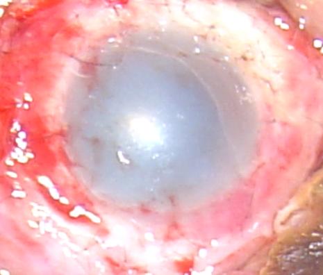
10天前收了一个双眼碱烧伤的病人,很重,所有的角结膜缘组织均苍白坏死。同时伴有面部浅2度——3度烧伤。给予切除坏死组织,冲洗,前房穿刺等急诊处理后病人的水肿略微减轻,视力FC/50CM,入院后给予血清、枸橼酸钠、VC、肝素、激素(头7天)、EDTA、贝复舒等点眼后不见好转,上皮细胞无。决定近期给予羊膜移植加异体干细胞移植(他弟的)。
左眼
右眼
移植术后

以前的相片是没有接触镜覆盖的,今天给病人的第二只眼做了单纯羊膜覆盖术,双层的,第一只眼的相片今天忘照了,哈!不过看不出异体角膜细胞的生长,后天换药时我在照一便。
更多详情请访问协和医学论坛眼科医生专业论坛
http://www.oculist.net/bbs/dispbbs.asp?boardid=3&id=1235
|