagnosing disease and monitoring treatment.

EWING'S SARCOMA

Ewing's sarcoma is a highly malignant, small, round cell tumor of primitive mesenchymal cells in the bone marrow. The majority arise in the lower extremity or pelvis, but they occasionally arise from soft tissue as an extraskeletal variant. Four percent of primary tumors occur in the head and neck, with maxilla and mandible affected more commonly than the orbital roof.263 The tumor most commonly presents in the second decade and is rare in Asians and black Americans. Orbital presentation is generally a rapidly progressing proptosis with or without orbital hemorrhage.251 On a typical CT scan, the involved bone has a “moth-eaten” appearance associated with a soft tissue component of the tumor. The histologic and distinguishing features of Ewing's sarcoma are presented in Table 14. Treatment generally involves a combination of radiotherapy and chemotherapy.264,265 Local disease control may consist of resection of the primary tumor after a course of induction chemotherapy. Clear margins may obviate the need for radiotherapy, although these tumors are quite radiosensitive. With modern chemotherapeutic regimens in combination with surgery or radiation, the 5-year survival rate has improved to 80%. There is a risk of both late recurrence and development of a second primary (typically osteogenic sarcoma); therefore, these patients should have long-term follow-up.

Back to Top
ONCOLOGIC CONSIDERATIONS

ORGAN-SPECIFIC METASTASIS

Why does breast carcinoma dominate orbital metastasis, whereas other common cancers, particularly those of gastrointestinal origin, are much less frequently observed at this site? What accounts for the tendency for tissue-specific metastasis, such as prostate to bone or melanoma to muscle? What causes breast carcinoma to lodge frequently in the choroid, whereas neuroblastoma,251 Ewing's sarcoma,266 and prostate metastases seem to lodge in the orbit instead?

Three hypotheses have been advanced as explanations for organ-specific metastasis: mechanical, seed and soil, and specific tumor-cell adherence.267,268 The mechanical theory ascribes organ-specific metastasis to variations of blood flow and capillary sieving due to vascular architecture, a phenomena said to explain left-sided dominance of orbital metastases. The seed and soil theory and the specific tumor-cell adherence theory are similar in that they hypothesize that tumor cell-host tissue interactions of the microenvironment and cellsurface antigens, respectively, are the primary factors accounting for organ-specific metastasis. A recent review documents experimental data regarding organ-specific metastasis, including recent characterization of surface carbohydrates, which may be the locus of host tissue-tumor cell recognition.268 It is likely that all three mechanisms are responsible in some combination for organ- or site-specific metastasis.

METASTATIC CANCER OF UNKNOWN ORIGIN

An important group of orbital metastases are those in patients with unknown primaries, which consisted of 11% of the patients in a combined series (see Fig. 3).156 In large series of patients with metastatic cancer of unknown origin,269–271 more than one half of the patients remained undiagnosed despite extensive investigations, and even autopsy was unsuccessful at diagnosing the primary cancer in approximately 10% to 30% of cases.270–272 Tumors that are typically “silent,” metastasizing early in their course, constitute the majority of these unknown primaries, including lung, stomach, colon, pancreas, thyroid, and ovarian cancers.270 Diagnostic efforts in this difficult group of patients are best directed toward ruling out as efficiently as possible those cancers for which there is reasonably effective treatment or palliation.272,273

Breast, prostate, and endometrial cancers have the potential for successful palliation with hormonal therapy. Germ cell tumors, lymphomas, and leukemias can sometimes be virtually cured with combination therapy. Ovarian and small cell lung cancers have curative potential, and thyroid and pancreatic tumors can be successfully palliated. A thoughtfully directed oncologic work-up can investigate these possibilities while minimizing the need for time-consuming, painful, and potentially invasive tests in these patients, for whom the limited time remaining is of great importance.

Back to Top
SUMMARY
Orbital metastases are a heterogenous group of neoplasms whose clinical behavior reflects to a large extent the biology of the underlying primary cancer. They can be divided into four basic syndromes of presentation: mass, infiltrative, functional, and inflammatory.

The clinical presentations of metastatic tumors are diverse, but some general trends help differentiate them from other orbital tumors. A history of cancer may be obtainable (sometimes requiring considerable diligence), but in many cases the orbital symptoms are the first manifestation of systemic cancer. The onset of symptoms is typically rapid, unrelenting, and progressive over a few weeks or months. Motility disturbance is common, sometimes out of proportion to the degree of proptosis, and when present, pain often occurs early in the clinical course. Patients with breast and other scirrhous carcinomas can present with a diagnostically challenging infiltrative syndrome characterized by enophthalmos and limitation of eye movements; these signs are easily overlooked or misinterpreted.

Investigative goals include identification of the orbital tumor as a metastasis and, when possible and without undue hardship to the patient, diagnosis of the underlying primary cancer. The ophthalmologist can play a role not only in the former, utilizing advanced imaging and needle or open biopsies where necessary, but in the latter by facilitating special histologic studies on orbital tissue. A multidisciplinary approach involving the ophthalmologist, family doctor, pathologist, and oncologist is essential for proper diagnosis and management of this challenging group of patients.

Treatment from an ophthalmologic standpoint includes preservation of vision and relief of pain. Radiotherapy and hormonal therapy can often achieve these goals, sometimes dramatically. Radical surgery is contraindicated except in extreme cases requiring palliative debulking or in cases of unusual tumors, such as carcinoid and renal carcinoma, which may have isolated metastases that can be afforded long-term cure via surgery. It is important to avoid having a hopeless or helpless attitude. With modern treatments, patients with metastatic cancer are surviving longer, and virtual cures are occasionally possible. Even in patients with limited survival, preservation of vision has a dramatic impact on the quality of life.

Back to Top
REFERENCES

1. Henderson JW, Campbell RJ, Farrow GM, Garrity JA (collaborators): The tumor survey. In Henderson JW (ed): Orbital Tumors, 3rd ed, pp 43–52. New York, Raven Press, 1994

2. Grant RN, Silverberg E: Cancer Statistics: 1970. New York, American Cancer Society, 1970

3. Fandi A, Altun M, Azli N et al: Nasopharyngeal cancer: epidemiology, staging, and treatment. Semin Oncol 21: 382, 1994

4. Rootman J: Basic anatomic considerations. In Rootman J (ed): Diseases of the Orbit: A Multidisciplinary Approach, pp 3–33. Philadelphia, JB Lippincott, 1988

5. Godtfredsen E, Lederman M: Diagnostic and prognostic roles of ophthalmoneurologic signs and symptoms in malignant nasopharyngeal tumors. Am J Ophthalmol 59: 1063, 1965

6. Smith JL, Wheliss JA: Ocular manifestations of nasopharyngeal tumors. Trans Am Acad Ophthalmol Otolaryngol 66:659 1966

7. Johnson LN, Krohel GB, Yeon EB, Parnes SM: Sinus tumors invading the orbit. Ophthalmology 91:209, 1984

8. Conley J: Concepts in Head and Neck Surgery, p 55. New York, Grune & Stratton, 1970

9. Gluckman J: Nasal cavity and paranasal sinuses. In Gluckman J, Gullane P, Johnson J (eds): Practical Approach to Head and Neck Tumors, p 115. New York, Raven Press, 1994

10. Batsakis JG: Pathology of tumors of the nasal cavity and paranasal sinuses. In Thawley SE, Panje WR (eds): Comprehensive Management of Head and Neck Tumors, Vol 1, p 327. Philadelphia, WB Saunders, 1987

11. Batsakis JG, Rice DH, Solomon AR: The pathology of head and neck tumors: squamous and mucous gland carcinomas of the nasal cavity, paranasal sinuses, and larynx, Part 6. Head Neck Surg 2:497, 1980

12. Bridger MWM, Beale FA, Bryce DP: Carcinoma of the paranasal sinuses—a review of 158 cases. J Otolaryngol 7:379, 1978

13. Flores AD, Anderson DW, Doyle PJ et al: Paranasal sinus malignancy: a retrospective analysis of treatment methods. J Otolaryngol 13:141, 1984

14. Jackson RT, Fitz-Hugh GS, Constable WC: Malignant neoplasms of the nasal cavities and paranasal sinuses. Laryngoscope 87:726, 1977

15. Christensen WN, Smith RRL: Schneiderian papillomas: a clinicopathologic study of 67 cases. Hum Pathol 17: 393, 1986

16. Phillips PP, Gustafson RO, Facer GW: The clinical behavior of inverting papilloma of the nose and paranasal sinuses: report of 112 cases and review of the literature. Laryngoscope 100:463, 1990

17. Spiro RH, Hajdu SI, Lewis JS, Strong EW: Mucous gland tumors of the larynx and laryngopharynx. Ann Otol Rhinol Laryngol 85:498, 1976

18. McDonald HR, Char DH: Adenoid cystic carcinoma presenting as an orbital apex syndrome. Ann Ophthalmol 17:757, 1985

19. Petrelli RL, Labay GR, Schwarz GS: Adenoid cystic carcinoma with orbital and cranial metastases: case report. Ann Ophthalmol 10:611, 1978

20. Henderson JW, Campbell RJ, Farrow GM, Garrity JA (collaborators): Secondary epithelial neoplasms. In Henderson JW (ed): Orbital Tumors, 3rd ed, pp 343–360. New York, Raven Press, 1994

21. Batsakis JG, Regezi JA, Solomon AR, Rice DH: The pathology of head and neck tumors: mucosal melanomas, Part 13. Head Neck Surg 4:404, 1982

22. Skolnick EM, Massari FS, Tenta LT: Olfactory neuroepithelioma: review of the world literature and presentation of two cases. Arch Otolaryngol 84:644, 1966

23. Hutter RV, Lewis JS, Foote FW, Tollefsen HR: Esthesioneuroblastoma: a clinical and pathological study. Am J Surg 106:748, 1963

24. Rakes SM, Yeatts RP, Campbell RJ: Ophthalmic manifestations of esthesioneuroblastoma. Ophthalmology 92: 1749, 1985

25. Henderson JW, Campbell RJ, Farrow GM, Garrity JA (collaborators): Miscellaneous tumors of presumed neuroepithelial origin. In Henderson JW (ed): Orbital Tumors, 3rd ed, pp 239–268. New York, Raven Press, 1994

26. Elkon D, Hightower SI, Lim ML et al: Esthesioneuroblastoma. Cancer 44:1087, 1979

27. Levine PA, McLean WC, Cantrell RW: Esthesioneuroblastoma: The University of Virginia experience 1960-1985. Laryngoscope 96:742, 1986

28. Weiss JS, Bressler SB, Jacobs EF et al: Maxillary ameloblastoma with orbital invasion. Ophthalmology 92:710, 1985

29. Small IA, Waldron CA: Ameloblastomas of the jaws. Oral Surg 8:281, 1955

30. Fitzgerald GWN, Frenkiel S, Black MJ et al: Ameloblastoma of the jaws: a 12 year review of the McGill experience. J Otolaryngol 11:23, 1982

31. Lumenta CB, Schirmer M: The incidence of brain tumors: a retrospective study. Clin Neuropharmacol 7:332, 1984

32. McDermott MW, Durity FA, Rootman J, Woodhurst WB: Combined frontotemporal-orbitozygomatic approach for tumors of the sphenoid wing and orbit. Neurosurgery 26:107, 1990

33. Rootman J, Durity F: Orbital surgery. In Sekhar LN, Janecka IP (eds): Surgery of Cranial Base Tumors, pp 769–785. New York, Raven Press, 1993

34. Peele KA, Kennerdell JS, Maroon JC: The role of post-operative radiation in the surgical management of sphenoid wing meningiomas. Presented at the American Academy of Ophthalmology Meeting, Atlanta, GA, November, 1995

35. Ferry AP, Haddad HM, Goldman JM: Orbital invasion by an intracranial chordoma. Am J Ophthalmol 92:7, 1981

36. Bastiaensen LA, Leyten AC, Tjan TG, Misere JF: Chondroid chordoma of the base of the skull: orbital and other neuro-ophthalmological symptoms. Doc Ophthalmol 55: 5, 1983

37. Lawton AW, Karesh JW: Intracranial glioblastoma invading the orbit. Arch Ophthalmol 104:806, 1986

38. Hoyt WF, Piavenetti E, Malamud N, Wilson CB: Cranio-orbital involvement in glioblastoma multiforme. Neurochirurgia 15:1, 1972

39. Cross KR, Cooper TJ: Intracranial neoplasms with extracranial metastases. J Neuropathol Exp Neurol 11:200, 1952

40. Aoyama I, Makita Y, Nabeshima S et al: Extradural nasal and orbital extension of glioblastoma multiforme without previous surgical intervention. Surg Neurol 14:343, 1980

41. Christmas NJ, Mead MD, Richardson EP, Albert DM: Secondary optic nerve tumors. Surv Ophthalmol 36:196, 1991

42. Sammartino A, Bonavolonta G, Pettinato G, Loffredo A: Exophthalmos caused by an invasive pituitary adenoma in a child. Ophthalmologica 179:83, 1979

43. Berezin M, Gutman I, Tadmor R et al: Malignant prolactinoma. Acta Endocrinol 127:476, 1992

44. Demaerel P, Mosely IF, Scaravilli F: Recurrent craniopharyngioma invading the orbit, cavernous sinus and skull base: a case report. Neuroradiology 35:261, 1993

45. Rootman J, Robertson WD: Tumors. In Rootman J: Diseases of the Orbit: A Multidisciplinary Approach, pp 433–436. Philadelphia, JB Lippincott, 1988

46. Kincaid MC, Green WR: Ocular and orbital involvement in leukemia. Surv Ophthalmol 27:211, 1983

47. Little JR, Dale AJD, Okazaki H: Meningeal carcinomatosis: clinical manifestations. Arch Neurol 30:138, 1984

48. Kwitko ML, Boniuk M, Zimmerman LE: Eyelid tumors with reference to lesions confused with squamous cell carcinoma: I. Incidence and errors in diagnosis. Arch Ophthalmol 69:693, 1963

49. Aurora AL, Blodi FC: Lesions of the eyelids: a clinicopathological study. Surv Ophthalmol 15:94, 1970

50. Nerad JA, Whitaker DC: Periocular basal cell carcinoma in adults 35 years of age and younger. Am J Ophthalmol 106:723, 1988

51. Leshin B, Yeats P: Management of periocular basal cell carcinoma: Mohs' microscopic surgery versus radiotherapy: I. Mohs' microscopic surgery. Surv Ophthalmol 38:193, 1993

52. Anscher M, Montano G: Management of periocular basal cell carcinoma: Mohs' microscopic surgery versus radiotherapy: II. Radiotherapy. Surv Ophthalmol 38:203, 1993

53. Morley M, Finger PT, Perlin M et al: Cis-platinum chemotherapy for ocular basal cell carcinoma. Br J Ophthalmol 75:407, 1991

54. Luxenberg MN, Guthrie TH Jr: Chemotherapy of basal cell and squamous cell carcinoma of the eyelids and periorbital tissues. Ophthalmology 93:504, 1986

55. Neudorfer M, Merimsky O, Lazar M, Geyer O: Cisplatin and doxorubicin for invasive basal cell carcinoma of the eyelids. Ann Ophthalmol 25:11, 1993

56. Reifler DM, Hornblass A: Squamous cell carcinoma of the eyelid. Surv Ophthalmol 30:349, 1986

57. Trobe JD, Hood I, Parsons JT, Quisling RG: Intracranial spread of squamous carcinoma along the trigeminal nerve. Arch Ophthalmol 100:608, 1982

58. Csaky KG, Custer P: Perineural invasion of the orbit by squamous cell carcinoma. Ophthalmic Surg 21:218, 1990

59. Clouston PD, Sharpe DM, Corbett AJ et al: Perineural spread of cutaneous head and neck cancer: its orbital and central neurologic complications. Arch Neurol 47:73, 1990

60. Smith JB, Bishop VLM, Francis IC et al: Ophthalmic manifestations of perineural spread of facial skin malignancy. Aust NZ J Ophthalmol 18:197, 1990

61. Fitzpatrick PJ, Thompson GA, Easterbrook WM et al: Basal and squamous cell carcinoma of the eyelids and their treatment by radiotherapy. Int J Radiat Oncol Biol Phys 10:449, 1984

62. Kass LG, Hornblass A: Sebaceous carcinoma of the ocular adnexa. Surv Ophthalmol 33:477, 1989

63. Ni C, Searl SS, Kuo PK et al: Sebaceous cell carcinomas of the ocular adnexa. Int Ophthalmol Clin 22:23, 1982

64. Ginsberg J: Present status of meibomian gland carcinoma. Arch Ophthalmol 73:271, 1965

65. Boniuk M, Zimmerman L: Sebaceous carcinoma of the eyelid, eyebrow, caruncle, and orbit. Trans Am Acad Ophthalmol Otolaryngol 72:619, 1968

66. Doxanas MT, Green WR: Sebaceous gland carcinoma: review of 40 cases. Arch Ophthalmol 102:245, 1984

67. Rao NA, Hidayat AA, McLean JW, Zimmerman LE: Sebaceous carcinomas of the ocular adnexa: a clinicopathologic study of 104 cases with five year follow-up data. Hum Pathol 13:113, 1982

68. Tenzel RR, Stewart WB, Boynton JR, Zbar M: Sebaceous adenocarcinoma of the eyelid: definition of surgical margins. Arch Ophthalmol 95:2203, 1977

69. Ide CH, Ridings GR, Yamashita T, Buesseler JA: Radiotherapy for a recurrent adenocarcinoma of the meibomian gland. Arch Ophthalmol 79:540, 1968

70. Hendley RL, Rieser JC, Cavanaugh HD et al: Primary radiation therapy for meibomian gland carcinoma. Am J Ophthalmol 87:206, 1979

71. Tahery DP, Goldberg R, Moy RL: Malignant melanoma of the eyelid. J Am Acad Dermatol 27:17, 1992

72. Clark WH Jr, From L, Bernardino EA, Mihm MC: The histogenesis and biologic behavior of primary human malignant melanomas of the skin. Cancer Res 29:705, 1969

73. Clark WH Jr, Ainsworth AM, Bernardino EA et al: The developmental biology of malignant melanomas. Semin Oncol 2:83, 1975

74. Mihm MC, Clark WH Jr, Reed RJ: The clinical diagnosis of malignant melanoma. Semin Oncol 2:105, 1975

75. Clark WH Jr, Mastrangelo MD, Ainsworth AM et al: Current concepts of the biology of human cutaneous malignant melanoma. Adv Cancer Res 24:267, 1977

76. Clark WH Jr, Reimer RR, Greene M et al: Origin of familial malignant melanomas from heritable melanocytic lesions: “The B-K mole syndrome.” Arch Dermatol 114:732, 1978

77. Elder DE, Goldman LI, Goldman SC et al: Dysplastic nevus syndrome: a phenotypic association of sporadic cutaneous melanoma. Cancer 46:1787, 1980

78. American Joint Committee on Cancer: Manual for Staging of Cancer, 4th ed. Philadelphia, JB Lippincott, 1992

79. Barth A, Morton DL: The role of adjuvant therapy in melanoma management. Cancer 75(suppl):726, 1995

80. Elwood JM, Gallagher RP, Hill GB et al: Pigmentation and skin reaction to sun as risk factors for cutaneous melanoma: Western Canada melanoma study. Br Med J 288:99, 1984

81. Harris MN, Shapiro RL, Roses DF: Malignant melanoma: primary surgical management (excision and node dissection) based on pathology and staging. Cancer 75(suppl):715, 1995

82. Kivela T, Tarkkanen A: The Merkel cell and associated neoplasms in the eyelids and periocular region. Surv Ophthalmol 35:171, 1990

83. Font RA: Eyelids and lacrimal drainage system. In Spencer WH (ed): Ophthalmic Pathology, Vol 3, p 2214. Philadelphia, WB Saunders, 1986

84. Khalil M, Brownstein S, Codere F, Nicolle D: Eccrine sweat gland carcinoma of the eyelid with orbital involvement. Arch Ophthalmol 98:2210, 1980

85. Holds JB, Haines JH, Mamalis N et al: Mucinous adenocarcinoma of the orbit arising from a stable, benignappearing eyelid nodule. Ophthalmic Surg 21:163, 1990

86. Andrews TM, Gluckman JL, Weiss MA: Primary mucinous adenocarcinoma of the eyelid. Head Neck Surg 14: 303, 1992

87. Ni C, Dryja TP, Albert DM: Sweat gland tumors in the eyelids: a clinicopathological analysis of 55 cases. Int Ophthalmol Clin 22:1, 1982

88. Zimmerman LE: Squamous cell carcinoma and related lesions of the bulbar conjunctiva. In Boniuk M (ed): Ocular and Adnexal Tumors: New and Controversial Aspects, p 49. St. Louis, CV Mosby, 1964

89. Malik MOA, Sheikh EHE: Tumors of the eye and adnexa in the Sudan. Cancer 44:293, 1979

90. Patipa M, Hull DS: Chronic unilateral conjunctivitis: consider malignancy. Am Fam Physician 22(1):69, 1980

91. Iliff WJ, Marback R, Green WR: Invasive squamous cell carcinoma of the conjunctiva. Arch Ophthalmol 93:119, 1975

92. Rootman J, Roth AM, Crawford JB et al: Extensive squamous cell carcinoma of the conjunctiva presenting as orbital cellulitis: the hermit syndrome. Can J Ophthalmol 22:40, 1987

93. Tabbara KF, Kersten R, Daouk N, Blodi FC: Metastatic squamous cell carcinoma of the conjunctiva. Ophthalmology 95:318, 1988

94. Cohen BH, Green WR, Iliff NT et al: Spindle cell carcinoma of the conjunctiva. Arch Ophthalmol 98:1809, 1980

95. Rao NA, Font RL: Mucoepidermoid carcinoma of the conjunctiva: a clinicopathologic study of five cases. Cancer 38:1699, 1976

96. Jauregui HO, Klintworth GK: Pigmented squamous cell carcinoma of the cornea and conjunctiva. Cancer 38: 778, 1976

97. Kremer I, Sandbank J, Weinberger D et al: Pigmented epithelial tumors of the conjunctiva. Br J Ophthalmol 76:294, 1992

98. Buuns DR, Tse DT, Folberg R: Microscopically controlled excision of conjunctival squamous cell carcinoma. Am J Ophthalmol 117:97, 1994

99. Peksayar G, Soyturk MK, Demiryont M: Long-term results of cryotherapy on malignant epithelial tumors of the conjunctiva. Am J Ophthalmol 107:337, 1989

100. Lee GA, Hirst LW: Ocular surface squamous neoplasia. Surv Ophthalmol 39:429, 1995

101. Zehetmayer M, Menapace R, Kulnig W: Combined local excision and brachytherapy with ruthenium-106 in the treatment of epibulbar malignancies. Ophthalmologica 207:133, 1993

102. Ullman S, Augsburger JJ, Brady LW: Fractionated epibulbar I-125 plaque radiotherapy for recurrent mucoepidermoid carcinoma of the bulbar conjunctiva. Am J Ophthalmol 119:102, 1995

103. Seregard S, Kock E: Conjunctival malignant melanoma in Sweden 1969-91. Acta Ophthalmol 70:289, 1992

104. Henderson JW, Campbell RJ, Farrow GM, Garrity JA (collaborators): Malignant melanoma. In Henderson JW (ed): Orbital Tumors, 3rd ed, p 269–278. New York, Raven Press, 1995

105. Reese AB: Precancerous melanoma and diffuse malignant melanoma of the conjunctiva. Arch Ophthalmol 19:354, 1938

106. Lederman M, Wybar K, Busby E: Malignant epibulbar melanoma: natural history and treatment by radiotherapy. Br J Ophthalmol 68:605, 1984

107. De Potter P, Shields CL, Shields JA, Menduke H: Clinical predictive factors for development of recurrence and metastasis in conjunctival melanoma: a review of 68 cases. Br J Ophthalmol 77:624, 1993

108. Folberg R, McLean IW, Zimmerman LE: Malignant melanoma of the conjunctiva. Hum Pathol 16:136, 1985

109. McDonnell JM, Carpenter JD, Jacobs P et al: Conjunctival melanocytic lesions in children. Ophthalmology 96:986, 1989

110. Folberg R, McLean IW, Zimmerman LE: Primary acquired melanosis of the conjunctiva. Hum Pathol 16: 129, 1985

111. Paridaens ADA, Minassian DC, McCartney ACE, Hungerford JL: Prognostic factors in primary malignant melanoma of the conjunctiva: a clinicopathologic study of 256 cases. Br J Ophthalmol 78:252, 1994

112. Jakobiec FA, Folberg R, Iwamoto T: Clinicopathologic characteristics of premalignant and malignant melanocytic lesions of the conjunctiva. Ophthalmology 96:147, 1989

113. Jakobiec FA, Rini FJ, Fraunfelder FT, Brownstein S: Cryotherapy for conjunctival primary acquired melanosis and malignant melanoma. Ophthalmology 95:1058, 1988

114. Zimmerman LE, McLean IW, Foster WD: Statistical analysis of follow-up data concerning uveal melanomas, and the influence of enucleation. Ophthalmology 87:557, 1980

115. Zimmerman LE, McLean IW, Foster WD: Does enucleation of the eye containing a malignant melanoma prevent or accelerate the dissemination of tumor cells? Br J Ophthalmol 62:420, 1978

116. Paul EV, Parnell BL, Fraker M: Prognosis of malignant melanomas of the choroid and ciliary body. Int Ophthalmol Clin 2:387, 1962

117. McLean IW, Foster WD, Zimmerman LE: Prognostic factors in small malignant melanomas of choroid and ciliary body. Arch Ophthalmol 95:48, 1977

118. Starr HJ, Zimmerman LA: Extrascleral extension and orbital recurrence of malignant melanomas of the choroid and ciliary body. Int Ophthalmol Clin 2:369, 1962

119. Shammas HF, Blodi FC: Orbital extension of choroidal and ciliary body melanomas. Arch Ophthalmol 95:2002, 1977

120. Affeldt JC, Minckler DS, Azen SP, Yeh L: Prognosis in uveal melanoma with extrascleral extension. Arch Ophthalmol 98:1975, 1980

121. Shields JA, Augsburger JJ, Donoso LA et al: Hepatic metastasis and orbital recurrence of uveal melanoma after 42 years. Am J Ophthalmol 100:666, 1985

122. Kersten RC, Tse DT, Anderson RL, Blodi FC: The role of orbital exenteration in choroidal melanoma with extrascleral extension. Ophthalmology 92:436, 1985

123. Shields JA, Augsburger JJ, Corwin S et al: The management of uveal melanomas with extrascleral extension. Orbit 5:31, 1986

124. Devesa SS: The incidence of retinoblastoma. Am J Ophthalmol 80:263, 1975

125. Macklin MT: A study of retinoblastoma in Ohio. Am J Hum Genet 12:1, 1960

126. Dunphy EB: The story of retinoblastoma. Am J Ophthalmol 58:539, 1964

127. Kodilinye HC: Retinoblastoma in Nigeria: problems of treatment. Am J Ophthalmol 63:469, 1967

128. Shields JA, Shields CL: Management and prognosis of retinoblastoma. In Shields JA (ed): Intraocular Tumors: A Text and Atlas, p 390. Philadelphia, WB Saunders, 1992

129. Redler LD, Ellsworth RM: Prognostic importance of choroidal invasion in retinoblastoma. Arch Ophthalmol 90: 294, 1973

130. Stannard C, Lipper S, Sealy R, Sevel D: Retinoblastoma: correlation of invasion of the optic nerve and choroid with prognosis and metastases. Br J Ophthalmol 63:560, 1979

131. Rootman J, Ellsworth RM, Hofbauer J, Kitchen D: Orbital extension of retinoblastoma: a clinicopathological study. Can J Ophthalmol 13:72, 1978

132. Rootman J, Hofbauer J, Ellsworth M, Kitchen D: Invasion of the optic nerve by retinoblastoma: a clinicopathologic study. Can J Ophthalmol 11:106, 1976

133. Reese AB: Invasion of the optic nerve by retinoblastoma. Arch Ophthalmol 40:553, 1948

134. Zimmerman LE: The registry of ophthalmic pathology: past, present and future. Trans Ophthalmol Otolaryngol 65:88, 1965

135. Magramm I, Abramson DH, Ellsworth RM: Optic nerve involvement in retinoblastoma. Ophthalmology 96:217, 1989

136. Merriam GR: Retinoblastoma: analysis of seventeen autopsies. Arch Ophthalmol 44:71, 1950

137. Carbajal UM: Metastases in retinoblastoma. Am J Ophthalmol 48:47, 1959

138. Taktikos A: Investigation of retinoblastoma with special reference to histology and prognosis. Br J Ophthalmol 50:225, 1966

139. Green WR: Retina. In Spencer WH: Ophthalmic Pathology: An Atlas and Textbook, 3rd ed, Vol 2, p 1246. Philadelphia, WB Saunders, 1985

140. Zimmerman LE: Verhoeff's “terato-neuroma”: a critical reappraisal in light of new observations and current concepts of embryonic tumors (The Fourth Frederick H. Verhoeff Lecture). Am J Ophthalmol 72:1039, 1971

141. Broughton WL, Zimmerman LE: A clinicopathologic study of 56 cases of intraocular medulloepitheliomas. Am J Ophthalmol 85:407, 1978

142. Duke-Elder S: Diseases of the lacrimal passages. In Duke-Elder S (ed): Textbook of Ophthalmology, Vol 5, pp 5279–5368. St. Louis, CV Mosby, 1952

143. Stefanyszyn MA, Hidayat AA, Pe'er JJ, Flanagan JC: Lacrimal sac tumors. Ophthalmic Plast Reconstr Surg 10:169, 1994

144. Radnot M, Gall J: Tumoren des traenensacks. Ophthalmologica 151:1, 1966

145. Schenck NL, Ogura HJ, Pratt LL: Cancer of the lacrimal sac. Ann Otol Rhinol Laryngol 82:153, 1973

146. Flanagan JC, Stokes DP: Lacrimal sac tumors. Ophthalmology 85:1282, 1978

147. Hornblass A, Jakobiec FA, Bosniak S, Flanagan J: The diagnosis and management of epithelial tumors of the lacrimal sac. Ophthalmology 87:476, 1980

148. Ni C, D'Amico DJ, Fan CQ, Kuo PK: Tumors of the lacrimal sac: a clinicopathological analysis of 82 cases. Int Ophthalmol Clin 22:121, 1982

149. Jones IS: Tumors of the lacrimal sac. Am J Ophthalmol 42:561, 1956

150. Ryan SJ, Font RL: Primary epithelial neoplasms of the lacrimal sac. Am J Ophthalmol 76:73, 1973

151. Milder B, Smith ME: Carcinoma of lacrimal sac. Am J Ophthalmol 65:782, 1968

152. Flanagan JC, Mauriello JA Jr: Management of lacrimal sac tumors. Adv Ophthalmol Plast Reconstruct Surg 4: 399, 1984

153. Pe'er JJ, Stefanyszyn M, Hidayat AA: Nonepithelial tumors of the lacrimal sac. Am J Ophthalmol 118:650, 1994

154. Lloyd WC, Leone CR: Malignant melanoma of the lacrimal sac. Arch Ophthalmol 102:104, 1984

155. Horner F: Carcinom der dura mater. Klin Monatsbl Augenheilkd 2:186, 1864

156. Goldberg RA, Rootman J, Cline RA: Tumors metastatic to the orbit: a changing picture. Surv Ophthalmol 35:1, 1990

157. Godtfredsen E: On the frequency of secondary carcinomas in the choroid. Acta Ophthalmol 22:394, 1944

158. Albert DM, Rubenstein RA, Scheie HG: Tumor metastasis to the eye: I. Incidence in 213 adult patients with generalized malignancy. Am J Ophthalmol 63:723, 1967

159. Bloch MS, Gartner S: The incidence of ocular metastatic carcinoma. Arch Ophthalmol 85:673, 1971

160. Ferry AP, Font RL: Carcinoma metastatic to the eye and orbit: I. A clinicopathologic study of 227 cases. Arch Ophthalmol 92:276, 1974

161. Jensen OA: Metastatic tumours of the eye and orbit: a histopathologic analysis of a Danish series. Acta Pathol Microbiol Scand 212(suppl):201, 1970

162. Freedman MI, Folk JC: Metastatic tumors to the eye and orbit: patient survival and clinical characteristics. Arch Ophthalmol 105:1215, 1987

163. Kennedy RE: An evaluation of 820 orbital cases. Trans Am Ophthalmol Soc 82:134, 1984

164. Reese AB: Expanding lesions of the orbit (Bowman Lecture). Trans Ophthalmol Soc UK 91:85, 1971

165. Silva D: Orbital tumors. Am J Ophthalmol 65:318, 1968

166. Spaeth EB: Ocular tumors (a study of incidence of the various types and their mortality rates). Arch Ophthalmol 46:421, 1951

167. Mortada A: Roentgenography in orbital metastases with exophthalmos. Am J Ophthalmol 65:48, 1968

168. Zizmor J, Fasano CV, Smith B, Rabbett W: Roentgenographic diagnosis of unilateral exophthalmos. JAMA 197: 343, 1966

169. Shields JA, Bakewell B, Augsburger JJ, Flanagan JC: Classification and incidence of space-occupying lesions of the orbit: a survey of 645 biopsies. Arch Ophthalmol 102:1606, 1984

170. Henderson JW, Campbell RJ, Farrow GM, Garrity JA (collaborators): Metastatic carcinomas. In Henderson JW (ed): Orbital Tumors, 3rd ed, pp 361–375. New York, Raven Press, 1994

171. Bullock JD, Yanes B: Metastatic tumors of the orbit. Ann Ophthalmol 12:1392, 1980

172. Font RL, Ferry AP: Carcinoma metastatic to the eye and orbit: III. A clinicopathologic study of 28 cases metastatic to the orbit. Cancer 38:1326, 1976

173. Henderson JW, Farrow GM: Metastatic carcinoma. In Henderson JW: Orbital Tumors, 2nd ed, pp 451–471. New York, Brian C. Decker, 1980

174. Goldberg RA, Rootman J: Clinical characteristics of metastatic orbital tumors. Ophthalmology 97:620, 1990

175. Shields CL, Shields JA, Peggs M: Tumors metastatic to the orbit. Ophthalmic Plast Reconstr Surg 4:73, 1988

176. Wakisaka S, Tashiro M, Nakano S et al: Intracranial and orbital metastasis of hepatocellular carcinoma: report of two cases. Neurosurgery 26:863, 1990

177. Loo KT, Tsui WMS, Chung KH et al: Hepatocellular carcinoma metastasizing to the brain and orbit: report of three cases. Pathology 26:119, 1994

178. Schwab L, Doshi H, Shields JA et al: Hepatocellular carcinoma metastatic to the orbit in an African patient. Ophthalmic Surg 25:105, 1994

179. Feinmesser M, Hurwitz JJ, Heathcoate JG: Pleural malignant mesothelioma metastatic to the orbit. Can J Ophthalmol 29:193, 1994

180. Fekrat S, Miller NR, Loury M: Alveolar rhabdomyosarcoma that metastasized to the orbit. Arch Ophthalmol 111:1662, 1993

181. Conlon MR, Rubin PAD, Samy CN, Albert DM: Metastatic orbital leiomyosarcoma: a clinicopathologic study. Can J Ophthalmol 29:85, 1994

182. Hart WM: Metastatic carcinoma to the eye and orbit. Int Ophthalmol Clin 2:465, 1962

183. Hutchinson DS, Smith TR: Ocular and orbital metastatic carcinoma. Ann Ophthalmol 11:869, 1979

184. Ferry AP: The biological behavior and pathologic features of carcinoma metastatic to the eye and orbit. Trans Am Ophthalmol Soc 71:373, 1973

185. Ashton N, Morgan G: Discrete carcinomatous metastases in the extraocular muscles. Br J Ophthalmol 58:112, 1974

186. Bedford PD, Daniel PM: Discrete carcinomatous metastases in the extrinsic ocular muscles: a case of carcinoma of the breast with exophthalmic ophthalmoplegia. Am J Ophthalmol 49:723, 1960

187. Cuttone JM, Litvin J, McDonald JE: Carcinoma metastatic to an extraocular muscle. Ann Ophthalmol 13: 213, 1981

188. Divine RD, Anderson RL: Metastatic small cell carcinoma masquerading as orbital myositis. Ophthalmic Surg 43: 483, 1982

189. Slamovits TL, Burde RM: Bumpy muscles. Surv Ophthalmol 33:189, 1988

190. Hornblass A, Kass LG, Reich R: Thyroid carcinoma metastatic to the orbit. Ophthalmology 94:1004, 1987

191. Rosenkranz L, Schroeder C: Recurrent malignant melanoma following a 46-year disease-free interval. NY State J Med 85:95, 1985

192. Riddle PJ, Font RL, Zimmerman LE: Carcinoid tumors of the eye and orbit: a clinicopathologic study of 15 cases, with histochemical and electron microscopic observations. Hum Pathol 13:459, 1982

193. Bardenstein DS, Char DH, Jones C et al: Metastatic ciliary body carcinoid tumor. Arch Ophthalmol 108:1590, 1990

194. Fan JT, Buettner H, Bartley GB, Bolling JP: Clinical features and treatment of seven patients with carcinoid tumor metastatic to the eye and orbit. Am J Ophthalmol 119: 211, 1995

195. Jakobiec FA, Rootman J, Jones IS: Secondary and metastatic tumors of the orbit. In Jakobiec FA (ed): Ocular and Adnexal Tumors, pp 503–569. Birmingham, Aesculapius, 1978

196. Bersani TA, Costello JJ, Mango CA, Streeten BW: Benign approach to a malignant orbital tumor: metastatic renal cell carcinoma. Ophthalmic Plast Reconstr Surg 10:42, 1994

197. Middleton RG: Surgery for metastatic renal cell carcinoma. J Urol 97:537, 1967

198. Tolia BM, Whitmore WF: Solitary metastasis from renal cell carcinoma. J Urol 114:836, 1975

199. Gautier-Smith PC: Bilateral pulsating exophthalmos due to metastases from carcinoma of the prostate. Br Med J 1:330, 1969

200. Houghton JD: Solitary metastasis of renal cell carcinoma. Am J Ophthalmol 41:548, 1956

201. Howard GM, Jakobiec FA, Trokel SL et al: Pulsating metastatic tumor of the orbit. Am J Ophthalmol 85:767, 1978

202. Knapp A: Metastatic thyroid tumor in the orbit. Arch Ophthalmol 52:68, 1923

203. Rootman J, Ragaz J, Cline R, Lapointe JS: Metastatic and secondary tumors of the orbit. In Rootman JR (ed): Diseases of the Orbit: A Multidisciplinary Approach, pp 405–427. Philadelphia, JB Lippincott, 1988

204. Cline RA, Rootman J: Enophthalmos: a clinical review. Ophthalmology 91:229, 1984

205. Reifler DM: Orbital metastases with enophthalmos: a review of the literature. Henry Ford Hosp Med J 33:171, 1985

206. Kattah JC, Chrousos GC, Roberts J et al: Metastatic prostate cancer to the optic canal. Ophthalmology 100:1711, 1993

207. Leyson JF: Mediastinal seminoma associated with exophthalmos and gynecomastia. Urology 3:366, 1974

208. Mann AS: Bilateral exophthalmos and seminoma. J Clin Endocrinol Metab 27:1500, 1967

209. Taylor JB, Soloman BH, Levine RE, Ehrlich RM: Exophthalmos in seminoma: regression with steroids and orchiectomy. JAMA 240:860, 1978

210. Ballinger WH Jr, Wesley RE: Seminoma metastatic to the orbit. Ophthalmic Surg 15:120, 1984

211. Rush JA, Older JJ, Richman AV: Testicular seminoma metastatic to the orbit. Am J Ophthalmol 91:258, 1981

212. Whyte AM: Bronchogenic carcinoma metastasizing to the orbit: a case report. J Maxillofac Surg 6:277, 1978

213. Shumway EA: Metastatic carcinoma of the orbit, with the report of a case. Trans Am Ophthalmol Soc 12:191, 1909

214. Mottow-Lippa L, Jakobiec FA, Iwamoto T: Pseudoinflammatory metastatic breast carcinoma of the orbit and lids. Ophthalmology 88:575, 1981

215. Sher JH, Weinstock SJ: Orbital metastasis of prostatic carcinoma. Can J Ophthalmol 18:248, 1983

216. Arnott EJ, Greaves DP: Metastases in the orbit. Br J Ophthalmol 49:43, 1965

217. Bullock JD, Yanes B: Ophthalmic manifestations of metastatic breast cancer. Ophthalmology 87:961, 1980

218. Scheran EL: Metastatic adenocarcinoma from the stomach to the orbit. Arch Ophthalmol 99:1469, 1981

219. Brini M: Discussion: Appelmans M, Michiels J, Jansen E: Métastases orbitaires bilatérales d'un cancer du sein; détection par le phosphore radioactif. Bull Mem Soc Fr Ophtalmol 67:415-427, 1954

220. Denby P, Harvey L, English MG: Solitary metastasis from an occult renal cell carcinoma presenting as a primary lacrimal gland tumour. Orbit 5:21, 1986

221. Divine RD, Anderson RL, Ossoinig KC: Metastatic carcinoid unresponsive to radiation therapy presenting as a lacrimal fossa mass. Ophthalmology 89:516, 1982

222. Schaerer JP, Whitney RL: Prostatic metastases simulating intracranial meningioma. J Neurosurg 10:546, 1953

223. McCurrach F, Hurley I, Taylor H: Chronic corneal ulceration. an unusual presentation of metastatic breast carcinoma. Aust NZ J Ophthalmol 21:191, 1993

224. Penn RF, Godwin RC: Diffuse peritoneal mesothelioma with metastasis to the orbital area as a presenting symptom. Am J Ophthalmol 43:13, 1957

225. Huben RP, Murphy GP: Prostate cancer: an update. CA 36:274, 1986

226. Healy JF: Computed tomographic evaluation of metastases to the orbit. Ann Ophthalmol 15:1026, 1983

227. Hesselink JR, David KR, Weber AL et al: Radiological evaluation of orbital metastases, with emphasis on computed tomography. Radiology 137:363, 1980

228. Boldt HC, Nerad JA: Orbital metastasis from prostate carcinoma. Arch Ophthalmol 106:1403, 1988

229. Braffman BH, Bilaniuk LT, Eagle RC Jr et al: MR imaging of a carcinoid tumor metastatic to the orbit. J Comput Assist Tomogr 11:891, 1987

230. Peyster RG, Shapiro MD, Haik BG: Orbital metastasis: role of magnetic resonance imaging and computed tomography. Radiol Clin North Am 25:647, 1987

231. Shields CL, Shields JA, Eagle RC Jr et al: Orbital metastases from a carcinoid tumor: computer tomography, magnetic resonance imaging, and electron microscopic findings. Arch Ophthalmol 105:968, 1987

232. Roden DT, Savino PJ, Zimmerman RA: Magnetic resonance imaging in orbital diagnosis. Radiol Clin North Am 26:535, 1988

233. Kennerdell JS, Dekker A, Johnson BL, Dubois PJ: Fine needle aspiration: its use in orbital tumors. Arch Ophthalmol 97:1315, 1979

234. Kopelman JE, Shorr N: A case of prostatic carcinoma metastatic to the orbit diagnosed by fine needle aspiration and immunoperoxidase staining for prostatic specific antigen. Ophthalmic Surg 18:599, 1987

235. Reifler DM, Kini SR, Liu D, Littleton RH: Orbital metastasis from prostatic carcinoma: identification by immunocytology. Arch Ophthalmol 102:292, 1984

236. Jakobiec FA, Font RL: Orbital metastases. In Spencer WH (ed): Ophthalmic Pathology, Vol 3, pp 2750–2765. Philadelphia, WB Saunders, 1986

237. Glassburn JR, Klionsky M, Brady LW: Radiation therapy for metastatic disease involving the orbit. Am J Clin Oncol 7:145, 1984

238. Heckemann R, Schmitt G: Ergebnisse der Strahlenttherapie metastatischer orbitatumoren. Strahlentherapie 154: 179, 1978

239. Huh SH, Nisce LZ, Simpson LD, Chu FC: Proceedings: value of radiation therapy in the treatment of orbital metastasis. Am J Roentgenol Radium Ther Nucl Med 120: 589, 1974

240. Harris AL, Montgomery A: Orbital carcinoid tumor. Am J Ophthalmol 90:875, 1980

241. Harris AL, Montgomery A, Reyes RR et al: Carcinoid tumor presenting as an orbital metastasis. Clin Oncol 7:365, 1981

242. Rush JA, Waller RR, Campbell RJ: Orbital carcinoid tumor metastatic from the colon. Am J Ophthalmol 89: 636, 1980

243. Carriere VM, Karcioglu DA, Apple DJ, Insler MS: A case of prostate carcinoma with bilateral orbital metastases and the review of the literature. Ophthalmology 89:402, 1982

244. Mouridsen H, Palshof T, Patterson J, Battersby L: Tamoxifen in advanced breast cancer. Cancer Treat Rep 5:131, 1978

245. McGuire WL: Current status of estrogen receptors in human breast carcinoma. Cancer 36:638, 1975

246. Sedlacek SM, Horwitz KB: The role of progestins and progesterone receptors in the treatment of breast cancer. Steroids 44:467, 1984

247. Apple DJ: Wilms' tumor metastatic to the orbit. Arch Ophthalmol 80:480, 1968

248. Fratkin JD, Purcell JJ, Krachmer JH, Taylor JC: Wilms' tumor metastatic to the orbit. JAMA 238:1841, 1977

249. Nicholson DH, Green WR: Pediatric Orbital Tumors. New York, Masson, 1981

250. De Lorimer AA: Neuroblastoma in childhood. Am J Dis Child 118:441, 1969

251. Albert DM, Rubenstein RA, Scheie HG: Tumour metastasis to the eye: II. Clinical study in infants and children. Am J Ophthalmol 63:727, 1967

252. Woodruff G, Buncic JR, Morin JD: Horner's syndrome in children. J Pediatr Ophthalmol Strabismus 25:40, 1988

253. Gibbs J, Appleton RE, Martin J, Findlay G: Congenital Horner's syndrome associated with non-cervical neuroblastoma. Dev Med Child Neurol 34:642, 1992

254. Musarella MA, Chan HS, De Boer G, Gallie BL: Ocular involvement in neuroblastoma: prognostic implications. Ophthalmology 91:936, 1984

255. West CE, Repka MX: Tonic pupils associated with neuroblastoma. J Pediatr Ophthalmol Strabismus 29:382, 1992

256. Sekimoto M, Hayasaka S, Setogawa T, Kishi K: Presumed iris metastasis from abdominal neuroblastoma. Ophthalmologica 203:8, 1991

257. Cibis GW, Freeman AI, Pang V et al: Bilateral choroidal neonatal neuroblastoma. Am J Ophthalmol 109:445, 1990

258. Green AA, Husto HO, Palmer R, Pinkel D: Total-body sequential segmental irradiation and combination chemotherapy for children with disseminated neuroblastoma. Cancer 38:2250, 1976

259. Green AA, Hayes FA, Husto HO: Sequential cyclophosphamide and doxorubicin for induction of complete remission in children with disseminated neuroblastoma. Cancer 48:2310, 1981

260. Hartmann O, Benhamou E, Beaujean F et al: Repeated high dose chemotherapy followed by purged autologous bone marrow transplantation as consolidation therapy in metastatic neuroblastoma. J Clin Oncol 5:1205, 1987

261. Hartmann O, Pinkerton CR, Philip T et al: Very-high-dose cisplatinum and etoposide in children with untreated advanced neuroblastoma. J Clin Oncol 6:44, 1988

262. Philip T, Bernard JL, Zucker JM et al: High-dose chemotherapy with bone marrow transplantation as consolidation treatment in neuroblastoma: an unselected group of stage IV patients over 1 year of age. J Clin Oncol 5: 266, 1987

263. Alvarez-Berdecia A, Schut L, Bruce DA: Localized primary intracranial Ewing's sarcoma of the orbital roof: case report. J Neurosurg 50:811, 1979

264. Jaffe N, Traggis D, Sahan S, Caffady JR: Improved outlook for Ewing's sarcoma with combination chemotherapy (vincristine, actinomycin D and cyclophosphamide) and radiation therapy. Cancer 38:1925, 1976

265. Hayes FA, Thompson EI, Parvey L et al: Metastatic Ewing's sarcoma: remission, induction and survival. J Clin Oncol 5:1199, 1987

266. Jampol LM, Cottle E, Fischer DS, Albert DM: Metastasis of Ewing's sarcoma to the choroid. Arch Ophthalmol 89:207, 1973

267. Fidler IJ, Hart IR: Principles of cancer biology: Cancer metastasis. In Devita VT, Hellman SA (eds): Cancer: Principles and Practice of Oncology, pp 113–124. Philadelphia, JB Lippincott, 1985

268. Kieran MW, Longenecker BM: Organ specific metastasis with specific reference to avian systems. Cancer Metastasis Rev 2:165, 1983

269. Holmes FH, Fouts TL: Metastatic cancer of unknown primary site. Cancer 26:816, 1970

270. Mackay B, Ordonez NG: The role of the pathologist in the evaluation of poorly differentiated tumors. Semin Oncol 9:396, 1982

271. Neumann KH, Nystrom JS: Metastatic cancer of unknown origin: nonsquamous cell type. Semin Oncol 9:427, 1982

272. Robert NJ, Garnick MD, Frei E III: Cancers of unknown origin: current approaches and future perspectives. Semin Oncol 9:526, 1982

273. White VA, Rootman J: Orbital pathology. In Albert DM, Jakobiec FA (eds): Principles and Practice of Ophthalmology, Vol 4, p 2342. Philadelphia, WB Saunders, 1994

Back to Top